AGPAT2
AGPAT2,即1-磷酸甘油-3-磷酸酰基轉移酶2,別名LPAAT-β、GPAT2等。它是一種由AGPAT2基因編碼的酶,屬于磷脂酸磷酸酶家族成員,在多種組織中表達。Agpat2的作用機制涉及催化甘油磷脂的生物合成過程中的關鍵步驟,將1-磷酸甘油與CDP-二酰甘油反應生成磷脂酸,進而參與合成多種重要的膜磷脂。Agpat2的功能異常與某些疾病有關,如神經退行性疾病、心血管疾病和癌癥。研究表明,Agpat2在某些腫瘤中表達上調,可能與腫瘤細胞的增殖和遷移能力增強有關,使其成為腫瘤研究和治療的潛在靶點。
熱銷產品
AGPAT2 Antibody (CSB-PA001450ESR2HU)
驗證數據
Western blot
All lanes: AGPAT2 antibody at 1.09μg/ml + Jurkat whole cell lysate
Secondary
Goat polyclonal to rabbit IgG at 1/10000 dilution
Predicted band size: 31, 28 kDa
Observed band size: 31 kDa
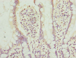
Immunohistochemistry of paraffin-embedded human small intestine tissue using CSB-PA001450ESR2HU at dilution of 1:100
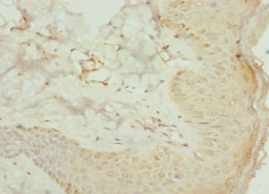
Immunohistochemistry of paraffin-embedded human skin tissue using CSB-PA001450ESR2HU at dilution of 1:100
AGPAT2 Antibodies
AGPAT2 for Homo sapiens (Human)
| 產品貨號 | 產品名稱 | 種屬反應性 | 應用類型 |
|---|---|---|---|
| CSB-PA101475 | AGPAT2 Antibody | Human | ELISA,WB |
| CSB-PA001450ESR2HU | AGPAT2 Antibody | Human | ELISA, WB, IHC |
AGPAT2 Proteins
AGPAT2 Proteins for Homo sapiens (Human)
| 產品貨號 | 產品名稱 | 來源 |
|---|---|---|
| CSB-YP001450HU1 CSB-EP001450HU1 CSB-BP001450HU1 CSB-MP001450HU1 CSB-EP001450HU1-B |
Recombinant Human 1-acyl-sn-glycerol-3-phosphate acyltransferase beta (AGPAT2), partial | Yeast E.coli Baculovirus Mammalian cell In Vivo Biotinylation in E.coli |
| CSB-CF001450HU | Recombinant Human 1-acyl-sn-glycerol-3-phosphate acyltransferase beta (AGPAT2) | in vitro E.coli expression system |
AGPAT2 Proteins for Mus musculus (Mouse)
| 產品貨號 | 產品名稱 | 來源 |
|---|---|---|
| CSB-YP814318MO1 CSB-EP814318MO1 CSB-BP814318MO1 CSB-MP814318MO1 CSB-EP814318MO1-B |
Recombinant Mouse 1-acyl-sn-glycerol-3-phosphate acyltransferase beta (Agpat2), partial | Yeast E.coli Baculovirus Mammalian cell In Vivo Biotinylation in E.coli |
| CSB-CF814318MO | Recombinant Mouse 1-acyl-sn-glycerol-3-phosphate acyltransferase beta (Agpat2) | in vitro E.coli expression system |






