FTO Recombinant Monoclonal Antibody
-
中文名稱:FTO重組抗體
-
貨號:CSB-RA880154A0HU
-
規格:¥1320
-
圖片:
-
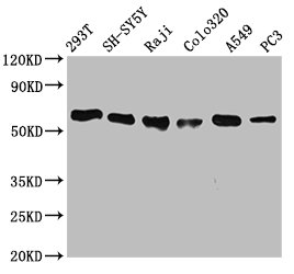
Western Blot
Positive WB detected in: 293T whole cell lysate, SH-SY5Y whole cell lysate, Raji whole cell lysate, Colo320 whole cell lysate, A549 whole cell lysate, PC3 whole cell lysate
All lanes: FTO antibody at 0.7μg/ml
Secondary
Goat polyclonal to rabbit IgG at 1/50000 dilution
Predicted band size: 59, 15, 7, 13 KDa
Observed band size: 59 KDa -
IHC image of CSB-RA880154A0HU diluted at 1:70 and staining in paraffin-embedded human glioma cancer performed on a Leica BondTM system. After dewaxing and hydration, antigen retrieval was mediated by high pressure in a citrate buffer (pH 6.0). Section was blocked with 10% normal goat serum 30min at RT. Then primary antibody (1% BSA) was incubated at 4℃ overnight. The primary is detected by a biotinylated secondary antibody and visualized using an HRP conjugated SP system.
-
IHC image of CSB-RA880154A0HU diluted at 1:70 and staining in paraffin-embedded human skeletal muscle tissue performed on a Leica BondTM system. After dewaxing and hydration, antigen retrieval was mediated by high pressure in a citrate buffer (pH 6.0). Section was blocked with 10% normal goat serum 30min at RT. Then primary antibody (1% BSA) was incubated at 4℃ overnight. The primary is detected by a biotinylated secondary antibody and visualized using an HRP conjugated SP system.
-
Immunofluorescence staining of Hela cells with CSB-RA880154A0HU at 1:23, counter-stained with DAPI. The cells were fixed in 4% formaldehyde, permeabilized using 0.2% Triton X-100 and blocked in 10% normal Goat Serum. The cells were then incubated with the antibody overnight at 4℃. The secondary antibody was Alexa Fluor 488-congugated AffiniPure Goat Anti-Rabbit IgG (H+L).
-
-
其他:
產品詳情
-
產品描述:CSB-RA880154A0HU FTO重組單克隆抗體是針對脂肪量和肥胖相關蛋白(FTO)研發的高特異性試劑,適用于多種實驗場景。FTO蛋白作為哺乳動物RNA去甲基化酶家族成員,通過調控m6A修飾參與基因表達調控,在能量代謝、脂肪形成及細胞分化過程中發揮重要作用,其功能異常與代謝性疾病及腫瘤發生密切相關。本產品經嚴格驗證,在Western Blot中展現優異特異性,可清晰識別內源性FTO蛋白;免疫組織化學(IHC)實驗顯示在多種組織樣本中具備精準的亞細胞定位能力;免疫熒光(IF)分析則證實其適用于活細胞或固定樣本的高分辨率檢測,推薦使用濃度分別為1:500-1:5000(WB)、1:50-1:200(IHC)和1:20-1:200(IF)。該抗體采用重組技術制備,批次間穩定性卓越,適用于探究FTO在代謝調控、干細胞分化、神經發育等領域的分子機制研究,為構建能量代謝相關疾病模型、解析RNA表觀遺傳調控網絡提供可靠工具,廣泛適配于體外培養細胞、動物組織樣本等多種實驗體系的基礎科研需求。
-
Uniprot No.:
-
基因名:FTO
-
別名:AlkB homolog 9 antibody; ALKBH9 antibody; Alpha-ketoglutarate-dependent dioxygenase FTO antibody; AW743446 antibody; Fat mass and obesity-associated protein antibody; FATSO; MOUSE; HOMOLOG OF antibody; Fto antibody; FTO_HUMAN antibody; GDFD antibody; KIAA1752 antibody; mKIAA1752 antibody; Protein fatso antibody
-
反應種屬:Human
-
免疫原:A synthesized peptide derived from human FTO
-
免疫原種屬:Homo sapiens (Human)
-
標記方式:Non-conjugated
-
克隆類型:Monoclonal
-
抗體亞型:Rabbit IgG
-
純化方式:Affinity-chromatography
-
克隆號:4G9
-
濃度:It differs from different batches. Please contact us to confirm it.
-
保存緩沖液:Rabbit IgG in 10mM phosphate buffered saline , pH 7.4, 150mM sodium chloride, 0.05% BSA, 0.02% sodium azide and 50% glycerol.
-
產品提供形式:Liquid
-
應用范圍:ELISA, WB, IHC, IF
-
推薦稀釋比:
Application Recommended Dilution WB 1:500-1:5000 IHC 1:50-1:200 IF 1:20-1:200 -
Protocols:
-
儲存條件:Upon receipt, store at -20°C or -80°C. Avoid repeated freeze.
-
貨期:Basically, we can dispatch the products out in 1-3 working days after receiving your orders. Delivery time maybe differs from different purchasing way or location, please kindly consult your local distributors for specific delivery time.
-
用途:For Research Use Only. Not for use in diagnostic or therapeutic procedures.
相關產品
靶點詳情
-
功能:RNA demethylase that mediates oxidative demethylation of different RNA species, such as mRNAs, tRNAs and snRNAs, and acts as a regulator of fat mass, adipogenesis and energy homeostasis. Specifically demethylates N(6)-methyladenosine (m6A) RNA, the most prevalent internal modification of messenger RNA (mRNA) in higher eukaryotes. M6A demethylation by FTO affects mRNA expression and stability. Also able to demethylate m6A in U6 small nuclear RNA (snRNA). Mediates demethylation of N(6),2'-O-dimethyladenosine cap (m6A(m)), by demethylating the N(6)-methyladenosine at the second transcribed position of mRNAs and U6 snRNA. Demethylation of m6A(m) in the 5'-cap by FTO affects mRNA stability by promoting susceptibility to decapping. Also acts as a tRNA demethylase by removing N(1)-methyladenine from various tRNAs. Has no activity towards 1-methylguanine. Has no detectable activity towards double-stranded DNA. Also able to repair alkylated DNA and RNA by oxidative demethylation: demethylates single-stranded RNA containing 3-methyluracil, single-stranded DNA containing 3-methylthymine and has low demethylase activity towards single-stranded DNA containing 1-methyladenine or 3-methylcytosine. Ability to repair alkylated DNA and RNA is however unsure in vivo. Involved in the regulation of fat mass, adipogenesis and body weight, thereby contributing to the regulation of body size and body fat accumulation. Involved in the regulation of thermogenesis and the control of adipocyte differentiation into brown or white fat cells. Regulates activity of the dopaminergic midbrain circuitry via its ability to demethylate m6A in mRNAs. Plays an oncogenic role in a number of acute myeloid leukemias by enhancing leukemic oncogene-mediated cell transformation: acts by mediating m6A demethylation of target transcripts such as MYC, CEBPA, ASB2 and RARA, leading to promote their expression.
-
基因功能參考文獻:
- Bi-directional relationship between BMI and affective symptoms across the life span, modified by the FTO rs9939609 polymorphism. PMID: 29531329
- We showed that MC4R rs17782313 and FTO rs9939609 were positively associated with zBMI, with weak and very weak effects, respectively, suggesting a very scarce contribution to childhood obesity. PMID: 29679223
- the minor allele A of the rs9939609 has a significant association with increasing BMI values in the Emirati population PMID: 29343214
- There is an association of FTO rs9939609 A/A genotype and impaired fasting glucose and insulin resistance. Homozygous A genotype diabetic patients may be more vulnerable to blood glucose fluctuation. PMID: 30273662
- Our results suggested that genetic variants in the FTO gene were strongly associated with BMI in Chinese women PMID: 29657248
- rs8050136 A/C and rs1588413 C/T associated with polycystic ovary syndrome susceptibility PMID: 29463151
- Mechanistically, FTO enhanced MZF1 expression by reducing m(6)A levels and mRNA stability in MZF1 mRNA transcript, leading to oncogenic functions. PMID: 29842885
- Nineteen single nucleotide polymorphisms in the FTO gene were tested. Allelic analysis showed that allele T of SNP rs1121980 was a risk allele. Our study suggests that rs1121980 can become a biomarker for the screening and prognosis of Intervertebral Disc Degeneration PMID: 30099472
- FTO rs9939609 variant may not be associated with insulin resistance in Indonesian obese female adolescents. PMID: 29764479
- FTO polymorphisms appear to be universally associated with the risk of obesity, and further investigation into this genetic locus may provide clues for potential therapeutic targets PMID: 29466028
- The polymorphism of FTO gene rs17817449 and GNB3 gene rs5443 (C825T) may be a genetic determinant of obesity in Saudi population whereas impact of MC4R Asn274Ser change could not be detected. PMID: 29937877
- A lack of association between FTO polymorphismsand GDM risk. PMID: 30055308
- Our findings demonstrate a relationship between C allele carriers on the FTO gene and a predisposition to a higher fat mass and body fat percentage. PMID: 30124167
- FTO variant is not associated with osteoarthritis in the Chinese Han population. PMID: 29606151
- This study confirms an association between the FTO gene and adiposity markers in Chilean adults, which is independent of major confounding factors. PMID: 30148903
- FTO gene polymorphisms are associated with variability of HDL-cholesterol concentrations which may lead to increased CVD risk in patients with acromegaly who are risk-allele carriers. PMID: 28913579
- We observed no evidence for associations of rs1421085 in FTO with FatOx and RQ. This indicates that the rs1421085-C allele in FTO induces obesity likely via other pathways than via reduced FatOx. PMID: 28626215
- This study reports interactions between the FTO variant and each of: frequency of alcohol consumption; deviations from mean sleep duration; overall diet, including added salt; and physical activity. PMID: 27596730
- FTO rs9939609 Polymorphism is associated with Obesity. PMID: 28566238
- Study showed that a haplotype in the first intron of the FTO gene had a strong association with obesity indices among Iranian adolescent males. None of the students with GGC genotypes were underweight, while most of the students with AAT had high body mass. PMID: 29677190
- The rs9939609 polymorphism in the FTO gene may be a genetic risk factor for malignant pleural mesothelioma. PMID: 29260910
- FTO was highly expressed in motor neurons and is associated with with sporadic amyotrophic lateral sclerosis in Greek patients. PMID: 29216901
- A longer duration of exclusive breastfeeding (EXBF) has substantial impact on body mass index (BMI) growth trajectories among children carrying the FTO adverse variant by modulating the age at adiposity peak, age at adiposity rebound and BMI velocities. EXBF acts antagonistically to the FTO rs9939609 risk allele and by the age of 15. PMID: 29040503
- FTO rs9939609 is associated with obesity risk and LTL in this study, where this association is only observed at higher, but not lower, FTO methylation levels of participants. Our data suggest association of multiple factors, including FTO methylation level, may be involved in one of several mechanisms underlying the commonly reported obesity risk of this FTO polymorphism. PMID: 28559540
- This study indicates that FTO expression may have an important role in promoting the occurrence of gastric cancer (GC), and it may be an vital molecular marker in the diagnosis and prognosis of GC patients PMID: 28849183
- Mediterranean Diet adherence can be useful for prevention or treatment of obesity phenotypes in subjects with FTO risk alleles. PMID: 28954439
- Two FTO variants, found in 14 affected individuals from three families, were also associated with leanness in these patients with Delayed Puberty. One variant (p.Leu44Val) demonstrated altered demethylation activity of the mutant protein in vitro. Mutations in genes implicated in body mass and timing of puberty in the general population may contribute to the pathogenesis of self-limited delayed puberty. PMID: 29161441
- rs9939609 may be a potential biomarker in early diagnosis or gene therapy target of endometrial cancer and pancreatic cancer. [Meta-Analysis] PMID: 26931363
- The aggregation analysis revealed a higher correlation between siblings than between parent-offspring pairs representing the role of genetic factors in metabolic syndrome (MetS). In addition, the conditional logistic model with covariates showed that the linkage results between HDL_C and three markers, FTO (rs1558902 and rs7202116) and CETP(rs1864163) were significant. PMID: 29548861
- genetic association studies in population of adolescents in the United States: Data suggest that an SNP in FTO (rs9939609) is associated with adolescent overweight/obesity and obesogenic appetitive traits (decreased satiety responsiveness and increased food responsiveness) in the population studied. PMID: 28712975
- This meta-analysis provides additional support for a significant interaction between FTO, depression and BMI, indicating that depression increases the effect of FTO on BMI. PMID: 28642257
- children at risk for obesity possessing the obesity risk polymorphism (FTO rs9939609) exhibited stronger responses to food commercials in the nucleus accumbens (NAcc) than children not at risk. Similarly, children at a higher genetic risk for obesity possessing the obesity risk polymorphism (FTO rs9939609) demonstrated larger NAcc volumes. PMID: 27994159
- Variations within FTO may be predictors of fatty liver disease in HIV-infected patients independently of metabolic factors. PMID: 28116842
- Studied weight loss in obese patients with Perilipin 4 (PLIN4), Fat mass and obesity-associated (FTO), and beta- adrenergic receptor 3 (ADRB3) polymorphisms treated with Garcinia cambogia/Glucomannan. Results suggest weight loss was attenuated in carriers of PLIN4, FTO, ADRB3 polymorphisms. PMID: 29361938
- Fat mass and obesity associated (FTO) was the first gene found to be associated with obesity in three independent genome-wide association studies. PMID: 27324062
- It has been shown, that presence of one mutant allele of rs9939609 (gene FTO) and rs4994 (gene ADRB3) leads to statistically significant association with obesity. PMID: 29381017
- Food advertisement exposure was associated with greater caloric consumption of a recently advertised food, and this effect was modified by an FTO genotype. Future research is needed to understand the neurological mechanism underlying these associations. PMID: 27654143
- FTO rs9939609 polymorphism is observed to be associated with obesity. PMID: 29317321
- FTO rs9939609 polymorphism in recurrent VTE may differ according to gender. PMID: 29325734
- the first intron of the FTO gene is associated with obesity in humans in a mechanism potentially involving the risk allele (rs1421085) PMID: 27544196
- The age of diabetes was not affect by the tested FTO polymorphisms (rs9939609 , rs1421085, and rs9930506). PMID: 28585683
- Infants carrying the GG genotype of the LEP rs7799039 polymorphism were 2.12 times more likely to be born large for gestational age (LGA) than those carrying the GA + AA genotypes. Newborns carrying the TG or GG genotype of the ADIPOQ rs2241766 polymorphism were 1.88 times more likely to be born LGA than those carrying the TT genotype. No association was found between the FTO gene polymorphism and newborn weight status. PMID: 27392994
- FTO obesity risk allele is associated with differential neural processing of food images. PMID: 26797854
- Data confirm the association between the FTO first intron polymorphism and the presence of type 2 diabetes mellitus in the Slavonic (Czech) population. The same variant is likely to be associated with development of chronic complications of diabetes mellitus, especially with diabetic neuropathy and diabetic kidney disease in either T2DM or both T1DM and T2DM. PMID: 29154870
- This study demonstrated that the rs9939609 (FTO) polymorphism showed a relationship with obesity in the population studied and an interaction with cardiorespiratory fitness (CRF). Students with low levels of CRF and the AA genotype have a higher risk of being overweight/obese. PMID: 26458076
- Data show that the splicing effects of alpha-ketoglutarate dependent dioxygenase FTO are dependent on the catalytic activity in vivo and are mediated by N6-methyladenosine (m6A). PMID: 28977517
- FTO variants not only were associated with T2DM, but also some variants had a strong association with apelin and androgenic hormones profile. PMID: 29101069
- FTO and near MC4R variants are associated with obesity measures in Sri Lankan populations... PMID: 26948330
- Results suggest that the hypomorphic FTO p.A134T variant is associated with thiopurine-induced leukopenia in South Korean patients with inflammatory bowel disease. PMID: 27558924
- The FTO gene polymorphism, rs9939609, was found to be associated with insulin resistance, insulin, triglyceride and adiponectin levels in obese patients with TT variant PMID: 27759977
顯示更多
收起更多
-
相關疾病:Growth retardation, developmental delay, and facial dysmorphism (GDFD); Obesity (OBESITY)
-
亞細胞定位:Nucleus. Nucleus speckle. Cytoplasm.
-
蛋白家族:Fto family
-
組織特異性:Ubiquitously expressed, with relatively high expression in adrenal glands and brain; especially in hypothalamus and pituitary. Highly expressed in highly expressed in acute myeloid leukemias (AML) with t(11;11)(q23;23) with KMT2A/MLL1 rearrangements, t(15
-
數據庫鏈接:
Most popular with customers
-
YWHAB Recombinant Monoclonal Antibody
Applications: ELISA, WB, IHC, IF, FC
Species Reactivity: Human, Mouse, Rat
-
Phospho-YAP1 (S127) Recombinant Monoclonal Antibody
Applications: ELISA, WB, IHC
Species Reactivity: Human
-
-
-
-
-
-















