APOBEC3C
APOBEC3C,也稱為載脂蛋白B mRNA編輯酶催化多肽3C,是一種在細胞內發揮重要作用的蛋白質。它主要參與調節DNA和RNA的編輯過程,對維持基因組的穩定性和抗病毒免疫有重要作用。APOBEC3C的表達異常與多種疾病相關,如胰腺導管腺癌(PDAC)等。在藥物研發方面,針對APOBEC3C的藥物正在研發中,旨在通過調節其活性來治療相關疾病。
熱銷產品
Recombinant Human DNA dC->dU-editing enzyme APOBEC-3C (APOBEC3C) (CSB-EP889097HU)
驗證數據
(Tris-Glycine gel) Discontinuous SDS-PAGE (reduced) with 5% enrichment gel and 15% separation gel.
APOBEC3C Antibody (CSB-PA889097ESR1HU)
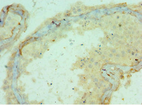
驗證數據
Immunohistochemistry of paraffin-embedded human testis tissue using CSB-PA889097ESR1HUat dilution of 1:100
Immunohistochemistry of paraffin-embedded human liver tissue using CSB-PA889097ESR1HUat dilution of 1:100
APOBEC3C Antibodies
APOBEC3C for Homo sapiens (Human)
| 產品貨號 | 產品名稱 | 種屬反應性 | 應用類型 |
|---|---|---|---|
| CSB-PA001923GA01HU | APOBEC3C Antibody | Human | ELISA,IHC |
| CSB-PA889097ESR1HU | APOBEC3C Antibody | Human | ELISA, IHC |
| CSB-PA889097ESR2HU | APOBEC3C Antibody | Human | ELISA, WB, IHC |
| CSB-PA040415 | APOBEC3C Antibody | Human | ELISA,WB |
| CSB-PA157457 | APOBEC3C Antibody | Human | ELISA,WB |
APOBEC3C Proteins
APOBEC3C Proteins for Homo sapiens (Human)
| 產品貨號 | 產品名稱 | 來源 |
|---|---|---|
| CSB-YP889097HU CSB-BP889097HU CSB-MP889097HU CSB-EP889097HU-B |
Recombinant Human DNA dC->dU-editing enzyme APOBEC-3C (APOBEC3C) | Yeast Baculovirus Mammalian cell In Vivo Biotinylation in E.coli |
| CSB-EP889097HU | Recombinant Human DNA dC->dU-editing enzyme APOBEC-3C (APOBEC3C) | E.coli |






