CCDC68
CCDC68,即含有卷曲螺旋結構域的蛋白68,別名C6orf223。它是一種在多種組織中表達的蛋白質,尤其在大腦、心臟和腎臟中表達較高。CCDC68的作用機制尚不完全清楚,但已知它可能參與細胞內信號傳導、細胞周期調控和蛋白質相互作用等過程。CCDC68與多種生理功能相關,包括細胞增殖、遷移和分化。此外,CCDC68的功能異常與某些疾病的發生發展有關,例如腎臟疾病和腫瘤。
熱銷產品
CCDC68 Antibody (CSB-PA880954LA01HU)
驗證數據
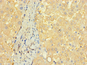
Immunohistochemistry of paraffin-embedded human liver tissue using CSB-PA880954LA01HU at dilution of 1:100
CCDC68 Antibodies
CCDC68 for Homo sapiens (Human)
| 產品貨號 | 產品名稱 | 種屬反應性 | 應用類型 |
|---|---|---|---|
| CSB-PA880954LA01HU | CCDC68 Antibody | Human | ELISA, IHC |
CCDC68 Proteins
CCDC68 Proteins for Homo sapiens (Human)
| 產品貨號 | 產品名稱 | 來源 |
|---|---|---|
| CSB-YP880954HU CSB-EP880954HU CSB-BP880954HU CSB-MP880954HU CSB-EP880954HU-B |
Recombinant Human Coiled-coil domain-containing protein 68 (CCDC68) | Yeast E.coli Baculovirus Mammalian cell In Vivo Biotinylation in E.coli |






