-
中文名稱:TRAF2重組抗體
-
貨號:CSB-RA786226A0HU
-
規格:¥1320
-
圖片:
-
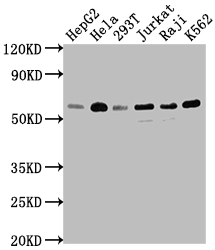
Western Blot
Positive WB detected in: HepG2 whole cell lysate, Hela whole cell lysate, 293T whole cell lysate, Jurkat whole cell lysate, Raji whole cell lysate, K562 whole cell lysate
All lanes: TRAF2 antibody at 1:1500
Secondary
Goat polyclonal to rabbit IgG at 1/50000 dilution
Predicted band size: 56, 62, 55, 54 kDa
Observed band size: 56 kDa -
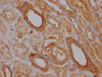
IHC image of CSB-RA786226A0HU diluted at 1:100 and staining in paraffin-embedded human kidney tissue performed on a Leica BondTM system. After dewaxing and hydration, antigen retrieval was mediated by high pressure in a citrate buffer (pH 6.0). Section was blocked with 10% normal goat serum 30min at RT. Then primary antibody (1% BSA) was incubated at 4℃ overnight. The primary is detected by a Goat anti-rabbit IgG polymer labeled by HRP and visualized using 0.05% DAB.
-
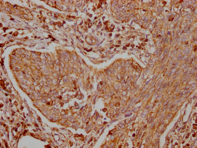
IHC image of CSB-RA786226A0HU diluted at 1:100 and staining in paraffin-embedded human cervical cancer performed on a Leica BondTM system. After dewaxing and hydration, antigen retrieval was mediated by high pressure in a citrate buffer (pH 6.0). Section was blocked with 10% normal goat serum 30min at RT. Then primary antibody (1% BSA) was incubated at 4℃ overnight. The primary is detected by a Goat anti-rabbit IgG polymer labeled by HRP and visualized using 0.05% DAB.
-
Overlay histogram showing Hela cells stained with CSB-RA786226A0HU (red line) at 1:50. The cells were fixed with 70% Ethylalcohol (18h) and then incubated in 10% normal goat serum to block non-specific protein-protein interactions followedby the antibody (1μg/1*106 cells) for 1 h at 4℃.The secondary antibody used was FITC-conjugated goat anti-rabbit IgG (H+L) at 1/200 dilution for 30min at 4℃. Control antibody (green line) was Rabbit IgG (1μg/1*106 cells) used under the same conditions. Acquisition of >10,000 events was performed.
-
Immunoprecipitating TRAF2 in Hela whole cell lysate
Lane 1: Rabbit control IgG instead of CSB-RA786226A0HU in Hela whole cell lysate. For western blotting,a HRP-conjugated Protein G antibody was used as the secondary antibody (1/2000)
Lane 2: CSB-RA786226A0HU(2μg)+ Hela whole cell lysate(500μg)
Lane 3: Hela whole cell lysate (10μg)
-
-
其他:
產品詳情
-
產品描述:CSB-RA786226A0HU TRAF2重組單克隆抗體是經多平臺驗證的高特異性科研工具,適用于ELISA、免疫印跡、免疫組化、流式細胞術及免疫沉淀等實驗。該抗體靶向TRAF2蛋白,該分子作為腫瘤壞死因子受體超家族信號網絡的核心適配蛋白,通過介導NF-κB和MAPK信號通路調控細胞存活、免疫應答及應激反應等生物學過程。實驗數據顯示,該抗體在免疫印跡中可靈敏檢測多種樣本類型,免疫組化實驗能精準定位組織切片中的目標蛋白,流式細胞術和免疫沉淀實驗結果展現出優異的特異性和信噪比。推薦應用于細胞信號轉導機制研究、蛋白質相互作用網絡解析、免疫調控功能探索及相關疾病模型構建等基礎研究領域。產品經過嚴格的質量控制,不同批次間性能穩定,為科研工作者提供可靠的實驗數據支持。
-
Uniprot No.:
-
基因名:
-
別名:TNF receptor-associated factor 2 (EC 2.3.2.27) (E3 ubiquitin-protein ligase TRAF2) (RING-type E3 ubiquitin transferase TRAF2) (Tumor necrosis factor type 2 receptor-associated protein 3), TRAF2, TRAP3
-
反應種屬:Human
-
免疫原:A synthesized peptide derived from human TRAF2
-
免疫原種屬:Homo sapiens (Human)
-
標記方式:Non-conjugated
-
克隆類型:Monoclonal
-
抗體亞型:Rabbit IgG
-
純化方式:Affinity-chromatography
-
克隆號:9A5
-
濃度:It differs from different batches. Please contact us to confirm it.
-
保存緩沖液:Rabbit IgG in 10mM phosphate buffered saline , pH 7.4, 150mM sodium chloride, 0.05% BSA, 0.02% sodium azide and 50% glycerol.
-
產品提供形式:Liquid
-
應用范圍:ELISA, WB, IHC, FC, IP
-
推薦稀釋比:
Application Recommended Dilution WB 1:500-1:5000 IHC 1:50-1:200 FC 1:20-1:200 IP 1:200-1:1000 -
Protocols:
-
儲存條件:Upon receipt, store at -20°C or -80°C. Avoid repeated freeze.
-
貨期:Basically, we can dispatch the products out in 1-3 working days after receiving your orders. Delivery time maybe differs from different purchasing way or location, please kindly consult your local distributors for specific delivery time.
-
用途:For Research Use Only. Not for use in diagnostic or therapeutic procedures.
引用文獻
- Comparison of necrotizing enterocolitis (NEC)-related apoptosis factors between preterm and full-term rats H Lee, D Ko, KY Lee, S Kim, JK Youn, HB Yang,Scientific Reports,2025
相關產品
靶點詳情
-
功能:Regulates activation of NF-kappa-B and JNK and plays a central role in the regulation of cell survival and apoptosis. Required for normal antibody isotype switching from IgM to IgG. Has E3 ubiquitin-protein ligase activity and promotes 'Lys-63'-linked ubiquitination of target proteins, such as BIRC3, RIPK1 and TICAM1. Is an essential constituent of several E3 ubiquitin-protein ligase complexes, where it promotes the ubiquitination of target proteins by bringing them into contact with other E3 ubiquitin ligases. Regulates BIRC2 and BIRC3 protein levels by inhibiting their autoubiquitination and subsequent degradation; this does not depend on the TRAF2 RING-type zinc finger domain. Plays a role in mediating activation of NF-kappa-B by EIF2AK2/PKR. In complex with BIRC2 or BIRC3, promotes ubiquitination of IKBKE.
-
基因功能參考文獻:
- The TRAIP coiled-coil domain altered its stoichiometry between dimer and trimer in a concentration-dependent manner. Additionally, the TRAIP RING domain induced even higher-ordered assembly, which was necessary for interacting with the TRAF-N domain of TRAF2 but not TRAF1. PMID: 30127245
- high levels of CASC9.5 expression promote the proliferation, metastasis and metabolism of lung adenocarcinoma cells and might serve as a prognostic indicator. PMID: 29311633
- down-regulation of USP48 increases E-cadherin expression and epithelial barrier integrity through reducing TRAF2 stability PMID: 28874458
- DR5-Cbl-b/c-Cbl-TRAF2 complex inhibited TRAIL-induced apoptosis by promoting TRAF2-mediated polyubiquitination of caspase-8 in gastric cancer cells. PMID: 28972304
- CPNE1 overexpression can upregulate TRAF2 expression in prostate cancer DU-145 cells as determined by Western blotting and immunofluorescence assays. PMID: 29151113
- TRAF2 functions as an important modulator in tumor metastasis and tumor microenvironment formation and is a novel independent prognostic factor of gastric cancer. PMID: 28482378
- High expression of TRAF2 can predict poorer prognosis of GBM and was identified as an independent biomarker in GBM prognosis. PMID: 28926524
- TRAF2 can influence in vitro growth of TRAIL-treated DU-145 cells at least partially via regulating SIRT1 expression. PMID: 28667915
- Intestinal I/R induced the membrane translocation and phosphorylation of PKCzeta. Pretreatment with the PKCzeta activator phosphatidylcholine remarkably attenuated gut injury by suppressing apoptosis. H/R induced PKCzeta to combine with TRAF2, which was phosphorylated by PKCzeta at Ser(55), but not at Ser(11), under intestinal I/R or H/R conditions PMID: 28726782
- Both S1P and caspase-8 are critical for TRAF2 stabilization, polyubiquitination, subsequent activation of JNK/AP1 signaling and MMP1 expression and final promotion of cell invasion. PMID: 28482915
- Results showed that high expression of TRAF2 was significantly associated with tumor stage of prostate cancer. PMID: 28855498
- The addition of nanomolar concentration of TRAF2 in GUVs also seems to exert a mechanical action. PMID: 28499815
- TRAF2 and OTUD7B govern a ubiquitin-dependent switch that regulates mTORC2 signalling PMID: 28489822
- destabilization of TRAF2 by miR-17 reduced the ability of TRAF2 to associate with cIAP2, resulting in the downregulation of TNF-alpha-induced NF-kappaBp65, c-Jun, and STAT3 nuclear translocation and the production of IL-6, IL-8, MMP-1, and MMP-13 in human rheumatoid arthritis synovial fibroblasts. PMID: 27534557
- HOXA1-mediated activation of NF-kappaB is non-transcriptional and the RBCK1 and TRAF2 influences on NF-kappaB are epistatic to HOXA1 PMID: 27382069
- RIPK1 collaborates with TRAF2 to inhibit murine and human hepatocarcinogenesis. PMID: 28017612
- Study presents the characterization of the peptide binding preferences of TRAFs 2, 3, and 5 using deep mutational scanning. The three TRAF proteins demonstrated different preferences for binding to members of the CD40 library, and three peptides from that library individually showed striking differences in affinity for the three TRAFs. PMID: 26779844
- TRAF2 expression was increased in gastric cancer patients as a result of DNA hypomethylation. PMID: 26823737
- Data show that when death receptor 5 (DR5) is suppressed, caspase-8 may recruit and stabilize TNF receptor-associated factor 2 (TRAF2) to form a metastasis and invasion signaling complex, resulting in activation of ERK signaling. PMID: 26510914
- these findings reveal a novel mechanism by which TRAF2 mediates Lys63-linked ubiquitination of DUSP14, leading to DUSP14 activation in T cells PMID: 26521044
- There was a significant positive correlation between TRAF2 and TRAF4 expression levels in malignant pleural effusion cells PMID: 26331901
- Data show that ectopic expression of interferon regulatory factor 1 (IRF-1) reduces NF-kappa B activity and suppresses TNF receptor-associated factor 2 (TRAF2) and inhibitor of apoptosis 1 protein (cIAP1) expression in breast cancer cells. PMID: 26011589
- The results identify TRAF2 as an important biological suppressor of necroptosis in vitro and in vivo. PMID: 25882049
- MAVS50, exposing a degenerate TRAF-binding motif within its N-terminus, effectively competed with full-length MAVS for recruiting TRAF2 and TRAF6 PMID: 26221961
- Presented is the trimer-to-monomer equilibrium transition of the TRAF2 C-terminal domain using both chemical (dilution/guanidinium hydrochloride) and mechanical stress (high pressure) to induce the dissociation of the native protein into subunits. PMID: 26390021
- Knockdown of IRE1alpha by siRNA dramatically abrogated CXC195-induced activation of TRAF2, ASK and JNK, formation of an IRE1alpha-TRAF2-ASK1 complex and caspase- and mitochondrial-dependent apoptosis in T24 cells PMID: 25797626
- PP4R1 could mediate the dephosphorylation of TRAF2 Ser11. PMID: 25134449
- TRAF2 acts as an antagonist of TRAIL- and CD95L-induced necroptosis. PMID: 25299769
- Data indicate that TRAF interacting protein TRIP negatively regulates the TNFR-associated factor 2 (TRAF2) ubiquitin-dependent pathway by modulating the TRAF2-sphingosine 1-phosphate (S1P) interaction. PMID: 25716317
- The phosphorylation of TRAF2 at serine 11 is essential for the survival of cancer cells harboring TRAF2 amplification. Observations identify TRAF2 as a frequently amplified oncogene. PMID: 24362534
- preventing CD40-TRAF2,3 or CD40-TRAF6 interaction inhibits pro-inflammatory responses in human non-haematopoietic cells. PMID: 25051892
- During stress-induced mitochondrial hyperfusion, MULAN forms a complex with TRAF2 and modulates its ubiquitylation, signifying that TRAF2 may serve as an ubiquitylated transmitter of NF-kappaB signaling in this pathway PMID: 24841215
- GSTP1-1's TRAF2-binding region involves the GSH-binding site. PMID: 24457959
- RNASET2 contributes to vitiligo pathogenesis by inhibiting TRAF2 expression. PMID: 24457966
- Data indicate that in monocyte- derived macrophages (MDMs) acutely infected with HIV-1 and treated with HCV rCore and HIV-1 rNef, the HIV-1 replication depends on an upstream signal mediated through TRAF2, TRAF5 and TRAF6. PMID: 23774506
- TRAF2 is a proviral factor for vaccinia virus that plays a role in promoting efficient viral entry, most likely via the plasma membrane. PMID: 24429366
- IpaH0722 dampens the acute inflammatory response by preferentially inhibiting the PKC-mediated activation of NF-kappaB by ubiquitinating TRAF2, a molecule downstream of PKC, and by promoting its proteasome-dependent degradation. PMID: 23754945
- it is hypothesized that ZC3H15 may interact with TRAF-2 functionally within the NF-kappaB pathway, and may be explored as a potential target in acute myeloid leukemia PMID: 23624947
- The results of this study showed TRAF2 is upregulated in relapsing-remitting multiple sclerosis. PMID: 23595117
- TRAF2 can predict relapse of ulcerative colitis PMID: 23638224
- Data indicate that the Src homology 3 domain-containing GEF (SGEF) promotes fibroblast growth factor-inducible 14 (Fn14) proinvasive signaling in glioblastoma via TNF receptor-associated factor 2 (TRAF2). PMID: 23775076
- Authors found that rotavirus Non-Structural Protein-1 (NSP1) interacts with TRAF2 and degrades it in a proteasome dependent manner. PMID: 23890813
- activation of TRAF-1 may be early events in the pathogenesis of inflammatory bowel disease PMID: 23414308
- Data iindicate that TRAF2 affects the localization and function of TRAF4 in breast cancer cell lines. PMID: 23743189
- TRAF2/NIK/NF-kappaB2 pathway regulates pancreatic ductal adenocarcinoma cell tumorigenicity PMID: 23301098
- Parkin suppresses inflammation and cytokine-induced cell death by promoting the proteasomal degradation of TRAF2/6. PMID: 23608757
- RAD23A down-regulated TRAF2 protein level through ubiquitin-proteasome system. PMID: 23357418
- These results reveal a critical role for the MAPK8 activation pathway through TRAF2 and RIPK1 for TNFSF10-induced autophagy that blunts apoptosis in cancer cells. PMID: 23051914
- Changes in expression levels of TNFSF4 and TRAF2 mRNAs may significantly correlate with the pathogenesis of SLE, the disease activity and different clinical features of lupus, particularly lupus nephritis, atherosclerosis and arthritis PMID: 22847298
- A novel radioresistance mechanism through functional orchestration of rpS3, TRAF2, and NF-kappaB in non-small cell lung cancer cells, is reported. PMID: 23188828
顯示更多
收起更多
-
亞細胞定位:Cytoplasm.
-
蛋白家族:TNF receptor-associated factor family, A subfamily
-
數據庫鏈接:
Most popular with customers
-
-
YWHAB Recombinant Monoclonal Antibody
Applications: ELISA, WB, IHC, IF, FC
Species Reactivity: Human, Mouse, Rat
-
Phospho-YAP1 (S127) Recombinant Monoclonal Antibody
Applications: ELISA, WB, IHC
Species Reactivity: Human
-
-
-
-
-















