CD1A
CD1A,全名為CD1A分子,也被稱為T細胞表面糖蛋白CD1a。它是CD1蛋白家族的一員,與β2-微球蛋白結合形成異源二聚體,類似于MHC I分子。CD1A蛋白在免疫系統中扮演重要角色,能夠結合自身和非自身脂質及糖脂抗原,并將它們呈遞給自然殺傷T細胞的T細胞受體。CD1A蛋白與多種疾病相關,如炎癥性皮膚病,其表達水平的變化可能影響疾病的進程。目前,針對CD1A蛋白的藥物研發正在逐步推進,有望為相關疾病的治療提供新的策略。
熱銷產品
CD1A Antibody (CSB-PA004889ESR2HU)
驗證數據
Western blot
All lanes: CD1A antibody at 6μg/ml
Lane 1: K562 whole cell lysate
Lane 2: Mouse thymus tissue
Secondary
Goat polyclonal to rabbit IgG at 1/10000 dilution
Predicted band size: 37 kDa
Observed band size: 37 kDa
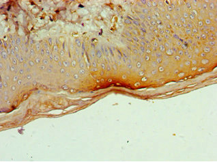
Immunohistochemistry of paraffin-embedded human skin tissue using CSB-PA004889ESR2HU at dilution of 1: 100
CD1A Antibodies
CD1A for Homo sapiens (Human)
| 產品貨號 | 產品名稱 | 種屬反應性 | 應用類型 |
|---|---|---|---|
| CSB-PA004889GA01HU | CD1A Antibody | Human | ELISA,WB,IF |
| CSB-PA004889ESR1HU | CD1A Antibody | Human | ELISA, IHC |
| CSB-PA004889ESR2HU | CD1A Antibody | Human, Mouse | ELISA, WB, IHC |
| CSB-PA789186 | CD1A Antibody | Human | ELISA,WB |
CD1A for H, M, R
| 產品貨號 | 產品名稱 | 種屬反應性 | 應用類型 |
|---|---|---|---|
| CSB-MA011008 | CD1A Monoclonal Antibody | Human,Mouse,Rat | ELISA,IHC |
CD1A Proteins
CD1A Proteins for Homo sapiens (Human)
| 產品貨號 | 產品名稱 | 來源 |
|---|---|---|
| CSB-YP004889HU1 CSB-EP004889HU1 CSB-BP004889HU1 CSB-MP004889HU1 CSB-EP004889HU1-B |
Recombinant Human T-cell surface glycoprotein CD1a (CD1A), partial | Yeast E.coli Baculovirus Mammalian cell In Vivo Biotinylation in E.coli |
| CSB-CF004889HU | Recombinant Human T-cell surface glycoprotein CD1a (CD1A) | in vitro E.coli expression system |
CD1A Proteins for Sus scrofa (Pig)
| 產品貨號 | 產品名稱 | 來源 |
|---|---|---|
| CSB-YP895467PI CSB-EP895467PI CSB-BP895467PI CSB-MP895467PI CSB-EP895467PI-B |
Recombinant Pig T-cell surface glycoprotein CD1a (CD1A), partial | Yeast E.coli Baculovirus Mammalian cell In Vivo Biotinylation in E.coli |






