PTPN1 Recombinant Monoclonal Antibody
-
中文名稱:PTPN1重組抗體
-
貨號:CSB-RA272100A0HU
-
規格:¥1320
-
圖片:
-
Western Blot
Positive WB detected in: PC-3 whole cell lysate, THP-1 whole cell lysate, Hela whole cell lysate, Jurkat whole cell lysate, K562 whole cell lysate, U87 whole cell lysate
All lanes: PTPN1 antibody at 1:2000
Secondary
Goat polyclonal to rabbit IgG at 1/50000 dilution
Predicted band size: 50 kDa
Observed band size: 50 kDa -
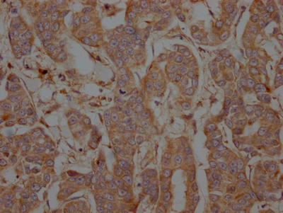
IHC image of CSB-RA272100A0HU diluted at 1:100 and staining in paraffin-embedded human colon cancer performed on a Leica BondTM system. After dewaxing and hydration, antigen retrieval was mediated by high pressure in a citrate buffer (pH 6.0). Section was blocked with 10% normal goat serum 30min at RT. Then primary antibody (1% BSA) was incubated at 4℃ overnight. The primary is detected by a Goat anti-rabbit IgG polymer labeled by HRP and visualized using 0.05% DAB.
-
IHC image of CSB-RA272100A0HU diluted at 1:100 and staining in paraffin-embedded human breast cancer performed on a Leica BondTM system. After dewaxing and hydration, antigen retrieval was mediated by high pressure in a citrate buffer (pH 6.0). Section was blocked with 10% normal goat serum 30min at RT. Then primary antibody (1% BSA) was incubated at 4℃ overnight. The primary is detected by a Goat anti-rabbit IgG polymer labeled by HRP and visualized using 0.05% DAB.
-
-
其他:
產品詳情
-
產品描述:CSB-RA272100A0HU PTPN1重組單克隆抗體是針對蛋白酪氨酸磷酸酶1B(PTPN1)研發的高特異性試劑,該靶點通過去磷酸化作用調控胰島素受體和瘦素受體信號通路,在Ⅱ型糖尿病、肥胖及相關代謝性疾病研究中具有重要價值。本抗體經ELISA、Western Blot(WB)和免疫組化(IHC)嚴格驗證,在WB實驗中能特異性識別天然及重組PTPN1蛋白,推薦使用稀釋度為1:500-1:5000;IHC實驗在石蠟包埋組織切片中呈現清晰的胞質定位信號,建議稀釋比例為1:50-1:200。其重組單克隆特性確保了批次間的高度一致性,適用于代謝信號通路的分子機制研究、疾病模型組織樣本的蛋白表達分析,以及藥物靶點篩選中的定量檢測。該產品為探索PTPN1在能量代謝平衡、細胞增殖調控中的功能提供了可靠工具,尤其適合需要高重復性的胰島素抵抗機制研究或蛋白互作實驗體系。
-
Uniprot No.:
-
基因名:
-
別名:Tyrosine-protein phosphatase non-receptor type 1 (EC 3.1.3.48) (Protein-tyrosine phosphatase 1B) (PTP-1B), PTPN1, PTP1B
-
反應種屬:Human
-
免疫原:A synthesized peptide derived from human PTP1B
-
免疫原種屬:Homo sapiens (Human)
-
標記方式:Non-conjugated
-
克隆類型:Monoclonal
-
抗體亞型:Rabbit IgG
-
純化方式:Affinity-chromatography
-
克隆號:1G3
-
濃度:It differs from different batches. Please contact us to confirm it.
-
保存緩沖液:Rabbit IgG in 10mM phosphate buffered saline , pH 7.4, 150mM sodium chloride, 0.05% BSA, 0.02% sodium azide and 50% glycerol.
-
產品提供形式:Liquid
-
應用范圍:ELISA, WB, IHC
-
推薦稀釋比:
Application Recommended Dilution WB 1:500-1:5000 IHC 1:50-1:200 -
Protocols:
-
儲存條件:Upon receipt, store at -20°C or -80°C. Avoid repeated freeze.
-
貨期:Basically, we can dispatch the products out in 1-3 working days after receiving your orders. Delivery time maybe differs from different purchasing way or location, please kindly consult your local distributors for specific delivery time.
-
用途:For Research Use Only. Not for use in diagnostic or therapeutic procedures.
相關產品
靶點詳情
-
功能:Tyrosine-protein phosphatase which acts as a regulator of endoplasmic reticulum unfolded protein response. Mediates dephosphorylation of EIF2AK3/PERK; inactivating the protein kinase activity of EIF2AK3/PERK. May play an important role in CKII- and p60c-src-induced signal transduction cascades. May regulate the EFNA5-EPHA3 signaling pathway which modulates cell reorganization and cell-cell repulsion. May also regulate the hepatocyte growth factor receptor signaling pathway through dephosphorylation of MET.
-
基因功能參考文獻:
- Cav-2beta isoform yielded by alternative translation initiation desensitizes insulin receptor (IR) via dephosphorylation by PTP1B, and subsequent endocytosis and lysosomal degradation of IR, causing insulin resistance. PMID: 29604334
- High-Resolution PTP1B Inhibition Profiling Combined with HPLC-HRMS-SPE-NMR for Identification of PTP1B Inhibitors from Miconia albicans. PMID: 30018269
- The expression of PTP1B in skeletal muscle was increased after caloric restriction and prolonged exercise. PMID: 28729389
- preliminary data show that heterozygous or homozygous deletion of PTPN1 increases the severity of MPN in Jak2V617F-knock-in mice. Future studies will determine whether loss of PTPN1 cooperates with the JAK2V617F mutation in the pathogenesis of MPN PMID: 28111468
- we demonstrated a novel oncogenic mechanism of PTP1B on affecting PITX1/p120RasGAP in colorectal carcinoma(CRC). Regorafenib inhibited CRC survival through reserving PTP1B-dependant PITX1/p120RasGAP downregulation. PTP1B may be a potential biomarker predicting regorafenib effectiveness, and a potential solution for CRC PMID: 27752061
- this study highlights an important role for Nck1 in fine-tuning IRE1alpha expression and signaling that regulate PTP1B expression and subsequent activation of the PI3K-Akt pathway in HepG2 cells. PMID: 28455143
- In conclusion, HDAC6 might enhance aggressive melanoma cells progression via interacting with PTPN1, which was independent of its histone modifying activity. PMID: 29278704
- PTP1B is widely expressed in the human breast gland with highest expression in myoepithelial cells and fibroblasts. Inhibition of PTP1B in D492 and HMLE affects cell-cell adhesion and induces anoikis-like effects. PMID: 28492548
- The results of the present study highlight the expression quantitative trait loci enrichment and pleiotropy in psoriasis and schizophrenia, and also suggest a possible key role of the PTPN1 gene in the etiology of psoriasis PMID: 27976820
- The structural fragments which are important for PTP1B inhibition were identified by naive Bayesian method and can be further exploited to design new molecules around the identified scaffolds. The descriptive and predictive modeling strategy applied in this study is capable of identifying PTP1B inhibitors from the large compound libraries PMID: 28006676
- The gained results are observed not only the unbinding mechanism of IRK-PTP1B complexes came from pulling force profile, number of hydrogen bonds, and interaction energy between IRK and PTP1Bs but also described PTP1B's point mutations could variably change its binding affinity towards IRK. PMID: 28707052
- these results suggest that inhibition of PTP1B activity is a promising new target in the treatment of colorectal cancer and the prevention of metastasis PMID: 26942883
- the molecular mechanisms by which PTP1B and TC-PTP loss co-operates with other genetic aberrations will need to be elucidated to design more effective therapeutic strategies. PMID: 26817397
- The findings show that reduced PTP1B responses contribute to disease symptoms in part by enhancing S100A9 expression during viral-associated chronic obstructive pulmonary disease exacerbations. PMID: 26813343
- Both the rs2904268 C>G CG and GG genotype frequencies were markedly higher in the ESCC group relative to the control group (both p < 0.05). However, the genotype frequencies of rs2230605A>G and rs16995309 C>T were similar between the ESCC and control groups These results indicated that the PTPN1 gene polymorphism rs2904268 is associated with susceptibility to Esophageal Squamous Cell Carcinoma in Inner Mongolia. PMID: 28287835
- Data suggest TrxR1 and NADPH directly protect PTP1B from inactivation by oxidation; this protection is independent of TRX1 and PRX2; this protection is blocked by auranofin (an inhibitor of TrxR1 and requires an intact selenocysteine residue in TrxR1. (TrxR1 = thioredoxin reductase 1; PTP1B = protein tyrosine phosphatase, non-receptor type 1; TRX1 = thioredoxin-1; PRX2 = paired related homeobox 2 protein) PMID: 28684416
- Regulation of platelet-activating factor-mediated PTP1B activation by a Janus kinase 2/ calpain pathway has been reported. PMID: 28686728
- PTP1B was overexpressed in over 70% of breast cancer tissues, correlating with patients with estrogen receptor (ER)-negative, progesterone receptor (PR)-negative, and human epidermal growth factor receptor 2 (HER2)-positive tumors. The data also showed that both tumor size and lymph node metastasis were significantly higher in patients with a higher level of PTP1B. PMID: 28378571
- PTP1B uses conformational and dynamic allostery to regulate its activity. Both conformational rigidity and dynamics are essential for controlling protein activity. PMID: 28212750
- PTP1BDelta6 is a positive regulator of JAK/STAT signaling in classical Hodgkin lymphoma cells.( PMID: 28082443
- In PTP1B and VHR, two new allosteric clusters were identified in each enzyme. PMID: 28625849
- The PTP1BDeltaE6 mutant expressed in colon and thyroid tumors and another PTP1BDeltaE5 mutant expressed in colon tumor were studied in more detail. PMID: 27855221
- PTP1B/RNF213/alpha-KGDD pathway is critical for survival of HER2(+) breast cancer, and possibly other malignancies, in the hypoxic tumour microenvironment PMID: 27323329
- data for the first time demonstrate a calpain/PTP1B/VEGFR2 negative feedback loop in the regulation of VEGF-induced angiogenesis. Modulation of local PTP1B and/or calpain activities may prove beneficial in the treatment of impaired wound healing in diabetes. PMID: 27872190
- Data show that cichoric acid (CHA) is a competitive inhibitor that binds in the active site of protein tyrosine phosphatase 1B (PTP1B), and chlorogenic acid (CGA), while a noncompetitive inhibitor, binds in the second aryl phosphate binding site, rather than the predicted benzfuran binding pocket. PMID: 27959494
- stimulation of the DOCK180 pathway represents an alternative mechanism of PTP1B inhibitor-stimulated endothelial cell motility, which does not require concomitant VEGFR2 activation as a prerequisite. PMID: 27052191
- Overexpression of PTP1B is associated with breast neoplasms. PMID: 27465552
- The analysis revealed three candidate genes GSK3B, PTPN1, STX4 that are differentially expressed in study subjects. GSK3B was highly significant in Ps-T2D (P=0.00018, FR=-26.6), followed by Ps (P=0.0028, FR=-14.5) and T2D groups (P=0.032, FR=-5.9). PTPN1 showed significant association only with PS-T2D (P=0.00027, FR=-8.5). STX4 showed significant association with both Ps (P=0.0002, FR=-20) and Ps-T2D (P=0.0016, FR=-11.2). PMID: 27530212
- PTP1B directly regulates STAT5 phosphorylation and its activation via the cAMP/PKA pathway downstream of the 5-HT7 receptor is involved in the suppression of beta-casein expression in MCF-12A cells PMID: 27016479
- On EGF stimulation, complexes containing Mena and PTP1B are recruited to the EGFR, causing receptor dephosphorylation and leading to decreased motility responses. PMID: 26337385
- PTP1B dephosphorylates PITX1 to weaken its protein stability and the transcriptional activity for p120RasGAP gene expression PMID: 26840794
- our data indicate that by targeting PTP1B, miR-744 plays a feed-forward role in regulating type I IFN signaling pathway. PMID: 26259828
- O-GlcNAcylation of PTP1B can influence insulin signal transduction by modulating its own phosphatase activity, which participates in the process of hepatic insulin resistance. PMID: 26402673
- Blockade of the interaction between Bcr-Abl and PTB1B by small molecule SBF-1 to overcomes imatinib-resistance of K562 cells. PMID: 26721204
- the multiple roles of PTP1B in liver diseases will be presented, with respect to liver regeneration, drug-induced liver disease, non-alcoholic fatty liver disease (NAFLD) and hepatocellular carcinoma--{REVIEW} PMID: 26299811
- PTP1B amplification predicts poor survival of gastric cancer patients. PMID: 25590580
- the hydrogen bond and energy decomposition analyses indicate that apart from residue 181, point mutations have influence on the interactions of substrate with several residues in the active site of PTP1B PMID: 24865376
- Nck1 depletion induces activation of the PI3K/Akt pathway by attenuating PTP1B protein expression PMID: 25398386
- Findings suggest that the second sphere residues of PTP1B active site may play important roles in PTP-mediated function in both normal and diseased states. PMID: 25450460
- PTP1B sub-cellular location and tight control of enzymatic activity by diverse post-translational modifications illustrate the dynamic regulation of this enzyme and its ability to modulate numerous signaling pathways, likely in a cell/tissue- and stimulus-dependent manner, with high specificity and precision. [Review] PMID: 25263014
- FGFR3 regulation by PTPN1 and PTPN2 depend on FGFR3 localization and A-loop sequence. PMID: 25311528
- Data shows a relationship between the dephosphorylation rate of different factors in signaling pathways related to cell proliferation and PTP1B activation. PMID: 25668475
- Fumosorinone increased glucose uptake and improved insulin resistance by down-regulating the expression of PTP1B and activating the insulin signaling pathway, suggesting that it may possess antidiabetic properties. PMID: 25796170
- M3R preserves the endothelial barrier function through a mechanism potentially maintaining PTP1B activity, keeping the adherens junction proteins (AJPs) dephosphorylation. PMID: 24393526
- Data indicate that protein tyrosine phosphatase 1B (PTP1B) association with calnexin is ubiquitin conjugating enzyme 9 (UBC9)-dependent. PMID: 25586181
- PTP1B can promote non-small cell lung cancer proliferation and metastasis by activating src and subsequently ERK1/2. PMID: 25617799
- protein tyrosine phosphatase 1B is regulated with a conformational rearrangement in helix alpha7, disrupting the triangular interaction among helix alpha7, helix alpha3, and loop11 PMID: 24831294
- PTP1B is a novel physiological regulator of TrkB and enhanced BDNF/TrkB signaling may contribute to the beneficial metabolic effects of PTP1B deficiency PMID: 25288805
- Nox4-mediated redox regulation of PTP1B serves as a modulator, in part through coronin-1C, of the growth and migration of glioblastoma cells. PMID: 24239742
- PTP1B has a role in the modulation of insulin signaling by acetaminophen in hepatocytes PMID: 25204659
顯示更多
收起更多
-
亞細胞定位:Endoplasmic reticulum membrane; Peripheral membrane protein; Cytoplasmic side. Note=Interacts with EPHA3 at the cell membrane.
-
蛋白家族:Protein-tyrosine phosphatase family, Non-receptor class 1 subfamily
-
組織特異性:Expressed in keratinocytes (at protein level).
-
數據庫鏈接:
Most popular with customers
-
-
Phospho-YAP1 (S127) Recombinant Monoclonal Antibody
Applications: ELISA, WB, IHC
Species Reactivity: Human
-
-
-
-
-
-















