C4B
C4B,全稱為C4b結合蛋白,是一種存在于血清中的補體系統調節蛋白,也被稱為C4b受體相關蛋白。它能夠與C4b結合,從而抑制補體系統的過度激活,維持免疫系統的平衡。C4B蛋白通過與C4b結合,形成C4b-C4b結合蛋白復合物,進而加速C4b的降解,阻止補體級聯反應的進一步發展。這一過程對于防止炎癥反應的過度放大至關重要。此外,C4B蛋白還參與免疫復合物的清除,通過與免疫復合物結合,促進其被吞噬細胞識別和吞噬,從而維持體內的免疫穩態。
C4B蛋白的異常表達或功能缺陷與多種疾病相關,包括自身免疫性疾病、感染性疾病和腫瘤等。在自身免疫性疾病中,C4B蛋白的異常表達可能導致補體系統的過度激活,進而引發炎癥反應和組織損傷。因此,針對C4B蛋白的藥物研發成為近年來免疫治療領域的研究熱點。目前,已有一些針對C4B蛋白的藥物進入臨床試驗階段,例如C4B蛋白抑制劑和C4B蛋白類似物等,這些藥物有望為自身免疫性疾病患者提供新的治療選擇。
熱銷產品
Recombinant Human Complement C4-B (C4B), partial (CSB-EP313364HU)
驗證數據
(Tris-Glycine gel) Discontinuous SDS-PAGE (reduced) with 5% enrichment gel and 15% separation gel.
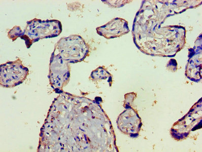
C4B Antibody (CSB-PA313364LA01HU)
驗證數據
Immunohistochemistry of paraffin-embedded human placenta tissue using CSB-PA313364LA01HU at dilution of 1:100
Human Complement fragment 4b,C4b ELISA Kit (CSB-E09302h)
驗證數據
貨號:CSB-E09302h
規格:96T/48T
靈敏度:3.9 ng/mL
檢測范圍:15.6 ng/mL-1000 ng/mL
These standard curves are provided for demonstration only. A standard curve should be generated for each set of samples assayed.
C4B Antibodies
C4B for Homo sapiens (Human)
| 產品貨號 | 產品名稱 | 種屬反應性 | 應用類型 |
|---|---|---|---|
| CSB-PA313364LA01HU | C4B Antibody | Human | ELISA, IHC |
| CSB-PA313364LB01HU | C4B Antibody, HRP conjugated | Human | ELISA |
| CSB-PA313364LC01HU | C4B Antibody, FITC conjugated | Human | |
| CSB-PA313364LD01HU | C4B Antibody, Biotin conjugated | Human | ELISA |
C4B Proteins
C4B Proteins for Homo sapiens (Human)
| 產品貨號 | 產品名稱 | 來源 |
|---|---|---|
| CSB-YP313364HU | Recombinant Human Complement C4-B (C4B), partial | Yeast |
| CSB-EP313364HU | Recombinant Human Complement C4-B (C4B), partial | E.coli |
| CSB-BP313364HU CSB-MP313364HU CSB-EP313364HU-B |
Recombinant Human Complement C4-B (C4B), partial | Baculovirus Mammalian cell In Vivo Biotinylation in E.coli |
C4B ELISA Kit
C4B ELISA Kit for Homo sapiens (Human)
| 產品貨號 | 產品名稱 | 樣本類型 | 靈敏度 |
|---|---|---|---|
| CSB-E09302h | Human Complement fragment 4b,C4b ELISA Kit | serum, plasma | 3.9 ng/mL |






