ADORA1 Recombinant Monoclonal Antibody
-
中文名稱:ADORA1重組抗體
-
貨號:CSB-RA224168A0HU
-
規格:¥1320
-
圖片:
-
Western Blot
Positive WB detected in: A549 whole cell lysate, 293 whole cell lysate, U87 whole cell lysate
All lanes: ADORA1 antibody at 1:2000
Secondary
Goat polyclonal to rabbit IgG at 1/50000 dilution
Predicted band size: 37, 14 kDa
Observed band size: 37 kDa -
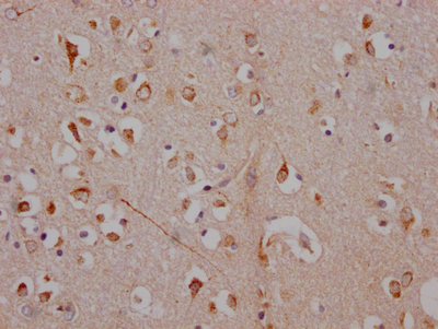
IHC image of CSB-RA224168A0HU diluted at 1:100 and staining in paraffin-embedded human brain tissue performed on a Leica BondTM system. After dewaxing and hydration, antigen retrieval was mediated by high pressure in a citrate buffer (pH 6.0). Section was blocked with 10% normal goat serum 30min at RT. Then primary antibody (1% BSA) was incubated at 4℃ overnight. The primary is detected by a Goat anti-rabbit IgG polymer labeled by HRP and visualized using 0.05% DAB.
-
-
其他:
產品詳情
-
產品描述:CSB-RA224168A0HU ADORA1重組單克隆抗體是針對腺苷A1受體(ADORA1)研發的高特異性檢測工具。該G蛋白偶聯受體廣泛分布于中樞神經系統及外周器官,通過介導腺苷信號參與神經調控、心血管穩態維持和炎癥反應等生理病理過程。本抗體經多平臺驗證顯示卓越性能:在Western blot實驗中能特異性識別天然及重組ADORA1蛋白,呈現單一清晰條帶;免疫組化檢測可實現組織樣本的精準定位,有效呈現受體在特定細胞類型中的分布特征;同時具備ELISA檢測所需的高親和力。優化的稀釋方案(WB 1:500-1:5000;IHC 1:50-1:200)為研究者提供靈活的實驗選擇,嚴格的質量控制確保批次間穩定性。適用于探究腺苷信號通路在神經退行性疾病、心肌保護機制、代謝調控及免疫微環境調節等領域的作用機制,可支持基礎研究中的蛋白表達分析、組織定位研究及分子互作實驗,為相關信號轉導研究提供可靠工具。
-
Uniprot No.:
-
基因名:
-
別名:ADORA1; Adenosine receptor A1
-
反應種屬:Human
-
免疫原:A synthesized peptide derived from human ADORA1
-
免疫原種屬:Homo sapiens (Human)
-
標記方式:Non-conjugated
-
克隆類型:Monoclonal
-
抗體亞型:Rabbit IgG
-
純化方式:Affinity-chromatography
-
克隆號:10D12
-
濃度:It differs from different batches. Please contact us to confirm it.
-
保存緩沖液:Rabbit IgG in 10mM phosphate buffered saline , pH 7.4, 150mM sodium chloride, 0.05% BSA, 0.02% sodium azide and 50% glycerol.
-
產品提供形式:Liquid
-
應用范圍:ELISA, WB, IHC
-
推薦稀釋比:
Application Recommended Dilution WB 1:500-1:5000 IHC 1:50-1:200 -
Protocols:
-
儲存條件:Upon receipt, store at -20°C or -80°C. Avoid repeated freeze.
-
貨期:Basically, we can dispatch the products out in 1-3 working days after receiving your orders. Delivery time maybe differs from different purchasing way or location, please kindly consult your local distributors for specific delivery time.
-
用途:For Research Use Only. Not for use in diagnostic or therapeutic procedures.
相關產品
靶點詳情
-
功能:Receptor for adenosine. The activity of this receptor is mediated by G proteins which inhibit adenylyl cyclase.
-
基因功能參考文獻:
- ADORA1 is not a common risk factor or causal gene for Parkinson's disease or dementia with Lewy bodies in the European population PMID: 27987235
- monocyte-derived macrophages from ankylosing spondylitis patients expressed increased levels of A2AAR and reduced levels of A1 and A2BAR compared to healthy controls PMID: 29524036
- studies revealed individual trait characteristics for being either vulnerable or resilient to both alcohol and to sleep deprivation. Both interventions induce gradual increases in cerebral A1AR availability, pointing to a potential common molecular response mechanism. PMID: 30012607
- Data suggested that adenosine A1 receptor might potentiate glycinergic transmission through Galphai/PKA/alpha3 and Gbetagamma/alpha1ins pathways in inflamed rat. PMID: 28882563
- Elevated A1 adenosine receptor is associated with sleep deprivation. PMID: 28373571
- Mutation in ADORA1 may be associated with early-onset parkinsonism and cognitive dysfunction. PMID: 27134041
- Inhibition of cholinergic neurotransmission by beta3-adrenoceptors results from adenosine release via equilibrative nucleoside transporters and prejunctional A1-receptor stimulation in urinary bladder. PMID: 28446460
- This study showed that increased neuronal A1R expression in Rasmussen Encephalitis may be involved in prevention of seizures spread and seizures-induced damage, limitation of both seizures and inflammation atrophy in 1 cerebral hemisphere. PMID: 28789481
- A1R signaling enhances A2AR-mediated neurodegeneration [review] PMID: 28441750
- Mutational and computational analysis of A1-AR revealed a distinct conformation of the second extracellular loop and a wider extracellular cavity with a secondary binding pocket that can accommodate orthosteric and allosteric ligands. PMID: 28235198
- second extracellular loop is a key allosteric ligand-binding determinant. PMID: 27683013
- this study highlights a key role for extracellular loop 2 in A1AR orthosteric ligand binding and receptor activation. PMID: 27683014
- Dysregulation in ADORA1/ADORA2A expression was associated with glioma development. PMID: 27038930
- A1R mRNA levels and A1R density in PBMCs from idiopathic normal-pressure hydrocephalus patients were significantly lower than control subjects PMID: 26810542
- Its central activation could be and approach to achieving a shifted homeostasis in which physiology is downregulated to a homeostatically-regulated, stable hypometabolic state. (review) PMID: 27333659
- In postmortem human prefrontal cortex, adenosine A1 receptor is coupled preferentially, if not exclusively, to Galphai-3. PMID: 26213104
- Results show that ADORA1 rs2228079 and ADORA2A rs5751876 polymorphisms are associated with the risk of Gilles de la Tourette Syndrome, co-morbid disorders, and may affect the age of tics onset in Polish population. PMID: 26317759
- It has the intrinsic ability to form a heteromeric complex with metabotropic glutamate receptor type 1 and mutually modulate signaling. PMID: 26154847
- Paeoniflorin promotes the survival of cultured cortical neurons by increasing Akt and ERK1/2 phosphorylation via A1R-mediated transactivation of EGFR. PMID: 25661317
- Adenosine A1 receptor activation increases ENT1 activity via protein kinase C. PMID: 25725289
- This study revealed variation of regional A1AR availability associated with ADORA1 and particularly ADORA2A SNPs, several of which had previously been shown to be associated with increased anxiety and panic disorder. PMID: 24943643
- Stimulation of A1AR and A2BAR had a prominent anti-proliferative/pro-apoptotic effect on the glioblastoma stem cells. PMID: 25429616
- Results document that endogenously formed adenosine can chaperone its cognate A1 receptor. PMID: 25354767
- Results suggest that the anti-cancer effect of Omega-3 polyunsaturated fatty acids (Omega-3 PUFAs) on gastric cancer is at least partly dependent on activating the ADORA1-mediated apoptosis pathway. PMID: 24896321
- regulation of GABA uptake occurs via modulation of the GABA transporters by the adenosine A1 (A1R) and A2A (A2AR) receptors PMID: 23657626
- Induction of renal proximal tubular IL-11 is a critical intermediary in A1 adenosine receptor-mediated renal protection against acute ischemic kidney injury. PMID: 23813214
- Adenosine regulates bone metabolism via A1, A2A, and A2B receptors. PMID: 23682121
- Imiquimod suppresses propagation of herpes simplex virus 1 by upregulation of cystatin A via the adenosine receptor A1 pathway PMID: 22787201
- A1/A2 adenosine receptor activation does not directly contribute to cutaneous active vasodilatation. PMID: 22356216
- A(1) and A(2B)ARs could be potential biomarkers able to provide an early indication of SA risk and their stimulation may turn out to improve fetoplacental perfusion by increasing vascular endothelial growth factor (VEGF) and nitric oxide (NO). PMID: 22867902
- In patients with stable angina ADORA1 agonist capadenoson lowers exercise heart at comparable maximum workload, which is associated with improved total exercise time and prolongation of time to ischaemia. PMID: 22370739
- Results indicate a role for adenosine receptor A1 and A2A gene polymorphisms in susceptibility to apnoea of prematurity and bronchopulmonary dysplasia and in interindividual variability to caffeine response. PMID: 22462821
- Data suggest that expression of ADORA1 is too low to play a major role in regulation of lipogenic gene expression in hepatocytes; studies include investigation of gene expression under influence of ADORA1 agonists. PMID: 22449383
- data show that expression of A1Rs induced adipocyte differentiation, whereas A2bR expression inhibited adipogenesis and stimulated an osteoblastic phenotype PMID: 21730968
- AMP and a non-hydrolyzable AMP analog (deoxyadenosine 5'-monophosphonate, ACP) directly activated the adenosine A(1) receptor PMID: 22215671
- Inhibition of human mast cell activation would be a mechanism for A AR antagonists, but not A(2B) AR antagonists. PMID: 21506953
- Adenosine receptor expression and activation during the differentiation of mesenchymal stem cell to osteoblasts and adipocytes, was investigated. PMID: 21590734
- two genes involved in cardiovascular diseases, ADORA1 and PTGDS, were differentially up-regulated in epicardial adipose tissue compared to mediastinal and subcutaneous adipose tissue PMID: 21603615
- Data suggest that adenosine deficiency may be relevant to human epilepsy and that a ketogenic diet can reduce seizures by increasing adenosine A1 receptor-mediated inhibition. PMID: 21701065
- ADORA1 was expressed in nucleus, perinucleus and cytoplasm of retinal pigment epithelium. PMID: 21542986
- report implicating genetic variability in the A1AR with post-traumatic seizures. PMID: 20609566
- LUF5834 represents a novel high affinity radioligand for the A(1)R and may prove a useful tool to provide estimates of inverse agonist efficacy at this receptor. PMID: 20599769
- results suggest that adenosine-mediated signaling in the heart requires a balance between A(1)- and A(2A)-receptors PMID: 20354569
- Report fluorescence-based techniques, and in particular the development of fluorescent ligands, so study pharmacology of the adenosine A1 receptor. PMID: 20105183
- Findings suggest that the adenosine A1 (and possibly coordinated with A2a) receptors contribute to dendritic cell differentiation and survival. PMID: 20085598
- Studies indicate that adenosine mediates its actions by means of activation of specifiic G protein-coupled receptors, for which 4 subbtypes: A1R, A2AR, A2BR and A3R have been identified so far. PMID: 19883624
- Adenosine, thus, suppresses CW2 human colonic cancer growth by inducing apoptosis as mediated via A(1) adenosine receptors. PMID: 19822392
- Data suggest that adenosine receptor modulation may be useful for refining the use of chemotherapeutic drugs to treat human cancer more effectively. PMID: 19794965
- ADORA1 polymorphisms may represent good candidate markers for schizophrenia research and ADORA1 may be involved in the pathophysiological mechanisms of schizophrenia in Japanese populations PMID: 19820430
- Human A1 adenosine receptor overexpressed in adipose tissue of transgenic mice protects them from obesity-related insulin resistance. PMID: 11703426
顯示更多
收起更多
-
亞細胞定位:Cell membrane; Multi-pass membrane protein.
-
蛋白家族:G-protein coupled receptor 1 family
-
數據庫鏈接:
Most popular with customers
-
YWHAB Recombinant Monoclonal Antibody
Applications: ELISA, WB, IHC, IF, FC
Species Reactivity: Human, Mouse, Rat
-
Phospho-YAP1 (S127) Recombinant Monoclonal Antibody
Applications: ELISA, WB, IHC
Species Reactivity: Human
-
-
-
-
-
-















