RNF20 Recombinant Monoclonal Antibody
-
中文名稱:RNF20重組抗體
-
貨號:CSB-RA227095A0HU
-
規格:¥1320
-
圖片:
-
Western Blot
Positive WB detected in: Hela whole cell lysate, 293 whole cell lysate
All lanes: RNF20 antibody at 1:1000
Secondary
Goat polyclonal to rabbit IgG at 1/50000 dilution
Predicted band size: 114 kDa
Observed band size: 114 kDa -
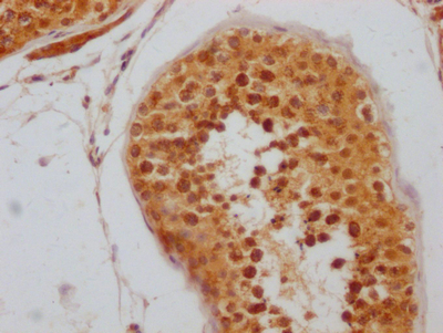
IHC image of CSB-RA227095A0HU diluted at 1:100 and staining in paraffin-embedded human testis tissue performed on a Leica BondTM system. After dewaxing and hydration, antigen retrieval was mediated by high pressure in a citrate buffer (pH 6.0). Section was blocked with 10% normal goat serum 30min at RT. Then primary antibody (1% BSA) was incubated at 4℃ overnight. The primary is detected by a Goat anti-rabbit IgG polymer labeled by HRP and visualized using 0.05% DAB.
-
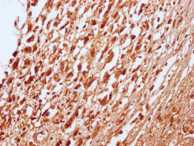
IHC image of CSB-RA227095A0HU diluted at 1:100 and staining in paraffin-embedded human melanoma cancer performed on a Leica BondTM system. After dewaxing and hydration, antigen retrieval was mediated by high pressure in a citrate buffer (pH 6.0). Section was blocked with 10% normal goat serum 30min at RT. Then primary antibody (1% BSA) was incubated at 4℃ overnight. The primary is detected by a Goat anti-rabbit IgG polymer labeled by HRP and visualized using 0.05% DAB.
-
Immunofluorescence staining of Hela Cells with CSB-RA227095A0HU at 1:50, counter-stained with DAPI. The cells were fixed in 4% formaldehyde, permeated by 0.2% TritonX-100, and blocked in 10% normal Goat Serum. The cells were then incubated with the antibody overnight at 4℃. Nuclear DNA was labeled in blue with DAPI. The secondary antibody was FITC-conjugated AffiniPure Goat Anti-Rabbit IgG (H+L).
-
-
其他:
產品詳情
-
產品描述:CSB-RA227095A0HU RNF20重組單克隆抗體是針對E3泛素連接酶RNF20靶點開發的高特異性科研試劑。該抗體通過重組表達技術制備,可精準識別天然及重組形式的人源RNF20蛋白,在蛋白質印跡(WB)中展現1:500-1:5000的寬泛檢測范圍,免疫組化(IHC)和免疫熒光(IF)實驗分別支持1:50-1:200和1:20-1:200的推薦稀釋度,經多體系驗證顯示其在哺乳動物細胞裂解液、組織切片等樣本中均能實現特異性檢測。RNF20作為組蛋白H2B單泛素化修飾的關鍵調控因子,參與染色質重塑、DNA損傷修復及腫瘤抑制等重要生物學過程。本產品適用于探索表觀遺傳調控機制、腫瘤發生發展相關信號通路研究,以及基因轉錄調控網絡的體外實驗分析,為表觀遺傳學、腫瘤生物學等領域的基礎研究提供可靠工具。其重組單克隆特性確保批次間高度一致性,配合優化的緩沖體系,可在-20℃長期保存并維持穩定活性,滿足各類復雜實驗設計需求。
-
Uniprot No.:
-
基因名:RNF20
-
別名:E3 ubiquitin-protein ligase BRE1A (BRE1-A) (hBRE1) (EC 2.3.2.27) (RING finger protein 20) (RING-type E3 ubiquitin transferase BRE1A), RNF20, BRE1A
-
反應種屬:Human
-
免疫原:A synthesized peptide derived from human RNF20
-
免疫原種屬:Homo sapiens (Human)
-
標記方式:Non-conjugated
-
克隆類型:Monoclonal
-
抗體亞型:Rabbit IgG
-
純化方式:Affinity-chromatography
-
克隆號:2H12
-
濃度:It differs from different batches. Please contact us to confirm it.
-
保存緩沖液:Rabbit IgG in 10mM phosphate buffered saline , pH 7.4, 150mM sodium chloride, 0.05% BSA, 0.02% sodium azide and 50% glycerol.
-
產品提供形式:Liquid
-
應用范圍:ELISA, WB, IHC, IF
-
推薦稀釋比:
Application Recommended Dilution WB 1:500-1:5000 IHC 1:50-1:200 IF 1:20-1:200 -
Protocols:
-
儲存條件:Upon receipt, store at -20°C or -80°C. Avoid repeated freeze.
-
貨期:Basically, we can dispatch the products out in 1-3 working days after receiving your orders. Delivery time maybe differs from different purchasing way or location, please kindly consult your local distributors for specific delivery time.
-
用途:For Research Use Only. Not for use in diagnostic or therapeutic procedures.
相關產品
靶點詳情
-
功能:Component of the RNF20/40 E3 ubiquitin-protein ligase complex that mediates monoubiquitination of 'Lys-120' of histone H2B (H2BK120ub1). H2BK120ub1 gives a specific tag for epigenetic transcriptional activation and is also prerequisite for histone H3 'Lys-4' and 'Lys-79' methylation (H3K4me and H3K79me, respectively). It thereby plays a central role inb histone code and gene regulation. The RNF20/40 complex forms a H2B ubiquitin ligase complex in cooperation with the E2 enzyme UBE2A or UBE2B; reports about the cooperation with UBE2E1/UBCH are contradictory. Required for transcriptional activation of Hox genes. Recruited to the MDM2 promoter, probably by being recruited by p53/TP53, and thereby acts as a transcriptional coactivator. Mediates the polyubiquitination of isoform 2 of PA2G4 in cancer cells leading to its proteasome-mediated degradation.
-
基因功能參考文獻:
- the RNF20/40 complex, a major ubiquitin ligase catalysing histone H2B monoubiquitination, interacts with the motor protein Eg5 during mitosis and participates in spindle assembly. PMID: 27557628
- data indicate that RNF20 and PARP1 are synthetic lethal interactors PMID: 28462496
- RNF20 depletion stabilizes the ZSCAN4 protein half-life, suggesting that RNF20 negatively regulates ZSCAN4 stability. PMID: 29477841
- The effects of RNF20 on mammary tumorigenesis are subtype dependent: In basal-like cancers cells, RNF20 suppresses the NF-kappaB-dependent expression of cytokines, known to contribute to the growth of this tumor subtype. PMID: 28157208
- The authors also show that the RING domains of RNF20 and RNF40 can form a stable heterodimer that is active. PMID: 27569044
- Manipulation of key H2Bub1 E3 ubiquitin ligases, RNF20, RNF40 and BRCA1, in ovarian cancer cell line models modulated H2Bub1 levels, indicative of the role of these RING finger ligases in monoubiquitination of H2Bub1 in vitro PMID: 27798111
- RNF20 and H2Bub1 promotes chronic colonic inflammation and inflammation-associated colorectal cancer in mice and humans, partly by augmenting NF-kappaB activity and attenuating the antitumoral T cell response. PMID: 26854224
- It was observed that RE-IIBP induces MEIS1-mediated apoptosis, which was dependent on H2BK120 ubiquitination by RNF20. PMID: 26206755
- A primary role for FACT in RNF20 recruitment chromatin remodeling for initiation of homologous recombination repair. PMID: 24357716
- The ability of E1A to target hBre1 to simultaneously repress cellular IFN dependent transcription while activating viral transcription PMID: 23785282
- model whereby cotranscriptional recruitment of Rnf20 at MLL-fusion target genes leads to amplification of Dot1l-mediated H3K79 methylation, thereby rendering leukemia cells dependent on Rnf20 to maintain their oncogenic transcriptional program PMID: 23412334
- We show that Bre1 (human BRE1A/B (RNF20/40) and mouse Bre1a/b (Rnf20/40)) acts as an important suppressor of chromosomal instability PMID: 22354749
- our results suggest that RNF20 and RNF40, either via ubiquitylation of H2B or other targets, are coupled to the proliferation of prostate cancer cells. PMID: 22155569
- Studies indicate that H2B monoubiquitylation is driven primarily by an E3 ubiquitin ligase composed of the two RING finger proteins RNF20 and RNF40. PMID: 21827756
- RNF20, presumably via H2Bub, selectively represses oncogenic genes by interfering with chromatin recruitment of TFIIS, a factor capable of relieving stalled RNA polymerase II. RNF20 inhibits the interaction between TFIIS and the PAF1 complex. PMID: 21596312
- RNF20-mediated H2B ubiquitination at DSBs plays a critical role in HRR through chromatin remodeling PMID: 21362548
- the observed defects in the radiation response of Bre1a/b-deficient cells PMID: 20738173
- RNF20 overexpression leads to elevated histone 2B monoubiquitination, subsequently higher levels of methylation at H3 lysines 4 and 79, and stimulation of homeobox gene expression. PMID: 16307923
- The Bre1 protein specifically increases the global level of H2B ubiquitylation at lysine 120 and enhances activator-dependent transcription. PMID: 16337599
- identified as one of five genes containing 11 somatic mutations in a panel that included 132 colorectal cancers, then demonstrated that down-regulation of such homologs resulted in chromosomal instability and chromatid cohesion defects in human cells PMID: 18299561
- RNF20 suppresses the expression of several proto-oncogenes, which reside preferentially in closed chromatin and are modestly transcribed despite bearing marks usually associated with high transcription rates. PMID: 18832071
- hBre1 inhibits Ebp1's tumor suppressive activity through mediating its polyubiquitination and degradation. PMID: 19037095
- In humans, the 600 kDa RNF20/40 complex is the E3 ligase. PMID: 16307923
- Functional analysis of the yeast counterpart PMID: 12535538
顯示更多
收起更多
-
亞細胞定位:Nucleus.
-
蛋白家族:BRE1 family
-
組織特異性:Expressed in the normal brain and also in malignant gliomas (at protein level).
-
數據庫鏈接:
Most popular with customers
-
-
YWHAB Recombinant Monoclonal Antibody
Applications: ELISA, WB, IHC, IF, FC
Species Reactivity: Human, Mouse, Rat
-
Phospho-YAP1 (S127) Recombinant Monoclonal Antibody
Applications: ELISA, WB, IHC
Species Reactivity: Human
-
-
-
-
-















