ANGPTL3
ANGPTL,即血管生成素樣蛋白3,別名AGPTL3。ANGPTL3主要在肝臟中表達,由ANGPTL3基因編碼,并且其表達受肝X受體(LXR)的調控。ANGPTL3通過抑制脂蛋白脂酶(LPL)和內皮脂酶(EL)的活性,從而減少乳糜微粒和極低密度脂蛋白(VLDL)中的甘油三酯被水解,這導致LDL-C、VLDL-C、HDL-C以及甘油三酯(TG)水平的降低。ANGPTL3的這種抑制作用對調節血脂水平和降低心血管風險具有重要意義。ANGPTL3的功能不僅在脂質代謝中發揮關鍵作用,還與動脈粥樣硬化性心血管疾病的風險降低有關。研究表明,ANGPTL3功能缺失突變的攜帶者具有更低的三酰甘油、HDL-C和LDL-C水平,并且冠心病的發病率也顯著下降。因此,ANGPTL3成為了降脂治療的新興靶點,針對ANGPTL3的藥物研發,如單克隆抗體Evinacumab和反義寡核苷酸Vupanorsen,已經在臨床試驗中顯示出降低血脂水平的潛力。
熱銷產品
ANGPTL3 Antibody (CSB-PA169214)
驗證數據
Gel: 10%SDS-PAGE Lysate: 30 ug Human liver cancer tissue lysate Primary antibody: 1/400 dilution Secondary antibody: Donkey anti Rabbit IgG - H&L (HRP) at 1/ 3000 dilution Exposure time: 1 minute
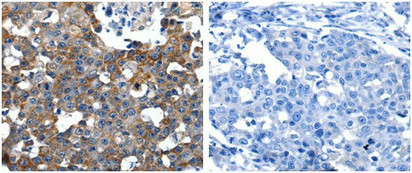
The image on the left is immunohistochemistry of paraffin-embedded Human breast cancer tissue using 31029(ANGPTL3 Antibody) at dilution 1/8, on the right is treated with the fusion protein.
ANGPTL3 Antibodies
ANGPTL3 for Homo sapiens (Human)
| 產品貨號 | 產品名稱 | 種屬反應性 | 應用類型 |
|---|---|---|---|
| CSB-PA001711GA01HU | ANGPTL3 Antibody | Human,Mouse,Rat | ELISA,WB,IHC |
| CSB-PA169214 | ANGPTL3 Antibody | Human | ELISA,WB,IHC |
| CSB-PA05759A0Rb | ANGPTL3 Antibody | Human | ELISA, IHC |
| CSB-PA05759D0Rb | ANGPTL3 Antibody, Biotin conjugated | Human | ELISA |
ANGPTL3 Proteins
ANGPTL3 Proteins for Mus musculus (Mouse)
| 產品貨號 | 產品名稱 | 來源 |
|---|---|---|
| CSB-YP874172MO CSB-BP874172MO CSB-MP874172MO CSB-EP874172MO-B |
Recombinant Mouse Angiopoietin-related protein 3 (Angptl3) | Yeast Baculovirus Mammalian cell In Vivo Biotinylation in E.coli |
ANGPTL3 Proteins for Homo sapiens (Human)
| 產品貨號 | 產品名稱 | 來源 |
|---|---|---|
| CSB-YP896903HU CSB-EP896903HU CSB-BP896903HU CSB-MP896903HU CSB-EP896903HU-B |
Recombinant Human Angiopoietin-related protein 3 (ANGPTL3) | Yeast E.coli Baculovirus Mammalian cell In Vivo Biotinylation in E.coli |
ANGPTL3 ELISA Kit
ANGPTL3 ELISA Kit for Homo sapiens (Human)
| 產品貨號 | 產品名稱 | 樣本類型 | 靈敏度 |
|---|---|---|---|
| CSB-E11724h | Human angiopoietin-like protein 3,ANGPTL3 ELISA Kit | serum, plasma, tissue homogenates | 19.5 pg/mL |
ANGPTL3 ELISA Kit for Mus musculus (Mouse)
| 產品貨號 | 產品名稱 | 樣本類型 | 靈敏度 |
|---|---|---|---|
| CSB-EL001711MO | Mouse Angiopoietin-related protein 3(ANGPTL3) ELISA kit | serum, plasma, tissue homogenates | 10.24 pg/mL |






