HNRNPC Recombinant Monoclonal Antibody
-
中文名稱:HNRNPC重組抗體
-
貨號:CSB-RA010605A0HU
-
規格:¥1320
-
圖片:
-
Western Blot
Positive WB detected in: Hela whole cell lysate, 293 whole cell lysate, JK whole cell lysate, Raji whole cell lysate, MCF7 whole cell lysate
All lanes: HNRNPC antibody at 1:1000
Secondary
Goat polyclonal to rabbit IgG at 1/50000 dilution
Predicted band size: 34, 33, 36, 28 kDa
Observed band size: 42 kDa -
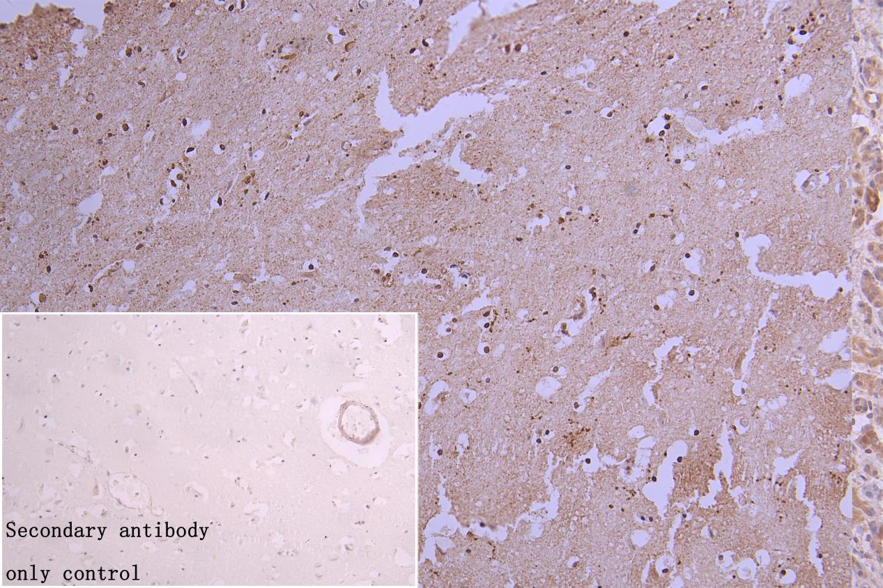
IHC image of CSB-RA010605A0HU diluted at 1:300 and staining in paraffin-embedded human braintissue performed on a Leica BondTM system. After dewaxing and hydration, antigen retrieval was mediated by high pressure in a citrate buffer (pH 6.0). Section was blocked with 10% normal goat serum 30min at RT. Then primary antibody (1% BSA) was incubated at 4°C overnight. The primary is detected by a Goat anti-rabbit polymer IgG labeled by HRP and visualized using 0.05% DAB. Secondary antibody only control: uses 1% BSA instead of primary antibody
-
IHC image of CSB-RA010605A0HU diluted at 1:300 and staining in paraffin-embedded human breast cancer performed on a Leica BondTM system. After dewaxing and hydration, antigen retrieval was mediated by high pressure in a citrate buffer (pH 6.0). Section was blocked with 10% normal goat serum 30min at RT. Then primary antibody (1% BSA) was incubated at 4°C overnight. The primary is detected by a Goat anti-rabbit polymer IgG labeled by HRP and visualized using 0.05% DAB. Secondary antibody only control: uses 1% BSA instead of primary antibody
-
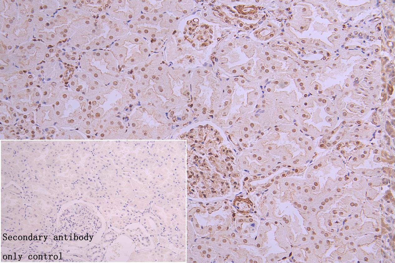
IHC image of CSB-RA010605A0HU diluted at 1:300 and staining in paraffin-embedded human kidney tissue performed on a Leica BondTM system. After dewaxing and hydration, antigen retrieval was mediated by high pressure in a citrate buffer (pH 6.0). Section was blocked with 10% normal goat serum 30min at RT. Then primary antibody (1% BSA) was incubated at 4°C overnight. The primary is detected by a Goat anti-rabbit polymer IgG labeled by HRP and visualized using 0.05% DAB. Secondary antibody only control: uses 1% BSA instead of primary antibody
-
Immunofluorescence staining of Hela cell with CSB-RA010605A0HU at 1:30, counter-stained with DAPI. The cells were fixed in 4% formaldehyde and blocked in 10% normal Goat Serum. The cells were then incubated with the antibody overnight at 4C. The secondary antibody was Alexa Fluor 488-congugated AffiniPure Goat Anti-Rabbit IgG(H+L).
-
Immunofluorescence staining of Hela cell with 5% goat serum, counter-stained with DAPI. The cells were fixed in 4% formaldehyde and blocked in 10% normal Goat Serum. The cells were then incubated with the antibody overnight at 4C. The secondary antibody was Alexa Fluor 488-congugated AffiniPure Goat Anti-Rabbit IgG(H+L).
-
Immunofluorescence staining of HepG2 cell with CSB-RA010605A0HU at 1:30, counter-stained with DAPI. The cells were fixed in 4% formaldehyde and blocked in 10% normal Goat Serum. The cells were then incubated with the antibody overnight at 4C. The secondary antibody was Alexa Fluor 488-congugated AffiniPure Goat Anti-Rabbit IgG(H+L).
-
Immunofluorescence staining of HepG2 cell with 5% goat serum, counter-stained with DAPI. The cells were fixed in 4% formaldehyde and blocked in 10% normal Goat Serum. The cells were then incubated with the antibody overnight at 4C. The secondary antibody was Alexa Fluor 488-congugated AffiniPure Goat Anti-Rabbit IgG(H+L).
-
Overlay Peak curve showing MCF7 cells stained with CSB-RA010605A0HU (red line) at 1:50. The cells were fixed in 4% formaldehyde and permeated by 0.2% TritonX-100. Then 10% normal goat serum to block non-specific protein-protein interactions followed by the antibody (1ug/1*106cells) for 45min at 4℃. The secondary antibody used was FITC-conjugated Goat Anti-rabbit IgG(H+L) at 1:200 dilution for 35min at 4℃.Control antibody (green line) was Rabit IgG (1ug/1*106cells) used under the same conditions. Acquisition of >10,000 events was performed.
-
Immunoprecipitating HNRNPC in Hela whole cell lysate
Lane 1: Rabbit control IgG instead of CSB-RA010605A0HU in Hela whole cell lysate. Lane 2:CSB-RA010605A0HU(3μg)+ Hela whole cell lysate(500μg)
Lane 3: Hela whole cell lysate(20μg)
For western blotting, Goat polyclonal to rabbit IgG antibody was used as the secondary antibody (1/50000)
-
-
其他:
產品詳情
-
產品描述:CSB-RA010610A0HU HNRNPC重組單克隆抗體是針對異質核核糖核蛋白C(HNRNPC)研發的高特異性檢測工具。該蛋白作為RNA結合蛋白家族成員,廣泛參與mRNA前體剪接、轉錄后調控及RNA穩定性維持等關鍵生物學過程,其異常表達與腫瘤發生、神經退行性疾病等病理機制密切相關。本抗體經ELISA、免疫印跡、免疫組化、免疫熒光、流式細胞術及免疫沉淀等多平臺嚴格驗證,在不同實驗體系中均展現出優異的靶標識別能力:免疫印跡推薦使用1:500-1:5000稀釋度,可清晰識別目標蛋白;免疫組化(1:50-1:200)能準確顯示組織樣本中的蛋白定位;免疫熒光(1:20-1:200)適用于亞細胞水平可視化分析;免疫沉淀(1:200-1:1000)可有效富集目標分子進行互作研究。該產品適用于探索RNA代謝調控、基因表達網絡及疾病相關分子機制等科研領域,特別是在腫瘤異常RNA加工、神經退行性病變的轉錄后調控等研究中具有重要應用價值。嚴格的生產質控確保批次間高一致性,為復雜實驗體系提供穩定可靠的支持。
-
Uniprot No.:
-
基因名:HNRNPC
-
別名:C1 antibody; C2 antibody; Heterogeneous nuclear ribonucleoprotein C (C1/C2) antibody; Heterogeneous nuclear ribonucleoprotein C antibody; Heterogeneous nuclear ribonucleoproteins C1/C2 antibody; HNRNP antibody; hnRNP C1 / hnRNP C2 antibody; hnRNP C1/C2 antibody; Hnrnpc antibody; HNRPC antibody; HNRPC_HUMAN antibody; MGC104306 antibody; MGC105117 antibody; MGC117353 antibody; MGC131677 antibody; Nuclear ribonucleoprotein particle C1 protein antibody; Nuclear ribonucleoprotein particle C2 protein antibody; SNRPC antibody
-
反應種屬:Human
-
免疫原:A synthesized peptide derived from human HNRNPC
-
免疫原種屬:Homo sapiens (Human)
-
標記方式:Non-conjugated
-
克隆類型:Monoclonal
-
抗體亞型:Rabbit IgG
-
純化方式:Affinity-chromatography
-
克隆號:9G1
-
濃度:It differs from different batches. Please contact us to confirm it.
-
保存緩沖液:Rabbit IgG in 10mM phosphate buffered saline , pH 7.4, 150mM sodium chloride, 0.05% BSA, 0.02% sodium azide and 50% glycerol.
-
產品提供形式:Liquid
-
應用范圍:ELISA, WB, IHC, IF, FC, IP
-
推薦稀釋比:
Application Recommended Dilution WB 1:500-1:5000 IHC 1:200-1:500 IF 1:20-1:200 IP 1:200-1:1000 -
Protocols:
-
儲存條件:Upon receipt, store at -20°C or -80°C. Avoid repeated freeze.
-
貨期:Basically, we can dispatch the products out in 1-3 working days after receiving your orders. Delivery time maybe differs from different purchasing way or location, please kindly consult your local distributors for specific delivery time.
-
用途:For Research Use Only. Not for use in diagnostic or therapeutic procedures.
相關產品
靶點詳情
-
功能:Binds pre-mRNA and nucleates the assembly of 40S hnRNP particles. Interacts with poly-U tracts in the 3'-UTR or 5'-UTR of mRNA and modulates the stability and the level of translation of bound mRNA molecules. Single HNRNPC tetramers bind 230-240 nucleotides. Trimers of HNRNPC tetramers bind 700 nucleotides. May play a role in the early steps of spliceosome assembly and pre-mRNA splicing. N6-methyladenosine (m6A) has been shown to alter the local structure in mRNAs and long non-coding RNAs (lncRNAs) via a mechanism named 'm(6)A-switch', facilitating binding of HNRNPC, leading to regulation of mRNA splicing.
-
基因功能參考文獻:
- APP levels then decrease progressively as a function of age in close relationship with the gradual normalization of FMRP and hnRNP C levels. PMID: 26048669
- Endoplasmic reticulum resident chaperone GRP78, mitochondrial protein Prohibitin and heterogeneous nuclear ribonucleoprotein hnRNPC (C1/C2) have been shown to interact with viral RNA. Hence it is proposed that these are the principle candidates governing endoplasmic reticulum stress-induced apoptosis in JEV infection. PMID: 28102850
- Our results indicate that a balance between lncRNA SNHG1 and hnRNPC regulates p53 activity and p53-dependent apoptosis upon doxorubicin treatment, and further indicate that a change in lncRNA subcellular localization under specific circumstances is biologically significant. PMID: 28264987
- These data suggest an interplay between CELF2 and hnRNP C as the mechanistic basis for activation-dependent alternative splicing of TRAF3 exon 8. PMID: 28031331
- These data indicate that hnRNPC1/C2 binds to both DNA and RNA and influences both gene expression and RNA splicing, but these actions do not appear to be linked through 1,25(OH)2D-mediated induction of transcription. PMID: 27672039
- These findings suggest that hnRNP C1/C2 is involved in dengue virus replication at the stage of viral RNA synthesis. PMID: 25890165
- HnRNP C, YB-1 and hnRNP L coordinately enhance skipping of human MUSK exon 10 to generate a Wnt-insensitive MuSK isoform. PMID: 25354590
- Our results suggested that hnRNP C1 controls HPV16 late gene expression. PMID: 25878250
- m(6)A-switch-regulated HNRNPC-binding activities affect the abundance as well as alternative splicing of target mRNAs, demonstrating the regulatory role of m(6)A-switches on gene expression and RNA maturation PMID: 25719671
- PTBP1 and hnRNP C repress exon 3 inclusion, and that downregulation of PTBP1 inhibited BIM-mediated apoptosis. PMID: 24743263
- down-regulation of MALAT-1 expression compromised the cytoplasmic translocation of hnRNP C in the G2/M phase and resulted in G2/M arrest PMID: 23973260
- Heterogeneous nuclear ribonucleoprotein C is a key regulator of BRCA gene expression and homologous recombination-based DNA repair. PMID: 23585894
- By preventing U2AF65 binding to Alu elements, hnRNP C plays a critical role as a genome-wide sentinel protecting the transcriptome. PMID: 23374342
- The data indicated that hnRNPC controls the aggressiveness of glioblastoma cells through the regulation of PDCD4. Silencing of hnRNPC lowered miR-21 levels, in turn increasing the expression of PDCD4, suppressing Akt and p70S6K activation. PMID: 22907752
- p27kip1 upregulated by hnRNPC1/2 antagonizes CagA-mediated pathogenesis. PMID: 22404445
- study shows mechanism by which Pol II transcripts are classified according to length; heterotetramer of hnRNP C1/C2 measures the length of the transcripts like a molecular ruler, by binding to unstructured RNA regions longer than 200 to 300 nucleotides PMID: 22461616
- One of the identified proteins, hnRNPC, was found to interact with small hepatitis delta virus antigen in vitro and in vivo in human liver cells. PMID: 21774814
- Studies indicated that DDX21, HNRNPC, and RCC2 were isolated from Ku86 multicomponent complex in response to DNA damage. PMID: 20873769
- HNRNP C recognizes uridine tracts with a defined long-range spacing consistent with HNRNP particle organization. PMID: 20601959
- FMRP represses translation by recruiting APP mRNA to processing bodies, whereas hnRNP C promotes APP translation by displacing FMRP, thereby relieving the translational block. PMID: 20473314
- The authors report here that the 5' end of poliovirus negative-strand RNA is capable of interacting with endogenous hnRNP C, as well as with poliovirus nonstructural proteins. PMID: 20164237
- The authors propose that hnRNP C interacts with poliovirus RNA and replication proteins to increase the efficiency of viral genomic RNA synthesis. PMID: 20189623
- phosphorylation of heterogeneous nuclear ribonucleoprotein C1/C2 in response to physiologic levels of hydrogen peroxide in endothelial cells PMID: 11877401
- nuclear ribonucleoproteins C1 and C2 are part of the RNP complex that forms on XIAP IRES, the cellular levels of hnRNPC1 and -C2 parallel the activity of XIAP IRES and the overexpression of hnRNPC1-C2 specifically enhanced translation of XIAP IRES PMID: 12482981
- hnRNP C, via internal ribosomal entry site binding, modulates translation of c-myc mRNA in a cell cycle phase-dependent manner PMID: 12509468
- the acidic C-terminal domain of hnRNP-C1/C2 could be a regulatory domain and may play an important role in the regulation of mRNA binding by hnRNP-C1/C2. PMID: 12564933
- a novel nuclear export is activated by the ROCK signaling pathway to exclude hnRNP C1/C2 from nucleus, by which the compartmentalization of specific hnRNP components is disturbed in apoptotic cells PMID: 15494373
- CK1alpha-mediated phosphorylation modulates the mRNA binding ability of hnRNP-C PMID: 15687492
- findings suggest that hnRNP C1 has a role in positive-strand RNA synthesis in poliovirus-infected cells, possibly at the level of initiation PMID: 15731220
- upstream element in human papillomavirus type 16 interacted specifically with CstF-64, hnRNP C1/C2 & polypyrimidine tract binding protein, suggesting these factors were enhancing or regulating polyadenylation at the HPV-16 early polyadenylation signal PMID: 15767428
- Direct in vivo interaction of hnRNPC with the urokinase receptor mRNA 3'UTR was demonstrated. PMID: 16010978
- Results describe the purification of a locus control region-associated remodeling complex consisting of heterogeneous nuclear ribonucleoprotein C1/C2, SWI/SNF, and MeCP1 as a single homogeneous complex. PMID: 16217013
- These results demonstrate that hnRNP C1/C2 is involved in maintenance of cellular homeostasis besides cellular differentiation and proliferation. PMID: 16960656
- in addition to its RNA-processing functions, hnRNP C1/C2 may be a key determinant of the temporal patterns of VDRE occupancy PMID: 17071612
- regulation of IRES-mediated translation by hnRNP C1/C2 and Unr might be important in mitosis PMID: 17159903
- A novel cis-element in the 5' coding region of p53 mRNA and its interaction with heterogeneous nuclear ribonucleoprotein (hnRNP)C1/C2, is described. PMID: 18296503
- Intracellular NS1 protein of dengue virus interacts with hnRNP C1/C2. PMID: 18471994
- The RNA binding domain of heterogeneous nuclear ribonuclear protein C binds and stabilizes urokinase-type plasminogen activator receptor (uPAR) mRNA, attributing the key role of this domain in hnRNPC-mediated uPAR regulation in lung epithelial cells. PMID: 18494499
- The H(2)O(2) responsive pre-mRNA binding protein hnRNP-C is up-regulated in atherosclerosis. PMID: 18508286
- anti-hnRNP C1/C2 antibody hampered splicing of SMN1 exon 7, but did not affect splicing of SMN2 exon 7 PMID: 19628962
- endogenous hnRNP C and PTEN interact and co-localize within the nucleus PMID: 19740742
- This protein has been found differentially expressed in the Wernicke's Area from patients with schizophrenia. PMID: 19405953
顯示更多
收起更多
-
亞細胞定位:Nucleus. Note=Component of ribonucleosomes.
-
蛋白家族:RRM HNRPC family, RALY subfamily
-
數據庫鏈接:
Most popular with customers
-
-
YWHAB Recombinant Monoclonal Antibody
Applications: ELISA, WB, IHC, IF, FC
Species Reactivity: Human, Mouse, Rat
-
Phospho-YAP1 (S127) Recombinant Monoclonal Antibody
Applications: ELISA, WB, IHC
Species Reactivity: Human
-
-
-
-
-















