CYP1A2 Recombinant Monoclonal Antibody
-
中文名稱:CYP1A2重組抗體
-
貨號:CSB-RA178519A0HU
-
規格:¥1320
-
圖片:
-
Western Blot
Positive WB detected in: Hela whole cell lysate, HepG2 whole cell lysate, L02 whole cell lysate
All lanes: CYP1A2 antibody at 1:1000
Secondary
Goat polyclonal to rabbit IgG at 1/50000 dilution
Predicted band size: 59 kDa
Observed band size: 59 kDa -
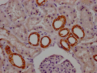
IHC image of CSB-RA178519A0HU diluted at 1:100 and staining in paraffin-embedded human kidney tissue performed on a Leica BondTM system. After dewaxing and hydration, antigen retrieval was mediated by high pressure in a citrate buffer (pH 6.0). Section was blocked with 10% normal goat serum 30min at RT. Then primary antibody (1% BSA) was incubated at 4℃ overnight. The primary is detected by a Goat anti-rabbit IgG polymer labeled by HRP and visualized using 0.05% DAB.
-
-
其他:
產品詳情
-
產品描述:CSB-RA178519A0HU CYP1A2重組單克隆抗體是針對細胞色素P450 1A2靶點開發的高特異性試劑。該酶主要表達于肝臟,參與咖啡因、非那西丁等藥物代謝及環境毒素的解毒過程,其活性異常與藥物相互作用及化學物質毒性機制研究密切相關。本抗體經ELISA、Western Blot(WB)和免疫組化(IHC)多平臺驗證,在肝臟組織及細胞裂解液中均表現出優異的檢測性能:WB實驗顯示特異性條帶清晰,推薦使用稀釋度1:500-1:5000;IHC檢測可在石蠟包埋組織中準確定位蛋白表達,建議稀釋比例為1:50-1:200;ELISA體系具備高靈敏度,適用于樣本中CYP1A2的定量分析。該重組單克隆抗體具有嚴格的種屬特異性(人源)和穩定的批次一致性,適用于藥物代謝動力學研究、環境污染物毒性評估、肝臟功能研究以及相關酶誘導/抑制機制的探索,為體外研究CYP1A2在藥理學、毒理學及代謝性疾病中的功能提供可靠工具。
-
Uniprot No.:
-
基因名:CYP1A2
-
別名:Cytochrome P450 1A2 (EC 1.14.14.1) (CYPIA2) (Cholesterol 25-hydroxylase) (Cytochrome P(3)450) (Cytochrome P450 4) (Cytochrome P450-P3), CYP1A2
-
反應種屬:Human
-
免疫原:A synthesized peptide derived from human Cytochrome P450 1A2
-
免疫原種屬:Homo sapiens (Human)
-
標記方式:Non-conjugated
-
克隆類型:Monoclonal
-
抗體亞型:Rabbit IgG
-
純化方式:Affinity-chromatography
-
克隆號:8B2
-
濃度:It differs from different batches. Please contact us to confirm it.
-
保存緩沖液:Rabbit IgG in 10mM phosphate buffered saline , pH 7.4, 150mM sodium chloride, 0.05% BSA, 0.02% sodium azide and 50% glycerol.
-
產品提供形式:Liquid
-
應用范圍:ELISA, WB, IHC
-
推薦稀釋比:
Application Recommended Dilution WB 1:500-1:5000 IHC 1:50-1:200 -
Protocols:
-
儲存條件:Upon receipt, store at -20°C or -80°C. Avoid repeated freeze.
-
貨期:Basically, we can dispatch the products out in 1-3 working days after receiving your orders. Delivery time maybe differs from different purchasing way or location, please kindly consult your local distributors for specific delivery time.
-
用途:For Research Use Only. Not for use in diagnostic or therapeutic procedures.
相關產品
靶點詳情
-
功能:A cytochrome P450 monooxygenase involved in the metabolism of various endogenous substrates, including fatty acids, steroid hormones and vitamins. Mechanistically, uses molecular oxygen inserting one oxygen atom into a substrate, and reducing the second into a water molecule, with two electrons provided by NADPH via cytochrome P450 reductase (NADPH--hemoprotein reductase). Catalyzes the hydroxylation of carbon-hydrogen bonds. Exhibits high catalytic activity for the formation of hydroxyestrogens from estrone (E1) and 17beta-estradiol (E2), namely 2-hydroxy E1 and E2. Metabolizes cholesterol toward 25-hydroxycholesterol, a physiological regulator of cellular cholesterol homeostasis. May act as a major enzyme for all-trans retinoic acid biosynthesis in the liver. Catalyzes two successive oxidative transformation of all-trans retinol to all-trans retinal and then to the active form all-trans retinoic acid. Primarily catalyzes stereoselective epoxidation of the last double bond of polyunsaturated fatty acids (PUFA), displaying a strong preference for the (R,S) stereoisomer. Catalyzes bisallylic hydroxylation and omega-1 hydroxylation of PUFA. May also participate in eicosanoids metabolism by converting hydroperoxide species into oxo metabolites (lipoxygenase-like reaction, NADPH-independent). Plays a role in the oxidative metabolism of xenobiotics. Catalyzes the N-hydroxylation of heterocyclic amines and the O-deethylation of phenacetin. Metabolizes caffeine via N3-demethylation (Probable).
-
基因功能參考文獻:
- The in vitro studies of Pristimerin (PTM) with CYP isoforms indicate that PTM has the potential to cause pharmacokinetic drug interactions with other co-administered drugs metabolized by CYP1A2, 3A4 and 2C9. PMID: 28385095
- Phenotyping of CYP 4501A2 Activity by Total Overnight Salivary Caffeine Assessment (TOSCA) in Patients on Warfarin Treatment PMID: 28992765
- Both CYP1A2 and CYP2B4 activities were affected by their coexpression in a manner consistent with formation of the high-affinity POR-CYP1A2-CYP2B4 complex. PMID: 29233819
- The influence of CYP1A2 genotype in the basal and post-caffeine blood pressure response to caffeine ingestion is modified by physical activity status and caffeine consumption level. PMID: 29522901
- The metabolites are predominantly catalyzed by CYP3A4 (77% approximately 87%), with a moderate contribution from CYP3A5 (5% approximately 15%) and CYP1A2 (3.7% approximately 7.5%). PMID: 29247736
- the genetic variations of the CYP1A2 gene did not affect the ergogenicity or side effects derived from the consumption of a moderate dose of caffeine. PMID: 29668752
- The findings of this study indicate that CYP2C19 contribute to the metabolism of MDMA to MDA in humans PMID: 28117133
- a positive association between caffeine intake and abstract reasoning exists in the CC homozygous of the -163C>A polymorphism of CYP1A2 gene. PMID: 29072170
- CYP1A2 C164A polymorphism has an interaction with maternal caffeine intake that affects infant birth size in a Japanese cohort study PMID: 28355205
- findings provide evidences that miR-320 might inhibit the development of Steroid-induced avascular necrosis of femoral head by targeting CYP1A2. PMID: 29551500
- our findings suggest that CYP1A2, CYP3A4 and CYP3A5 play an important role in osteosarcoma tumorigenesis, at primary and metastatic sites, as well in treatment response PMID: 28404946
- CYP1A2 rs2470890 was significantly associated with the prognosis of patients with breast cancer and could serve as an independent impact factor of prognosis of breast carcinoma PMID: 28418906
- CYP1A2 activity can be monitored using noninvasive random urine samples, and it can be used to assess developmental changes in theophylline clearance by preterm PMID: 27995649
- The increased risk of prostate cancer was observed among individuals with the CYP1A2 CA + AA genotype (OR, 1.43; 95% CI, 1.03-2.00). PMID: 29165164
- Nerolidol induces endoplasmic reticulum stress and apoptosis in Human HepG2 Cells through extensive CYP2C19 and CYP1A2 mediated drug oxidation. PMID: 28256105
- Findings show that at allelic and genotypic level polymorphisms in CYP3A4 and CYP1A2 are significantly associated with a reduced risk of drug addiction in Chinese individuals. PMID: 27257124
- Results suggest that CYP4503A4/1A2 phenotyping is unlikely to substitute therapeutic drug monitoring of erlotinib in patients with advanced non-small cell lung cancer. PMID: 28444958
- In Silico Predictions of Drug - Drug Interactions Caused by CYP1A2, 2C9 and 3A4 Inhibition - a Comparative Study of Virtual Screening Performance PMID: 27490388
- Study corroborated results from a previous report that described interactions between ADORA2A and CYP1A2 polymorphisms and coffee consumption in Parkinson's disease. PMID: 28135712
- CYP1A2 Polymorphisms are associated with lung cancer. PMID: 26987327
- The study showed that the CYP1A2 (-163C>A) Rs762551 C/C genotype was associated with an increased risk of age-related macular degeneration. PMID: 28095090
- findings suggest that CYP1A2 alleles or haplotypes were not predictive of metabolic phenotypes in the Nigerian population; carriers of CYP2A6*9/*17 genotype are likely to be poor metabolisers of CYP2A6 substrates and may experience adverse reactions or poor efficacy while using drugs metabolised mainly by CYP2A6 PMID: 28231062
- frequency of slow activity CYP1A2 enzyme alleles is very low among Emiratis which correlates with the presence of low frequencies of derived alleles in CYP1A2 gene PMID: 28934216
- Study provided additional evidence that CYP1A2 is an important susceptibility gene for essential hypertension. PMID: 27977510
- the difference in clozapine levels between smokers and nonsmokers appeared to be significant in the individuals carrying the homozygous -163A allele (P=0.02). It was also found that nonsmokers carrying the -163A allele tended to have higher plasma levels of clozapine. Cigarette smoking has a significant impact on the plasma level of clozapine in schizophrenic patients carrying the homozygous -163A allele in the CYP1A2 gen PMID: 27203225
- genetic association studies in population in Spain: Data suggest that an SNP in CYP1A2 (-163C>A; rs762551) is not associated with performance enhancement/visual attention effects in response to moderate caffeine consumption as dietary supplement (capsules) during exercise; C-allele carriers reported increased nervousness after caffeine ingestion. PMID: 28287486
- We conducted a genome-wide association study (GWAS) of plasma caffeine, paraxanthine, theophylline, theobromine and paraxanthine/caffeine ratio. A single SNP at 6p23 (near CD83) and several SNPs at 7p21 (near AHR), 15q24 (near CYP1A2) and 19q13.2 (near CYP2A6) met GW-significance (P < 5 x 10-8) and were associated with one or more metabolites PMID: 27702941
- We observed a strong dose-dependent increase in hair PhIP levels. This increase was highly correlated with dose received (rho = 0.68, P < 0.0001).CYP1A2 activity and normalizing for hair melanin did not modify the response to the intervention. PMID: 27207666
- findings indicated that the -3860 G > A polymorphism in CYP1A2 might not be a risk factor for lung cancer [meta-analysis] PMID: 27323197
- CYP1A2-163C/A polymorphism is associated with increased susceptibility to bladder cancer in the Chinese population. PMID: 27173252
- rs762551 AA genotype may lead to higher coffee intake, especially in males, younger age groups, and individuals of Caucasian ethnicity. PMID: 27173183
- Combined 3D-QSAR and docking procedures yielded precise information about the common and distinct interactions of inhibitors and the enzyme active sites of CYP1A2. PMID: 26648056
- YP1A2 rs762551 was identified as a new potential predictive marker for early breast cancer events in AI-treated breast cancer patients. Moreover, combined genotypes of CYP1A2 rs762551 and CYP19A1 rs4646 or AhR Arg554Lys could further improve prediction of early AI-treatment response PMID: 27029552
- The aim of the present study was to screen Uyghur volunteers for CYP1A2 genetic polymorphisms. PMID: 26383175
- CYP1A2 -163A/A genotype influence carbamazepine pharmacokinetics. PMID: 26762380
- niclosamide was subjected to efficient metabolic reactions hydroxylation and glucuronidation, wherein CYP1A2 and UGT1A1 were the main contributing enzymes, respectively. PMID: 26068521
- Pregnane X receptor likely regulates CYP1A2 expression in 3D spheroids of liver cancer cells. PMID: 26643992
- The results of this study suggest that the CYP1A2*1F polymorphism is associated with super-refractory schizophrenia. PMID: 26530626
- This large meta-analysis suggests no significant effect of the investigated CYP1A2 SNPs on cancer overall risk under various genetic models PMID: 26865042
- CYP1A2 rs762551 polymorphism is a protective factor for bladder cancer. PMID: 26514519
- CYP rs2470890 allele 'C' showed an association with T2DM only when the interaction with coffee was considered, thereby setting an example of genetic activation by dietary changes associating with metabolic syndrome. PMID: 26588584
- CYP1A2 metabolizes E2 to generate the potent anti-tumor agent 2-ME in HCC. PMID: 27093553
- For the computed CYP 1A2 binding affinities, the model showed a root mean square error of 4.1 kJ mol-1 and a standard error in prediction in cross-validation of 4.3 kJ mol-1. PMID: 26551865
- phenotypic association studies in population in Nigeria: Data suggest polymorphisms in CYP1A2 exist in the population studied; distribution of CYP1A2 activity is bimodal; influence of age/sex on activity are not significant in this biomarker study. PMID: 26098700
- Dietary tocopherols inhibit PhIP-induced prostate carcinogenesis in CYP1A2-humanized transgenic mice. PMID: 26582657
- The CYP1A2 -3860A genotype was associated with a decreased risk of breast cancer. In contrast, distributions of the -2467T/delT or -2467delT/delT and -163A/C or A/A genotypes among breast cancer patients and controls were similar. PMID: 25921178
- Data suggest that short-term fasting up-regulates hepatic expression of CYP1A2 but down-regulates hepatic expression of CYP2C9 as compared with the post-absorptive state; only male subjects were studied. PMID: 25795462
- Single-nucleotide polymorphisms alleles near BDNF that were associated with higher coffee consumption. PMID: 25288136
- limb-truncal, but not orofacial tardive dyskinesia, is associated with CYP1A2 (-163C>, rs762551) polymorphism PMID: 25602162
- Allele frequency of CYP1A2 polymorphisms in the Japanese population PMID: 25552922
顯示更多
收起更多
-
亞細胞定位:Endoplasmic reticulum membrane; Peripheral membrane protein. Microsome membrane; Peripheral membrane protein.
-
蛋白家族:Cytochrome P450 family
-
組織特異性:Liver.
-
數據庫鏈接:
Most popular with customers
-
-
YWHAB Recombinant Monoclonal Antibody
Applications: ELISA, WB, IHC, IF, FC
Species Reactivity: Human, Mouse, Rat
-
Phospho-YAP1 (S127) Recombinant Monoclonal Antibody
Applications: ELISA, WB, IHC
Species Reactivity: Human
-
-
-
-
-















