TSPO Recombinant Monoclonal Antibody
-
中文名稱:TSPO重組抗體
-
貨號:CSB-RA025168A0HU
-
規格:¥1320
-
圖片:
-
Western Blot
Positive WB detected in: Hela whole cell lysate, MCF-7 whole cell lysate, HepG2 whole cell lysate, A549 whole cell lysate, Mouse kidney tissue
All lanes: PBR antibody at 1.2μg/ml
Secondary
Goat polyclonal to rabbit IgG at 1/50000 dilution
Predicted band size: 19, 11 KDa
Observed band size: 19 KDa -
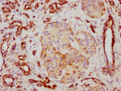
IHC image of CSB-RA025168A0HU diluted at 1:117 and staining in paraffin-embedded human pancreatic cancer performed on a Leica BondTM system. After dewaxing and hydration, antigen retrieval was mediated by high pressure in a citrate buffer (pH 6.0). Section was blocked with 10% normal goat serum 30min at RT. Then primary antibody (1% BSA) was incubated at 4℃ overnight. The primary is detected by a biotinylated secondary antibody and visualized using an HRP conjugated SP system.
-
IHC image of CSB-RA025168A0HU diluted at 1:117 and staining in paraffin-embedded human colon cancer performed on a Leica BondTM system. After dewaxing and hydration, antigen retrieval was mediated by high pressure in a citrate buffer (pH 6.0). Section was blocked with 10% normal goat serum 30min at RT. Then primary antibody (1% BSA) was incubated at 4℃ overnight. The primary is detected by a biotinylated secondary antibody and visualized using an HRP conjugated SP system.
-
Immunofluorescence staining of PC3 cells with CSB-RA025168A0HU at 1:39, counter-stained with DAPI. The cells were fixed in 4% formaldehyde, permeabilized using 0.2% Triton X-100 and blocked in 10% normal Goat Serum. The cells were then incubated with the antibody overnight at 4℃. The secondary antibody was Alexa Fluor 488-congugated AffiniPure Goat Anti-Rabbit IgG (H+L).
-
Immunoprecipitating PTGS2 in Hela whole cell lysate
Lane 1: Rabbit control IgG instead of CSB-RA025168A0HU in Hela whole cell lysate. For western blotting, a HRP-conjugated Protein G antibody was used as the secondary antibody (1/2000)
Lane 2: CSB-RA025168A0HU (3μg) + Hela whole cell lysate (500μg)
Lane 3: Hela whole cell lysate (20μg) -
Overlay histogram showing HepG2 cells stained with CSB-RA025168A0HU (red line) at 1:50. The cells were fixed with 70% Ethylalcohol (18h) and then permeabilized with 0.3% Triton X-100 for 2 min. The cells were then incubated in 1x PBS /10% normal goat serum to block non-specific protein-protein interactions followed by primary antibody for 1 h at 4℃. The secondary antibody used was FITC goat anti-rabbit IgG (H+L) at 1/200 dilution for 1 h at 4℃. Control antibody (green line) was used under the same conditions. Acquisition of >10,000 events was performed.
-
-
其他:
產品詳情
-
產品描述:CSB-RA025168A0HU TSPO重組單克隆抗體是經多種實驗驗證的高特異性科研工具,靶向18 kDa轉運蛋白(Translocator Protein),該蛋白廣泛分布于線粒體外膜,參與膽固醇轉運、類固醇合成及細胞應激調控,在神經炎癥、神經退行性疾病和腫瘤微環境研究中具有重要價值。本抗體通過ELISA、免疫印跡(WB)、免疫組化(IHC)、免疫熒光(IF)、流式細胞術(FC)及免疫沉淀(IP)等多平臺驗證,推薦使用濃度分別為WB 1:500-1:5000、IHC 1:50-1:200、IF 1:20-1:200、IP 1:200-1:1000,展現優異的批次穩定性和低交叉反應性。其高靈敏度和特異性適用于檢測多種樣本中TSPO的亞細胞定位及表達動態,可支持神經膠質細胞活化研究、腫瘤代謝機制分析以及線粒體功能相關實驗,為探索TSPO在病理生理過程中的分子機制提供可靠檢測方案。
-
Uniprot No.:
-
基因名:
-
別名:TSPO; BZRP; MBR; Translocator protein; Mitochondrial benzodiazepine receptor; PKBS; Peripheral-type benzodiazepine receptor; PBR
-
反應種屬:Human, Mouse
-
免疫原:A synthesized peptide derived from human TSPO
-
免疫原種屬:Homo sapiens (Human)
-
標記方式:Non-conjugated
-
克隆類型:Monoclonal
-
抗體亞型:Rabbit IgG
-
純化方式:Affinity-chromatography
-
克隆號:23G2
-
濃度:It differs from different batches. Please contact us to confirm it.
-
保存緩沖液:Rabbit IgG in 10mM phosphate buffered saline , pH 7.4, 150mM sodium chloride, 0.05% BSA, 0.02% sodium azide and 50% glycerol.
-
產品提供形式:Liquid
-
應用范圍:ELISA, WB, IHC, IF, FC, IP
-
推薦稀釋比:
Application Recommended Dilution WB 1:500-1:5000 IHC 1:50-1:200 IF 1:20-1:200 IP 1:200-1:1000 -
Protocols:
-
儲存條件:Upon receipt, store at -20°C or -80°C. Avoid repeated freeze.
-
貨期:Basically, we can dispatch the products out in 1-3 working days after receiving your orders. Delivery time maybe differs from different purchasing way or location, please kindly consult your local distributors for specific delivery time.
-
用途:For Research Use Only. Not for use in diagnostic or therapeutic procedures.
相關產品
靶點詳情
-
功能:Can bind protoporphyrin IX and may play a role in the transport of porphyrins and heme. Promotes the transport of cholesterol across mitochondrial membranes and may play a role in lipid metabolism, but its precise physiological role is controversial. It is apparently not required for steroid hormone biosynthesis. Was initially identified as peripheral-type benzodiazepine receptor; can also bind isoquinoline carboxamides.
-
基因功能參考文獻:
- An increase in the expression levels of Tspo mRNA is not necessarily a good diagnostic biomarker in most cancers with changes not being large enough to be significantly different when detected by in situ hybridisation. PMID: 30044440
- Suggest that altered TSPO distribution in the cerebellum, and potentially in other regions (e.g. the hippocampus), may be a marker of pathophysiology in systemic lupus erythematosus. PMID: 27387599
- Effects of genetic variants in the TSPO gene on protein structure and stability PMID: 29641545
- PET study found increased TSPO availability, suggestive of predominantly microglial activation, in the anterior cingulate cortex during a moderate to severe major depressive episode. A potential contribution of suicidality to the elevated TSPO in major depressive disorder warrants further research in adequately powered studies. PMID: 28939116
- Study found significantly lower levels of activated microglia in the brains of living alcohol dependent subjects compared to healthy controls as measured with [11C]PBR28 PET. Importantly, exploratory analyses suggest that lower [11C]PBR28 VT values are associated with greater alcohol dependence severity and more reported drinks per day over the previous month. PMID: 28242869
- Authors investigate the function of TSPO in cholesterol efflux from the RPE cells. We demonstrate in RPE cells that TSPO specific ligands promoted cholesterol efflux to acceptor (apo)lipoprotein and human serum, while loss of TSPO resulted in impaired cholesterol efflux. PMID: 28973423
- suggest that both of the most important proapoptotic and anticancer proteins, p53 and TSPO PMID: 26378498
- Study shows that fibromyalgia patients with the translocator protein high affinity binding genotype reported a higher pain intensity and more severe fibromyalgia symptoms compared to mixed/low affinity binders, and this was modulated by interaction with the serotonin transporter gene. PMID: 27448744
- Genome-wide significant (GWS) associations in single-nucleotide polymorphism (SNP)-based tests (P < 5 x 10(-8)) were identified for SNPs in PFDN1/HBEGF, USP6NL/ECHDC3, and BZRAP1-AS1. PMID: 28183528
- TSPO mutations in rats and a human polymorphism impair the rate of steroid synthesis. PMID: 29074640
- Findings suggest lower glial density or an altered activation state with lower TSPO expression in the hippocampus of alcohol dependent patients. PMID: 28072413
- demonstrate a consistent down-regulation of TSPO mRNA and protein in macrophages activated to a pro-inflammatory, or 'M1' phenotype PMID: 28968465
- These findings have important implications for understanding the biology of TSPO in activated macrophages and microglia in humans. PMID: 28530125
- TSPO may serve a range of functions that can be viewed as downstream regulatory effects of its primary, evolutionary conserved role in cell metabolism and energy production. PMID: 28103132
- We report for the first time, to our knowledge, the kinetic properties of the novel third-generation TSPO PET ligand (18)F-GE180 in humans: 2TCM4k is the optimal method to quantify the brain uptake, 90 min is the optimal scan length, and the Logan approach could be used to generate parametric maps. Although these control subjects have shown relatively low VT, the methodology presented here forms the basis for quantificati PMID: 27261523
- demonstrate rapid decrease in TSPO binding to the high affinity site induced by exposure to cigarette smoke PMID: 27939322
- Study shows that TSPO's mitochondrial functions include modulation of nuclear gene expression via mitochondrial-nuclear signaling which can suggests whereby TSPO can control several vital cell functions, which has major implications for the whole organism in health and disease. PMID: 28387723
- TSPO is an ancient bacterial receptor/stress sensor that has developed additional interactions, partners, and roles in its mitochondrial outer membrane environment in eukaryotes. PMID: 27074410
- Unlike the strictly mitochondrial localisation of PBR/TSPO, PBR-S (isoform which lacks exon 2) has a punctate distribution throughout the cytosol that co-localises with lysosomes in HeLa, HEK-293, MDA-MB-231, BJ and U87-MG cells. PMID: 28263860
- [(18)F]PBR102 and [(18)F]PBR111 have distinct metabolic profiles in rat and non-human primates. Radiometabolites contributed to non-specific binding and confounded in vivo brain analysis of [(18)F]PBR102 in rodents; the impact in primates was less pronounced. Both [(18)F]PBR102 and [(18)F]PBR111 are suitable for PET imaging of TSPO in vivo. In vitro metabolite studies can be used to predict in vivo radioligand metabolism PMID: 27699720
- the epigenetic regulation of TSPO PMID: 28004979
- the effects of PK11195 on meningioma were associated the decrease of allopregnanolone biosynthesis, which was mediated by TSPO. PMID: 26835706
- Study demonstrates that TSPO has an anti-inflammatory role in endothelial activation through the inhibition of VCAM1 and regulation of mitochondrial function in endothelial cells. PMID: 26608360
- Study focuses on the current understanding of TSPO interplay with reactive oxygen species and the voltage-dependent anion channel to which it binds, in the regulation of cell mitophagy. [review] PMID: 26551691
- The authors discuss findings about TSPO and its function in the steroidogenesis which are inconclusive at this time. [Review] PMID: 26551695
- Studies confirmed that TSPO expression increases with tumor grade in astrocytomas but also that some overlap exists between Low-grade and anaplastic lesions. PMID: 26551696
- This work implicates TSPO in the maintenance of mitochondrial membrane integrity and in the control of mitochondrial ROS production, ultimately favoring tissue regeneration. PMID: 27054921
- differential expression in children with allergic asthma PMID: 25979194
- We conclude that ScBsAbAgn-2/TSPO targeting of glioblastoma cell lines can be achieved in vitro and in vivo. PMID: 26898800
- Exposure of cells to CS resulted in alternation of biomolecules expressed by CLs peroxidation, reduction of TSPO binding, and depletion of the mitochondrial potential. This irreversible damage was enhanced in the presence of saliva PMID: 25968977
- Study show that TSPO is highly expressed in human glioma and correlates with grade and represents a promising target in human glioma imaging for detection and staging. PMID: 26517124
- Elevations in microglial activity can be measured in vivo with positron emission tomography (PET) using radioligands specific for the 18kD translocator-protein (TSPO), which is expressed on microglia. PMID: 26472628
- Our preliminary results suggest that TSPO brain imaging in GBM may be a useful tool for predicting tumor progression at follow-up and may be less susceptible to changes in blood-brain barrier permeability than (18)F-FET. PMID: 26182972
- Data suggest that TSPO expression is tightly associated with metabolic state of adipocytes and differentiation of preadipocytes into white/brown adipocytes; TSPO expression may improve metabolic status of adipocytes and regulate glucose homeostasis. PMID: 26123521
- Our findings highlight TSPO as a candidate for future investigations of antipsychotic-induced weight gain, and support the involvement of mitochondrial membrane components in this serious treatment side effect. PMID: 25560467
- TSPO is a biomarkers that can predict recovery from brain injury and myocarditis PMID: 25123025
- Data indicate that variation in the translocator protein (18 kDa) (TSPO) gene affects susceptibility to topic dermatitis (AD). PMID: 24998961
- This study identifies key cholesterol binding enhancement motif in translocator protein 18 kDa. PMID: 25635829
- Results show that TSPO is involved in cell death induction by NH4Cl; TSPO ligands, depending on their concentration, bimodally modulated NH4Cl-induced toxicity PMID: 24168369
- As demonstrated within a group of stroke and GBM patients, (123)I-CLINDE SPECT can be used for quantitative assessment of TSPO expression in vivo PMID: 25453044
- it appears that 10(-5) M FGIN-1-27 reduces cell viability, cell metabolism, and mitochondrial function. PMID: 24532136
- TSPO expression is able to distinguish differences in the severity of myocarditis between male subjects and female subjects. PMID: 24402571
- Increased TSPO expression and microglial activation are not associated with cocaine abuse. PMID: 25057196
- Data indicate that targeting 18 kDa translocator protein (TSPO) reduces macrophage lipid content and prevents macrophage foam cell formation. PMID: 24814875
- These findings suggest that TSPO is highly expressed in reactive retinal microglia and a promising target to control microglial reactivity during retinal degeneration. PMID: 24397957
- Both IRF-4 and IBP might be involved in the pathogenesis of psoriasis vulgaris. PMID: 22528235
- XBD173 blockade provides a practical means of estimating VND for TSPO targeting radioligands. PMID: 24643083
- data indicate a nominal association between the rs6971 SNP in the TSPO gene and the diagnosis of BD. PMID: 23942012
- The mitochondrial TSPO protein inhibits HIV-1 envelope glycoprotein biosynthesis via the endoplasmic reticulum-associated protein. degradation pathway PMID: 24403586
- PET imaging with [11C]PBR28 in subjects with mild-to-moderate depression and C-reactive protein levels <5 mg/L do not show that depressed subjects have neuroinflammation or microglial activation. PMID: 23850810
顯示更多
收起更多
-
亞細胞定位:Mitochondrion membrane; Multi-pass membrane protein.
-
蛋白家族:TspO/BZRP family
-
組織特異性:Found in many tissue types. Expressed at the highest levels under normal conditions in tissues that synthesize steroids.
-
數據庫鏈接:
Most popular with customers
-
-
YWHAB Recombinant Monoclonal Antibody
Applications: ELISA, WB, IHC, IF, FC
Species Reactivity: Human, Mouse, Rat
-
Phospho-YAP1 (S127) Recombinant Monoclonal Antibody
Applications: ELISA, WB, IHC
Species Reactivity: Human
-
-
-
-
-















