BAZ1B
BAZ1B,全名為Bromodomain adjacent to zinc finger motif 1B蛋白,也被稱為WSTF蛋白。該蛋白參與染色質重塑,基因轉錄和表達調控、細胞周期和凋亡調節、DNA損傷修復和維生素代謝等多種生物學過程。BAZ1B蛋白屬于BAZ蛋白家族,具有多個結構域,包括PHD結構域、WAC結構域和Bromodomain結構域。這些結構域能夠識別并結合組蛋白,參與調控組蛋白修飾,進而影響基因表達。BAZ1B蛋白的WAC結構域還具有酪氨酸激酶活性,能夠磷酸化組蛋白H2A.X,參與DNA損傷后的修復或凋亡調控。此外,BAZ1B蛋白在腫瘤細胞中發生翻譯后修飾,如Lys426殘基的羥基化和乙酰化修飾,這些修飾能夠影響BAZ1B蛋白的活性。目前,針對BAZ1B蛋白的抑制劑正在研發中,用于治療腫瘤和威廉姆斯綜合征等疾病。
熱銷產品
驗證數據
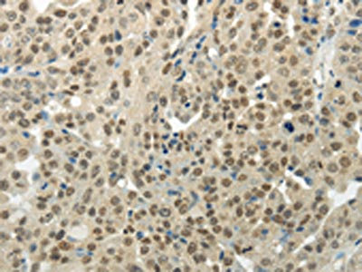
The image on the left is immunohistochemistry of paraffin-embedded Human breast cancer tissue using CSB-PA591538(BAZ1B Antibody) at dilution 1/35, on the right is treated with synthetic peptide. (Original magnification: ×200)
BAZ1B Proteins
BAZ1B Proteins for Homo sapiens (Human)
| 產品貨號 | 產品名稱 | 來源 |
|---|---|---|
| CSB-YP883429HU CSB-EP883429HU CSB-BP883429HU CSB-MP883429HU CSB-EP883429HU-B |
Recombinant Human Tyrosine-protein kinase BAZ1B (BAZ1B), partial | Yeast E.coli Baculovirus Mammalian cell In Vivo Biotinylation in E.coli |






