CD97 Recombinant Monoclonal Antibody
-
中文名稱:CD97重組抗體
-
貨號:CSB-RA004972A0HU
-
規格:¥1320
-
圖片:
-
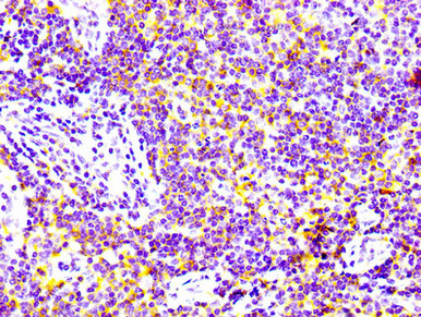
IHC image of CSB-RA004972A0HU diluted at 1:100 and staining in paraffin-embedded human lymph node tissue performed on a Leica BondTM system. After dewaxing and hydration, antigen retrieval was mediated by high pressure in a citrate buffer (pH 6.0). Section was blocked with 10% normal goat serum 30min at RT. Then primary antibody (1% BSA) was incubated at 4℃ overnight. The primary is detected by a biotinylated secondary antibody and visualized using an HRP conjugated SP system.
-
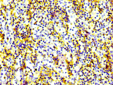
IHC image of CSB-RA004972A0HU diluted at 1:100 and staining in paraffin-embedded human spleen tissue performed on a Leica BondTM system. After dewaxing and hydration, antigen retrieval was mediated by high pressure in a citrate buffer (pH 6.0). Section was blocked with 10% normal goat serum 30min at RT. Then primary antibody (1% BSA) was incubated at 4℃ overnight. The primary is detected by a biotinylated secondary antibody and visualized using an HRP conjugated SP system.
-
Immunofluorescence staining of Hela cells with CSB-RA004972A0HU at 1:87.5,counter-stained with DAPI. The cells were fixed in 4% formaldehyde, permeabilized using 0.2% Triton X-100 and blocked in 10% normal Goat Serum. The cells were then incubated with the antibody overnight at 4℃.The secondary antibody was Alexa Fluor 488-congugated AffiniPure Goat Anti-Rabbit IgG (H+L).
-
-
其他:
產品詳情
-
產品描述:CSB-RA004972A0HU是一種高特異性抗體,靶向CD97分子。CD97是黏附型G蛋白偶聯受體(aGPCR)家族成員,在免疫細胞活化、炎癥反應及腫瘤微環境調控中發揮重要作用,其異常表達與免疫性疾病及腫瘤進展密切相關。本產品通過重組技術制備,經ELISA、免疫組化(IHC)和免疫熒光(IF)等多平臺嚴格驗證,在IHC應用中推薦使用稀釋比為1:50-1:500,IF實驗推薦稀釋比為1:30-1:200,可清晰呈現組織或細胞樣本中CD97的定位與表達水平。該抗體具有優異的批次間一致性,適用于探究CD97在免疫細胞信號轉導、腫瘤細胞遷移侵襲及炎癥相關病理機制中的功能,為研究免疫調節、腫瘤生物學及炎癥性疾病提供可靠工具。典型應用場景包括免疫微環境分析、腫瘤組織病理學評估以及體外細胞模型的功能研究,適用于基礎科研中蛋白互作、細胞表型及分子通路的深入解析。本產品僅限科研用途。
-
Uniprot No.:
-
基因名:CD97
-
別名:ADGRE5; CD97; Adhesion G protein-coupled receptor E5; Leukocyte antigen CD97; CD antigen CD97
-
反應種屬:Human
-
免疫原:A synthesized peptide
-
免疫原種屬:Homo sapiens (Human)
-
標記方式:Non-conjugated
-
克隆類型:Monoclonal
-
抗體亞型:Rabbit IgG
-
純化方式:Affinity-chromatography
-
克隆號:3A7
-
濃度:It differs from different batches. Please contact us to confirm it.
-
保存緩沖液:Rabbit IgG in 10mM phosphate buffered saline , pH 7.4, 150mM sodium chloride, 0.05% BSA, 0.02% sodium azide and 50% glycerol.
-
產品提供形式:Liquid
-
應用范圍:ELISA, IHC, IF
-
推薦稀釋比:
Application Recommended Dilution IHC 1:50-1:500 IF 1:30-1:200 -
Protocols:
-
儲存條件:Upon receipt, store at -20°C or -80°C. Avoid repeated freeze.
-
貨期:Basically, we can dispatch the products out in 1-3 working days after receiving your orders. Delivery time maybe differs from different purchasing way or location, please kindly consult your local distributors for specific delivery time.
-
用途:For Research Use Only. Not for use in diagnostic or therapeutic procedures.
相關產品
靶點詳情
-
功能:Receptor potentially involved in both adhesion and signaling processes early after leukocyte activation. Plays an essential role in leukocyte migration.
-
基因功能參考文獻:
- Biochemical features of the adhesion G protein-coupled receptor CD97 related to its auto-proteolysis and HeLa cell attachment activities PMID: 27641734
- High CD97 expression Correlates with Breast, Colorectal and Pancreatic Cancer. PMID: 28373465
- High expression of CD97 is associated with lymphatic metastasis in gastric cancer. PMID: 26233326
- This study indicated that the CD97 and CD55 proteins might be reliable biomarkers to predict the metastasis status and prognosis of intrahepatic cholangiocarcinoma patients. PMID: 28345461
- Knock down of CD97 led to an altered mechanical phenotype, reduced adhesion to a stromal layer and lower wildtype FLT3 expression. PMID: 26462154
- present study suggested that the expressions of CD97 antigen and decay accelerating factor(DAF) were both upregulated in human cervical squamous cell carcinoma PMID: 26107567
- CD97 promotes gastric cancer cell proliferation and invasion in vitro through exosome-mediated MAPK signaling pathway, and exosomal miRNAs are probably involved in activation of the CD97-associated pathway. PMID: 26034356
- we identify the specific isoforms of CD97, a novel pro-invasive glioma antigen, across histologic grades of glioma and within BTICs. We also demonstrate a trend towards increased CD97 expression among the classical and mesenchymal GBM subtypes. PMID: 25714433
- We conclude that CD97 is located in the SR and at the peripheral sarcolemma of human and murine skeletal muscle, where its absence affects the structure of the SR without impairing skeletal muscle function PMID: 24949957
- CD97 enhanced TIMP-2 secretion, leading to reduced MT-MMP-1 and -2 activities, impairing cell migration/invasion in vitro and lung macrometastasis in vivo and upregulating integrins. Both the NTF and the CTF of CD97 were required. PMID: 25174588
- These results provide the first experimental evidence that cd97 is a direct target of miR-126. PMID: 24274104
- study reports gene expression in skeletal muscle tissue of women with metabolic syndrome is enriched in inflammatory response-related genes; IL6R, HDAC9 and CD97 expression correlated negatively with insulin sensitivity; suggests a role for these 3 inflammatory genes in development of skeletal muscle insulin resistance in women PMID: 23771909
- Lysophosphatidylethanolamine utilizes LPA(1) and CD97 in a breast cancer cell line. PMID: 23838008
- CD97 expression promotes invasion and migration in glioblastoma multiforme, but has no effect on tumor proliferation. PMID: 23658650
- CD97 expression in human thyroid cancers correlated with LPA receptor and markers of aggressiveness including Ki67 and pAKT. PMID: 22797060
- CD97 small isoform not only supported gastric cancer local growth, but also promoted metastatic spread in orthotopically implanted mouse model. PMID: 22768192
- CD97 and CD55 showed high expression at the invasive front of gallbladder carcinoma. CD97 and CD55 expression was associated with high histologic grade, advanced pathologic T stage, clinical stage and positive venous/lymphatic invasion. PMID: 22547928
- binding of leukocytes to activated endothelium mediated by the interaction of CD97 with Thy-1 is involved in firm adhesion of polymorphonuclear cells during inflammation and may play a role in the regulation of leukocyte trafficking to inflammatory sites. PMID: 22210915
- we conclude that the possible upregulation of CD97 mediated by WT1 promotes cellular invasiveness-one of the most characteristic and challenging aspects of glial tumor cells. PMID: 22313360
- CD97 functioned to mediate invasion in prostate cancer cells, by associating with lysophosphatidic acid receptor 1 (LPAR1), leading to enhanced LPA-dependent RHO and extracellular signal-regulated kinase activation. PMID: 21978933
- expression of the wild type - but not the GPS cleavage-deficient CD97 up-regulates the expression of N-cadherin, leading to Ca(++)-dependent cell-cell aggregation. PMID: 21156175
- Elevated expression of CD97 and its ligand CD55 at the invasion front correlate with tumor recurrence and metastasis, and CD95 may be a poor prognostic factor for rectal adenocarcinoma. PMID: 20339853
- the tumor promoting role of CD97 small isoform in cancer progression PMID: 20428763
- complex cellular expression programmes rather than activation modes regulate the expression of EGF-TM7 receptors in macrophages PMID: 20167235
- CD97 expression correlates with dedifferentiation, migration, and invasion in colorectal tumor cell lines PMID: 12414513
- coengagement of alpha5beta1 and chondroitotin sulfate proteoglycan by CD97 synergistically initiates endothelial cell invasion PMID: 15576472
- Findings suggest that CD97(EGF) may play a role in the development and invasion of gastric carcinomas. PMID: 16273233
- CD55 engagement with its natural ligand CD97 can act as a potent costimulator of human CD4+ T cells, resulting in cellular activation and promoting enhanced proliferation and cytokine secretion. PMID: 16818763
- enhanced CD97 expression in colorectal cancer cells is regulated independent of beta-catenin/Tcf-4, and is thus not a direct target of the canonical Wnt pathway PMID: 16929497
- CD55 may simultaneously regulate both the innate and adaptive immune responses and can also regulate complement when bound to CD97. PMID: 17449467
- EGF-TM7 pre-mRNAs also undergo the rare trans-splicing, leading to the generation of functional chimeric receptors. PMID: 18267122
- Sp1 and Sp3 over-expression activates CD97 promoter activity in HEK293 cells. PMID: 18329191
- CD97 is present on all lymphocytes in blood and lymphoid tissue. Expression of CD97 on B cells was lower compared to T and NK cells and did not differ between B-cell subsets. PMID: 19428565
- CD97-mFc can adopt two different conformations; one capable of auto-proteolysis and the other not. PMID: 19737555
- CD97 is expressed in all types of macrophages and dendritic cells except for microglia, in most T cells but only a few B cells, in smooth muscle cells, and in a restricted set of thyroid and gastrointestinal carcinomas. PMID: 11380941
顯示更多
收起更多
-
亞細胞定位:Cell membrane; Multi-pass membrane protein.; [Adhesion G protein-coupled receptor E5 subunit alpha]: Secreted, extracellular space.
-
蛋白家族:G-protein coupled receptor 2 family, LN-TM7 subfamily
-
組織特異性:Broadly expressed, found on most hematopoietic cells, including activated lymphocytes, monocytes, macrophages, dendritic cells, and granulocytes. Expressed also abundantly by smooth muscle cells. Expressed in thyroid, colorectal, gastric, esophageal and p
-
數據庫鏈接:
Most popular with customers
-
-
YWHAB Recombinant Monoclonal Antibody
Applications: ELISA, WB, IHC, IF, FC
Species Reactivity: Human, Mouse, Rat
-
Phospho-YAP1 (S127) Recombinant Monoclonal Antibody
Applications: ELISA, WB, IHC
Species Reactivity: Human
-
-
-
-
-















