FUBP1 Recombinant Monoclonal Antibody
-
中文名稱:FUBP1重組抗體
-
貨號:CSB-RA157765A0HU
-
規格:¥1320
-
圖片:
-
Western Blot
Positive WB detected in: Jurkat whole cell lysate, K562 whole cell lysate, Hela whole cell lysate, Raji whole cell lysate, HepG2 whole cell lysate
All lanes: FUBP1 antibody at 1:2000
Secondary
Goat polyclonal to rabbit IgG at 1/50000 dilution
Predicted band size: 68, 69 kDa
Observed band size: 69 kDa -
IHC image of CSB-RA157765A0HU diluted at 1:100 and staining in paraffin-embedded human brain tissue performed on a Leica BondTM system. After dewaxing and hydration, antigen retrieval was mediated by high pressure in a citrate buffer (pH 6.0). Section was blocked with 10% normal goat serum 30min at RT. Then primary antibody (1% BSA) was incubated at 4℃ overnight. The primary is detected by a Goat anti-rabbit IgG polymer labeled by HRP and visualized using 0.05% DAB.
-
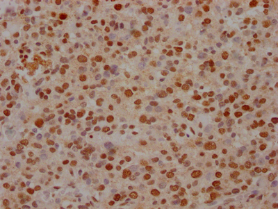
IHC image of CSB-RA157765A0HU diluted at 1:100 and staining in paraffin-embedded human glioma cancer performed on a Leica BondTM system. After dewaxing and hydration, antigen retrieval was mediated by high pressure in a citrate buffer (pH 6.0). Section was blocked with 10% normal goat serum 30min at RT. Then primary antibody (1% BSA) was incubated at 4℃ overnight. The primary is detected by a Goat anti-rabbit IgG polymer labeled by HRP and visualized using 0.05% DAB.
-
Immunofluorescence staining of Hela Cells with CSB-RA157765A0HU at 1:50, counter-stained with DAPI. The cells were fixed in 4% formaldehyde, permeated by 0.2% TritonX-100, and blocked in 10% normal Goat Serum. The cells were then incubated with the antibody overnight at 4℃. Nuclear DNA was labeled in blue with DAPI. The secondary antibody was FITC-conjugated AffiniPure Goat Anti-Rabbit IgG (H+L).
-
Overlay histogram showing Jurkat cells stained with CSB-RA157765A0HU (red line) at 1:50. The cells were fixed with 70% Ethylalcohol (18h) and then incubated in 10% normal goat serum to block non-specific protein-protein interactions followedby the antibody (1μg/1*106 cells) for 1 h at 4℃.The secondary antibody used was FITC-conjugated goat anti-rabbit IgG (H+L) at 1/200 dilution for 30min at 4℃. Control antibody (green line) was Rabbit IgG (1μg/1*106 cells) used under the same conditions. Acquisition of >10,000 events was performed.
-
Immunoprecipitating FUBP1 in Jurkat whole cell lysate
Lane 1: Rabbit control IgG instead of CSB-RA157765A0HU in Jurkat whole cell lysate. For western blotting,a HRP-conjugated Protein G antibody was used as the secondary antibody (1/2000)
Lane 2: CSB-RA157765A0HU(2μg)+ Jurkat whole cell lysate(500μg)
Lane 3: Jurkat whole cell lysate (10μg)
-
-
其他:
產品詳情
-
產品描述:CSB-RA157765A0HU FUBP1重組單克隆抗體是針對轉錄調控因子FUBP1(Far Upstream Element Binding Protein 1)開發的高特異性科研工具。該抗體通過重組技術制備,可精準識別FUBP1蛋白,經嚴格驗證適用于多種實驗場景:在蛋白免疫印跡(WB)中呈現優異特異性,推薦使用1:500-1:5000稀釋梯度;免疫組織化學(IHC)定位清晰,建議1:50-1:200濃度范圍;免疫熒光(IF)和流式細胞術(FC)分別在1:20-1:200稀釋比例下展現高分辨率檢測能力;同時支持免疫共沉淀(IP)實驗,推薦1:200-1:1000工作濃度。驗證數據顯示,該抗體能有效識別天然構象的FUBP1,其靶向功能域的特異性在多種細胞模型中均得到確認。作為DNA結合蛋白,FUBP1參與細胞周期調控、RNA代謝及腫瘤發生相關通路,本產品適用于癌癥生物學研究、基因表達調控機制探索、蛋白質相互作用分析等科研領域,為研究者提供跨平臺(包括組織切片分析、細胞定位研究、蛋白復合體分離)的可靠檢測方案,滿足分子生物學與細胞功能研究的多元化需求。
-
Uniprot No.:
-
基因名:FUBP1
-
別名:Far upstream element-binding protein 1 (FBP) (FUSE-binding protein 1) (DNA helicase V) (hDH V), FUBP1
-
反應種屬:Human
-
免疫原:A synthesized peptide derived from human FUBP1
-
免疫原種屬:Homo sapiens (Human)
-
標記方式:Non-conjugated
-
克隆類型:Monoclonal
-
抗體亞型:Rabbit IgG
-
純化方式:Affinity-chromatography
-
克隆號:7C3
-
濃度:It differs from different batches. Please contact us to confirm it.
-
保存緩沖液:Rabbit IgG in 10mM phosphate buffered saline , pH 7.4, 150mM sodium chloride, 0.05% BSA, 0.02% sodium azide and 50% glycerol.
-
產品提供形式:Liquid
-
應用范圍:ELISA, WB, IHC, IF, FC, IP
-
推薦稀釋比:
Application Recommended Dilution WB 1:500-1:5000 IHC 1:50-1:200 IF 1:20-1:200 FC 1:20-1:200 IP 1:200-1:1000 -
Protocols:
-
儲存條件:Upon receipt, store at -20°C or -80°C. Avoid repeated freeze.
-
貨期:Basically, we can dispatch the products out in 1-3 working days after receiving your orders. Delivery time maybe differs from different purchasing way or location, please kindly consult your local distributors for specific delivery time.
-
用途:For Research Use Only. Not for use in diagnostic or therapeutic procedures.
相關產品
靶點詳情
-
功能:Regulates MYC expression by binding to a single-stranded far-upstream element (FUSE) upstream of the MYC promoter. May act both as activator and repressor of transcription.
-
基因功能參考文獻:
- High FUBP1 expression is associated with low Chemosensitivity to Adriamycin in Gastric Cancer. PMID: 28667493
- Low FUBP1 expression is associated with adenovirus infection. PMID: 29743362
- These results suggest that the interference with the FUBP1/FUSE interaction as a further molecular mechanism that, in addition to the inactivation of TOP1, may contribute to the therapeutic potential of camptothecin/SN-38. PMID: 29031818
- The findings demonstrate an association between FUBP1 levels and chordoma progression and prognosis, suggesting that FUBP1 can be used as a biomarker and a potential therapeutic target. PMID: 28780352
- we identified cyclin J and far upstream element-binding protein 1 (FUBP1) as novel miR-16 targets, which mediate miR-16 antiproliferative effects. PMID: 27157613
- FUBP1 acts as a potential oncogene in clear cell renal cell carcinoma (ccRCC) and may be considered as a novel biomarker or an attractive treatment target of ccRCC. PMID: 28076379
- FBP1 expression in Bcell lymphoma was also associated with poor survival outcomes. Functionally, small interfering RNAmediated silencing of FBP1 was able to inhibit the proliferation of Bcell lymphoma cells, resulting in G0/G1 phase cell cycle arrest. PMID: 27599538
- FUBP1 may potentially stimulate c-Myc expression in ESCC and its expression may promote esophageal squamous cell carcinoma progression. PMID: 26490982
- With the advent of large-scale genome sequencing technology, molecular genetic alterations in FUBP1 promoter have now been identified in the majority of oligodendrogliomas PMID: 26545048
- direct connection between the cellular PI3K/AKT/mTOR signaling pathway, frequently activated in human hepatocarcinogenesis, and the enrichment of oncogenic transcription factors of the FBP family PMID: 26901106
- Concomitant overexpression of far upstream element (FUSE) binding protein (FBP) interacting repressor (FIR) and its splice variants induce migration and invasion of non-small cell lung cancer cells. PMID: 26177862
- FBP1 promotes hepatitis C virus eplication by inhibiting p53 expression. PMID: 25995247
- High FBP1 expression was observed in glioma. PMID: 24347226
- Apoptosis-mediated cleavage of FBP1 and its decreased expression in epithelial cells induces cell cycle arrest, which may play an important role in colonic epithelial disruption in colitis. PMID: 24966911
- We conclude that absent CIC and FUBP1 expressions are potential markers of shorter time to recurrence in oligodendroglial tumors. PMID: 24030748
- These findings are the first report describing the regulation of alternative splicing of MDM2 mediated by the oncogenic factor FUBP1. PMID: 24798327
- The data indicates an association between FUBP1 expression and proliferation in gliomas. PMID: 24117486
- FUBP1 expression differs among gastric tissues; there is a correlation between overall survival rates and age, sex, lymph node metastasis, and distant metastasis. PMID: 24192769
- Far upstream element-binding protein 1 and RNA secondary structure both mediate second-step splicing repression. PMID: 23818605
- biochemical features of FBP1 PMID: 22926519
- Analysis allowed us to define two highly recurrent genetic signatures in gliomas: IDH1/ATRX (I-A) and IDH1/CIC/FUBP1 (I-CF). PMID: 22869205
- Found CIC and FUBP1 mutations in oligodendrogliomas and demonstrate the presence of these mutations in oligoastrocytomas. PMID: 22588899
- increased polyubiquitination of FBP1 does not alter its protein stability, but instead modulates the stable recruitment of FBP1 to target loci PMID: 21779003
- The central domain of FBP1, containing four K homology motifs, was required for p27 5'-UTR RNA binding and the N terminal domain was important for translational activation. PMID: 21855647
- CIC gene was mutated in 6 oligodendrogliomas and FUBP1 gene was mutated in 2; 27 additional oligodendrogliomas showed 12 and 3 more tumors with mutations of CIC and FUBP1; results suggest role of these genes in biology and pathology of oligodendrocytes PMID: 21817013
- The authors suggest that FUSE binding protein 1 binds with the Japanese encephalitis virus untranslated RNA and functions as a host anti-virus defense molecule by repressing viral protein expression. PMID: 21367899
- Authors propose that FBP1 is a key regulator of cell growth and proliferation through its ability to selectively bind the NPM 3' UTR and repress NPM translation. PMID: 20802533
- The noncoding strand FUSE recruits an activator FUSE-binding protein (FBP) and a repressor FBP-interacting repressor (FIR) to fine-tune c-myc transcription. PMID: 20420426
- Results describe the roles of the FarUpStream Element (FUSE), FUSE Binding Protein (FBP), FBP Interacting Repressor (FIR), and TFIIH in the regulation of c-myc expression. PMID: 16628215
- FUBP1 is an authentic substrate of Parkin that might play an important role in development of Parkinson disease pathology along with aminoacyl-tRNA synthetase interacting multifunctional protein type 2 PMID: 16672220
- investigate the contributions of FBP's 4 K Homology (KH) domains to sequence selectivity. EMSA and missing contact point analysis revealed that FBP contacts 4 separate patches spanning a large segment of FUSE PMID: 19015535
- study found that FBP1 as well as FBP3 are more frequently expressed in prostate and bladder cancer than in renal cancer; in addition, a positive correlation between levels of FBP1, FBP3 and c-Myc was exclusively detectable in renal cell carcinomas PMID: 19087307
- oncogenic potential of c-Myc is 'switched off' after apoptosis induction as a consequence of the caspase-mediated cleavage of FBP-1. PMID: 19219071
- FBP1 is an important oncoprotein overexpressed in hepatocellular carcinoma that induces tumor propagation through direct or indirect repression of cell cycle inhibitors and proapoptotic target genes. PMID: 19637194
顯示更多
收起更多
-
亞細胞定位:Nucleus.
-
數據庫鏈接:
Most popular with customers
-
-
YWHAB Recombinant Monoclonal Antibody
Applications: ELISA, WB, IHC, IF, FC
Species Reactivity: Human, Mouse, Rat
-
Phospho-YAP1 (S127) Recombinant Monoclonal Antibody
Applications: ELISA, WB, IHC
Species Reactivity: Human
-
-
-
-
-















