ACE
ACE,即血管緊張素轉換酶,別名CD143、DCP1、MVCD3。它是一種關鍵的肽基肽酶,由ACE基因編碼,廣泛分布于肺、腎臟和血管內皮細胞。它通過將無活性的血管緊張素I轉化為有活性的血管緊張素II,調節血管的收縮與舒張,進而影響血壓和體內水分平衡。ACE還參與激活凝血酶原,促進血液凝固。在生物學上,ACE對維持心血管健康和體液電解質平衡至關重要,其活性異常與高血壓、心血管疾病等密切相關。ACE抑制劑是治療高血壓和心力衰竭等病癥的常用藥物,通過降低血管緊張素II水平,減輕心臟負擔,保護心血管系統。
熱銷產品
ACE Recombinant Monoclonal Antibody (CSB-RA268157A0HU)
驗證數據
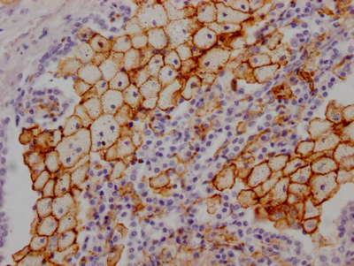
IHC image of CSB-RA268157A0HU diluted at 1:100 and staining in paraffin-embedded human lung tissue performed on a Leica BondTM system. After dewaxing and hydration, antigen retrieval was mediated by high pressure in a citrate buffer (pH 6.0). Section was blocked with 10% normal goat serum 30min at RT. Then primary antibody (1% BSA) was incubated at 4℃ overnight. The primary is detected by a Goat anti-rabbit IgG polymer labeled by HRP and visualized using 0.05% DAB.
IHC image of CSB-RA268157A0HU diluted at 1:100 and staining in paraffin-embedded human kidney tissue performed on a Leica BondTM system. After dewaxing and hydration, antigen retrieval was mediated by high pressure in a citrate buffer (pH 6.0). Section was blocked with 10% normal goat serum 30min at RT. Then primary antibody (1% BSA) was incubated at 4℃ overnight. The primary is detected by a Goat anti-rabbit IgG polymer labeled by HRP and visualized using 0.05% DAB.
ACE Antibodies
ACE for Homo sapiens (Human)
| 產品貨號 | 產品名稱 | 種屬反應性 | 應用類型 |
|---|---|---|---|
| CSB-PA007661 | ACE Antibody | Human,Mouse,Rat | WB, IHC, ELISA |
| CSB-PA152113 | ACE Antibody | Human,Mouse,Rat | ELISA,WB |
| CSB-PA172536 | ACE Antibody | Human,Mouse,Rat | ELISA,WB |
| CSB-PA271234 | ACE Antibody | Human,Mouse,Rat | ELISA,WB,IHC |
| CSB-PA575032 | ACE Antibody | Human,Mouse,Rat | ELISA,WB,IHC |
| CSB-PA794185 | ACE Antibody | Human,Mouse | IHC,ELISA |
| CSB-RA268157A0HU | ACE Recombinant Monoclonal Antibody | Human | ELISA, IHC |
ACE for Rattus norvegicus (Rat)
| 產品貨號 | 產品名稱 | 種屬反應性 | 應用類型 |
|---|---|---|---|
| CSB-PA001149LA01RA | Ace Antibody | Rat | ELISA, IHC |
| CSB-PA001149LB01RA | Ace Antibody, HRP conjugated | Rat | ELISA |
| CSB-PA001149LC01RA | Ace Antibody, FITC conjugated | Rat | |
| CSB-PA001149LD01RA | Ace Antibody, Biotin conjugated | Rat | ELISA |
ACE Proteins
ACE Proteins for Homo sapiens (Human)
| 產品貨號 | 產品名稱 | 來源 |
|---|---|---|
| CSB-YP001149HU CSB-EP001149HU CSB-BP001149HU CSB-MP001149HU CSB-EP001149HU-B |
Recombinant Human Angiotensin-converting enzyme (ACE), partial | Yeast E.coli Baculovirus Mammalian cell In Vivo Biotinylation in E.coli |
ACE Proteins for Bos taurus (Bovine)
| 產品貨號 | 產品名稱 | 來源 |
|---|---|---|
| CSB-YP001149BO CSB-EP001149BO CSB-BP001149BO CSB-MP001149BO CSB-EP001149BO-B |
Recombinant Bovine Angiotensin-converting enzyme (ACE) | Yeast E.coli Baculovirus Mammalian cell In Vivo Biotinylation in E.coli |
ACE Proteins for Oryctolagus cuniculus (Rabbit)
| 產品貨號 | 產品名稱 | 來源 |
|---|---|---|
| CSB-YP001149RB CSB-EP001149RB CSB-BP001149RB CSB-MP001149RB CSB-EP001149RB-B |
Recombinant Rabbit Angiotensin-converting enzyme (ACE), partial | Yeast E.coli Baculovirus Mammalian cell In Vivo Biotinylation in E.coli |
ACE Proteins for Mus musculus (Mouse)
| 產品貨號 | 產品名稱 | 來源 |
|---|---|---|
| CSB-YP001149MO CSB-EP001149MO CSB-BP001149MO CSB-MP001149MO CSB-EP001149MO-B |
Recombinant Mouse Angiotensin-converting enzyme (Ace), partial | Yeast E.coli Baculovirus Mammalian cell In Vivo Biotinylation in E.coli |
ACE Proteins for Rattus norvegicus (Rat)
| 產品貨號 | 產品名稱 | 來源 |
|---|---|---|
| CSB-YP001149RA CSB-EP001149RA CSB-BP001149RA CSB-MP001149RA CSB-EP001149RA-B |
Recombinant Rat Angiotensin-converting enzyme (Ace), partial | Yeast E.coli Baculovirus Mammalian cell In Vivo Biotinylation in E.coli |
ACE Proteins for Drosophila melanogaster (Fruit fly)
| 產品貨號 | 產品名稱 | 來源 |
|---|---|---|
| CSB-YP001154DLU CSB-EP001154DLU CSB-BP001154DLU CSB-MP001154DLU CSB-EP001154DLU-B |
Recombinant Drosophila melanogaster Acetylcholinesterase (Ace), partial | Yeast E.coli Baculovirus Mammalian cell In Vivo Biotinylation in E.coli |
ACE Proteins for Vibrio cholerae serotype O1 (strain ATCC 39315 / El Tor Inaba N16961)
| 產品貨號 | 產品名稱 | 來源 |
|---|---|---|
| CSB-YP330882VEX1 CSB-EP330882VEX1 CSB-BP330882VEX1 CSB-MP330882VEX1 CSB-EP330882VEX1-B |
Recombinant Vibrio cholerae serotype O1 Accessory cholera enterotoxin (ace), partial | Yeast E.coli Baculovirus Mammalian cell In Vivo Biotinylation in E.coli |
| CSB-CF330882VEX | Recombinant Vibrio cholerae serotype O1 Accessory cholera enterotoxin (ace) | in vitro E.coli expression system |
ACE Proteins for Haematobia irritans exigua (Buffalo fly)
| 產品貨號 | 產品名稱 | 來源 |
|---|---|---|
| CSB-YP607433HAAO CSB-EP607433HAAO CSB-BP607433HAAO CSB-MP607433HAAO CSB-EP607433HAAO-B |
Recombinant Haematobia irritans exigua Angiotensin-converting enzyme (ACE), partial | Yeast E.coli Baculovirus Mammalian cell In Vivo Biotinylation in E.coli |
ACE Proteins for Gallus gallus (Chicken)
| 產品貨號 | 產品名稱 | 來源 |
|---|---|---|
| CSB-YP608836CH CSB-EP608836CH CSB-BP608836CH CSB-MP608836CH CSB-EP608836CH-B |
Recombinant Chicken Angiotensin-converting enzyme (ACE), partial | Yeast E.coli Baculovirus Mammalian cell In Vivo Biotinylation in E.coli |
ACE Proteins for Mesocricetus auratus (Golden hamster)
| 產品貨號 | 產品名稱 | 來源 |
|---|---|---|
| CSB-YP706540MRG CSB-EP706540MRG CSB-BP706540MRG CSB-MP706540MRG CSB-EP706540MRG-B |
Recombinant Mesocricetus auratus Angiotensin-converting enzyme (Ace), partial | Yeast E.coli Baculovirus Mammalian cell In Vivo Biotinylation in E.coli |
ACE Proteins for Theromyzon tessulatum (Duck leech)
| 產品貨號 | 產品名稱 | 來源 |
|---|---|---|
| CSB-YP764827TDW CSB-EP764827TDW CSB-BP764827TDW CSB-MP764827TDW CSB-EP764827TDW-B |
Recombinant Theromyzon tessulatum Angiotensin-converting enzyme (ACE), partial | Yeast E.coli Baculovirus Mammalian cell In Vivo Biotinylation in E.coli |
ACE Proteins for Anopheles gambiae (African malaria mosquito)
| 產品貨號 | 產品名稱 | 來源 |
|---|---|---|
| CSB-YP772960BZL CSB-EP772960BZL CSB-BP772960BZL CSB-MP772960BZL CSB-EP772960BZL-B |
Recombinant Anopheles gambiae Acetylcholinesterase (Ace), partial | Yeast E.coli Baculovirus Mammalian cell In Vivo Biotinylation in E.coli |
ACE Proteins for Pan troglodytes (Chimpanzee)
| 產品貨號 | 產品名稱 | 來源 |
|---|---|---|
| CSB-YP875606EQV CSB-EP875606EQV CSB-BP875606EQV CSB-MP875606EQV CSB-EP875606EQV-B |
Recombinant Pan troglodytes Angiotensin-converting enzyme (ACE), partial | Yeast E.coli Baculovirus Mammalian cell In Vivo Biotinylation in E.coli |
ACE ELISA Kit
ACE ELISA Kit for Homo sapiens (Human)
| 產品貨號 | 產品名稱 | 樣本類型 | 靈敏度 |
|---|---|---|---|
| CSB-E11269h | Human Angiotensin Ⅰ Converting Enzyme,ACEⅠ ELISA Kit | serum, plasma, cell culture supernates, tissue homogenates | 4.7 pg/mL |
ACE ELISA Kit for Mus musculus (Mouse)
| 產品貨號 | 產品名稱 | 樣本類型 | 靈敏度 |
|---|---|---|---|
| CSB-E04492m | Mouse Angiotensin converting enzyme,ACE ELISA Kit | serum, plasma, tissue homogenates | 0.39 ng/mL |
ACE ELISA Kit for Rattus norvegicus (Rat)
| 產品貨號 | 產品名稱 | 樣本類型 | 靈敏度 |
|---|---|---|---|
| CSB-E04490r | Rat Angiotensin converting enzyme,ACE ELISA Kit | serum, plasma, tissue homogenates | 7.81 ng/ml |






