TPBG Recombinant Monoclonal Antibody
-
中文名稱:TPBG重組抗體
-
貨號:CSB-RA902876A0HU
-
規格:¥1320
-
圖片:
-
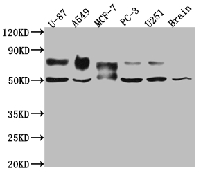
Western Blot
Positive WB detected in: U-87 whole cell lysate, A549 whole cell lysate, MCF-7 whole cell lysate, PC-3 whole cell lysate, U-251 whole cell lysate, Mouse Brain whole cell lysate
All lanes: 5T4 antibody at 1:1000
Secondary
Goat polyclonal to rabbit IgG at 1/50000 dilution
Predicted band size: 47 kDa
Observed band size: 50, 80 kDa -
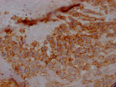
IHC image of CSB-RA902876A0HU diluted at 1:100 and staining in paraffin-embedded human placenta tissue performed on a Leica BondTM system. After dewaxing and hydration, antigen retrieval was mediated by high pressure in a citrate buffer (pH 6.0). Section was blocked with 10% normal goat serum 30min at RT. Then primary antibody (1% BSA) was incubated at 4℃ overnight. The primary is detected by a Goat anti-rabbit IgG polymer labeled by HRP and visualized using 0.05% DAB.
-
-
其他:
產品詳情
-
產品描述:CSB-RA902876A0HU TPBG重組單克隆抗體是針對跨膜糖蛋白TPBG(Trophoblast Glycoprotein)研發的高特異性試劑,該靶點作為腫瘤相關抗原,在胚胎發育與腫瘤細胞遷移、侵襲過程中發揮重要調控作用。經嚴格驗證,本抗體在ELISA中具備高親和力,Western Blot實驗可特異性識別天然及重組TPBG蛋白并呈現單一清晰條帶,推薦使用稀釋度1:500-1:5000;在免疫組化(IHC)中能精準定位石蠟包埋組織內的TPBG抗原,推薦稀釋度1:50-1:200,染色結果背景干凈、信號明確。該產品適用于腫瘤微環境研究、轉移機制探索及細胞分化相關實驗,為癌癥生物學研究中靶點功能驗證、蛋白互作分析及病理樣本檢測提供可靠工具。采用哺乳動物表達系統制備,確保抗體批次間高度一致性,適用于多種樣本類型,包括細胞裂解液、組織勻漿液及生物體液檢測,是基礎研究與轉化醫學中TPBG相關機制研究的優選試劑。
-
Uniprot No.:
-
基因名:
-
別名:Trophoblast glycoprotein (5T4 oncofetal antigen) (5T4 oncofetal trophoblast glycoprotein) (5T4 oncotrophoblast glycoprotein) (M6P1) (Wnt-activated inhibitory factor 1) (WAIF1), TPBG, 5T4
-
反應種屬:Human, Mouse
-
免疫原:A synthesized peptide derived from human 5T4
-
免疫原種屬:Homo sapiens (Human)
-
標記方式:Non-conjugated
-
克隆類型:Monoclonal
-
抗體亞型:Rabbit IgG
-
純化方式:Affinity-chromatography
-
克隆號:6E9
-
濃度:It differs from different batches. Please contact us to confirm it.
-
保存緩沖液:Rabbit IgG in 10mM phosphate buffered saline , pH 7.4, 150mM sodium chloride, 0.05% BSA, 0.02% sodium azide and 50% glycerol.
-
產品提供形式:Liquid
-
應用范圍:ELISA, WB, IHC
-
推薦稀釋比:
Application Recommended Dilution WB 1:500-1:5000 IHC 1:50-1:200 -
Protocols:
-
儲存條件:Upon receipt, store at -20°C or -80°C. Avoid repeated freeze.
-
貨期:Basically, we can dispatch the products out in 1-3 working days after receiving your orders. Delivery time maybe differs from different purchasing way or location, please kindly consult your local distributors for specific delivery time.
-
用途:For Research Use Only. Not for use in diagnostic or therapeutic procedures.
相關產品
靶點詳情
-
功能:May function as an inhibitor of Wnt/beta-catenin signaling by indirectly interacting with LRP6 and blocking Wnt3a-dependent LRP6 internalization.
-
基因功能參考文獻:
- In extravillous trophoblasts, 5T4 may function in epithelial-to-mesenchymal transition during placentation. The role of syncytiotrophoblast 5T4 is unknown, but its abundance in shed syncytial vesicles may signify route of sensitization of the maternal immune system. PMID: 28481180
- Collectively, these findings demonstrate that an anti-5T4 antibody-drug conjugate reduces the fraction of cancer stem cells (CSC), and prevents local recurrence and suggest a novel therapeutic approach for patients with head and neck squamous cell carcinoma. PMID: 27780858
- We obtained GWS evidence (P < 2.7 x 10(-6)) for gene-based association in the total sample with a novel locus, TPBG (P = 1.8 x 10(-6)). PMID: 28183528
- In conclusion, the present study provided evidence that TPBG is involved in PDAC metastasis, and that TPBG and its associated signaling pathways may be a suitable target for pancreatic ductal adenocarcinoma therapy. PMID: 25738465
- 5T4 expression is mechanistically associated with the directional movement of cells through epithelial mesenchymal transition, facilitation of CXCL12/CXCR4 chemotaxis, blocking of canonical Wnt/beta-catenin while favouring non-canonical pathway signalling PMID: 25066861
- Tyrosine 325 plus the leucine-rich repeat 1 surface centered on a second exposed aromatic residue, phenylalanine 97, are essential for inhibition of Wnt/beta-catenin signaling. PMID: 24582434
- The surface expression of 5T4 marks the use of the CXCR4 rather than the CXCR7 receptor, with distinct consequences for CXCL12 exposure. PMID: 22956548
- 5T4 is a potential new antigen for targeted therapies such as immunotherapy in MPM, as it is overexpressed on mesothelioma cells and recognised by 5T4-specific cytotoxic T-cells. PMID: 22498111
- Glycosylation and epitope mapping of the 5T4 glycoprotein oncofoetal antigen PMID: 11903056
- Results sugest that 5T4 is a transient marker of human embryonic stem cell differentiation & that 5T4 phenotype, colony seeding density and culture conditions influence the maintenance of pluripotent hES cells and their differentiation to neural lineages. PMID: 16616918
- there is a repertoire of CD8 T cell recognition of 5T4 in normal human donors and some candidate HLA-A*0201 epitopes have been identified PMID: 16646078
- the mRNA expression of trophoblast glycoprotein is up-regulated in cells circulating within blood from women with preeclampsia. PMID: 17978129
- 5T4-based cancer vaccine: cytotoxic T lymphocyte epitopes identified in Trovax-vaccinated colorectal cancer patients PMID: 18567615
- colorectal cancer patients who had preexisting cell proliferative responses to 5T4 were longer-term survivors PMID: 18833005
顯示更多
收起更多
-
亞細胞定位:Cell membrane; Single-pass type I membrane protein.
-
組織特異性:Expressed by all types of trophoblasts as early as 9 weeks of development. Specific for trophoblastic cells except for amniotic epithelium. In adult tissues, the expression is limited to a few epithelial cell types but is found on a variety of carcinoma.
-
數據庫鏈接:
Most popular with customers
-
-
Phospho-YAP1 (S127) Recombinant Monoclonal Antibody
Applications: ELISA, WB, IHC
Species Reactivity: Human
-
-
-
-
-
-















