前沿靶點速遞:每周醫學研究精選(九)
日期:2024-08-20 16:03:40
靶點:AIM2
應用:動脈粥樣硬化性卒中復發研究
來源:Cao, Jiayu, et al. "DNA-sensing inflammasomes cause recurrent atherosclerotic stroke." Nature (2024): 1-9.
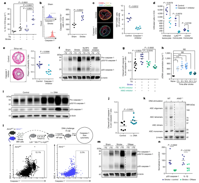
一項來自慕尼黑大學Arthur Liesz實驗室的研究發表在《Nature》雜志上,揭示了DNA激活的AIM2炎癥小體通路是導致動脈粥樣硬化性卒中復發的關鍵機制。研究發現,初次卒中后,細胞游離DNA激活的AIM2炎癥小體通路,導致頸動脈粥樣硬化斑塊內促炎細胞浸潤及增殖,增加斑塊不穩定性,從而促進卒中復發。研究還發現,卒中后循環游離雙鏈DNA主要來自激活的中性粒細胞,通過靶向刪除或抑制中性粒細胞活性,可降低卒中后循環游離DNA水平,抑制炎癥小體激活,減少頸動脈斑塊內促炎細胞浸潤。此外,卒中可導致斑塊中基質蛋白酶(MMPs)活性增加,引起膠原纖維排列紊亂及細胞外基質降解,炎癥小體激活后產生的IL-1β可促進MMPs的表達及活化。通過抑制炎癥小體活性、中和IL-1β或降解游離雙鏈DNA,均可減少MMPs激活及FXII的沉積,提高斑塊穩定性,為卒中二級預防策略提供了新的干預靶點。
靶點:PI4P、Merlin
應用:腫瘤研究
來源:Guo, Pengfei, et al. "PI4P-mediated solid-like Merlin condensates orchestrate Hippo pathway regulation." Science 385.6709 (2024): eadf4478.
(圖源:固態樣Merlin凝聚體在極化上皮中的功能和調控 [2])
美國德克薩斯大學西南醫學中心潘多加院士團隊在《Science》雜志上發表的研究論文,揭示了Hippo信號通路上游調節因子Merlin的新調控機制。研究發現,Merlin能夠形成固態樣凝聚體,并通過這種結構調控Hippo信號通路。Merlin的固態樣凝聚體受到上游信號的雙向調控,包括細胞膜上的磷脂酰肌醇-4-磷酸(PI4P)濃度和細胞骨架張力。PI4P濃度的增加可以促進Merlin凝聚,而細胞骨架張力的變化可以影響Merlin凝聚體的固態到液態轉變。Merlin凝聚體的固態物理特性對其生理功能至關重要,并且能夠抵抗缺氧等外部擾動的影響。這項研究為理解Hippo信號通路的調控機制提供了新的視角,并為腫瘤抑制因子Merlin的功能研究開辟了新方向。
靶點:SLC20A2
應用:腦鈣化研究
來源:Zhao, Miao, et al. "Antisense oligonucleotides enhance SLC20A2 expression and suppress brain calcification in a humanized mouse model." Neuron (2024).
福建醫科大學附屬第一醫院陳萬金教授及其合作團隊在《Neuron》期刊發表的研究中,發現了腦鈣化關鍵致病基因SLC20A2的新型可變剪接調節機制,并據此開發了首個反義核苷酸療法。該療法在患者細胞和人源化小鼠模型中有效恢復了SLC20A2基因表達,顯著遏制了腦鈣化進展。腦鈣化是老年人常見的病狀,與多種嚴重神經精神癥狀相關,但目前尚無有效治療藥物。SLC20A2基因編碼的鈉磷共轉運體PiT2的雜合突變是主要致病原因。研究團隊通過全基因組測序發現SLC20A2基因內含子區域存在隱蔽外顯子序列和提前終止密碼子,構建了模擬患者病理表型的腦鈣化模型小鼠。設計的反義核苷酸藥物能顯著上調SLC20A2的mRNA和蛋白表達,實現長期表達修復,降低腦脊液無機磷水平,抑制腦鈣化發生與進展,并改善神經退行性和炎癥。這項研究為理解腦鈣化癥的致病機制和開發新的治療方法提供了重要基礎,有望為患者帶來新的治療希望。
靶點:RPN11
應用:非酒精性脂肪性肝病
來源:Amelioration of nonalcoholic fatty liver disease by inhibiting the deubiquitylating enzyme RPN11. Cell Metabolism (2024).
上海交通大學醫學院附屬第六人民醫院的陸炎研究員、胡承研究員,以及上海交通大學醫學院基礎醫學院的李垚副研究員和復旦大學的趙冰研究員,在《Cell Metabolism》雜志上發表的研究論文中,揭示了非酒精性脂肪性肝病(NAFLD)發生的新機制。研究發現,去泛素化酶RPN11通過去除RNA甲基化酶METTL3的泛素化修飾,提高METTL3的蛋白穩定性和含量,進而增加酰基轉移酶ACSS3的表達和組蛋白丙酰化修飾,上調脂肪酸合成酶FASN等關鍵酶的表達,促進肝臟脂質從頭合成途徑,引起肝臟甘油三酯沉積。這項研究不僅闡明了NAFLD/NASH的分子機制,還為疾病治療提供了新的干預手段。陸炎團隊還鑒定出肝細胞特異性分泌蛋白ORM2作為NAFLD/NASH的新干預靶點。這些發現為NAFLD/NASH的治療提供了新的策略和方法。
靶點:LIFR
應用:肝病研究
來源:LIFR regulates cholesterol-driven bidirectional hepatocyte–neutrophil cross-talk to promote liver regeneration. Nature Metabolism (2024).
(圖源:LIFR在膽固醇驅動的肝臟再生中發揮關鍵作用 [5])
美國德克薩斯大學MD安德森癌癥中心的馬莉課題組在《Nature Metabolism》上發表的研究成果揭示了肝臟腫瘤抑制因子LIFR在膽固醇驅動的肝臟再生中的關鍵作用。研究表明,LIFR通過激活STAT3信號通路,促進肝細胞產生膽固醇和趨化因子CXCL1,這些分泌物激活骨髓中性粒細胞,促使它們釋放肝細胞生長因子HGF,加速肝臟修復和再生。LIFR的肝臟特異性敲除會減弱小鼠肝臟部分切除后的再生能力,而過表達LIFR則顯著促進肝臟再生。這一發現不僅增進了我們對肝臟再生分子機制的理解,也為開發治療肝臟疾病的新方法提供了可能,尤其是考慮到當前許多患者依賴肝臟移植,新的治療方法若能有效促進肝臟自我修復,將有望減少對移植的依賴。
靶點:SEC16A
應用:慢性胰腺炎研究
來源:SEC16A variants predispose to chronic pancreatitis by impairing ER‐to‐Golgi Transport and inducing ER stress. Advanced Science (2024).
(圖源:SEC16A功能缺失可顯著增加胰腺炎的易感性,促進疾病的發生發展 [6])
《Advanced Science》雜志上發表了一項突破性研究成果,由海軍軍醫大學長海醫院消化科的廖專和鄒文斌團隊,以及法國國家健康與醫學研究院的陳建敏教授合作完成。該研究首次發現了慢性胰腺炎(CP)的新易感基因SEC16A,揭示了其功能缺失型突變通過干擾內質網(ER)到高爾基體的轉運,導致分泌蛋白過載和ER應激,增加患CP風險的新機制。研究在中國和法國的CP患者中發現SEC16A罕見突變顯著富集,并指出攜帶此突變的患者發病年齡更早。通過CRISPR/Cas9技術構建的突變細胞系和Sec16a敲除小鼠模型,研究進一步證實了SEC16A功能缺失對蛋白質分泌途徑和ER應激的影響,為CP的精準診療提供了潛在的新靶點和新思路。
靶點:eIF4E
應用:抗癌研究
來源:Remodelling of the translatome controls diet and its impact on tumorigenesis. Nature (2024).
加州大學舊金山分校的Davide Ruggero教授團隊在《自然》雜志上發表的研究揭示了一種新的抗癌策略。該研究團隊發現,結合使用生酮飲食和臨床試驗階段的癌癥新藥tomivosertib(eFT508)可以有效抑制小鼠胰腺癌的生長。研究指出,在禁食或生酮飲食中,真核細胞翻譯起始因子4E(eIF4E)的磷酸化對代謝重編程至關重要,它通過特定的翻譯調控元件促進肝臟中的脂質分解代謝和酮體生成。此外,研究還發現長鏈脂肪酸作為信號分子激活AMPK,進而增強MNK的磷酸化,形成AMPK-MNK-eIF4E軸,這一軸心在生酮過程中起到關鍵作用。這項研究為胰腺癌的精準治療提供了新思路,即將飲食干預與小分子藥物聯合使用,針對癌細胞的代謝弱點進行治療,也為其他癌癥的潛在治療策略提供了新方向。
靶點:LTβ
應用:癌癥骨轉移研究
來源:Lymphotoxin-β promotes breast cancer bone metastasis colonization and osteolytic outgrowth. Nature Cell Biology (2024).
清華大學基礎醫學院鄭撼球團隊與青島大學附屬醫院岳斌團隊在《Nature Cell Biology》上發表的合作研究揭示了淋巴毒素-β(Lymphotoxin-β,LTβ)在乳腺癌骨轉移中的關鍵作用。研究團隊通過單細胞RNA測序分析,發現LTβ在骨轉移早期定植腫瘤細胞中的表達顯著高于體外培養或原位狀態下的腫瘤細胞,且其高表達可能由成骨細胞分泌的RANKL誘導。LTβ不僅促進腫瘤細胞在骨微環境的定植,還刺激成骨細胞內NF-κB2信號通路激活,誘導趨化因子的產生,進而通過反饋機制招募巨噬細胞并增強破骨細胞分化,推動休眠腫瘤細胞的激活和溶骨性骨轉移的進展。此外,研究還發現阻斷LTβ能夠降低骨轉移,為乳腺癌骨轉移的治療提供了新的潛在靶點。該研究不僅增進了對骨轉移機制的理解,也為未來的臨床治療策略提供了新方向。
參考文獻
1. Cao, Jiayu, et al. "DNA-sensing inflammasomes cause recurrent atherosclerotic stroke." Nature (2024): 1-9.
2. Guo, Pengfei, et al. "PI4P-mediated solid-like Merlin condensates orchestrate Hippo pathway regulation." Science 385.6709 (2024): eadf4478.
3. Zhao, Miao, et al. "Antisense oligonucleotides enhance SLC20A2 expression and suppress brain calcification in a humanized mouse model." Neuron (2024).
4. Zhou, Bing, et al. "Amelioration of nonalcoholic fatty liver disease by inhibiting the deubiquitylating enzyme RPN11." Cell Metabolism (2024).
5. Deng, Yalan, et al. "LIFR regulates cholesterol-driven bidirectional hepatocyte–neutrophil cross-talk to promote liver regeneration." Nature Metabolism (2024): 1-19.
6. Wang, Min‐Jun, et al. "SEC16A variants predispose to chronic pancreatitis by impairing ER‐to‐Golgi Transport and inducing ER stress." Advanced Science (2024): 2402550.
7. Yang, Haojun, et al. "Remodelling of the translatome controls diet and its impact on tumorigenesis." Nature (2024): 1-9.
8. Wang, Xuxiang, et al. "Lymphotoxin-β promotes breast cancer bone metastasis colonization and osteolytic outgrowth." Nature Cell Biology (2024): 1-16.
應用:動脈粥樣硬化性卒中復發研究
來源:Cao, Jiayu, et al. "DNA-sensing inflammasomes cause recurrent atherosclerotic stroke." Nature (2024): 1-9.

(圖源:中風后 DNA 激活斑塊中的AIM2 [1])
一項來自慕尼黑大學Arthur Liesz實驗室的研究發表在《Nature》雜志上,揭示了DNA激活的AIM2炎癥小體通路是導致動脈粥樣硬化性卒中復發的關鍵機制。研究發現,初次卒中后,細胞游離DNA激活的AIM2炎癥小體通路,導致頸動脈粥樣硬化斑塊內促炎細胞浸潤及增殖,增加斑塊不穩定性,從而促進卒中復發。研究還發現,卒中后循環游離雙鏈DNA主要來自激活的中性粒細胞,通過靶向刪除或抑制中性粒細胞活性,可降低卒中后循環游離DNA水平,抑制炎癥小體激活,減少頸動脈斑塊內促炎細胞浸潤。此外,卒中可導致斑塊中基質蛋白酶(MMPs)活性增加,引起膠原纖維排列紊亂及細胞外基質降解,炎癥小體激活后產生的IL-1β可促進MMPs的表達及活化。通過抑制炎癥小體活性、中和IL-1β或降解游離雙鏈DNA,均可減少MMPs激活及FXII的沉積,提高斑塊穩定性,為卒中二級預防策略提供了新的干預靶點。
靶點:PI4P、Merlin
應用:腫瘤研究
來源:Guo, Pengfei, et al. "PI4P-mediated solid-like Merlin condensates orchestrate Hippo pathway regulation." Science 385.6709 (2024): eadf4478.

(圖源:固態樣Merlin凝聚體在極化上皮中的功能和調控 [2])
美國德克薩斯大學西南醫學中心潘多加院士團隊在《Science》雜志上發表的研究論文,揭示了Hippo信號通路上游調節因子Merlin的新調控機制。研究發現,Merlin能夠形成固態樣凝聚體,并通過這種結構調控Hippo信號通路。Merlin的固態樣凝聚體受到上游信號的雙向調控,包括細胞膜上的磷脂酰肌醇-4-磷酸(PI4P)濃度和細胞骨架張力。PI4P濃度的增加可以促進Merlin凝聚,而細胞骨架張力的變化可以影響Merlin凝聚體的固態到液態轉變。Merlin凝聚體的固態物理特性對其生理功能至關重要,并且能夠抵抗缺氧等外部擾動的影響。這項研究為理解Hippo信號通路的調控機制提供了新的視角,并為腫瘤抑制因子Merlin的功能研究開辟了新方向。
靶點:SLC20A2
應用:腦鈣化研究
來源:Zhao, Miao, et al. "Antisense oligonucleotides enhance SLC20A2 expression and suppress brain calcification in a humanized mouse model." Neuron (2024).

(圖源:SLC20A2的可變剪接機制以及反義核苷酸療法的干預示意圖 [3])
福建醫科大學附屬第一醫院陳萬金教授及其合作團隊在《Neuron》期刊發表的研究中,發現了腦鈣化關鍵致病基因SLC20A2的新型可變剪接調節機制,并據此開發了首個反義核苷酸療法。該療法在患者細胞和人源化小鼠模型中有效恢復了SLC20A2基因表達,顯著遏制了腦鈣化進展。腦鈣化是老年人常見的病狀,與多種嚴重神經精神癥狀相關,但目前尚無有效治療藥物。SLC20A2基因編碼的鈉磷共轉運體PiT2的雜合突變是主要致病原因。研究團隊通過全基因組測序發現SLC20A2基因內含子區域存在隱蔽外顯子序列和提前終止密碼子,構建了模擬患者病理表型的腦鈣化模型小鼠。設計的反義核苷酸藥物能顯著上調SLC20A2的mRNA和蛋白表達,實現長期表達修復,降低腦脊液無機磷水平,抑制腦鈣化發生與進展,并改善神經退行性和炎癥。這項研究為理解腦鈣化癥的致病機制和開發新的治療方法提供了重要基礎,有望為患者帶來新的治療希望。
靶點:RPN11
應用:非酒精性脂肪性肝病
來源:Amelioration of nonalcoholic fatty liver disease by inhibiting the deubiquitylating enzyme RPN11. Cell Metabolism (2024).

(圖源:RPN11抑制劑可緩解小鼠NAFLD [4])
上海交通大學醫學院附屬第六人民醫院的陸炎研究員、胡承研究員,以及上海交通大學醫學院基礎醫學院的李垚副研究員和復旦大學的趙冰研究員,在《Cell Metabolism》雜志上發表的研究論文中,揭示了非酒精性脂肪性肝病(NAFLD)發生的新機制。研究發現,去泛素化酶RPN11通過去除RNA甲基化酶METTL3的泛素化修飾,提高METTL3的蛋白穩定性和含量,進而增加酰基轉移酶ACSS3的表達和組蛋白丙酰化修飾,上調脂肪酸合成酶FASN等關鍵酶的表達,促進肝臟脂質從頭合成途徑,引起肝臟甘油三酯沉積。這項研究不僅闡明了NAFLD/NASH的分子機制,還為疾病治療提供了新的干預手段。陸炎團隊還鑒定出肝細胞特異性分泌蛋白ORM2作為NAFLD/NASH的新干預靶點。這些發現為NAFLD/NASH的治療提供了新的策略和方法。
靶點:LIFR
應用:肝病研究
來源:LIFR regulates cholesterol-driven bidirectional hepatocyte–neutrophil cross-talk to promote liver regeneration. Nature Metabolism (2024).
(圖源:LIFR在膽固醇驅動的肝臟再生中發揮關鍵作用 [5])美國德克薩斯大學MD安德森癌癥中心的馬莉課題組在《Nature Metabolism》上發表的研究成果揭示了肝臟腫瘤抑制因子LIFR在膽固醇驅動的肝臟再生中的關鍵作用。研究表明,LIFR通過激活STAT3信號通路,促進肝細胞產生膽固醇和趨化因子CXCL1,這些分泌物激活骨髓中性粒細胞,促使它們釋放肝細胞生長因子HGF,加速肝臟修復和再生。LIFR的肝臟特異性敲除會減弱小鼠肝臟部分切除后的再生能力,而過表達LIFR則顯著促進肝臟再生。這一發現不僅增進了我們對肝臟再生分子機制的理解,也為開發治療肝臟疾病的新方法提供了可能,尤其是考慮到當前許多患者依賴肝臟移植,新的治療方法若能有效促進肝臟自我修復,將有望減少對移植的依賴。
靶點:SEC16A
應用:慢性胰腺炎研究
來源:SEC16A variants predispose to chronic pancreatitis by impairing ER‐to‐Golgi Transport and inducing ER stress. Advanced Science (2024).
(圖源:SEC16A功能缺失可顯著增加胰腺炎的易感性,促進疾病的發生發展 [6])《Advanced Science》雜志上發表了一項突破性研究成果,由海軍軍醫大學長海醫院消化科的廖專和鄒文斌團隊,以及法國國家健康與醫學研究院的陳建敏教授合作完成。該研究首次發現了慢性胰腺炎(CP)的新易感基因SEC16A,揭示了其功能缺失型突變通過干擾內質網(ER)到高爾基體的轉運,導致分泌蛋白過載和ER應激,增加患CP風險的新機制。研究在中國和法國的CP患者中發現SEC16A罕見突變顯著富集,并指出攜帶此突變的患者發病年齡更早。通過CRISPR/Cas9技術構建的突變細胞系和Sec16a敲除小鼠模型,研究進一步證實了SEC16A功能缺失對蛋白質分泌途徑和ER應激的影響,為CP的精準診療提供了潛在的新靶點和新思路。
靶點:eIF4E
應用:抗癌研究
來源:Remodelling of the translatome controls diet and its impact on tumorigenesis. Nature (2024).

(圖源:真核細胞翻譯起始因子4E(eIF4E)的磷酸化在禁食過程中被誘導 [7])
加州大學舊金山分校的Davide Ruggero教授團隊在《自然》雜志上發表的研究揭示了一種新的抗癌策略。該研究團隊發現,結合使用生酮飲食和臨床試驗階段的癌癥新藥tomivosertib(eFT508)可以有效抑制小鼠胰腺癌的生長。研究指出,在禁食或生酮飲食中,真核細胞翻譯起始因子4E(eIF4E)的磷酸化對代謝重編程至關重要,它通過特定的翻譯調控元件促進肝臟中的脂質分解代謝和酮體生成。此外,研究還發現長鏈脂肪酸作為信號分子激活AMPK,進而增強MNK的磷酸化,形成AMPK-MNK-eIF4E軸,這一軸心在生酮過程中起到關鍵作用。這項研究為胰腺癌的精準治療提供了新思路,即將飲食干預與小分子藥物聯合使用,針對癌細胞的代謝弱點進行治療,也為其他癌癥的潛在治療策略提供了新方向。
靶點:LTβ
應用:癌癥骨轉移研究
來源:Lymphotoxin-β promotes breast cancer bone metastasis colonization and osteolytic outgrowth. Nature Cell Biology (2024).

(圖源:LTβ癌癥骨轉移的定植和溶骨性生長 [8])
清華大學基礎醫學院鄭撼球團隊與青島大學附屬醫院岳斌團隊在《Nature Cell Biology》上發表的合作研究揭示了淋巴毒素-β(Lymphotoxin-β,LTβ)在乳腺癌骨轉移中的關鍵作用。研究團隊通過單細胞RNA測序分析,發現LTβ在骨轉移早期定植腫瘤細胞中的表達顯著高于體外培養或原位狀態下的腫瘤細胞,且其高表達可能由成骨細胞分泌的RANKL誘導。LTβ不僅促進腫瘤細胞在骨微環境的定植,還刺激成骨細胞內NF-κB2信號通路激活,誘導趨化因子的產生,進而通過反饋機制招募巨噬細胞并增強破骨細胞分化,推動休眠腫瘤細胞的激活和溶骨性骨轉移的進展。此外,研究還發現阻斷LTβ能夠降低骨轉移,為乳腺癌骨轉移的治療提供了新的潛在靶點。該研究不僅增進了對骨轉移機制的理解,也為未來的臨床治療策略提供了新方向。
參考文獻
1. Cao, Jiayu, et al. "DNA-sensing inflammasomes cause recurrent atherosclerotic stroke." Nature (2024): 1-9.
2. Guo, Pengfei, et al. "PI4P-mediated solid-like Merlin condensates orchestrate Hippo pathway regulation." Science 385.6709 (2024): eadf4478.
3. Zhao, Miao, et al. "Antisense oligonucleotides enhance SLC20A2 expression and suppress brain calcification in a humanized mouse model." Neuron (2024).
4. Zhou, Bing, et al. "Amelioration of nonalcoholic fatty liver disease by inhibiting the deubiquitylating enzyme RPN11." Cell Metabolism (2024).
5. Deng, Yalan, et al. "LIFR regulates cholesterol-driven bidirectional hepatocyte–neutrophil cross-talk to promote liver regeneration." Nature Metabolism (2024): 1-19.
6. Wang, Min‐Jun, et al. "SEC16A variants predispose to chronic pancreatitis by impairing ER‐to‐Golgi Transport and inducing ER stress." Advanced Science (2024): 2402550.
7. Yang, Haojun, et al. "Remodelling of the translatome controls diet and its impact on tumorigenesis." Nature (2024): 1-9.
8. Wang, Xuxiang, et al. "Lymphotoxin-β promotes breast cancer bone metastasis colonization and osteolytic outgrowth." Nature Cell Biology (2024): 1-16.
上一篇: 前沿靶點速遞:每周醫學研究精選(八)
下一篇: 前沿靶點速遞:每周醫學研究精選(十)






