C6
C6全稱為補體成分6,是補體系統終末通路的核心分子之一,負責與C5b、C7-C9共同組裝成膜攻擊復合物,直接破壞病原體或異常細胞的脂質膜結構。該蛋白先天性缺陷患者易反復感染腦膜炎奈瑟菌或淋球菌,部分研究還發現其水平異常與妊娠期高血壓、非典型溶血尿毒綜合征等疾病相關。在自身免疫領域,C6過度激活可能導致補體介導的血管內皮損傷,與抗磷脂抗體綜合征等病理過程存在關聯。
目前針對補體系統的藥物開發多聚焦于上游成分(如C5抑制劑依庫珠單抗),而直接靶向C6的療法仍屬空白。2021年有研究報道了一種特異性阻斷C6功能的人源化抗體,在體外實驗中可抑制補體終末通路引發的溶血反應,但尚未推進至臨床。近年發現某些海洋生物毒素能選擇性干擾C6與其他補體蛋白的結合,為開發新型免疫調節劑提供了線索,其轉化應用仍需長期驗證。
熱銷產品
C6 Antibody (CSB-PA004036LA01HU)
驗證數據
Western Blot
Positive WB detected in: Rat liver tissue, Mouse kidney tissue
All lanes: C6 antibody at 2.7μg/ml
Secondary
Goat polyclonal to rabbit IgG at 1/50000 dilution
Predicted band size: 105 kDa
Observed band size: 105 kDa
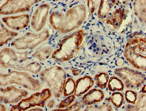
Immunohistochemistry of paraffin-embedded human kidney tissue using CSB-PA004036LA01HU at dilution of 1:100
Human Complement component C6(C6) ELISA kit (CSB-EL004036HU)
驗證數據
貨號:CSB-EL004036HU
規格:96T/48T
靈敏度:15.6 pg/mL
檢測范圍:62.5 pg/mL-4000 pg/mL
These standard curves are provided for demonstration only. A standard curve should be generated for each set of samples assayed.
C6 Antibodies
C6 for Homo sapiens (Human)
| 產品貨號 | 產品名稱 | 種屬反應性 | 應用類型 |
|---|---|---|---|
| CSB-PA001093 | C6 Antibody | Human,Rat | WB, IHC, ELISA |
| CSB-PA004036LA01HU | C6 Antibody | Human, Mouse, Rat | ELISA, WB, IHC |
| CSB-PA004036LB01HU | C6 Antibody, HRP conjugated | Human | ELISA |
| CSB-PA004036LD01HU | C6 Antibody, Biotin conjugated | Human | ELISA |
C6 Proteins
C6 Proteins for Homo sapiens (Human)
| 產品貨號 | 產品名稱 | 來源 |
|---|---|---|
| CSB-YP004036HU CSB-EP004036HU CSB-BP004036HU CSB-MP004036HU CSB-EP004036HU-B |
Recombinant Human Complement component C6 (C6), partial | Yeast E.coli Baculovirus Mammalian cell In Vivo Biotinylation in E.coli |
C6 Proteins for Pan troglodytes (Chimpanzee)
| 產品貨號 | 產品名稱 | 來源 |
|---|---|---|
| CSB-YP004036EQV CSB-EP004036EQV CSB-BP004036EQV CSB-MP004036EQV CSB-EP004036EQV-B |
Recombinant Pan troglodytes Complement component C6 (C6), partial | Yeast E.coli Baculovirus Mammalian cell In Vivo Biotinylation in E.coli |
C6 Proteins for Pongo pygmaeus (Bornean orangutan)
| 產品貨號 | 產品名稱 | 來源 |
|---|---|---|
| CSB-YP004036EXP CSB-EP004036EXP CSB-BP004036EXP CSB-MP004036EXP CSB-EP004036EXP-B |
Recombinant Pongo pygmaeus Complement component C6 (C6), partial | Yeast E.coli Baculovirus Mammalian cell In Vivo Biotinylation in E.coli |
C6 Proteins for Bos taurus (Bovine)
| 產品貨號 | 產品名稱 | 來源 |
|---|---|---|
| CSB-YP645889BO CSB-EP645889BO CSB-BP645889BO CSB-MP645889BO CSB-EP645889BO-B |
Recombinant Bovine Complement component C6 (C6), partial | Yeast E.coli Baculovirus Mammalian cell In Vivo Biotinylation in E.coli |
C6 Proteins for Rattus norvegicus (Rat)
| 產品貨號 | 產品名稱 | 來源 |
|---|---|---|
| CSB-YP770520RA CSB-EP770520RA CSB-BP770520RA CSB-MP770520RA CSB-EP770520RA-B |
Recombinant Rat Complement component C6 (C6), partial | Yeast E.coli Baculovirus Mammalian cell In Vivo Biotinylation in E.coli |
C6 Proteins for Subterranean clover stunt virus (strain F) (SCSV)
| 產品貨號 | 產品名稱 | 來源 |
|---|---|---|
| CSB-YP774843SHAO CSB-EP774843SHAO CSB-BP774843SHAO CSB-MP774843SHAO CSB-EP774843SHAO-B |
Recombinant Subterranean clover stunt virus Para-Rep C6 (C6) | Yeast E.coli Baculovirus Mammalian cell In Vivo Biotinylation in E.coli |
C6 ELISA Kit
C6 ELISA Kit for Homo sapiens (Human)
| 產品貨號 | 產品名稱 | 樣本類型 | 靈敏度 |
|---|---|---|---|
| CSB-EL004036HU | Human Complement component C6(C6) ELISA kit | serum, plasma, tissue homogenates | 15.6 pg/mL |






