Avi-Tag Monoclonal Antibody
-
中文名稱:Avi-Tag鼠單克隆抗體
-
貨號:CSB-MA000101M0m
-
規格:¥400
-
圖片:
-
Western Blot
Positive WB detected in: 50ng Recombinant protein with Avi tag from E.coli and Mammalian cell All lanes: Avi tag antibody at 1:1000
Secondary
Goat polyclonal to mouse IgG at 1/50000 dilution
Predicted band size: 40, 35, 30, 70, 40, 33, 35, 40 KDa
Observed band size: 40, 35, 30, 70, 40, 33, 35, 4 KDa
Exposure time:1min -
Western Blot
Positive WB detected in: 50ng Recombinant protein with Avi tag from E.coli All lanes: Avi tag antibody at 1:2000
Secondary
Goat polyclonal to mouse IgG at 1/50000 dilution
Predicted band size: 81.2, 67, 66.9, 66.9 KDa
Observed band size: 82, 67, 67, 67KDa
Exposure time:5min -
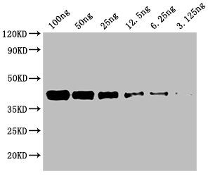
Western Blot
Positive WB detected in: Recombinant protein from Mammalian cell with Avi tag from E.coli at 100ng, 50ng, 25ng, 12.5ng, 6.25ng, 3.125ng All lanes: Avi tag antibody at 1:1000
Secondary
Goat polyclonal to mouse IgG at 1/50000 dilution
Predicted band size: 40 KDa
Observed band size: 40 KDa
Exposure time:1min -
Western Blot
Positive WB detected in: 50ng Recombinant protein with Avi tag from Mammalian cell Avi tag antibody at 1:10000, 1:20000, 1:40000, 1:80000, 1:160000, 1:320000, 1:640000, 1:1280000
Secondary
Goat polyclonal to mouse IgG at 1/50000 dilution
Predicted band size: 40 KDa
Observed band size: 40 KDa
Exposure time:5min -
Immunoprecipitating Avi tag in 293F whole cell lysate transfected with avi tag
Lane 1: Mouse control IgG instead of CSB-MA000101M0m in 293F whole cell lysate transfected with avi tag. Lane 2: CSB-MA000101M0m (1μg) + 293F whole cell lysate transfected with avi tag (500μg)
Lane 3: 293F whole cell lysate transfected with avi tag(40μg)
For western blotting, the blot was detected with CSB-MA000101M0m at 1:1000, and a HRP-conjugated Goat anti Mouse antibody was used as the secondary antibody at 1:50000
-
-
其他:
產品詳情
-
產品描述:CUSABIO貨號:CSB-MA000101M0m Avi-Tag單克隆抗體是針對生物素化標簽系統開發的高特異性科研試劑,其靶向的AVI標簽是廣泛應用于重組蛋白標記領域的15個氨基酸短肽序列,通過與鏈霉親和素的高親和力結合,顯著提升蛋白純化效率及檢測靈敏度。本產品采用雜交瘤技術制備,具備嚴格的批間一致性,經實驗驗證可特異性識別AVI標簽而不與天然生物素發生交叉反應,適用于ELISA、Western Blot和免疫沉淀(IP)三大核心蛋白研究技術平臺。在重組蛋白表達驗證實驗中,該抗體能有效檢測哺乳動物、昆蟲等多種表達系統產生的AVI標記蛋白;在蛋白互作研究中,可通過IP實驗高效富集標記蛋白復合物;其Western Blot應用可精準識別1-100 kDa分子量范圍內的標記靶蛋白。該抗體已通過多種物種樣本驗證,為基因編輯驗證、蛋白互作組學研究和體外診斷試劑開發提供關鍵工具,特別適用于需要高靈敏度檢測的生物制藥研發、蛋白質工程優化等生命科學領域。本產品嚴格遵循科研試劑標準,配套提供詳細技術參數及實驗方案,助力研究人員實現精準高效的AVI標記蛋白檢測與功能解析。
-
產品名稱:Mouse anti-All AVI Monoclonal antibody
-
基因名:AVI
-
宿主:Mouse
-
反應種屬:All
-
免疫原:Synthetic Peptide
-
免疫原種屬:All
-
標記方式:Non-conjugated
-
克隆類型:Monoclonal
-
抗體亞型:IgG2a
-
純化方式:>95%, Protein G purified
-
克隆號:9G3B5
-
濃度:It differs from different batches. Please contact us to confirm it.
-
保存緩沖液:Preservative: 0.03% Proclin 300
Constituents: 50% Glycerol, 0.01M PBS, PH 7.4 -
產品提供形式:Liquid
-
應用范圍:ELISA, WB, IP
-
推薦稀釋比:
Application Recommended Dilution WB 1:1000-1:640000 IP 2μl-5μl -
Protocols:
-
儲存條件:Upon receipt, store at -20°C or -80°C. Avoid repeated freeze.
-
貨期:Basically, we can dispatch the products out in 1-3 working days after receiving your orders. Delivery time maybe differs from different purchasing way or location, please kindly consult your local distributors for specific delivery time.
-
用途:For Research Use Only. Not for use in diagnostic or therapeutic procedures.
Most popular with customers
-
YWHAB Recombinant Monoclonal Antibody
Applications: ELISA, WB, IHC, IF, FC
Species Reactivity: Human, Mouse, Rat
-
Phospho-YAP1 (S127) Recombinant Monoclonal Antibody
Applications: ELISA, WB, IHC
Species Reactivity: Human
-
-
-
-
-
-















