ATM
ATM,即共濟失調毛細血管擴張癥突變蛋白,別名A-TM。它是一種絲氨酸/蘇氨酸蛋白激酶,屬于PI3K樣蛋白激酶(PIKKs)家族成員之一。ATM主要在細胞核中表達,其編碼基因位于人類第11號染色體上。ATM的作用機制涉及對DNA雙鏈斷裂(DSB)的響應,通過磷酸化多種底物蛋白,包括p53、Chk2、BRCA1等,從而激活細胞周期檢查點、促進DNA修復和誘導細胞凋亡。ATM在維持基因組穩定性、防止腫瘤發生以及對電離輻射和化療藥物的響應中發揮關鍵作用,其功能喪失會導致Ataxia-telangiectasia(A-T)疾病,表現為神經系統退化、癌癥易感性增加和免疫功能障礙。
熱銷產品
ATM Recombinant Monoclonal Antibody (CSB-RA166706A0HU)
驗證數據
IHC image of CSB-RA166706A0HU diluted at 1:100 and staining in paraffin-embedded human breast cancer performed on a Leica BondTM system. After dewaxing and hydration, antigen retrieval was mediated by high pressure in a citrate buffer (pH 6.0). Section was blocked with 10% normal goat serum 30min at RT. Then primary antibody (1% BSA) was incubated at 4℃ overnight. The primary is detected by a Goat anti-rabbit IgG polymer labeled by HRP and visualized using 0.05% DAB.
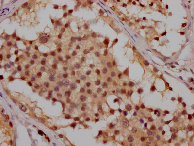
IHC image of CSB-RA166706A0HU diluted at 1:100 and staining in paraffin-embedded human testis tissue performed on a Leica BondTM system. After dewaxing and hydration, antigen retrieval was mediated by high pressure in a citrate buffer (pH 6.0). Section was blocked with 10% normal goat serum 30min at RT. Then primary antibody (1% BSA) was incubated at 4℃ overnight. The primary is detected by a Goat anti-rabbit IgG polymer labeled by HRP and visualized using 0.05% DAB.
Overlay histogram showing Hela cells stained with CSB-RA166706A0HU (red line) at 1:50. The cells were fixed with 70% Ethylalcohol (18h) and then incubated in 10% normal goat serum to block non-specific protein-protein interactions followedby the antibody (1μg/1*106 cells) for 1 h at 4℃.The secondary antibody used was FITC-conjugated goat anti-rabbit IgG (H+L) at 1/200 dilution for 30min at 4℃. Control antibody (green line) was Rabbit IgG (1μg/1*106 cells) used under the same conditions. Acquisition of >10,000 events was performed.
ATM Antibodies
ATM for Homo sapiens (Human)
| 產品貨號 | 產品名稱 | 種屬反應性 | 應用類型 |
|---|---|---|---|
| CSB-PA188639 | Phospho-ATM (Ser1981) Antibody | Human,Mouse | ELISA,WB,IHC |
| CSB-PA272996 | ATM (Ab-1981) Antibody | Human,Mouse | ELISA,WB,IF |
| CSB-PA020042 | ATM Antibody | Human,Mouse | WB, IHC, ELISA |
| CSB-PA020043 | ATM Antibody | Human | IHC, ELISA |
| CSB-PA465029 | Phospho-ATM (Ser1981) Antibody | Human,Mouse | WB, ELISA |
| CSB-PA612595 | ATM Antibody | Human,Mouse,Rat | IHC,ELISA |
| CSB-PA243808 | ATM Antibody | Human,Mouse,Rat | IHC,ELISA |
| CSB-MA974761 | ATM Monoclonal Antibody | Human,Mouse,Rat | ELISA,IHC |
| CSB-MA429116 | ATM Monoclonal Antibody | Human,Mouse,Rat | ELISA,IHC |
| CSB-MA341522 | ATM Monoclonal Antibody | Human,Mouse,Rat | ELISA,IHC |
| CSB-RA618770A1981phHU | Phospho-ATM (S1981) Recombinant Monoclonal Antibody | Human | ELISA, IF |
| CSB-RA618770A0HU | ATM Recombinant Monoclonal Antibody | Human | ELISA, WB, IP |
| CSB-RA166706A0HU | ATM Recombinant Monoclonal Antibody | Human | ELISA, IHC, FC |
ATM Proteins
ATM Proteins for Homo sapiens (Human)
| 產品貨號 | 產品名稱 | 來源 |
|---|---|---|
| CSB-YP618770HU CSB-EP618770HU CSB-BP618770HU CSB-MP618770HU CSB-EP618770HU-B |
Recombinant Human Serine-protein kinase ATM (ATM), partial | Yeast E.coli Baculovirus Mammalian cell In Vivo Biotinylation in E.coli |
ATM Proteins for Mus musculus (Mouse)
| 產品貨號 | 產品名稱 | 來源 |
|---|---|---|
| CSB-YP726793MO CSB-EP726793MO CSB-BP726793MO CSB-MP726793MO CSB-EP726793MO-B |
Recombinant Mouse Serine-protein kinase ATM (Atm), partial | Yeast E.coli Baculovirus Mammalian cell In Vivo Biotinylation in E.coli |
ATM Proteins for Sus scrofa (Pig)
| 產品貨號 | 產品名稱 | 來源 |
|---|---|---|
| CSB-YP754283PI CSB-EP754283PI CSB-BP754283PI CSB-MP754283PI CSB-EP754283PI-B |
Recombinant Pig Serine-protein kinase ATM (ATM), partial | Yeast E.coli Baculovirus Mammalian cell In Vivo Biotinylation in E.coli |
ATM Proteins for Arabidopsis thaliana (Mouse-ear cress)
| 產品貨號 | 產品名稱 | 來源 |
|---|---|---|
| CSB-YP885532DOA CSB-EP885532DOA CSB-BP885532DOA CSB-MP885532DOA CSB-EP885532DOA-B |
Recombinant Arabidopsis thaliana Serine/threonine-protein kinase ATM (ATM), partial | Yeast E.coli Baculovirus Mammalian cell In Vivo Biotinylation in E.coli |






