ALK
ALK,即間變性淋巴瘤激酶”,別名Anaplastic Lymphoma Kinase、CD246。它是一種受體酪氨酸激酶,由人體細胞自身的基因編碼,在多種惡性腫瘤中發生變異。ALK融合在非小細胞肺癌中發生的頻率為3-7%,且大部分為EML4-ALK融合形式;ALK繼發性耐藥突變約占ALK陽性NSCLC耐藥的37%,分別是ALK激酶區突變(28%)和ALK融合基因拷貝數擴增(9%)。ALK的作用機制涉及其作為細胞表面受體的功能,當與特定配體結合后,ALK發生二聚化并自身磷酸化,激活下游的信號傳導途徑。這些信號通路包括PI3K/AKT、MAPK、JAK/STAT等,它們在細胞增殖、分化、遷移和凋亡等過程中發揮重要作用。在腫瘤細胞中,ALK的異常激活可以促進腫瘤的發生和發展。ALK在生物學上的意義非常廣泛,它不僅參與了細胞的正常生理過程,還與多種疾病的發生發展密切相關。在腫瘤細胞中,ALK的異常激活可以促進腫瘤的發生和發展,尤其是在非小細胞肺癌中,ALK融合基因的存在是重要的治療靶點。針對ALK的抑制劑,如克唑替尼等,已被開發并用于臨床治療ALK陽性的非小細胞肺癌患者,顯著改善了患者的生存期和生活質量。
熱銷產品
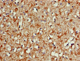
ALK Antibody (CSB-PA21109A0Rb)
驗證數據
Immunohistochemistry of paraffin-embedded human brain tissue using CSB-PA21109A0Rb at dilution of 1:100
Immunofluorescent analysis of HepG2 cells using CSB-PA21109A0Rb at dilution of 1:100 and Alexa Fluor 488-congugated AffiniPure Goat Anti-Rabbit IgG(H+L)
ALK Antibodies
ALK for Homo sapiens (Human)
| 產品貨號 | 產品名稱 | 種屬反應性 | 應用類型 |
|---|---|---|---|
| CSB-PA209313 | Phospho-ALK (Tyr1507) Antibody | Human,Mouse | ELISA,WB |
| CSB-PA116393 | Phospho-ALK (Tyr1096) Antibody | Human,Mouse | ELISA,IHC |
| CSB-PA045830 | ALK Antibody | Human | ELISA,IHC,IF |
| CSB-PA154906 | Phospho-ALK (Tyr1604) Antibody | Human | ELISA,WB,IHC,IF |
| CSB-PA008445 | Phospho-ALK (Y1507) Antibody | Human,Mouse,Monkey | WB, IHC, ELISA |
| CSB-PA008446 | Phospho-ALK (Y1604) Antibody | Human | WB, IHC, IF, ELISA |
| CSB-PA008448 | Phospho-ALK (Y1096) Antibody | Human,Mouse | IHC, ELISA |
| CSB-PA008450 | ALK Antibody | Human | WB, IHC, IF, ELISA |
| CSB-PA008462 | ALK Antibody | Human,Mouse | IHC, ELISA |
| CSB-PA008463 | ALK Antibody | Human,Mouse | WB, ELISA |
| CSB-PA008468 | ALK Antibody | Human,Mouse | WB, ELISA |
| CSB-PA847171 | ALK Antibody | Human,Mouse | ELISA,IHC |
| CSB-PA21109A0Rb | ALK Antibody | Human | ELISA, IHC, IF |
ALK Proteins
ALK Proteins for Mus musculus (Mouse)
| 產品貨號 | 產品名稱 | 來源 |
|---|---|---|
| CSB-YP001606MO CSB-EP001606MO CSB-BP001606MO CSB-MP001606MO CSB-EP001606MO-B |
Recombinant Mouse ALK tyrosine kinase receptor (Alk), partial | Yeast E.coli Baculovirus Mammalian cell In Vivo Biotinylation in E.coli |
ALK Proteins for Homo sapiens (Human)
| 產品貨號 | 產品名稱 | 來源 |
|---|---|---|
| CSB-YP890938HU CSB-EP890938HU CSB-BP890938HU CSB-MP890938HU CSB-EP890938HU-B |
Recombinant Human ALK tyrosine kinase receptor (ALK), partial | Yeast E.coli Baculovirus Mammalian cell In Vivo Biotinylation in E.coli |






