JUNB Recombinant Monoclonal Antibody
-
中文名稱:JUNB重組抗體
-
貨號:CSB-RA988421A0HU
-
規格:¥1320
-
圖片:
-
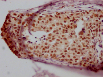
IHC image of CSB-RA988421A0HU diluted at 1:100 and staining in paraffin-embedded human breast cancer performed on a Leica BondTM system. After dewaxing and hydration, antigen retrieval was mediated by high pressure in a citrate buffer (pH 6.0). Section was blocked with 10% normal goat serum 30min at RT. Then primary antibody (1% BSA) was incubated at 4℃ overnight. The primary is detected by a Goat anti-rabbit IgG polymer labeled by HRP and visualized using 0.05% DAB.
-
Immunofluorescence staining of MCF7 Cells with CSB-RA988421A0HU at 1:50, counter-stained with DAPI. The cells were fixed in 4% formaldehyde, permeated by 0.2% TritonX-100, and blocked in 10% normal Goat Serum. The cells were then incubated with the antibody overnight at 4℃. Nuclear DNA was labeled in blue with DAPI. The secondary antibody was FITC-conjugated AffiniPure Goat Anti-Rabbit IgG (H+L).
-
-
其他:
產品詳情
-
產品描述:CSB-RA988421A0HU JUNB重組單克隆抗體是針對轉錄因子JUNB開發的高特異性科研工具。該抗體靶向的JUNB蛋白屬于激活蛋白1(AP-1)家族成員,在細胞增殖、分化調控及應激響應等生物學過程中發揮重要作用,其異常表達與腫瘤發生和免疫調控密切相關。經多平臺驗證,本抗體在酶聯免疫吸附試驗(ELISA)中展現優異的線性檢測范圍,在免疫組織化學(IHC)和免疫熒光(IF)實驗中可清晰定位JUNB蛋白在細胞核內的表達特征,推薦使用稀釋度分別為IHC 1:50-1:200和IF 1:20-1:200。實驗數據表明,該抗體在人源組織切片及培養細胞樣本中均呈現高度一致性,能有效識別天然構象與變性處理的JUNB蛋白。適用于探索JUNB在腫瘤微環境中的作用機制、炎癥信號通路調控研究以及發育生物學中細胞命運決定等科研領域,特別適合通過多重染色技術進行蛋白共定位分析。本產品通過重組表達技術生產,具有批次間穩定性高的優勢,適用于基礎科研中蛋白表達譜分析及功能研究。
-
Uniprot No.:
-
基因名:
-
別名:Transcription factor jun-B, JUNB
-
反應種屬:Human
-
免疫原:A synthesized peptide derived from human JunB
-
免疫原種屬:Homo sapiens (Human)
-
標記方式:Non-conjugated
-
克隆類型:Monoclonal
-
抗體亞型:Rabbit IgG
-
純化方式:Affinity-chromatography
-
克隆號:5H4
-
濃度:It differs from different batches. Please contact us to confirm it.
-
保存緩沖液:Rabbit IgG in 10mM phosphate buffered saline , pH 7.4, 150mM sodium chloride, 0.05% BSA, 0.02% sodium azide and 50% glycerol.
-
產品提供形式:Liquid
-
應用范圍:ELISA, IHC, IF
-
推薦稀釋比:
Application Recommended Dilution IHC 1:50-1:200 IF 1:20-1:200 -
Protocols:
-
儲存條件:Upon receipt, store at -20°C or -80°C. Avoid repeated freeze.
-
貨期:Basically, we can dispatch the products out in 1-3 working days after receiving your orders. Delivery time maybe differs from different purchasing way or location, please kindly consult your local distributors for specific delivery time.
-
用途:For Research Use Only. Not for use in diagnostic or therapeutic procedures.
相關產品
靶點詳情
-
功能:Transcription factor involved in regulating gene activity following the primary growth factor response. Binds to the DNA sequence 5'-TGA[CG]TCA-3'.
-
基因功能參考文獻:
- It has been shown that the AP-1 family member JunB and retinoic acid receptor alpha (RARa) mediate catalase transcriptional activation and repression, respectively, by controlling chromatin remodeling through a histone deacetylases-dependent mechanism. PMID: 27591797
- JunB neddylation mediated by Itch promotes its ubiquitination-dependent degradation. PMID: 27245101
- a specific role for AP-1/JunB in multiple myeloma cell proliferation, survival and drug resistance. PMID: 27890927
- VEGF-induced endothelial migration is mediated primarily by induction of JunB whereas the promotion of endothelial proliferation by VEGF is mediated by JunB-independent AP-1 family members. PMID: 26860974
- Results suggested that JunB could play an important role in promoting cell invasion, migration and distant metastasis in head and neck squamous cell carcinoma via pathways other than epithelial-to-mesenchymal transition. PMID: 26754630
- Highly recurrent mutation of JUNB is associated with nodular lymphocyte predominant Hodgkin lymphoma. PMID: 26658840
- ETS2, HNF4A and JUNB are synergistic master regulators of epithelial-to-mesenchymal transition in cancer. PMID: 26926107
- PDK1 functions as a tumor promoter in human gallbladder cancer by upregulating JunB, promoting epithelial mesenchymal transformation, and cell migration. PMID: 26318166
- Our findings demonstrate that miRNA-149* may serve as an oncogenic regulator in T-cell acute lymphoblastic leukemia by negatively regulating JunB PMID: 26725775
- The MAPK pathway plays a primary role in the control of JUNB gene expression. PMID: 25662951
- JunB is likely to be a key target of c-Abl in expression of p21 in Adriamycin-induced DDR. PMID: 26217035
- Caveolin 2 disengages repressed Egr-1 and JunB promoters from lamin A/C through disassembly of H3K9me3 in the inner nuclear membrane. PMID: 25753664
- JunB expression was significantly increased while cyclin-D1 expression was significantly down-regulated in pre-eclampsia relative to control placental mesenchymal stromal cells. PMID: 24780198
- findings uncover the oncogenic role of the JUNB/CD30 axis and its potential as therapeutic target in ALK+ ALCL. PMID: 25145835
- These results demonstrate a unique induction of JUNB in response to kinase inhibitor therapies that may be among the earliest events in the progression to treatment resistance. PMID: 24858691
- Apoptosis rate of HepG2 cells transformed with pEGFP-C1-wtp53/JunB was significantly higher. PMID: 23259178
- Data demonstrate that S100A14 is transcriptionally regulated by JunB and involved in esophageal squamous cell carcinoma cell differentiation. PMID: 24107296
- an important role of the A2B receptor-dependent upregulation of JunB in VEGF production and possibly other AP-1-regulated events. PMID: 24136993
- JUNB was specifically expressed in human immune cells during acute liver injury. PMID: 24200694
- JunB is shown to be regulated at a post-transcriptional level during EC activation. In activated EC, the AP-1 transcription factor JunB, is regulated on a post-transcriptional level. PMID: 23297064
- JunB regulates visceral smooth muscle cell contractility through effects on both myosin and the actin cytoskeleton. PMID: 23308222
- A novel mechanism by which mitosis progression and chromatid cohesion are regulated through GSK3/SCF(FBXW7)-mediated proteolysis of JunB. PMID: 22710716
- Study confirmed that JunB was upregulated in VHL-defective clear-cell renal-cell carcinoma (ccRCC) specimens by immunostaining. Short-hairpin RNA (shRNA)-mediated knockdown of JunB in 786-O and A498 VHL null ccRCC cells suppressed their invasiveness. PMID: 22020339
- Different mechanisms preserve translation of programmed cell death 8 and JunB in poliovirus-infected endothelial cells. PMID: 22328780
- up-regulation of JunB induced by HGF might play an important role in the regulation of cell proliferation and cell invasion through MMP-9 expression. PMID: 22252121
- JunB activates aromatase promoters by maintaining JunD expression PMID: 21393445
- The methylation of JunB and CDH13 gene promoters probably plays a role in the pathogenesis of chronic myelogenous leukemia and may have clinical significance in predicting prognosis of CML. PMID: 20030915
- JunB is a direct transcriptional activator of GzB and that GzB transcription is also promoted by NPM-ALK. PMID: 21326808
- Monoammonium glycyrrhizinate highly stimulated JUNB expression in a human hepatoma cell line, HepG2. PMID: 21225234
- The increase in JunB expression attenuated nuclear relocation of apoptosis-inducing factor and mitochondrial Bcl-2 reduction that occurred following hydrogen peroxide exposure. PMID: 20132737
- JunB functions as a transcriptional factor and up-regulates the expression of VEGF. PMID: 20056077
- This analysis shows that the overwhelming majority of JUNB alleles in both chronic phase and blast crisis samples remain unmethylated PMID: 20006998
- When p53 dysfunction and low expression of JunB are simultaneous, they may play an important role in down-regulating the expression of KAI1 by synergism in hepatocellular carcinoma. PMID: 19666408
- JunB is an important regulator of erythroid differentiation PMID: 11726656
- JunB potentiates function of BRCA1 activation domain 1 (AD1) through a coiled-coil-mediated interaction PMID: 12080089
- demonstrated that a functional AP-1 site mediates MMP-2 transcription in cardiac cells through the binding of distinctive Fra1-JunB and FosB-JunB heterodimers. The synthesis of MMP-2 is considered to be independent of the AP-1 transcriptional complex PMID: 12371906
- results have revealed, for the first time, amplification and expression patterns of JUNB in primary cutaneous lymphomas PMID: 12393503
- Real-time RT-PCR gave further insights into the role of JunB in human CML. The expression levels were significantly impaired in CML cases. In the promoter area, most of the CpG sites were methylated only in CML cases. PMID: 12506033
- C/EBPalpha and PKC/delta affect expression of this gene and monocyte differentiation. PMID: 12522006
- Expression of junB was induced by TPA and Saikosaponin a during 30 min to 6 h of treatment. PMID: 12592382
- JunB was strongly expressed in T-cell lymphomas, but non-Hodgkin B-cell lymphomas do not or only weakly express JunB. PMID: 12907453
- Transcription factor c-Jun plays a principal role in down-regulation of mdr-1 expression and induction of apoptosis in salvicine-treated human MDR K562/A02 cells. PMID: 12907627
- The IGFBP3, hRas, JunB, Egr-1, Id1 and MIDA1 genes were up-regulated in psoriatic involved skin compared with uninvolved skin. PMID: 16552541
- 5,6-dichloro-1-beta-D-ribofuranosylbenzimidazole sensitivity-inducing factor (DSIF)- and NELF-mediated transcriptional pausing has a dual function in regulating immediate-early expression of the human junB gene. PMID: 16880520
- JunB and JunD contribute opposing effects; JunB activated whereas JunD repressed heme oxygenase-1 expression in human renal epithelial cells PMID: 17204476
- results suggest that HTLV-I HBZ-SP1- mediated sequestration of JunB to the HBZ-SP1 nuclear bodies may be causing the repression of JunB activity in vivo PMID: 17306025
- JunB is a critical target of mTOR and is translationally regulated in NPM-ALK-positive lymphomas. PMID: 17690253
- constitutive action of aberrantly expressed JunB on hypomethylated CD30 CpG islands of lymphocytes triggers CD30 induction and initiates activation of the JunB-CD30-JunB loop, essential to the pathogenesis of HL and ALCL PMID: 17965727
- JunB levels, which are high in S phase, drop during mid- to late G2 phase due to accelerated phosphorylation-dependent degradation by the proteasome, and are required for subsequent reduction of cyclin A2 levels in prometaphase PMID: 18391017
- sumoylation of JunB regulates its ability to induce cytokine gene transcription and likely plays a critical role in T cell activation. PMID: 18424718
顯示更多
收起更多
-
亞細胞定位:Nucleus.
-
蛋白家族:BZIP family, Jun subfamily
-
數據庫鏈接:
Most popular with customers
-
-
Phospho-YAP1 (S127) Recombinant Monoclonal Antibody
Applications: ELISA, WB, IHC
Species Reactivity: Human
-
-
-
-
-
-















