ASPH
天冬氨酰β-羥化酶(ASPH)又稱HAAH,是一種催化蛋白質羥基化反應的酶,主要通過對天冬氨酸或天冬酰胺殘基進行修飾,影響細胞黏附與運動能力。ASPH在多種惡性腫瘤中異常高表達,尤其在肝癌、胰腺癌和乳腺癌中,其活性增強會加速腫瘤細胞侵襲轉移,并與患者較差的生存率密切相關。ASPH通過激活Notch、HIF-1α等分子網絡,促進血管新生和腫瘤微環境重塑,同時與TGF-β協同驅動上皮間質轉化過程。
近年來,ASPH成為抗癌藥物開發的熱點靶點。小分子抑制劑如MO-I-1151已在臨床前研究中顯示出阻斷腫瘤生長的潛力,而單克隆抗體藥物JCTN-1通過特異性結合ASPH抑制其酶活性,目前處于早期臨床試驗階段。基于CRISPR的基因編輯技術也在探索靶向沉默ASPH的可能性部分肝癌患者中ASPH表達水平與索拉非尼耐藥性存在關聯,這為聯合用藥策略提供了新方向。
熱銷產品
Recombinant Human Aspartyl/asparaginyl beta-hydroxylase (ASPH), partial (CSB-EP002226HU)
驗證數據
(Tris-Glycine gel) Discontinuous SDS-PAGE (reduced) with 5% enrichment gel and 15% separation gel.
Based on the SEQUEST from database of E.coli host and target protein, the LC-MS/MS Analysis result of CSB-EP002226HU could indicate that this peptide derived from E.coli-expressed Homo sapiens (Human) ASPH.
Based on the SEQUEST from database of E.coli host and target protein, the LC-MS/MS Analysis result of CSB-EP002226HU could indicate that this peptide derived from E.coli-expressed Homo sapiens (Human) ASPH.
ASPH Antibody (CSB-PA002226HA01HU)
驗證數據
Western Blot
Positive WB detected in: A549 whole cell lysate, HepG2 whole cell lysate, Mouse kidney tissue
All lanes: ASPH antibody at 3µg/ml
Secondary
Goat polyclonal to rabbit IgG at 1/50000 dilution
Predicted band size: 86, 35, 26, 24, 34, 84, 30, 22, 29, 33 kDa
Observed band size: 86 kDa
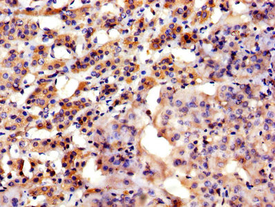
IHC image of CSB-PA002226HA01HU diluted at 1:300 and staining in paraffin-embedded human adrenal gland tissue performed on a Leica BondTM system. After dewaxing and hydration, antigen retrieval was mediated by high pressure in a citrate buffer (pH 6.0). Section was blocked with 10% normal goat serum 30min at RT. Then primary antibody (1% BSA) was incubated at 4°C overnight. The primary is detected by a biotinylated secondary antibody and visualized using an HRP conjugated SP system.
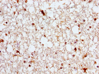
IHC image of CSB-PA002226HA01HU diluted at 1:300 and staining in paraffin-embedded human brain tissue performed on a Leica BondTM system. After dewaxing and hydration, antigen retrieval was mediated by high pressure in a citrate buffer (pH 6.0). Section was blocked with 10% normal goat serum 30min at RT. Then primary antibody (1% BSA) was incubated at 4°C overnight. The primary is detected by a biotinylated secondary antibody and visualized using an HRP conjugated SP system.
Immunofluorescence staining of Hela cells with CSB-PA002226HA01HU at 1:100, counter-stained with DAPI. The cells were fixed in 4% formaldehyde, permeabilized using 0.2% Triton X-100 and blocked in 10% normal Goat Serum. The cells were then incubated with the antibody overnight at 4°C. The secondary antibody was Alexa Fluor 488-congugated AffiniPure Goat Anti-Rabbit IgG(H+L).
ASPH Antibodies
ASPH for Homo sapiens (Human)
| 產品貨號 | 產品名稱 | 種屬反應性 | 應用類型 |
|---|---|---|---|
| CSB-PA002226GA01HU | ASPH Antibody | Human | ELISA,WB |
| CSB-PA002226HA01HU | ASPH Antibody | Human, Mouse | ELISA, WB, IHC, IF |
| CSB-PA002226HC01HU | ASPH Antibody, FITC conjugated | Human |
ASPH Proteins
ASPH Proteins for Homo sapiens (Human)
| 產品貨號 | 產品名稱 | 來源 |
|---|---|---|
| CSB-YP622512HU CSB-EP622512HU CSB-BP622512HU CSB-MP622512HU CSB-EP622512HU-B |
Recombinant Human Aspartyl/asparaginyl beta-hydroxylase (ASPH), partial | Yeast E.coli Baculovirus Mammalian cell In Vivo Biotinylation in E.coli |
| CSB-EP002226HU | Recombinant Human Aspartyl/asparaginyl beta-hydroxylase (ASPH), partial | E.coli |






