AQP4
AQP4,即水通道蛋白4,別名MGC22454、MIWC、WCH4。AQP4主要在中樞神經系統的星形膠質細胞中表達,尤其在細胞終足部分,對維持腦內水和鉀離子平衡發揮關鍵作用。AQP4的作用機制涉及形成水分子的通道,允許水分子根據滲透梯度快速通過細胞膜,從而參與調節腦脊液的產生、內環境穩定以及神經系統的水和鉀離子平衡。AQP4參與了多種神經系統疾病的發生發展,如腦水腫、缺血性腦卒中、神經炎癥等,其表達水平的變化與疾病的嚴重程度和預后密切相關。AQP4還與視神經脊髓炎譜系疾病(NMOSD)緊密相關,AQP4抗體陽性患者的病變分布與AQP4的分布高度相關,特征性病灶位于視神經、脊髓、間腦和后腦區。AQP4在中樞神經系統疾病的診斷和治療中具有重要的生物學意義。
熱銷產品
Recombinant Human Aquaporin-4 (AQP4), partial (CSB-EP001964HU)
驗證數據
(Tris-Glycine gel) Discontinuous SDS-PAGE (reduced) with 5% enrichment gel and 15% separation gel.
AQP4 Recombinant Monoclonal Antibody (CSB-RA548145A0HU)
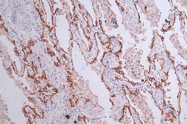
驗證數據
IHC image of CSB-RA548145A0HU diluted at 1:50 and staining in paraffin-embedded human lung cancer performed on a Leica BondTM system. After dewaxing and hydration, antigen retrieval was mediated by high pressure in a citrate buffer (pH 6.0). Section was blocked with 10% normal goat serum 30min at RT. Then primary antibody (1% BSA) was incubated at 4°C overnight. The primary is detected by a Goat anti-rabbit polymer IgG labeled by HRP and visualized using 0.33% DAB.
AQP4 Antibodies
AQP4 for Homo sapiens (Human)
| 產品貨號 | 產品名稱 | 種屬反應性 | 應用類型 |
|---|---|---|---|
| CSB-PA001964GA01HU | AQP4 Antibody | Human,Mouse,Rat | ELISA,WB,IHC |
| CSB-PA001964ESR1HU | AQP4 Antibody | Human, Mouse | ELISA, WB |
| CSB-PA11137A0Rb | AQP4 Antibody | Human, Mouse | ELISA, WB, IHC, IF |
| CSB-PA11137B0Rb | AQP4 Antibody, HRP conjugated | Human | ELISA |
| CSB-PA11137D0Rb | AQP4 Antibody, Biotin conjugated | Human | ELISA |
| CSB-PA000914 | AQP4 Antibody | Human,Mouse,Rat | WB, IHC, ELISA |
| CSB-PA579941 | AQP4 Antibody | Human,Mouse,Rat | ELISA,WB,IHC |
| CSB-PA905782 | AQP4 Antibody | Human,Mouse,Rat | ELISA,WB,IHC |
| CSB-RA548145A0HU | AQP4 Recombinant Monoclonal Antibody | Human | ELISA, IHC |
AQP4 for H, M, R
| 產品貨號 | 產品名稱 | 種屬反應性 | 應用類型 |
|---|---|---|---|
| CSB-MA000219 | AQP4 Monoclonal Antibody | Human,Mouse,Rat | ELISA,WB,IHC,IF |
AQP4 Proteins
AQP4 Proteins for Homo sapiens (Human)
| 產品貨號 | 產品名稱 | 來源 |
|---|---|---|
| CSB-YP001964HU | Recombinant Human Aquaporin-4 (AQP4), partial | Yeast |
| CSB-EP001964HU | Recombinant Human Aquaporin-4 (AQP4), partial | E.coli |
| CSB-BP001964HU CSB-MP001964HU |
Recombinant Human Aquaporin-4 (AQP4), partial | Baculovirus Mammalian cell |
AQP4 ELISA Kit
AQP4 ELISA Kit for Homo sapiens (Human)
| 產品貨號 | 產品名稱 | 樣本類型 | 靈敏度 |
|---|---|---|---|
| CSB-E08254h | Human Aquaporin 4,AQP-4 ELISA Kit | serum, plasma, tissue homogenates | 0.039 ng/mL |






