CCR2
C-C趨化因子受體2型(CCR2)是免疫系統中重要的信號傳導蛋白,因其與CD192、ChemR13等別名廣為人知。該受體主要分布于單核細胞、記憶T細胞表面,通過識別趨化因子CCL2等配體,引導免疫細胞向炎癥或損傷部位定向遷移。CCR2的異常激活與多種疾病密切相關,例如動脈粥樣硬化斑塊中巨噬細胞浸潤、類風濕性關節炎的滑膜炎癥加劇,以及乳腺癌、胰腺癌的轉移過程均存在其活躍表達。近年來,針對CCR2的藥物開發成為熱點,輝瑞公司開發的INCB3344曾進入銀屑病二期試驗,而艾伯維的ABT-129則在糖尿病腎病研究中展現出調節免疫微環境的潛力。盡管部分候選藥物因療效不足或脫靶效應終止研發,但新型雙靶點抑制劑(如同時阻斷CCR2/CCR5的cenicriviroc)在非酒精性脂肪性肝炎治療中取得積極數據,為慢性炎癥性疾病提供了新思路。
熱銷產品
Recombinant Human C-C chemokine receptor type 2 (CCR2) (Active) (CSB-CF004841HU)
驗證數據
(Tris-Glycine gel) Discontinuous SDS-PAGE (reduced) with 5% enrichment gel and 15% separation gel.
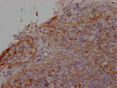
CCR2 Recombinant Monoclonal Antibody (CSB-RA297464A0HU)
驗證數據
IHC image of CSB-RA297464A0HU diluted at 1:100 and staining in paraffin-embedded human tonsil tissue performed on a Leica BondTM system. After dewaxing and hydration, antigen retrieval was mediated by high pressure in a citrate buffer (pH 6.0). Section was blocked with 10% normal goat serum 30min at RT. Then primary antibody (1% BSA) was incubated at 4℃ overnight. The primary is detected by a Goat anti-rabbit IgG polymer labeled by HRP and visualized using 0.05% DAB.
Human CC-Chemokine Receptor 2,CCR2 ELISA Kit (CSB-E14200h)
驗證數據
貨號:CSB-E14200h
規格:96T/48T
靈敏度:5.86 pg/mL
檢測范圍:23.44 pg/mL-1500 pg/mL
These standard curves are provided for demonstration only. A standard curve should be generated for each set of samples assayed.
CCR2 Antibodies
CCR2 for Homo sapiens (Human)
| 產品貨號 | 產品名稱 | 種屬反應性 | 應用類型 |
|---|---|---|---|
| CSB-PA004841GA01HU | CCR2 Antibody | Human | ELISA,WB |
| CSB-PA006295 | CCR2 Antibody | Human | WB, ELISA |
| CSB-PA171419 | CCR2 Antibody | Human,Mouse | ELISA,WB,IHC |
| CSB-PA004841LA01HU | CCR2 Antibody | Human | ELISA, IF |
| CSB-RA297464A0HU | CCR2 Recombinant Monoclonal Antibody | Human | ELISA, IHC |
CCR2 for Rattus norvegicus (Rat)
| 產品貨號 | 產品名稱 | 種屬反應性 | 應用類型 |
|---|---|---|---|
| CSB-PA006349 | CCR2 Antibody | Rat, Human | WB, IF, ELISA |
CCR2 Proteins
CCR2 Proteins for Homo sapiens (Human)
| 產品貨號 | 產品名稱 | 來源 |
|---|---|---|
| CSB-YP004841HU1 CSB-EP004841HU1 CSB-BP004841HU1 CSB-MP004841HU1 CSB-EP004841HU1-B |
Recombinant Human C-C chemokine receptor type 2 (CCR2), partial | Yeast E.coli Baculovirus Mammalian cell In Vivo Biotinylation in E.coli |
| CSB-CF004841HU | Recombinant Human C-C chemokine receptor type 2 (CCR2) (Active) | in vitro E.coli expression system |
| CSB-MP004841HU | Recombinant Human C-C chemokine receptor type 2 (CCR2)-VLPs | Mammalian cell |
CCR2 Proteins for Mus musculus (Mouse)
| 產品貨號 | 產品名稱 | 來源 |
|---|---|---|
| CSB-YP004841MO1 CSB-BP004841MO1 CSB-MP004841MO1 CSB-EP004841MO1-B |
Recombinant Mouse C-C chemokine receptor type 2 (Ccr2), partial | Yeast Baculovirus Mammalian cell In Vivo Biotinylation in E.coli |
| CSB-CF004841MO | Recombinant Mouse C-C chemokine receptor type 2 (Ccr2) | in vitro E.coli expression system |
CCR2 Proteins for Macaca mulatta (Rhesus macaque)
| 產品貨號 | 產品名稱 | 來源 |
|---|---|---|
| CSB-YP004841MOW1 CSB-EP004841MOW1 CSB-BP004841MOW1 CSB-MP004841MOW1 CSB-EP004841MOW1-B |
Recombinant Macaca mulatta (Rhesus macaque) C-C chemokine receptor type 2 (CCR2), partial | Yeast E.coli Baculovirus Mammalian cell In Vivo Biotinylation in E.coli |
| CSB-CF004841MOW | Recombinant Macaca mulatta (Rhesus macaque) C-C chemokine receptor type 2 (CCR2) | in vitro E.coli expression system |
CCR2 Proteins for Rattus norvegicus (Rat)
| 產品貨號 | 產品名稱 | 來源 |
|---|---|---|
| CSB-YP004841RA1 CSB-EP004841RA1 CSB-BP004841RA1 CSB-MP004841RA1 CSB-EP004841RA1-B |
Recombinant Rat C-C chemokine receptor type 2 (Ccr2), partial | Yeast E.coli Baculovirus Mammalian cell In Vivo Biotinylation in E.coli |
| CSB-CF004841RA | Recombinant Rat C-C chemokine receptor type 2 (Ccr2) | in vitro E.coli expression system |
CCR2 Proteins for Arabidopsis thaliana (Mouse-ear cress)
| 產品貨號 | 產品名稱 | 來源 |
|---|---|---|
| CSB-YP525710DOA CSB-EP525710DOA CSB-BP525710DOA CSB-MP525710DOA CSB-EP525710DOA-B |
Recombinant Arabidopsis thaliana Serine/threonine-protein kinase-like protein CCR2 (CCR2), partial | Yeast E.coli Baculovirus Mammalian cell In Vivo Biotinylation in E.coli |
CCR2 ELISA Kit
CCR2 ELISA Kit for Homo sapiens (Human)
| 產品貨號 | 產品名稱 | 樣本類型 | 靈敏度 |
|---|---|---|---|
| CSB-E14200h | Human CC-Chemokine Receptor 2,CCR2 ELISA Kit | serum, plasma, tissue homogenates, cerebrospinal fluid (CSF) | 5.86 pg/mL |
CCR2 ELISA Kit for Mus musculus (Mouse)
| 產品貨號 | 產品名稱 | 樣本類型 | 靈敏度 |
|---|---|---|---|
| CSB-EL004841MO | Mouse C-C chemokine receptor type 2(CCR2) ELISA kit | serum, plasma, tissue homogenates | 3.9 pg/mL |
CCR2 ELISA Kit for Rattus norvegicus (Rat)
| 產品貨號 | 產品名稱 | 樣本類型 | 靈敏度 |
|---|---|---|---|
| CSB-EL004841RA | Rat C-C chemokine receptor type 2(CCR2) ELISA kit | serum, plasma, tissue homogenates | 3.9 pg/mL |






