BTG3
BTG3,即B細胞易位基因3,別名TOB5、TIS21、ANA、TOFA、APRO4、TOB55等。BTG3基因位于人類21號染色體上,屬于BTG/Tob家族成員之一。BTG3的作用機制包括與多種轉錄因子相互作用,調控細胞周期和抑制細胞增殖。在細胞核內,BTG3能夠與E2F1、Smad3等因子結合,抑制細胞周期進程和細胞增殖;在細胞質中,BTG3能夠抑制src、Akt和Ras/MAPK信號通路。BTG3在多種腫瘤中表達下調,并且與腫瘤的侵襲性和預后密切相關,提示其可能作為腫瘤抑制基因,對腫瘤的發生發展具有重要的生物學意義。
熱銷產品
驗證數據
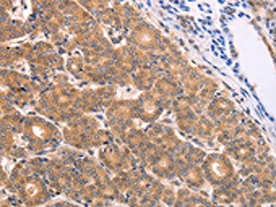
The image on the left is immunohistochemistry of paraffin-embedded Human thyroid cancer tissue using CSB-PA969912(BTG3 Antibody) at dilution 1/15, on the right is treated with fusion protein. (Original magnification: ×200)
BTG3 Antibodies
BTG3 for Homo sapiens (Human)
| 產品貨號 | 產品名稱 | 種屬反應性 | 應用類型 |
|---|---|---|---|
| CSB-PA969912 | BTG3 Antibody | Human | ELISA,IHC |
BTG3 Proteins
BTG3 Proteins for Homo sapiens (Human)
| 產品貨號 | 產品名稱 | 來源 |
|---|---|---|
| CSB-YP622758HU CSB-EP622758HU CSB-BP622758HU CSB-MP622758HU CSB-EP622758HU-B |
Recombinant Human Protein BTG3 (BTG3) | Yeast E.coli Baculovirus Mammalian cell In Vivo Biotinylation in E.coli |






