BATF3
BATF3,即堿性亮氨酸拉鏈ATF樣轉錄因子3,別名JDP1、SNFT、JUNDM1。它是一種由人類BATF3基因編碼的轉錄因子,屬于基本亮氨酸拉鏈蛋白家族。BATF3在多種免疫細胞的發育和功能中發揮作用,尤其在樹突狀細胞和CD8+T細胞中。其作用機制涉及與JUN蛋白異二聚化,形成轉錄抑制復合物,調控下游基因的表達,如通過抑制白細胞介素2和基質金屬蛋白酶1的轉錄。BATF3在免疫應答中扮演關鍵角色,影響T細胞的存活、記憶形成和抗腫瘤免疫反應。BATF3的異常表達與多種疾病相關,包括某些類型的白血病和免疫缺陷。BATF3是研究免疫相關疾病和開發相應治療策略的重要靶點。
熱銷產品
驗證數據
Western blot analysis of mouse-lung mouse-spleen lysis using BATF3 antibody. Antibody was diluted at 1:2000. Secondary antibody was diluted at 1:20000
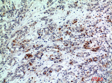
Immunohistochemical analysis of paraffin-embedded human-breast-cancer, antibody was diluted at 1:200
Immunohistochemical analysis of paraffin-embedded human-breast-cancer, antibody was diluted at 1:200
BATF3 Antibodies
BATF3 for Homo sapiens (Human)
| 產品貨號 | 產品名稱 | 種屬反應性 | 應用類型 |
|---|---|---|---|
| CSB-PA882082LA01HU | BATF3 Antibody | Human | ELISA, IF |
| CSB-PA882082LC01HU | BATF3 Antibody, FITC conjugated | Human | |
| CSB-PA344549 | BATF3 Antibody | Human,Mouse,Rat | WB, IHC, ELISA |
BATF3 Proteins
BATF3 Proteins for Homo sapiens (Human)
| 產品貨號 | 產品名稱 | 來源 |
|---|---|---|
| CSB-YP882082HU CSB-EP882082HU CSB-BP882082HU CSB-MP882082HU CSB-EP882082HU-B |
Recombinant Human Basic leucine zipper transcriptional factor ATF-like 3 (BATF3) | Yeast E.coli Baculovirus Mammalian cell In Vivo Biotinylation in E.coli |






