Cell host microbe | 腸道微生物DL-內肽酶通過NOD2信號通路緩解克羅恩病
瀏覽次數:239 日期:2023-01-18 11:27:20
南方醫科大學珠江醫院檢驗醫學部教授何肖龍老師和其團隊在《Cell host & microbe》雜志上發表了題為Gut microbial DL-endopeptidase alleviates Crohn's disease via the NOD2 pathway的論文,該研究表明菌群DL-內肽酶是產生NOD2配體的關鍵酶。
華美生物ELISA試劑盒助力老師發文:

作者分析了來自全球多個地區(中國、美國、荷蘭、西班牙)的857例宏基因組數據,發現DL-內肽酶基因豐度在克羅恩病中顯著降低,且與疾病活動度顯著負相關。在體內實驗層面,證實DL-內肽酶活性低的克羅恩病患者糞菌,移植至小鼠可顯著增加其腸炎易感性,該效應在NOD2敲除小鼠中消失。最后發現,直接補充DL-內肽酶、產DL-內肽酶益生菌或小分子NOD2激活劑,均能通過激活NOD2信號緩解小鼠腸炎。

圖1. 厚壁菌衍生的DL-內肽酶在腸道中產生NOD2配體,并且在CD患者中被完全吸收。
文獻來源:https://sciencedirect.53yu.com/science/article/pii/S193131282200395X
克羅恩病是一組腸黏膜非特異性慢性炎癥反應性疾病,因病情反復發作難以治愈,被稱為“綠色癌癥”。目前克羅恩病的治療主要采取抑制炎癥反應的策略,以激素、免疫抑制劑及生物制劑等一種或多種藥物聯合治療。這些藥物不可避免地產生諸多副反應,且單純抑制免疫反應難以改變潛在的腸道穩態失衡,導致病情容易反復,極大地影響了患者的生活質量及生存率。更為重要的是,持續反復的慢性炎癥還會增加結直腸癌的發病風險。因此,亟待開發治療克羅恩病的新治療方法。
核苷酸寡聚結構域 2 (NOD2)是一種經典的模式識別受體,通過識別特定的細菌肽聚糖片段(如胞壁酰二肽)而維持腸道穩態。NOD2基因突變是導致克羅恩病的最強遺傳風險因素。西方人群中近 50% 的家族性克羅恩病與三個突變相關,這些突變都會損害 NOD2 的配體識別。以上表明 NOD2 信號傳導在維持宿主穩態環境中起關鍵作用。除NOD2受體本身缺陷外,細菌來源的配體是否會缺乏,其缺乏是否會影響 NOD2 信號傳導而驅動克羅恩病很大程度上仍是未知的。
何肖龍團隊通過收集克羅恩病宏基因組公共數據,分析8種肽聚糖水解酶在健康對照和克羅恩病人糞菌中的豐度變化;利用培養組學、16S rRNA測序和宏基因組測序,結合NOD2報告細胞激活實驗,分析DL-內肽酶是否為產生NOD2配體的關鍵酶;通過糞菌移植和NOD2基因敲除小鼠,探索低DL-內肽酶活性的糞菌是否增加小鼠腸炎易感性,及該驅動腸炎作用是否依賴于NOD2通路。最后,利用DL-內肽酶、DL-內肽酶產物和自主分離的產DL-內肽酶益生菌,探索調控DL-內肽酶緩解腸炎的可行性。

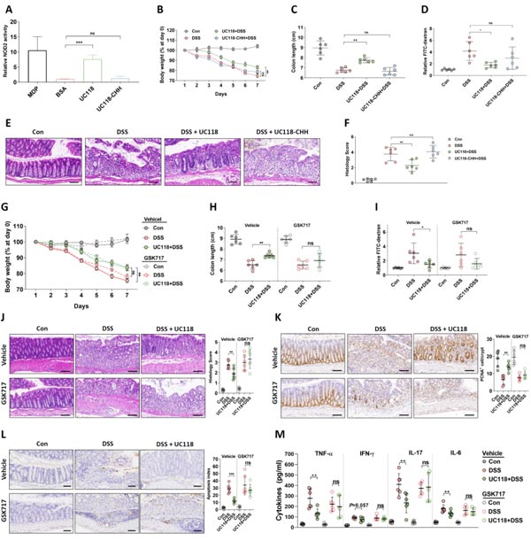
圖2. DL-內肽酶活性的治療性恢復通過NOD2信號通路保護小鼠免受結腸炎
該研究中使用的小鼠試劑盒TNF-α(CSB-E04741m);IFN-γ(CSB-E04578m);IL-17 (CSB-E04608m); IL-6(CSB-E04639m)均來自華美生物(CUSABIO)(圖2:M)。
該研究首次揭示除基因突變外,腸道菌群紊亂也是影響NOD2信號轉導的重要因素。另外,研究提示NOD2激活可能是傳統益生菌,如唾液乳桿菌,發揮療效的重要機制,在后續相關益生菌的臨床試驗中,需要考慮宿主基因型對益生菌療效的影響,糞便NOD2配體(如胞壁酰二肽等)也需要作為一個重要的結局觀測指標。
Mouse Tumor necrosis factor α,TNF-α ELISA KIT
中文名稱:小鼠腫瘤壞死因子α(TNF-α)ELISA KIT
貨號:CSB-E04741m
規格:96T/48T






