ACP1
ACP1蛋白,全稱為酸性磷酸酶1,也被稱為酸磷酶1、紅細胞酸磷酶等。該蛋白在細胞內參與多種生物化學過程,如細胞信號傳導、細胞骨架組裝和細胞凋亡等。它通過催化磷酸酯鍵的水解,調節細胞內鈣離子濃度,影響細胞功能。ACP1蛋白與多種疾病相關,如癌癥、骨質疏松和神經退行性疾病等。在藥物研發方面,針對ACP1蛋白的靶向藥物正在研發中,旨在治療相關疾病。
熱銷產品
Recombinant Human Low molecular weight phosphotyrosine protein phosphatase (ACP1) (CSB-EP001176HUe1)
驗證數據
(Tris-Glycine gel) Discontinuous SDS-PAGE (reduced) with 5% enrichment gel and 15% separation gel.
Based on the SEQUEST from database of E.coli host and target protein, the LC-MS/MS Analysis result of CSB-EP001176HUe1 could indicate that this peptide derived from E.coli-expressed Homo sapiens (Human) ACP1.
Based on the SEQUEST from database of E.coli host and target protein, the LC-MS/MS Analysis result of CSB-EP001176HUe1 could indicate that this peptide derived from E.coli-expressed Homo sapiens (Human) ACP1.
ACP1 Antibody (CSB-PA001176ESR2HU)
驗證數據
Western blot
All lanes: Low molecular weight phosphotyrosine protein phosphatase antibody at 4μg/ml + HepG2 whole cell lysate
Secondary
Goat polyclonal to rabbit IgG at 1/10000 dilution
Predicted band size: 19, 18, 15, 13 kDa
Observed band size: 19 kDa
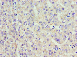
Immunohistochemistry of paraffin-embedded human placenta tissue using CSB-PA001176ESR2HU at dilution of 1:100
ACP1 Antibodies
ACP1 for Homo sapiens (Human)
| 產品貨號 | 產品名稱 | 種屬反應性 | 應用類型 |
|---|---|---|---|
| CSB-PA001176ESR2HU | ACP1 Antibody | Human | ELISA, WB, IHC |
| CSB-PA001176ESR1HU | ACP1 Antibody | Human | ELISA |
ACP1 Proteins
ACP1 Proteins for Homo sapiens (Human)
| 產品貨號 | 產品名稱 | 來源 |
|---|---|---|
| CSB-YP001176HU CSB-BP001176HU CSB-MP001176HU CSB-EP001176HU-B |
Recombinant Human Low molecular weight phosphotyrosine protein phosphatase (ACP1) | Yeast Baculovirus Mammalian cell In Vivo Biotinylation in E.coli |
| CSB-EP001176HU | Recombinant Human Low molecular weight phosphotyrosine protein phosphatase (ACP1) | E.coli |
| CSB-EP001176HUe1 | Recombinant Human Low molecular weight phosphotyrosine protein phosphatase (ACP1) | E.coli |






