ANTXR1
ANTXR1全稱為炭疽毒素受體1(Anthrax Toxin Receptor 1),早期研究中被稱為腫瘤內皮標記物8(TEM8)。ANTXR1屬于Ⅰ型跨膜蛋白家族,通過特異性結合炭疽桿菌毒素的保護性抗原組分,介導毒素進入宿主細胞,成為炭疽感染的關鍵分子靶點。近年來研究發現,TEM8在正常生理狀態下參與血管新生調控,其胞外段含有的血管性血友病因子A結構域(VWA)可與膠原蛋白等細胞外基質成分相互作用,影響內皮細胞遷移和血管網絡形成。
在疾病領域,ANTXR1的異常表達與多種實體瘤密切相關,例如結直腸癌、乳腺癌中常出現蛋白高表達,可能通過促進腫瘤血管生成加速癌癥進展。臨床前研究表明,針對TEM8的單克隆抗體或小分子抑制劑可顯著抑制小鼠模型中腫瘤生長和轉移。此外,ANTXR1突變與罕見的GAPO綜合征相關,表現為生長遲緩、脫發及骨發育異常。目前基于該靶點的藥物研發主要集中在炭疽毒素中和劑和抗腫瘤生物制劑兩大方向,已有數款單抗藥物進入Ⅰ/Ⅱ期臨床試驗階段。
熱銷產品
Recombinant Human Anthrax toxin receptor 1 (ANTXR1), partial (CSB-YP001832HU)
驗證數據
(Tris-Glycine gel) Discontinuous SDS-PAGE (reduced) with 5% enrichment gel and 15% separation gel.
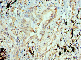
ANTXR1 Antibody (CSB-PA001832ESR1HU)
驗證數據
Immunohistochemistry of paraffin-embedded human lung cancer using CSB-PA001832ESR1HU at dilution of 1:100
Human anthrax toxin receptor 1(ANTXR1) ELISA kit (CSB-EL001832HU)
驗證數據
貨號:CSB-EL001832HU
規格:96T/48T
靈敏度:15.6 pg/mL
檢測范圍:62.5 pg/mL-4000 pg/mL
These standard curves are provided for demonstration only. A standard curve should be generated for each set of samples assayed.
ANTXR1 Antibodies
ANTXR1 for Homo sapiens (Human)
| 產品貨號 | 產品名稱 | 種屬反應性 | 應用類型 |
|---|---|---|---|
| CSB-PA001832GA01HU | ANTXR1 Antibody | Human,Mouse,Rat | ELISA,WB |
| CSB-PA001832ESR1HU | ANTXR1 Antibody | Human | ELISA, IHC |
| CSB-PA283852 | ANTXR1 Antibody | Human,Mouse,Rat | ELISA,WB |
| CSB-PA276953 | ANTXR1 Antibody | Human,Mouse,Rat | ELISA,WB,IHC |
ANTXR1 Proteins
ANTXR1 Proteins for Homo sapiens (Human)
| 產品貨號 | 產品名稱 | 來源 |
|---|---|---|
| CSB-YP001832HU | Recombinant Human Anthrax toxin receptor 1 (ANTXR1), partial | Yeast |
| CSB-EP001832HU CSB-BP001832HU CSB-MP001832HU CSB-EP001832HU-B |
Recombinant Human Anthrax toxin receptor 1 (ANTXR1), partial | E.coli Baculovirus Mammalian cell In Vivo Biotinylation in E.coli |
ANTXR1 Proteins for Mus musculus (Mouse)
| 產品貨號 | 產品名稱 | 來源 |
|---|---|---|
| CSB-YP001832MO | Recombinant Mouse Anthrax toxin receptor 1 (Antxr1), partial | Yeast |
| CSB-EP001832MO | Recombinant Mouse Anthrax toxin receptor 1 (Antxr1), partial | E.coli |
| CSB-BP001832MO CSB-EP001832MO-B |
Recombinant Mouse Anthrax toxin receptor 1 (Antxr1), partial | Baculovirus In Vivo Biotinylation in E.coli |
| CSB-MP001832MO | Recombinant Mouse Anthrax toxin receptor 1 (Antxr1), partial | Mammalian cell |
ANTXR1 Proteins for Rattus norvegicus (Rat)
| 產品貨號 | 產品名稱 | 來源 |
|---|---|---|
| CSB-YP001832RA CSB-EP001832RA CSB-BP001832RA CSB-MP001832RA CSB-EP001832RA-B |
Recombinant Rat Anthrax toxin receptor 1 (Antxr1), partial | Yeast E.coli Baculovirus Mammalian cell In Vivo Biotinylation in E.coli |
ANTXR1 ELISA Kit
ANTXR1 ELISA Kit for Homo sapiens (Human)
| 產品貨號 | 產品名稱 | 樣本類型 | 靈敏度 |
|---|---|---|---|
| CSB-EL001832HU | Human anthrax toxin receptor 1(ANTXR1) ELISA kit | serum, plasma, tissue homogenates | 15.6 pg/mL |






