-
中文名稱:CD81重組抗體
-
貨號:CSB-RA004960A0HU
-
規格:¥1320
-
圖片:
-
Western Blot
Positive WB detected in:K562 whole cell lysate
All lanes:CD81 antibody at 1.25μg/ml
Secondary
Goat polyclonal to rabbit IgG at 1/50000 dilution
Predicted band size: 26 KDa
Observed band size: 26 KDa -
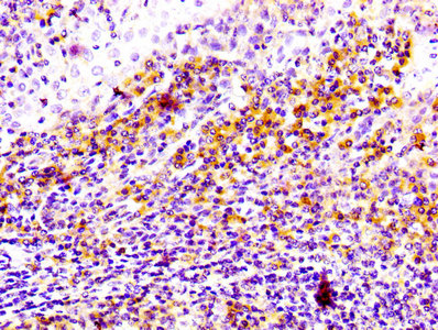
IHC image of CSB-RA004960A0HU diluted at 1:100 and staining in paraffin-embedded human tonsil tissue performed on a Leica BondTM system. After dewaxing and hydration, antigen retrieval was mediated by high pressure in a citrate buffer (pH 6.0). Section was blocked with 10% normal goat serum 30min at RT. Then primary antibody (1% BSA) was incubated at 4°C overnight. The primary is detected by a biotinylated secondary antibody and visualized using an HRP conjugated SP system.
-
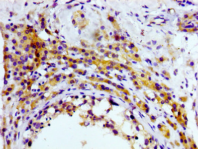
IHC image of CSB-RA004960A0HU diluted at 1:100 and staining in paraffin-embedded human testis tissue performed on a Leica BondTM system. After dewaxing and hydration, antigen retrieval was mediated by high pressure in a citrate buffer (pH 6.0). Section was blocked with 10% normal goat serum 30min at RT. Then primary antibody (1% BSA) was incubated at 4°C overnight. The primary is detected by a biotinylated secondary antibody and visualized using an HRP conjugated SP system.
-
Overlay histogram showing Jurkat cells stained with CSB-RA004960A0HU (red line) at 1:50. The cells were fixed with 70% Ethylalcohol (18h) and then permeabilized with 0.3% Triton X-100 for 2 min.The cells were then incubated in 1x PBS /10% normal goat serum to block non-specific protein-protein interactions followed by primary antibody for 1 h at 4°C.The secondary antibody used was FITC goat anti-rabbit IgG (H+L) at 1/200 dilution for 1 h at 4°C. Control antibody (green line) was used under the same conditions. Acquisition of >10,000 events was performed.
-
-
其他:
產品詳情
-
產品描述:CD81重組單克隆抗體(CSB-RA004960A0HU)是針對四次跨膜蛋白超家族成員CD81研發的高特異性檢測工具。CD81作為重要的細胞表面分子,廣泛參與免疫突觸形成、細胞間相互作用及病原體感染過程,尤其在乙型肝炎病毒和丙型肝炎病毒入侵機制研究中具有關鍵價值。本抗體采用重組表達技術制備,經抗原親和純化工藝優化,在多種檢測平臺中展現優異性能:Western Blot實驗中可清晰識別天然CD81蛋白,推薦使用稀釋比為1:500-1:5000;免疫組化檢測能在石蠟包埋組織中準確定位CD81的亞細胞分布,建議稀釋范圍1:50-1:500;流式細胞術則適用于活細胞表面CD81的動態表達分析。該產品已通過多物種交叉反應驗證,具備高批次間穩定性和低背景干擾特性,適用于研究CD81在免疫調控、病毒感染機制、腫瘤微環境中的功能解析,以及跨膜蛋白復合物相互作用等基礎科研領域,為探索細胞膜受體網絡提供可靠工具。
-
Uniprot No.:
-
基因名:
-
別名:26 kDa cell surface protein TAPA 1 antibody; 26 kDa cell surface protein TAPA-1 antibody; 26 kDa cell surface protein TAPA1 antibody; CD 81 antibody; CD81 antibody; CD81 antigen (target of antiproliferative antibody 1) antibody; CD81 antigen antibody; CD81 molecule antibody; CD81_HUMAN antibody; CVID6 antibody; S5.7 antibody; TAPA 1 antibody; TAPA1 antibody; Target of the antiproliferative antibody 1 antibody; Tetraspanin 28 antibody; Tetraspanin-28 antibody; Tetraspanin28 antibody; Tspan 28 antibody; Tspan-28 antibody; Tspan28 antibody
-
反應種屬:Human, Mouse, Rat
-
免疫原:A synthesized peptide
-
免疫原種屬:Homo sapiens (Human)
-
標記方式:Non-conjugated
-
克隆類型:Monoclonal
-
抗體亞型:Rabbit IgG
-
純化方式:Affinity-chromatography
-
克隆號:9F7
-
濃度:It differs from different batches. Please contact us to confirm it.
-
保存緩沖液:Rabbit IgG in 10mM phosphate buffered saline , pH 7.4, 150mM sodium chloride, 0.05% BSA, 0.02% sodium azide and 50% glycerol.
-
產品提供形式:Liquid
-
應用范圍:ELISA, WB, IHC, FC
-
推薦稀釋比:
Application Recommended Dilution WB 1:500-1:5000 IHC 1:50-1:500 -
Protocols:
-
儲存條件:Upon receipt, store at -20°C or -80°C. Avoid repeated freeze.
-
貨期:Basically, we can dispatch the products out in 1-3 working days after receiving your orders. Delivery time maybe differs from different purchasing way or location, please kindly consult your local distributors for specific delivery time.
-
用途:For Research Use Only. Not for use in diagnostic or therapeutic procedures.
引用文獻
- Exosomal LncRNA SCAMP1-AS1 enhances osteosarcoma malignancy by regulating the LKB1-AMPK signaling pathway Y Li, X Zou, X Feng, J Xia, Z Wu, H Ma,Scientific Reports,2025
- Exosomes derived from baicalin-pretreated bone marrow mesenchymal stem cells inactivate the TLR4/MyD88/NF-kB pathway to improve asthma W Shen, W Jia, Q Wu, L Shen, Y Wang,Immunobiology,2025
相關產品
靶點詳情
-
功能:Structural component of specialized membrane microdomains known as tetraspanin-enriched microdomains (TERMs), which act as platforms for receptor clustering and signaling. Essential for trafficking and compartmentalization of CD19 receptor on the surface of activated B cells. Upon initial encounter with microbial pathogens, enables the assembly of CD19-CR2/CD21 and B cell receptor (BCR) complexes at signaling TERMs, lowering the threshold dose of antigen required to trigger B cell clonal expansion and antibody production. In T cells, facilitates the localization of CD247/CD3 zeta at antigen-induced synapses with B cells, providing for costimulation and polarization toward T helper type 2 phenotype. Present in MHC class II compartments, may also play a role in antigen presentation. Can act both as positive and negative regulator of homotypic or heterotypic cell-cell fusion processes. Positively regulates sperm-egg fusion and may be involved in acrosome reaction. In myoblasts, associates with CD9 and PTGFRN and inhibits myotube fusion during muscle regeneration. In macrophages, associates with CD9 and beta-1 and beta-2 integrins, and prevents macrophage fusion into multinucleated giant cells specialized in ingesting complement-opsonized large particles. Also prevents the fusion of mononuclear cell progenitors into osteoclasts in charge of bone resorption. May regulate the compartmentalization of enzymatic activities. In T cells, defines the subcellular localization of dNTPase SAMHD1 and permits its degradation by the proteasome, thereby controlling intracellular dNTP levels. Also involved in cell adhesion and motility. Positively regulates integrin-mediated adhesion of macrophages, particularly relevant for the inflammatory response in the lung.; (Microbial infection) Acts as a receptor for hepatitis C virus (HCV) in hepatocytes. Association with CLDN1 and the CLDN1-CD81 receptor complex is essential for HCV entry into host cell.; (Microbial infection) Involved in SAMHD1-dependent restriction of HIV-1 replication. May support early replication of both R5- and X4-tropic HIV-1 viruses in T cells, likely via proteasome-dependent degradation of SAMHD1.; (Microbial infection) Specifically required for Plasmodium falciparum infectivity of hepatocytes, controlling sporozoite entry into hepatocytes via the parasitophorous vacuole and subsequent parasite differentiation to exoerythrocytic forms.
-
基因功能參考文獻:
- CD81 might be a potential prognostic biomarker associated with poor patient prognosis in breast cancer. PMID: 30117494
- Tetraspanin hCD81 backbone domains are critical to signal for productive Hepatitis C Virus entry. A cholesterol-coordinating glutamate residue in CD81 promotes HCV infection. The backbone domains of hCD81 are additional HCV susceptibility-determining factors. PMID: 29677132
- results demonstrate that the interaction of CD81 with SAMHD1 controls the metabolic rate of HIV-1 replication by tuning the availability of building blocks for reverse transcription, namely dNTPs.Together with its role in HIV-1 entry and budding into host cells, the data indicate that HIV-1 uses CD81 as a rheostat that controls different stages of the infection PMID: 28871089
- CD81 is preferentially expressed in first trimester human placentas and progressively down-regulated with gestation advance in normal physiological conditions. CD81 up-regulation is detected in trophoblasts and cells in the villous core, and maternal sera of patients with early-onset severe preeclampsia. PMID: 28167787
- CD81 cell surface expression had a negative impact on survival in acute myeloid leukemia. PMID: 27566555
- Results from crystallography and molecular dynamics of CD81 long-extracellular loop (LEL) show that its flexibility is an inherent molecular property likely to be tuned by variation in pH and redox conditions. This tuning mechanism would explain the priming role ascribed to CD81LEL in rendering the virus-receptor complex fusogenic during cell entry. PMID: 27916518
- Free energy calculations indicated that the E2/CD81 binding process might follow a two-step model involving (i) the electrostatic interaction-driven initial binding of human-specific E2-site2, followed by (ii) changes in the E2 orientation to facilitate the hydrophobic and van der Waals interaction-driven binding of E2-site1 PMID: 28481946
- A new link between HCV receptor molecules and the hepatocyte glycocalyx, namely, CD81 and Synd-1. PMID: 27930836
- Study used molecular dynamics simulations to gain insights into the role of local conformational flexibility in nanodomain formation in the plasma membrane, using the tetraspanin molecule CD81 as a model; suggest that exposing a flexible domain of CD81 enables binding to interaction partners by circumventing the restriction of orientation and conformational freedom of membrane proteins PMID: 27276264
- Studies have shown that CD81 regulates cell migration and invasion, and has therefore been implicated in tumor growth, cancer progression and metastasis. CD81 is expressed in most types of cancer, and the overexpression or down-regulation of this molecule has been correlated with either good or bad prognosis. [review] PMID: 28408492
- The transmembrane segments of CD81 pack as two largely separated pairs of helices, capped by the large extracellular loop (EC2) at the outer membrane leaflet. The two pairs of helices converge at the inner leaflet to create an intramembrane pocket with additional electron density corresponding to a bound cholesterol molecule within the cavity. PMID: 27881302
- Results suggest that the CD81 antigen (CD81) expressed by B cells has differential effects on B cell proliferation or apoptosis according to Epstein-Barr virus (EBV) infection and the expression level of CD81. PMID: 26498453
- CD81 expression was lower in systemic sclerosis patients compared to controls independent of disease duration. PMID: 26926492
- IFI6 inhibits HCV entry by impairing EGFR mediated CD81/CLDN1 interactions. This may be relevant to other virus entry processes employing EGFR. PMID: 25757571
- Data suggest that the intramolecular 188-196 bond restricts the intrinsic conformational dynamics of D-helix of cluster of differentiation 81 (CD81)-large extracellular loop (LEL), which is essential for hepatitis C virus entry. PMID: 26116703
- LDLR was not required for the degradation of CD81 by PCSK9, but its presence strengthened the PCSK9 effect. PMID: 26195630
- These data revealed the crucial role played by His490 and His621 in hepatitis C virus infection, particularly during CD81 binding in cell entry. PMID: 25701820
- findings suggest that homozygous CD81 rs708564 TT may be a genetic modifier for avoiding HCV infection whether as a sole single nucleotide polymorphism or combined with the CLDN1 rs893051 GG genotype PMID: 25934191
- Hsp70/40 stimulated the association of Hsp104 with aggregates and increased the duration of this association PMID: 25635054
- Data indicate that HIV-1 colocalizes with CD81 antigen-lined vesicle compartments in astrocytes. PMID: 24587404
- Vpu-mediated downregulation of CD81 from the surfaces of infected T cells contributed to preserving the infectiousness of viral particles. PMID: 25568205
- The data suggest an important role played by the W(437)LAGLF(442) helix of the hepatitis C virus E2 protein in the hydrophobic interaction with the D-helix of CD81. PMID: 25339761
- We have developed infectious pseudo particles of local 3a-isolate and concluded that a number of liver-specific surface proteins function along with CD81 and SRBI receptor regarding HCV infectivity PMID: 24549717
- Amino acids Y507, V514, and V515 of hepatitis C virus E2 contribute to interaction with HCV receptor CD81. PMID: 24990994
- CLEC4M and CD81 both are still crucial for hepatitis C virus entry into hepatocytes. PMID: 24965233
- Authors show enhanced hepatoma migration and invasion following expression of CD81 and a reduction in invasive potential upon CD81 silencing. PMID: 24662676
- These results strongly suggest that CD81 stimulates melanoma cell motility by inducing MT1-MMP expression through the Akt-dependent Sp1 activation signaling pathway, leading to increased melanoma invasion and metastasis. PMID: 24733393
- study reported on seven CD81 SNP's present in human populations that all facilitate HCV entry in vitro PMID: 24211330
- The large extracellular loop (LEL) of CD81 is a molecule that is highly conserved and it was hypothesised that variation in the CD81 LEL sequence may modify susceptibility to HCV infection; no differences in nucleotide sequence influencing susceptibility to, or outcome of hepatitis C virus infection or evidence of methylation of the gene were found. PMID: 24122777
- Radiation increases the cellular uptake of exosomes through CD29/CD81 complex formation. PMID: 24667602
- results demonstrate important roles of CD81 in both entry and budding stages of the influenza infection cycle. PMID: 24130495
- A specific association between alpha4beta1 and CD81, CD82 and CD151 was demonstrated and antibodies to CD81 and CD82 augmented adhesion of proerythroblasts to Vascular Cell Adhesion Molecule-1. PMID: 23704882
- Authors demonstrated that EWI-2wint promotes CD81 clustering and confinement in CD81-enriched areas. PMID: 23351194
- Two SNPs in the CD81 gene, that encodes the molecule involved in the signal modulation of B lymphocytes, show a strong association with alloimmunization in sickle cell disease. PMID: 23762099
- CD81 interacts with ICAM-1 and CD3 during conjugation between T cells and antigen-presenting cells PMID: 23858057
- HRas signal transduction promotes hepatitis C virus cell entry by triggering the host CD81-CLDN1 complex formation. PMID: 23498955
- Data indicate frequent down-regulation of CD81 expression in gastric cancer cell lines and primary tumor tissues. PMID: 23264205
- In summary, these data highlight the dynamic nature of CD81 and demonstrate a role for CD81 lateral diffusion to regulate hepatitis C virus infection in a polarization-dependent manner. PMID: 23126643
- Interaction of Rac1 with the C-terminal cytoplasmic domain of CD81 is a novel regulatory mechanism of the GTPase activity turnover. PMID: 23264468
- These findings together indicate that the HCV RNA replication status plays a crucial determinant in HCV growth by modulating the expression and intracellular localization of CD81. PMID: 23349980
- CD81 interacts with the T cell receptor to suppress signaling. PMID: 23226274
- Fluorescent Resonance Energy Transfer studies confirm a role for these CD81 residues in claudin-1 association and Hepatitis C virus infection. PMID: 22897233
- data demonstrate that EGFR internalization is critical for hepatitis C virus entry and identify a hitherto-unknown association between CD81 and EGFR PMID: 22855500
- our results show that CD81 may have a relevant role in MM pathogenesis and represent a novel adverse prognostic marker in myeloma. PMID: 22333880
- A novel membrane binding interface was revealed adjacent to the exposed HCV interaction site in the extracellular loop of CD81. PMID: 22740401
- These results suggest that palmitoylation of CD81 should facilitate hepatitis C virus entry, at least in part, by regulating the association of CD81 with tetraspanin-enriched microdomains. PMID: 22560863
- Soluble serum CD81 is elevated in patients with chronic hepatitis C and correlates with alanine aminotransferase serum activity. PMID: 22355327
- Heptatitis c virus (HCV) specific E2 and host CD81 antibodies reduce HCV pseudoparticle entry. PMID: 22074322
- Hepatitis C virus is primed by CD81 protein for low pH-dependent fusion PMID: 21737455
- CD81 is required for the formation of actin membrane protrusions via RAC1 activation in adhesion-dependent immune cell migration. PMID: 21677313
顯示更多
收起更多
-
相關疾病:Immunodeficiency, common variable, 6 (CVID6)
-
亞細胞定位:Cell membrane; Multi-pass membrane protein. Basolateral cell membrane; Multi-pass membrane protein.
-
蛋白家族:Tetraspanin (TM4SF) family
-
組織特異性:Expressed on B cells (at protein level). Expressed in hepatocytes (at protein level). Expressed in monocytes/macrophages (at protein level). Expressed on both naive and memory CD4-positive T cells (at protein level).
-
數據庫鏈接:
Most popular with customers
-
-
YWHAB Recombinant Monoclonal Antibody
Applications: ELISA, WB, IHC, IF, FC
Species Reactivity: Human, Mouse, Rat
-
Phospho-YAP1 (S127) Recombinant Monoclonal Antibody
Applications: ELISA, WB, IHC
Species Reactivity: Human
-
-
-
-
-















