C1QB
C1QB,即Complement C1q Subcomponent B,是血清補體系統C1復合體的一個組成部分。C1QB與C1QA和C1QC鏈一起,與C1r和C1s兩種前體酶結合,形成C1,這是血清補體系統的第一個組分。C1QB由18條多肽鏈組成,包括6條A鏈、6條B鏈和6條C鏈,每條鏈都包含一個N端膠原樣區域和一個C端C1q球形域。C1QB的作用機制涉及其球形頭部與免疫復合物的Fc區域相互作用,觸發補體級聯反應,導致對病原體的攻擊和清除。C1QB在宿主防御中起著至關重要的作用,它參與免疫復合物的識別和清除,促進吞噬作用,調節細胞因子產生,影響T淋巴細胞成熟。此外,C1QB還涉及組織修復、腫瘤免疫監視以及中樞神經系統的穩態調節。C1QB的功能對于維持免疫平衡和預防自身免疫疾病具有重要意義,其在多種生理和病理過程中的作用表明了其在免疫調節和細胞過程中的復雜角色。
熱銷產品
Recombinant Mouse Complement C1q subcomponent subunit B (C1qb), Biotinylated (CSB-EP003638MO-B)
驗證數據
(Tris-Glycine gel) Discontinuous SDS-PAGE (reduced) with 5% enrichment gel and 15% separation gel.
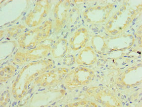
C1QB Antibody (CSB-PA003638ESR1HU)
驗證數據
Immunohistochemistry of paraffin-embedded human kidney tissue using CSB-PA003638ESR1HU at dilution of 1:100
Immunohistochemistry of paraffin-embedded human skeletal muscle tissue using CSB-PA003638ESR1HU at dilution of 1:100
C1QB Antibodies
C1QB for Homo sapiens (Human)
| 產品貨號 | 產品名稱 | 種屬反應性 | 應用類型 |
|---|---|---|---|
| CSB-PA003638ESR1HU | C1QB Antibody | Human | ELISA, IHC |
| CSB-PA197114 | C1QB Antibody | Human | ELISA,WB,IHC,IF |
| CSB-PA001087 | C1QB Antibody | Human | WB, IHC, IF, ELISA |
C1QB Proteins
C1QB Proteins for Mus musculus (Mouse)
| 產品貨號 | 產品名稱 | 來源 |
|---|---|---|
| CSB-YP003638MO CSB-EP003638MO CSB-BP003638MO CSB-MP003638MO |
Recombinant Mouse Complement C1q subcomponent subunit B (C1qb) | Yeast E.coli Baculovirus Mammalian cell |
C1QB Proteins for Rattus norvegicus (Rat)
| 產品貨號 | 產品名稱 | 來源 |
|---|---|---|
| CSB-YP003638RA CSB-EP003638RA CSB-BP003638RA CSB-MP003638RA CSB-EP003638RA-B |
Recombinant Rat Complement C1q subcomponent subunit B (C1qb) | Yeast E.coli Baculovirus Mammalian cell In Vivo Biotinylation in E.coli |
C1QB Proteins for Homo sapiens (Human)
| 產品貨號 | 產品名稱 | 來源 |
|---|---|---|
| CSB-YP003638HU CSB-EP003638HU CSB-BP003638HU CSB-MP003638HU CSB-EP003638HU-B |
Recombinant Human Complement C1q subcomponent subunit B (C1QB) | Yeast E.coli Baculovirus Mammalian cell In Vivo Biotinylation in E.coli |
C1QB Proteins for Bos taurus (Bovine)
| 產品貨號 | 產品名稱 | 來源 |
|---|---|---|
| CSB-YP640677BO CSB-EP640677BO CSB-BP640677BO CSB-MP640677BO CSB-EP640677BO-B |
Recombinant Bovine Complement C1q subcomponent subunit B (C1QB) | Yeast E.coli Baculovirus Mammalian cell In Vivo Biotinylation in E.coli |
C1QB ELISA Kit
C1QB ELISA Kit for Homo sapiens (Human)
| 產品貨號 | 產品名稱 | 樣本類型 | 靈敏度 |
|---|---|---|---|
| CSB-E10118h | Human Complement 1q,C1q ELISA Kit | serum, plasma, tissue homogenates | 0.039 ng/mL |






