Phospho-SMAD5 (S463+S465) Recombinant Monoclonal Antibody
-
中文名稱:磷酸化-SMAD5 (S463+S465)重組抗體
-
貨號:CSB-RA859108A463phHU
-
規格:¥1320
-
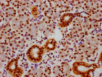
圖片:
-
IHC image of CSB-RA859108A463phHU diluted at 1:100 and staining in paraffin-embedded human pancreatic tissue performed on a Leica BondTM system. After dewaxing and hydration, antigen retrieval was mediated by high pressure in a citrate buffer (pH 6.0). Section was blocked with 10% normal goat serum 30min at RT. Then primary antibody (1% BSA) was incubated at 4℃ overnight. The primary is detected by a biotinylated secondary antibody and visualized using an HRP conjugated SP system.
-
-
其他:
產品詳情
-
產品描述:Phospho-SMAD5 (S463+S465) Recombinant Monoclonal Antibody(CSB-RA859108A463phHU)是一款特異性識別SMAD5蛋白雙磷酸化位點(S463和S465)的高靈敏度抗體,適用于研究TGF-β超家族信號通路的調控機制。SMAD5作為TGF-β/BMP信號轉導的關鍵介質,其磷酸化狀態直接參與調控細胞分化、胚胎發育及組織穩態等生物學過程。該抗體通過重組單克隆技術制備,具有高批次穩定性和特異性,經嚴格驗證可應用于ELISA和免疫組化(IHC)實驗,其中IHC推薦使用1:50-1:200稀釋比例,能夠清晰檢測石蠟包埋組織切片中目標蛋白的磷酸化修飾水平。其在信號通路激活分析、疾病模型研究(如腫瘤微環境調控、纖維化疾病或骨骼發育異常機制)等科研領域具有重要應用價值,為探索SMAD5依賴的細胞信號網絡及其病理生理功能提供可靠工具。本產品僅限科學研究使用。
-
Uniprot No.:
-
基因名:
-
別名:DKFZp781C1895 antibody; DKFZp781O1323 antibody; Dwfc antibody; hSmad5 antibody; JV5 1 antibody; JV5-1 antibody; MAD homolog 5 antibody; MAD, mothers against decapentaplegic homolog 5 antibody; MADH 5 antibody; MADH5 antibody; Mothers against decapentaplegic homolog 5 antibody; mothers against decapentaplegic, drosophila, homolog of, 5 antibody; Mothers against DPP homolog 5 antibody; MusMLP antibody; SMA and MAD related protein 5 antibody; SMAD 5 antibody; SMAD family member 5 antibody; SMAD, mothers against DPP homolog 5 antibody; Smad5 antibody; SMAD5_HUMAN antibody
-
反應種屬:Human
-
免疫原:A synthesized peptide derived from Human Phospho-SMAD5 (S463+S465)
-
免疫原種屬:Homo sapiens (Human)
-
標記方式:Non-conjugated
-
克隆類型:Monoclonal
-
抗體亞型:Rabbit IgG
-
純化方式:Affinity-chromatography
-
克隆號:2G11
-
濃度:It differs from different batches. Please contact us to confirm it.
-
保存緩沖液:Rabbit IgG in 10mM phosphate buffered saline , pH 7.4, 150mM sodium chloride, 0.05% BSA, 0.02% sodium azide and 50% glycerol.
-
產品提供形式:Liquid
-
應用范圍:ELISA, IHC
-
推薦稀釋比:
Application Recommended Dilution IHC 1:50-1:200 -
Protocols:
-
儲存條件:Upon receipt, store at -20°C or -80°C. Avoid repeated freeze.
-
貨期:Basically, we can dispatch the products out in 1-3 working days after receiving your orders. Delivery time maybe differs from different purchasing way or location, please kindly consult your local distributors for specific delivery time.
-
用途:For Research Use Only. Not for use in diagnostic or therapeutic procedures.
相關產品
靶點詳情
-
功能:Transcriptional modulator activated by BMP (bone morphogenetic proteins) type 1 receptor kinase. SMAD5 is a receptor-regulated SMAD (R-SMAD).
-
基因功能參考文獻:
- We demonstrated high expression of miR-145 associated with late stage and unfavorable prognosis of esophageal cancer. We identified SMAD5 as direct target of miR-145, the suppressed expression of which consequently led to increased cell proliferation and migration/invasion. PMID: 29852786
- Smad5 acts as a intracellular pH messenger and maintains the bioenergetic homeostasis of cells by regulating cytoplasmic metabolic machinery. PMID: 28675158
- Data suggest that differences in expression levels in granulosa-like tumor cells and granulosa cells (GCs) from patients with polycystic ovary syndrome (PCOS) are due to increased expression of microRNA-27a-3p in GCs caused by insulin resistance in PCOS; microRNA-27a-3 expression is up-regulated in GCs in PCOS; overexpression of miR-27a-3p inhibits SMAD5 expression and promotes apoptosis. (SMAD5 = SMAD family member 5) PMID: 29029022
- Here the involvement of the pathway in adult brain function is suggested. This exploratory study establishes a strategy to better identify neuronal molecular signatures that are potentially associated with mental illness and cognitive deficits. We propose that the SMAD pathway may be a novel target in addressing cognitive deficit of SZ in future studies. PMID: 27727244
- miR-23a and miR-27a target SMAD5 and regulate apoptosis in human granulosa cells via the FasL-Fas pathway PMID: 26400397
- Our findings suggest that suppression of miR-222-3p activity promoted osteogenic differentiation hBMSCs through regulating Smad5-RUNX2 signaling axis. PMID: 26809090
- The polycomb group protein L3MBTL1 represses a SMAD5-mediated hematopoietic transcriptional program in human pluripotent stem cells. PMID: 25754204
- among the 15 SNPs, rs3206634 was significantly associated with KD in a recessive model (odds ratio = 2.31, p = 0.019), whereas there was no association between any of the 15 SNPs and CALs. PMID: 24163009
- Specific gene siRNAs knock-down further confirmed the osteogenic effects of Genistein on BMP2, SMAD5 and RUNX2 protein expression PMID: 24339730
- ATP production by NaF promotes hypertrophy-like changes via activation of phospho-Smad5 PMID: 23384547
- found that restoration of SMAD5, in addition to the TGF-beta type II receptor, which was epigenetically silenced by the latent viral protein latency-associated nuclear antigen, sensitized BC3 cells to the cytostatic effect of TGF-beta signaling PMID: 22013049
- Studies indicate SMAD5beta isoform plays role in hematopoietic stem cell homeostasis. PMID: 20148926
- regulatory signals are active at transcriptionally subnuclear sites PMID: 12060751
- Smad5 activation by BMP4 in human hematopoietic cells results in significantly increased proliferation of erythroid progenitors and formation of glycophorin-A+ cells. PMID: 12064918
- up-regulated Smad5 mediates apoptosis of gastric epithelial cells induced by Helicobacter pylori infection PMID: 12473652
- Results demonstrate a mitochondrial distribution of Smad5 in non-stimulated chondroprogenitor cells. PMID: 12849988
- SMAD5 undergoes copy number gain and increased expression, rather than loss of expression, and therefore does not act as a tumor-suppressor gene in hepatocellular carcinoma PMID: 14670176
- In mature human B cells, BMP-6 inhibited cell growth, and rapidly induced phosphorylation of Smad5. PMID: 15877825
- We used homology-modeling techniques to generate a reliable molecular model of the Smad5 MH1 domain based on the crystal structure of Smad3 MH1 domain PMID: 16243555
- SMAD5 gene was found to be associated with schizophrenia. PMID: 18298822
顯示更多
收起更多
-
亞細胞定位:Cytoplasm. Nucleus. Note=Cytoplasmic in the absence of ligand. Migrates to the nucleus when complexed with SMAD4.
-
蛋白家族:Dwarfin/SMAD family
-
組織特異性:Ubiquitous.
-
數據庫鏈接:
Most popular with customers
-
-
Phospho-YAP1 (S127) Recombinant Monoclonal Antibody
Applications: ELISA, WB, IHC
Species Reactivity: Human
-
-
-
-
-
-















