MTOR
MTOR,即哺乳動物雷帕霉素靶蛋白,別名哺乳動物靶蛋白、Rapamycin受體、FRAP等。它是一種多功能的絲氨酸/蘇氨酸蛋白激酶,由人體細胞自身的基因編碼。MTOR是雷帕霉素(mTOR)信號通路的關鍵調控因子,主要在細胞內參與調控蛋白質合成、細胞增殖、代謝和自噬等過程。MTOR的作用機制涉及到其作為兩個不同的復合體mTORC1和mTORC2的催化亞基,這兩個復合體在細胞內響應不同的營養和環境信號,調節不同的生物學過程。MTOR在生物學上的意義非常廣泛,它參與了多種細胞生命活動的調控。作為細胞內營養和能量狀態的主要感受器,MTOR通過整合多種信號,如氨基酸、生長因子和能量狀態等,來調節細胞的生長和代謝。mTORC1的活性與細胞的蛋白質合成、自噬和細胞大小調控密切相關,而mTORC2則參與細胞的生存和細胞骨架的組織。MTOR信號通路的異常激活與多種疾病有關,包括癌癥、糖尿病、心血管疾病和神經退行性疾病等,因此,MTOR抑制劑已成為治療這些疾病的潛在藥物。
熱銷產品
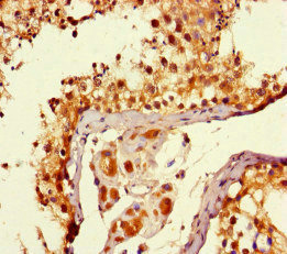
MTOR Antibody (CSB-PA008968HA01HU)
驗證數據
Immunohistochemistry of paraffin-embedded human testis tissue using CSB-PA008968HA01HU at dilution of 1:100
Immunofluorescent analysis of Hela cells using CSB-PA008968HA01HU at dilution of 1:100 and Alexa Fluor 488-congugated AffiniPure Goat Anti-Rabbit IgG(H+L)
MTOR Antibodies
MTOR for Homo sapiens (Human)
| 產品貨號 | 產品名稱 | 種屬反應性 | 應用類型 |
|---|---|---|---|
| CSB-PA008968GA01HU | MTOR Antibody | Human,Mouse,Rat | ELISA,WB,IHC |
| CSB-PA271384 | Phospho-MTOR (Ser2448) Antibody | Human,Mouse,Rat | ELISA,WB,IHC,IF |
| CSB-PA208208 | MTOR (Ab-2448) Antibody | Human,Mouse,Rat | ELISA,WB,IHC,IF |
| CSB-PA054657 | MTOR (Ab-2481) Antibody | Human,Mouse,Rat | ELISA,IHC |
| CSB-PA000576 | Phospho-MTOR (S2448) Antibody | Human,Mouse,Rat | WB, IHC, IF, ELISA |
| CSB-PA000652 | Phospho-MTOR (T2446) Antibody | Human,Mouse,Rat | WB, ELISA |
| CSB-PA003333 | MTOR Antibody | Human,Mouse,Rat | WB, IHC, IF, ELISA |
| CSB-PA008479 | Phospho-MTOR (S2481) Antibody | Human,Mouse,Rat | IHC, IF, ELISA |
| CSB-PA008481 | MTOR Antibody | Human,Mouse,Rat | WB, IHC, ELISA |
| CSB-PA876444 | MTOR Antibody | Human,Mouse,Rat | ELISA,IHC |
| CSB-PA273227 | MTOR Antibody | Human,Mouse,Rat | ELISA,IHC |
| CSB-PA008968HA01HU | MTOR Antibody | Human | ELISA, IHC, IF |
| CSB-PA008968HB01HU | MTOR Antibody, HRP conjugated | Human | ELISA |
| CSB-PA008968HC01HU | MTOR Antibody, FITC conjugated | Human | |
| CSB-PA008968HD01HU | MTOR Antibody, Biotin conjugated | Human | ELISA |
| CSB-RA008968A2481phHU | Phospho-MTOR (S2481) Recombinant Monoclonal Antibody | Human | ELISA, WB, IF |
| CSB-RA008968A2448phHU | Phospho-MTOR (S2448) Recombinant Monoclonal Antibody | Human | ELISA, WB, IHC, IF |
MTOR Proteins
MTOR Proteins for Homo sapiens (Human)
| 產品貨號 | 產品名稱 | 來源 |
|---|---|---|
| CSB-YP008968HU CSB-BP008968HU CSB-MP008968HU CSB-EP008968HU-B |
Recombinant Human Serine/threonine-protein kinase mTOR (MTOR), partial | Yeast Baculovirus Mammalian cell In Vivo Biotinylation in E.coli |
| CSB-EP008968HU | Recombinant Human Serine/threonine-protein kinase mTOR (MTOR), partial | E.coli |
MTOR Proteins for Rattus norvegicus (Rat)
| 產品貨號 | 產品名稱 | 來源 |
|---|---|---|
| CSB-YP008968RA CSB-EP008968RA CSB-BP008968RA CSB-MP008968RA CSB-EP008968RA-B |
Recombinant Rat Serine/threonine-protein kinase mTOR (Mtor), partial | Yeast E.coli Baculovirus Mammalian cell In Vivo Biotinylation in E.coli |
MTOR Proteins for Mus musculus (Mouse)
| 產品貨號 | 產品名稱 | 來源 |
|---|---|---|
| CSB-YP881349MO CSB-EP881349MO CSB-BP881349MO CSB-MP881349MO CSB-EP881349MO-B |
Recombinant Mouse Serine/threonine-protein kinase mTOR (Mtor) | Yeast E.coli Baculovirus Mammalian cell In Vivo Biotinylation in E.coli |
MTOR ELISA Kit
MTOR ELISA Kit for Homo sapiens (Human)
| 產品貨號 | 產品名稱 | 樣本類型 | 靈敏度 |
|---|---|---|---|
| CSB-E09038h | Human mammalian target of rapamyein,mTOR ELISA Kit | serum, plasma, tissue homogenates | 0.39 pg/mL |






