BCL2
BCL2,即B細胞淋巴瘤/白血病-2基因,別名包括Bcl-2家族中的抗凋亡蛋白,如Bcl-2、Bcl-XL、Bcl-W、Mcl-1等。它最初在血液淋巴細胞中被發現,能夠顯著抑制細胞死亡。BCL2基因的作用機制復雜,主要通過調控線粒體途徑來抑制細胞凋亡,它能夠阻止細胞色素c的釋放,抑制活化的Caspases對線粒體的影響,從而維持細胞生存。此外,BCL2還能通過抗氧化作用、抑制鈣離子跨膜流動和調節離子通道蛋白功能等多種機制來發揮作用。BCL2在細胞凋亡的信號通路中扮演著關鍵角色,它通過與Bax等促凋亡蛋白相互作用,形成二聚體,調節線粒體膜的通透性,進而影響細胞色素c的釋放和Caspase級聯反應的激活。BCL2的生物學意義重大,它不僅在細胞存活和凋亡的平衡中發揮作用,還與多種疾病的發生發展密切相關,包括癌癥、神經退行性疾病等。BCL2的功能失調可能導致細胞凋亡途徑的異常激活,影響細胞的正常生理功能。
熱銷產品
Recombinant Rat Apoptosis regulator Bcl-2 (Bcl2) (CSB-CF002611RA)
驗證數據
(Tris-Glycine gel) Discontinuous SDS-PAGE (reduced) with 5% enrichment gel and 15% separation gel.
BCL2 Recombinant Monoclonal Antibody (CSB-RA564360A0HU)
驗證數據
Western Blot
Positive WB detected in: 293 whole cell lysate, HepG2 whole cell lysate, Jurkat whole cell lysate, U-937 whole cell lysate, THP-1 whole cell lysate, Raji whole cell lysate, Mouse Spleen whole cell lysate
All lanes: Bcl-2 antibody at 1:1000
Secondary
Goat polyclonal to rabbit IgG at 1/50000 dilution
Predicted band size: 27, 23 kDa
Observed band size: 27 kDa
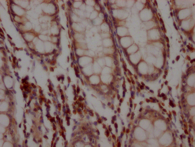
IHC image of CSB-RA564360A0HU diluted at 1:100 and staining in paraffin-embedded human colon cancer performed on a Leica BondTM system. After dewaxing and hydration, antigen retrieval was mediated by high pressure in a citrate buffer (pH 6.0). Section was blocked with 10% normal goat serum 30min at RT. Then primary antibody (1% BSA) was incubated at 4℃ overnight. The primary is detected by a Goat anti-rabbit IgG polymer labeled by HRP and visualized using 0.05% DAB.
Rat B-cell CLL/lymphoma 2 (BCL2) ELISA kit (CSB-E08854r)
驗證數據
貨號:CSB-E08854r
規格:96T/48T
靈敏度:0.078 ng/mL
檢測范圍:0.312 ng/mL-20 ng/mL
These standard curves are provided for demonstration only. A standard curve should be generated for each set of samples assayed.
BCL2 Antibodies
BCL2 for Mus musculus (Mouse)
| 產品貨號 | 產品名稱 | 種屬反應性 | 應用類型 |
|---|---|---|---|
| CSB-PA002611LC01MO | Bcl2 Antibody, FITC conjugated | Mouse | |
| CSB-PA002611LA01MO | Bcl2 Antibody | Mouse | ELISA, IHC |
| CSB-PA002611LB01MO | Bcl2 Antibody, HRP conjugated | Mouse | ELISA |
| CSB-PA006342 | Phospho-BCL2 (S70) Antibody | Mouse,Rat | WB, ELISA |
BCL2 for Homo sapiens (Human)
| 產品貨號 | 產品名稱 | 種屬反應性 | 應用類型 |
|---|---|---|---|
| CSB-PA002611GA01HU | BCL2 Antibody | Human,Mouse,Rat,Guinea pig | ELISA,WB,IHC |
| CSB-PA187601 | BCL2 (Ab-56) Antibody | Human | ELISA,WB,IHC,IF |
| CSB-PA129411 | BCL2 (Ab-70) Antibody | Human | ELISA,WB,IHC,IF |
| CSB-PA206782 | Phospho-BCL2 (Thr56) Antibody | Human | ELISA,IHC |
| CSB-PA824266 | Phospho-BCL2 (Ser70) Antibody | Human | ELISA,IHC |
| CSB-PA971921 | Phospho-BCL2 (Ser87) Antibody | Human,Mouse,Rat | ELISA,WB |
| CSB-PA000484 | Phospho-BCL2 (S70) Antibody | Human,Monkey | WB, IHC, IP, ELISA |
| CSB-PA000485 | Phospho-BCL2 (T56) Antibody | Human | WB, IHC, IP, IF, ELISA |
| CSB-PA000982 | BCL2 Antibody | Human,Monkey | WB, IHC, ELISA |
| CSB-PA000983 | BCL2 Antibody | Human,Mouse,Rat | WB, IHC, IF, ELISA |
| CSB-PA000984 | BCL2 Antibody | Human | WB, IHC, IF, ELISA |
| CSB-PA040190 | Phospho-BCL2 (T69) Antibody | Human | IHC, IF, ELISA |
| CSB-PA040191 | Phospho-BCL2 (S87) Antibody | Human,Mouse,Rat | WB, IHC, ELISA |
| CSB-PA040192 | Phospho-BCL2 (T74) Antibody | Human | IHC, ELISA |
| CSB-PA597947 | BCL2 Antibody | Human | ELISA,WB |
| CSB-PA832691 | BCL2 Antibody | Human | ELISA,WB,IHC |
| CSB-PA703826 | BCL2 Antibody | Mouse,Rat | WB,ELISA |
| CSB-PA12959A0Rb | BCL2 Antibody | Human | ELISA, IHC, IF |
| CSB-PA12959B0Rb | BCL2 Antibody, HRP conjugated | Human | ELISA |
| CSB-PA12959C0Rb | BCL2 Antibody, FITC conjugated | Human | |
| CSB-PA12959D0Rb | BCL2 Antibody, Biotin conjugated | Human | ELISA |
| CSB-RA002611A0HU | BCL2 Recombinant Monoclonal Antibody | Human, Mouse, Rat | ELISA, WB, IHC, FC |
| CSB-RA564360A0HU | BCL2 Recombinant Monoclonal Antibody | Human, Mouse | ELISA, WB, IHC |
| CSB-MA002611A0m | BCL2 Monoclonal Antibody | Human, Mouse | ELISA, WB, FC |
BCL2 for H, M, R
| 產品貨號 | 產品名稱 | 種屬反應性 | 應用類型 |
|---|---|---|---|
| CSB-MA000196 | BCL2 Monoclonal Antibody | Human,Mouse,Rat | ELISA,WB,IHC |
BCL2 Proteins
BCL2 Proteins for Gallus gallus (Chicken)
| 產品貨號 | 產品名稱 | 來源 |
|---|---|---|
| CSB-YP002611CH1 CSB-EP002611CH1 CSB-BP002611CH1 CSB-MP002611CH1 CSB-EP002611CH1-B |
Recombinant Chicken Apoptosis regulator Bcl-2 (BCL2), partial | Yeast E.coli Baculovirus Mammalian cell In Vivo Biotinylation in E.coli |
| CSB-CF002611CH | Recombinant Chicken Apoptosis regulator Bcl-2 (BCL2) | in vitro E.coli expression system |
BCL2 Proteins for Homo sapiens (Human)
| 產品貨號 | 產品名稱 | 來源 |
|---|---|---|
| CSB-YP002611HU1 CSB-BP002611HU1 CSB-MP002611HU1 CSB-EP002611HU1-B |
Recombinant Human Apoptosis regulator Bcl-2 (BCL2), partial | Yeast Baculovirus Mammalian cell In Vivo Biotinylation in E.coli |
| CSB-CF002611HU | Recombinant Human Apoptosis regulator Bcl-2 (BCL2) | in vitro E.coli expression system |
| CSB-EP002611HU1 | Recombinant Human Apoptosis regulator Bcl-2 (BCL2), partial | E.coli |
BCL2 Proteins for Mus musculus (Mouse)
| 產品貨號 | 產品名稱 | 來源 |
|---|---|---|
| CSB-YP002611MO CSB-BP002611MO CSB-MP002611MO CSB-EP002611MO-B |
Recombinant Mouse Apoptosis regulator Bcl-2 (Bcl2), partial | Yeast Baculovirus Mammalian cell In Vivo Biotinylation in E.coli |
| CSB-EP002611MO | Recombinant Mouse Apoptosis regulator Bcl-2 (Bcl2), partial | E.coli |
| CSB-CF002611MO(A4) | Recombinant Mouse Apoptosis regulator Bcl-2 (Bcl2) | in vitro E.coli expression system |
BCL2 Proteins for Rattus norvegicus (Rat)
| 產品貨號 | 產品名稱 | 來源 |
|---|---|---|
| CSB-YP002611RA1 CSB-EP002611RA1 CSB-BP002611RA1 CSB-MP002611RA1 CSB-EP002611RA1-B |
Recombinant Rat Apoptosis regulator Bcl-2 (Bcl2), partial | Yeast E.coli Baculovirus Mammalian cell In Vivo Biotinylation in E.coli |
BCL2 Proteins for Bos taurus (Bovine)
| 產品貨號 | 產品名稱 | 來源 |
|---|---|---|
| CSB-YP002611BO1 CSB-EP002611BO1 CSB-BP002611BO1 CSB-MP002611BO1 CSB-EP002611BO1-B |
Recombinant Bovine Apoptosis regulator Bcl-2 (BCL2), partial | Yeast E.coli Baculovirus Mammalian cell In Vivo Biotinylation in E.coli |
| CSB-CF002611BO | Recombinant Bovine Apoptosis regulator Bcl-2 (BCL2) | in vitro E.coli expression system |
BCL2 Proteins for Canis familiaris (Dog) (Canis lupus familiaris)
| 產品貨號 | 產品名稱 | 來源 |
|---|---|---|
| CSB-YP744176DO1 CSB-EP744176DO1 CSB-BP744176DO1 CSB-MP744176DO1 CSB-EP744176DO1-B |
Recombinant Dog Apoptosis regulator Bcl-2 (BCL2), partial | Yeast E.coli Baculovirus Mammalian cell In Vivo Biotinylation in E.coli |
BCL2 Proteins for Cricetulus griseus (Chinese hamster) (Cricetulus barabensis griseus)
| 產品貨號 | 產品名稱 | 來源 |
|---|---|---|
| CSB-YP872860DXU1 CSB-EP872860DXU1 CSB-BP872860DXU1 CSB-MP872860DXU1 CSB-EP872860DXU1-B |
Recombinant Cricetulus griseus Apoptosis regulator Bcl-2 (BCL2), partial | Yeast E.coli Baculovirus Mammalian cell In Vivo Biotinylation in E.coli |
| CSB-CF872860DXU | Recombinant Cricetulus griseus Apoptosis regulator Bcl-2 (BCL2) | in vitro E.coli expression system |
BCL2 Proteins for Canis lupus familiaris (Dog) (Canis familiaris)
| 產品貨號 | 產品名稱 | 來源 |
|---|---|---|
| CSB-CF744176DO | Recombinant Dog Apoptosis regulator Bcl-2 (BCL2) | in vitro E.coli expression system |
BCL2 Proteins for Rattus norvegicus (Rat)
| 產品貨號 | 產品名稱 | 來源 |
|---|---|---|
| CSB-CF002611RA | Recombinant Rat Apoptosis regulator Bcl-2 (Bcl2) | in vitro E.coli expression system |
BCL2 ELISA Kit
BCL2 ELISA Kit for Homo sapiens (Human)
| 產品貨號 | 產品名稱 | 樣本類型 | 靈敏度 |
|---|---|---|---|
| CSB-E08853h | Human B-cell leukemia/lymphoma 2,Bcl-2 ELISA Kit | serum, plasma, tissue homogenates | 0.225 ng/mL |
BCL2 ELISA Kit for Mus musculus (Mouse)
| 產品貨號 | 產品名稱 | 樣本類型 | 靈敏度 |
|---|---|---|---|
| CSB-E08855m | Mouse B-cell leukemia/lymphoma 2,Bcl-2 ELISA Kit | serum, plasma | 3.9 pg/mL |
BCL2 ELISA Kit for Rattus norvegicus (Rat)
| 產品貨號 | 產品名稱 | 樣本類型 | 靈敏度 |
|---|---|---|---|
| CSB-E08854r | Rat B-cell CLL/lymphoma 2 (BCL2) ELISA kit | serum, plasma, tissue homogenates | 0.078 ng/mL |






