THOC1 Recombinant Monoclonal Antibody
-
中文名稱:THOC1 Recombinant Monoclonal Antibody
-
貨號:CSB-RA249394A0HU
-
規格:¥1320
-
圖片:
-
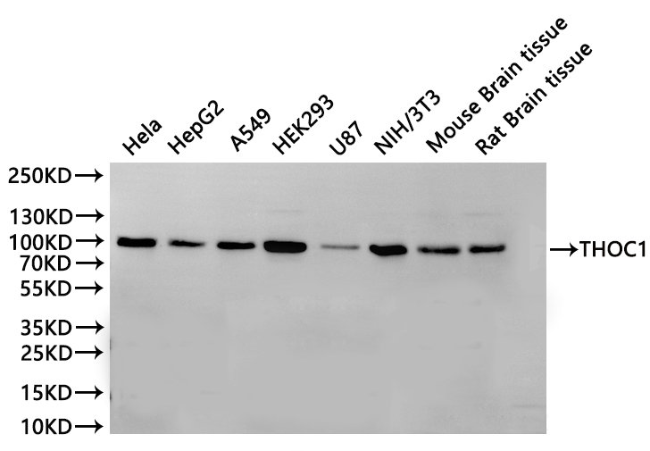
Western Blot
Positive WB detected in: Hela whole cell lysate(30μg), HepG2 whole cell lysate(30μg), A549 whole cell lysate(30μg), HEK293 whole cell lysate(30μg), U-87MG whole cell lysate(30μg), NIH/3T3 whole cell lysate(30μg), Mouse brain tissue lysate(30μg), Rat brain tissue lysate(30μg)
All lanes: THOC1 antibody at 1:1000
Secondary
Goat polyclonal to rabbit IgG at 1/40000 dilution
Predicted band size: 76 kDa
Observed band size: 100 kDa
Exposure time:2min -
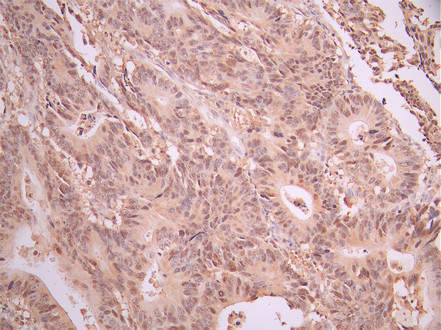
IHC image of CSB-RA249394A0HU diluted at 1:100 and staining in paraffin-embedded human colorectal cancer performed on a Leica BondTM system. After dewaxing and hydration, antigen retrieval was mediated by high pressure in a citrate buffer (pH 6.0). Section was blocked with 10% normal goat serum 30min at RT. Then primary antibody (1% BSA) was incubated at 4°C overnight. The primary is detected by a Goat anti-rabbit polymer IgG labeled by HRP and visualized using 0.05% DAB.
-
Overlay Peak curve showing Hela cells stained with CSB-RA249394A0HU (red line) at 1:100. The cells were fixed in 4% formaldehyde and permeated by 0.2% TritonX-100 for 10min. Then 10% normal goat serum to block non-specific protein-protein interactions followed by the antibody (1ug/1*106cells) for 45min at 4℃. The secondary antibody used was FITC-conjugated goat anti-rabbit IgG (H+L) at 1/200 dilution for 35min at 4℃.Control antibody (green line) was Rabbit IgG (1ug/1*106cells) used under the same conditions. Acquisition of >10, 000 events was performed.
-
-
其他:
產品詳情
-
Uniprot No.:
-
基因名:THOC1
-
別名:hTREX84 antibody; Death domain containing protein p84N5 antibody; HPR 1 antibody; HPR1 antibody; hTREX84 antibody; Nuclear matrix protein p84 antibody; P84 antibody; p84N5 antibody; Tho 1 antibody; THO complex 1 antibody; THO complex subunit 1 antibody; Tho1 antibody; THOC 1 antibody; Thoc1 antibody; THOC1_HUMAN antibody
-
反應種屬:Human, Mouse, Rat
-
免疫原:A synthesized peptide from human THOC1 protein
-
免疫原種屬:Homo sapiens (Human)
-
標記方式:Non-conjugated
-
克隆類型:Monoclonal
-
抗體亞型:Rabbit IgG
-
純化方式:Affinity-chromatography
-
克隆號:10E1
-
濃度:It differs from different batches. Please contact us to confirm it.
-
保存緩沖液:Rabbit IgG in 10mM phosphate buffered saline , pH 7.4, 150mM sodium chloride, 0.05% BSA, 0.02% sodium azide and 50% glycerol.
-
產品提供形式:Liquid
-
應用范圍:ELISA, WB, IHC, FC
-
推薦稀釋比:
Application Recommended Dilution WB 1:500-1:5000 IHC 1:50-1:200 FC 1:50-1:200 -
Protocols:
-
儲存條件:Upon receipt, store at -20°C or -80°C. Avoid repeated freeze.
-
貨期:Basically, we can dispatch the products out in 1-3 working days after receiving your orders. Delivery time maybe differs from different purchasing way or location, please kindly consult your local distributors for specific delivery time.
-
用途:For Research Use Only. Not for use in diagnostic or therapeutic procedures.
相關產品
靶點詳情
-
功能:Required for efficient export of polyadenylated RNA. Acts as component of the THO subcomplex of the TREX complex which is thought to couple mRNA transcription, processing and nuclear export, and which specifically associates with spliced mRNA and not with unspliced pre-mRNA. TREX is recruited to spliced mRNAs by a transcription-independent mechanism, binds to mRNA upstream of the exon-junction complex (EJC) and is recruited in a splicing- and cap-dependent manner to a region near the 5' end of the mRNA where it functions in mRNA export to the cytoplasm via the TAP/NFX1 pathway. The TREX complex is essential for the export of Kaposi's sarcoma-associated herpesvirus (KSHV) intronless mRNAs and infectious virus production. Regulates transcriptional elongation of a subset of genes. Involved in genome stability by preventing co-transcriptional R-loop formation.; Participates in an apoptotic pathway which is characterized by activation of caspase-6, increases in the expression of BAK1 and BCL2L1 and activation of NF-kappa-B. This pathway does not require p53/TP53, nor does the presence of p53/TP53 affect the efficiency of cell killing. Activates a G2/M cell cycle checkpoint prior to the onset of apoptosis. Apoptosis is inhibited by association with RB1.
-
基因功能參考文獻:
- THO interacts with the Sin3A histone deacetylase complex to suppress co-transcriptional R-loops, DNA damage, and replication impairment. Functional analyses show that histone hypo-acetylation prevents accumulation of harmful R-loops and RNA-mediated genomic instability. PMID: 29074626
- Colorectal cancer patients with high levels of Thoc1 expression had poorer overall-survival and disease-free survival, whereas those with lower levels of Thoc1 expression survived longer. PMID: 26545775
- In humans, high THOC1 protein expression associates with prostate cancer aggressiveness and recurrence. Thus, THOC1 protein is a molecular marker that may improve the identification of aggressive prostate cancers, potentially reducing overtreatment. PMID: 25296641
- Thoc1 inhibits cell growth via induction of cell cycle arrest and apoptosis in lung cancer cells. PMID: 24682263
- This suggests NEDD4-1 functions in conjunction with other post-translational mechanisms to regulate Thoc1 protein and THO activity. PMID: 23460917
- overexpression of hTREX84 is associated with cancer cell transformation, proliferation and may be regulated by RelA/p65 PMID: 22952718
- We show that human THO depletion impairs transcription elongation and mRNA export and increases instability associated with DNA breaks, leading to hyper-recombination and gammaH2AX and 53BP1 foci accumulation PMID: 22144908
- A differential connection between tumorogenesis and the expression levels of human THO and ALY. PMID: 21329510
- hHpr1/p84/Thoc1 regulates transcriptional elongation and may participate in a protein complex functionally analogous to yeast TREX, physically linking elongating RNA polymerase II with RNA processing factors PMID: 15870275
- recruitment of the human TREX complex to spliced mRNA is not directly coupled to transcription, but is instead coupled to transcription indirectly through splicing PMID: 15998806
- Thoc1 may be important for neoplastic transformation PMID: 17638875
- Cells respond to AAV infection by activating two DNA damage signaling cascades. The first activates the p84N5 protein, which in turn activates caspase-6, leading to cell death. PMID: 17699767
- elevated expression of hHpr1/p84/Thoc1 is common in NSCLC and may have prognostic significance in subgroups of patients PMID: 18469354
顯示更多
收起更多
-
亞細胞定位:[Isoform 1]: Nucleus speckle. Nucleus, nucleoplasm. Nucleus matrix. Cytoplasm. Note=Can shuttle between the nucleus and cytoplasm. Nuclear localization is required for induction of apoptotic cell death. Translocates to the cytoplasm during the early phase of apoptosis execution.; [Isoform 2]: Cytoplasm.
-
組織特異性:Ubiquitous. Expressed in various cancer cell lines. Expressed at very low levels in normal breast epithelial cells and highly expressed in breast tumors. Expression is strongly associated with an aggressive phenotype of breast tumors and expression correl
-
數據庫鏈接:
Most popular with customers
-
YWHAB Recombinant Monoclonal Antibody
Applications: ELISA, WB, IHC, IF, FC
Species Reactivity: Human, Mouse, Rat
-
Phospho-YAP1 (S127) Recombinant Monoclonal Antibody
Applications: ELISA, WB, IHC
Species Reactivity: Human
-
-
-
-
-
-















