CA12
CA12,即碳酸酐酶12,別名CAXII、CA-XII、T18816,是一種由人類基因編碼的酶,屬于碳酸酐酶(CAs)家族中的一員。CA12在多種生物過程中發揮作用,包括呼吸、鈣化、酸堿平衡、骨吸收以及房水、腦脊液、唾液和胃酸的形成。CA12可通過催化二氧化碳的可逆水合作用,調節pH值和維持酸堿平衡。
在生物學意義上,CA12是一種I型膜蛋白,在正常組織如腎臟、結腸和胰腺中高度表達,并在10%的透明細胞腎癌中過表達。CA12的異常表達與多種疾病相關,包括某些類型的癌癥和常染色體隱性遺傳的低鈉血癥。
熱銷產品
Recombinant Human Carbonic anhydrase 12 (CA12), partial (CSB-YP004367HU)
驗證數據
(Tris-Glycine gel) Discontinuous SDS-PAGE (reduced) with 5% enrichment gel and 15% separation gel.
Based on the SEQUEST from database of Yeast host and target protein, the LC-MS/MS Analysis result of CSB-YP004367HU could indicate that this peptide derived from Yeast-expressed Homo sapiens (Human) CA12.
Based on the SEQUEST from database of Yeast host and target protein, the LC-MS/MS Analysis result of CSB-YP004367HU could indicate that this peptide derived from Yeast-expressed Homo sapiens (Human) CA12.
CA12 Antibody (CSB-PA004367YA01HU)
驗證數據
Western blot
All lanes: CA12 antibody at 6µg/ml + Mouse kidney tissue
Secondary
Goat polyclonal to rabbit IgG at 1/10000 dilution
Predicted band size: 40, 39 kDa
Observed band size: 40, 48 kDa
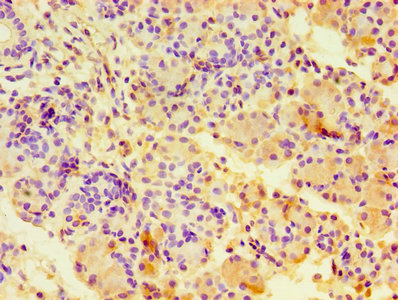
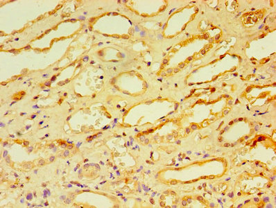
Immunohistochemistry of paraffin-embedded human kidney tissue using CSB-PA004367YA01HU at dilution of 1:100
Immunohistochemistry of paraffin-embedded human pancreatic tissue using CSB-PA004367YA01HU at dilution of 1:100
CA12 Antibodies
CA12 for Homo sapiens (Human)
| 產品貨號 | 產品名稱 | 種屬反應性 | 應用類型 |
|---|---|---|---|
| CSB-PA004367YA01HU | CA12 Antibody | Human, Mouse | ELISA, WB, IHC |
| CSB-PA004367YB01HU | CA12 Antibody, HRP conjugated | Human | ELISA |
| CSB-PA004367YD01HU | CA12 Antibody, Biotin conjugated | Human | ELISA |
| CSB-PA004367LB01HU | CA12 Antibody, HRP conjugated | Human | ELISA |
| CSB-PA004367LD01HU | CA12 Antibody, Biotin conjugated | Human | ELISA |
| CSB-PA004367LA01HU | CA12 Antibody | Human, Mouse | ELISA, WB |
| CSB-PA004367GA01HU | CA12 Antibody | Human,Mouse,Rat | ELISA,WB,IHC |
| CSB-PA060116 | CA12 Antibody | Human,Mouse,Rat | WB, ELISA |
CA12 Proteins
CA12 Proteins for Homo sapiens (Human)
| 產品貨號 | 產品名稱 | 來源 |
|---|---|---|
| CSB-YP004367HU | Recombinant Human Carbonic anhydrase 12 (CA12), partial | Yeast |
| CSB-EP004367HU | Recombinant Human Carbonic anhydrase 12 (CA12), partial | E.coli |
| CSB-BP004367HU CSB-MP004367HU CSB-EP004367HU-B |
Recombinant Human Carbonic anhydrase 12 (CA12), partial | Baculovirus Mammalian cell In Vivo Biotinylation in E.coli |






