EZH2 Recombinant Monoclonal Antibody
-
中文名稱:EZH2重組抗體
-
貨號:CSB-RA942183A0HU
-
規格:¥1320
-
圖片:
-
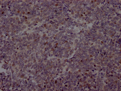
IHC image of CSB-RA942183A0HU diluted at 1:100 and staining in paraffin-embedded human lung cancer performed on a Leica BondTM system. After dewaxing and hydration, antigen retrieval was mediated by high pressure in a citrate buffer (pH 6.0). Section was blocked with 10% normal goat serum 30min at RT. Then primary antibody (1% BSA) was incubated at 4℃ overnight. The primary is detected by a Goat anti-rabbit IgG polymer labeled by HRP and visualized using 0.05% DAB.
-
-
其他:
產品詳情
-
產品描述:CSB-RA942183A0HU EZH2重組單克隆抗體是針對組蛋白甲基轉移酶EZH2開發的高特異性科研試劑。EZH2作為多梳抑制復合體2(PRC2)的核心催化亞基,通過介導組蛋白H3K27三甲基化調控基因沉默,其異常表達與乳腺癌、前列腺癌及淋巴瘤等惡性腫瘤發生發展密切相關。本產品經ELISA和免疫組化(IHC)雙重驗證,在IHC應用中展現出優異的組織定位能力,推薦使用1:50-1:200稀釋比例時可清晰呈現核內特異性染色,信號強度與靶蛋白表達水平呈正相關,且不同批次間具有高度一致性。該抗體適用于石蠟包埋組織切片或培養細胞的靶蛋白空間分布研究,可為腫瘤發生機制探索、表觀遺傳調控網絡解析以及癌癥生物標志物篩選等基礎研究提供可靠工具。采用重組單克隆技術制備,確保抗體具有高親和力和低交叉反應性,滿足腫瘤生物學、表觀遺傳學等領域精準檢測需求。
-
Uniprot No.:
-
基因名:
-
別名:Histone-lysine N-methyltransferase EZH2 (EC 2.1.1.43) (ENX-1) (Enhancer of zeste homolog 2) (Lysine N-methyltransferase 6), EZH2, KMT6
-
反應種屬:Human
-
免疫原:A synthesized peptide derived from human KMT6 / EZH2
-
免疫原種屬:Homo sapiens (Human)
-
標記方式:Non-conjugated
-
克隆類型:Monoclonal
-
抗體亞型:Rabbit IgG
-
純化方式:Affinity-chromatography
-
克隆號:2C7
-
濃度:It differs from different batches. Please contact us to confirm it.
-
保存緩沖液:Rabbit IgG in 10mM phosphate buffered saline , pH 7.4, 150mM sodium chloride, 0.05% BSA, 0.02% sodium azide and 50% glycerol.
-
產品提供形式:Liquid
-
應用范圍:ELISA, IHC
-
推薦稀釋比:
Application Recommended Dilution IHC 1:50-1:200 -
Protocols:
-
儲存條件:Upon receipt, store at -20°C or -80°C. Avoid repeated freeze.
-
貨期:Basically, we can dispatch the products out in 1-3 working days after receiving your orders. Delivery time maybe differs from different purchasing way or location, please kindly consult your local distributors for specific delivery time.
-
用途:For Research Use Only. Not for use in diagnostic or therapeutic procedures.
相關產品
靶點詳情
-
功能:Polycomb group (PcG) protein. Catalytic subunit of the PRC2/EED-EZH2 complex, which methylates 'Lys-9' (H3K9me) and 'Lys-27' (H3K27me) of histone H3, leading to transcriptional repression of the affected target gene. Able to mono-, di- and trimethylate 'Lys-27' of histone H3 to form H3K27me1, H3K27me2 and H3K27me3, respectively. Displays a preference for substrates with less methylation, loses activity when progressively more methyl groups are incorporated into H3K27, H3K27me0 > H3K27me1 > H3K27me2. Compared to EZH1-containing complexes, it is more abundant in embryonic stem cells and plays a major role in forming H3K27me3, which is required for embryonic stem cell identity and proper differentiation. The PRC2/EED-EZH2 complex may also serve as a recruiting platform for DNA methyltransferases, thereby linking two epigenetic repression systems. Genes repressed by the PRC2/EED-EZH2 complex include HOXC8, HOXA9, MYT1, CDKN2A and retinoic acid target genes. EZH2 can also methylate non-histone proteins such as the transcription factor GATA4 and the nuclear receptor RORA. Regulates the circadian clock via histone methylation at the promoter of the circadian genes. Essential for the CRY1/2-mediated repression of the transcriptional activation of PER1/2 by the CLOCK-ARNTL/BMAL1 heterodimer; involved in the di and trimethylation of 'Lys-27' of histone H3 on PER1/2 promoters which is necessary for the CRY1/2 proteins to inhibit transcription.
-
基因功能參考文獻:
- EZH2 interacts with PCNA and dimethylates PCNA at lysine 110. Dimethylation of PCNA is essential for DNA polymerase delta binding to PCNA and DNA replication. PMID: 30071900
- Mechanistic studies in human breast cancer cell lines revealed that miR-92b directly targeted EZH2 promoting autophagy, and inhibiting the viability and invasion of breast cancer cells. PMID: 30066891
- HOXD-AS1 could interact with EZH2, and then repress p57 expression, to aggravate osteosarcoma oncogenesis. PMID: 30119259
- p38-mediated phosphorylation at threonine 367 induces EZH2 cytoplasmic localization to promote breast cancer metastasis. PMID: 30022044
- Study suggests the higher expressions of HOTAIR and EZH2 among three breast cancer cell lines. HOTAIR could bind specifically to EZH2 and PTEN, highlighting the capability of HOTAIR to inhibit the expression of PTEN by recruiting EZH2 in breast cancer. Downregulation of HOTAIR or silencing of EZH2 was noted to inhibit the proliferation, invasion, and migration of breast cancer cells, while promoting their apoptosis. PMID: 30048163
- Targeting EZH2 reactivates a breast cancer subtype-specific anti-metastatic transcriptional program driven by FOXC1. PMID: 29959321
- Ezh2 and Runx1 mutations collaborate to initiate lympho-myeloid leukemia in early thymic progenitors PMID: 29438697
- The EZH2 expression is decreased in multiple sclerosis patients PMID: 30367633
- EZH2 regulates the expression of miR-139-5p via H3K27me3, and the EZH2/miR-139-5p axis participates in the progression of Pancreatic cancer. PMID: 30304920
- data demonstrated that in brain glioma cells, the decrease of EZH2 level could suppress cell proliferation and tumorigenesis potency, and meanwhile inhibit the expressions of oncogenes including c-myc and Akt. PMID: 30305602
- In the former, p53 binds to the CDH1 (encoding E-cadherin) locus to antagonize EZH2-mediated H3K27 trimethylation (H3K27me3) to maintain high levels of acetylation of H3K27 (H3K27ac). PMID: 29371630
- FOXP4-AS1 is overexpressed in osteosarcoma (OS), and is the independent risk factor in OS prognosis. Upregulated FOXP4-AS1 promotes the proliferation, migration and cell cycle, but inhibits apoptosis of OS cells. Furthermore, FOXP4-AS1 participates in the development and progression of OS by downregulating LATS1 via binding to LSD1 and EZH2. PMID: 29859193
- High Ki67, EZH2, and SMYD3 immunoexpression, adjusted for standard clinicopathological parameters, independently predicts outcome in patients with prostate cancer, at diagnosis. PMID: 29174711
- High EZH2 expression is associated with high-grade upper tract urothelial carcinoma. PMID: 29748098
- Enhancer of Zeste Homolog 2 (EZH2), SET domain, bifurcated 1 protein (SETDB1), lysine-specific histone demethylase 1 (LSD1), histone H3 methylation (H3K9me3 and H3K27me3) expression are altered in colorectal cancer (CRC) and may play a role in colorectal carcinogenesis. PMID: 30105513
- Data show that miR-1301 inhibited the expression of enhancer of zeste homolog 2 protein (EZH2) by binding to the 3' untranslated regions (3'-UTR) of EZH2 gene. PMID: 29790898
- We characterized a lncRNA, PCa specific expression and EZH2-associated transcript (PCSEAT, annotated as PRCAT38), which is specifically overexpressed in prostate cancer. PCSEAT promotes cell proliferation, at least in part by affecting miR-143-3p- and miR-24-2-5p-mediated regulation of EZH2. PMID: 29803673
- Cell adhesion-induced phosphorylation and inactivation of EZH2 confer drug resistance to acute myeloid leukemia cells. PMID: 29185157
- these data indicate that RING1B and EZH2 repress the innate inflammatory cutaneous squamous cell carcinoma function and impair tumor immunosurveillance PMID: 29394319
- The interaction of methyltransferase EZH2 or demethylase JMJD3 on RGMA, RARb2, AR, PGR, and ERa genes in the progression and aggressiveness of prostate cancer. PMID: 29161520
- Results show that EZH2 expression was significantly higher in lung adenocarcinoma (LA) and that EZH2 promotes LA cell invasion and metastasis by inhibiting SPRY4-IT1 expression. PMID: 28796375
- Study identifies the residues on EZH2 that are critical for its interaction with VAV and demonstrate that EZH2 interactions with VAV proteins are crucial for the regulation of adhesion dynamics and cellular transformation. PMID: 28967906
- Study shows that EZH2 contributes to PARP inhibitors sensitivity in breast cancer cells. Mechanistically, upon oxidative stress or alkylating DNA damage, PARP1 interacts with and attaches poly-ADP-ribose (PAR) chains to EZH2. PMID: 28925391
- Primary cutaneous follicle center lymphomas with concomitant 1p36 deletion and TNFRSF14 mutations frequently express high levels of EZH2 protein. PMID: 29858685
- Curcumol inhibits proliferation and induces apoptosis by targeting EZH2. PMID: 29852354
- EZH2, ET-1, and CD34 may act as biomarkers of aggressive cervical squamous cell carcinoma PMID: 29630085
- the hsa_circ_0071589/miR-600/EZH2 axis may play critical regulatory roles in the pathogenesis of colorectal cancer. PMID: 29710537
- EZH2 mutations coexisted with mutations of NOTCH1, IL7R, and PHF6 in the two Adult T-cell Acute Lymphoblastic Leukemia patients, and they responded poorly to chemotherapy and experienced difficult clinical histories and inferior outcomes PMID: 28747286
- An explicit oncogenic role of TP73-AS1 in the NSCLC tumorigenesis, suggesting a TP73-AS1-miR-449a-EZH2 axis and providing new insight for NSCLC tumorigenesis. PMID: 29803931
- results show the effect of individual O-GlcNAcylation sites on the function of EZH2 and suggest an alternative approach to tumor suppression through selective inhibition of EZH2 O-GlcNAcylation. PMID: 29941599
- High EZH2 expression is associated with gastric cancer. PMID: 30031062
- combined panel had the highest sensitivity and specificity at 96.3% and 100%, which was significantly or marginally higher than those of EZH2, C-KIT, and CD205 alone PMID: 29487009
- EZH2 positivity was significantly correlated with WHO tumor grade and worse prognosis in gliomas. PMID: 28862715
- Long non-coding RNA H19 was found to play an oncogenic role in oral squamous cell carcinoma cells by regulating EZH2 and by targeting miR138. PMID: 29344674
- In univariable analysis, patients carrying mutations in DNMT3A, U2AF1, and EZH2 had worse overall and relapse-free survival. PMID: 29321554
- EZH2 mutations in chronic myelomonocytic leukemia cluster with ASXL1 mutations and their co-occurrence is prognostically detrimental. PMID: 29358618
- The results indicated that when STAT3 signaling activity was attenuated by Stattic or enhanced with a STAT3 plasmid, the EZH2/miR-200 axis was markedly altered, thus resulting in modulation of the invasion and migration of OSCC cell lines. PMID: 29532870
- Data suggest the polycomb repressive complex 2 subunits EZH2, SUZ12, and EED protein axis as promising therapeutic target for treating sarcoma. PMID: 29415665
- Results demonstrate that EZH2 inhibition enhances HCC eradication by NK cells and that EZH2 functions, in part, as an oncogene by inhibiting immune response. PMID: 29581297
- Heat-treated human dermal fibroblast exhibited a reduction in lncRNA LET expression and increase in EZH2 expression. PMID: 29393360
- EZH2 rs12670401 and rs6464926 polymorphisms, EZH2 and SMYD3 expression, clinical staging, lymph node metastasis, human epidermal growth factor receptor-2 (HER2) status, and metastasis may be correlated with breast cancer susceptibility and prognosis. PMID: 29089464
- These data inferred that long non-coding RNA PVT1 could be served as an indicator of glioma prognosis, and PVT1-EZH2 regulatory pathway may be a novel therapeutic target for treating glioma. PMID: 29046366
- Enhancer of zeste homolog 2 (EZH2) overexpression is associated with malignant potential in thyroid cancer, and may thus be a useful prognostic marker of aggressive thyroid cancer. PMID: 29275295
- EZH2 increases STAT3 phosphorylation and upregulates the expression of 72 kDa type IV collagenase and overexpression of EZH2 was demonstrated to increase the proliferation and invasive potential of renal cell carcinoma cells. PMID: 29286132
- High glucose enhances the formation of EZH2/Snail/HDAC1 complex in the nucleus, which in turn causes E-cadherin repression. PMID: 29705809
- Patients with all of the following: the tumor size =5 cm, low EZH2 expression, and without necrosis and distant metastasis had significantly longer survival time PMID: 28738014
- Upregulation of circRNA BCRC4 promoted apoptosis and inhibited viability of bladder cancer cells, up-regulated BCRC4-increased miR-101 level, which suppressed EZH2 expression in both RNA and protein levels. PMID: 29270748
- Our data demonstrates that EZH2 participates in Glioblastoma multiforme-induced immune deficient and EZH2 suppression in Glioblastoma multiforme can remodel microglia immune functions PMID: 29132376
- Coexistence of BRAF V600E mutation and EZH2 gain is rather prevalent in melanoma. PMID: 29202777
- MiR-4465 suppressed cancer cells proliferation and metastasis by directly targeting the oncogene EZH2. PMID: 29169732
顯示更多
收起更多
-
相關疾?。?/div>Weaver syndrome (WVS)亞細胞定位:Nucleus.蛋白家族:Class V-like SAM-binding methyltransferase superfamily, Histone-lysine methyltransferase family, EZ subfamily組織特異性:In the ovary, expressed in primordial follicles and oocytes and also in external follicle cells (at protein level). Expressed in many tissues. Overexpressed in numerous tumor types including carcinomas of the breast, colon, larynx, lymphoma and testis.數據庫鏈接:
Most popular with customers
-
-
YWHAB Recombinant Monoclonal Antibody
Applications: ELISA, WB, IHC, IF, FC
Species Reactivity: Human, Mouse, Rat
-
Phospho-YAP1 (S127) Recombinant Monoclonal Antibody
Applications: ELISA, WB, IHC
Species Reactivity: Human
-
-
-
-
-















