STX16 Recombinant Monoclonal Antibody
-
中文名稱:STX16 Recombinant Monoclonal Antibody
-
貨號:CSB-RA027547A0HU
-
規格:¥1320
-
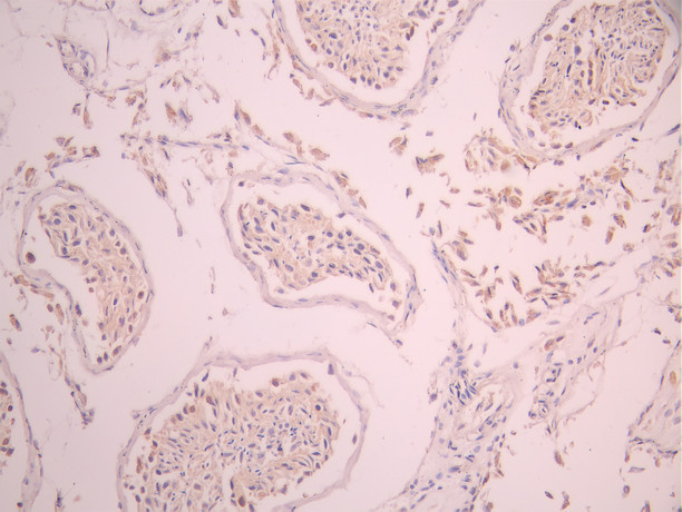
圖片:
-
IHC image of CSB-RA027547A0HU diluted at 1:100 and staining in paraffin-embedded human testis tissue performed on a Leica BondTM system. After dewaxing and hydration, antigen retrieval was mediated by high pressure in a citrate buffer (pH 6.0). Section was blocked with 10% normal goat serum 30min at RT. Then primary antibody (1% BSA) was incubated at 4°C overnight. The primary is detected by a Goat anti-rabbit polymer IgG labeled by HRP and visualized using 0.05% DAB.
-
-
其他:
產品詳情
-
Uniprot No.:
-
基因名:STX16
-
別名:hsyn16 antibody; MGC90328 antibody; Stx16 antibody; STX16_HUMAN antibody; Syn16 antibody; Syntaxin-16 antibody
-
反應種屬:Human
-
免疫原:A synthesized peptide from human STX16 protein
-
免疫原種屬:Homo sapiens (Human)
-
標記方式:Non-conjugated
-
克隆類型:Monoclonal
-
抗體亞型:Rabbit IgG
-
純化方式:Affinity-chromatography
-
克隆號:17B11
-
濃度:It differs from different batches. Please contact us to confirm it.
-
保存緩沖液:Rabbit IgG in 10mM phosphate buffered saline , pH 7.4, 150mM sodium chloride, 0.05% BSA, 0.02% sodium azide and 50% glycerol.
-
產品提供形式:Liquid
-
應用范圍:ELISA, IHC
-
推薦稀釋比:
Application Recommended Dilution IHC 1:50-1:200 -
Protocols:
-
儲存條件:Upon receipt, store at -20°C or -80°C. Avoid repeated freeze.
-
貨期:Basically, we can dispatch the products out in 1-3 working days after receiving your orders. Delivery time maybe differs from different purchasing way or location, please kindly consult your local distributors for specific delivery time.
-
用途:For Research Use Only. Not for use in diagnostic or therapeutic procedures.
相關產品
靶點詳情
-
功能:SNARE involved in vesicular transport from the late endosomes to the trans-Golgi network.
-
基因功能參考文獻:
- we here present a patient with PHP1b caused by a recurrent STX16 deletion, presenting with macrosomia, early onset obesity, and macrocephaly without other AHO symptoms. we reemphasize STX16 deletions and PHP1b as a rare cause for early onset obesity and macrosomia. PMID: 27338644
- STX16 microdeletion was identified in male monozygotic twins (with pseudohypoparathyroidism type 1B leading to growth hormone deficiency) and mother/grandmother (not father/grandfather or sister [their triplet with separate placenta]). [CASE STUDY] PMID: 25843330
- syntaxin 16 is a key regulator of cytokinesis. PMID: 24109596
- A patient with familial pseudohypoparathyroidism type Ib and his asymptomatic brother were found to have methylation defect at GNAS (guanine nucleotide-binding protein G) and microdeletion involving exons 4-6 of neighboring gene STX16. [CASE REPORT] PMID: 23095209
- De novo 3-kb STX16 deletions, reported only once previously, are infrequent but should be excluded in all cases of Pseudohypoparathyroidism-Ib, even when the family history is negative for an inherited form of this disorder. PMID: 23087324
- Results suggest that STX16 mediates recycling of CFTR and constitutes an important component of CFTR trafficking machinery in intestinal epithelial cells. PMID: 20826815
- the region of overlap between the two microdeletions likely harbors a cis-acting imprinting control element that is necessary for establishing and methylation at GNAS exon A/B, thus allowing normal G alpha(s) expression in the proximal renal tubules. I PMID: 15800843
- function of syntaxin 16 was specifically required for, and restricted to, the retrograde pathway PMID: 17389686
- Syntaxin 16 may thus play a role in neurite outgrowth and perhaps other specific dendritic anterograde/retrograde traffic. PMID: 17852734
- phosphorylation of RASSF1A by Aurora B is required for the recruitment of Syntaxin16 PMID: 19887622
顯示更多
收起更多
-
相關疾病:Pseudohypoparathyroidism 1B (PHP1B)
-
亞細胞定位:Golgi apparatus membrane; Single-pass type IV membrane protein.; [Isoform C]: Cytoplasm.
-
蛋白家族:Syntaxin family
-
組織特異性:Ubiquitous.
-
數據庫鏈接:
Most popular with customers
-
-
YWHAB Recombinant Monoclonal Antibody
Applications: ELISA, WB, IHC, IF, FC
Species Reactivity: Human, Mouse, Rat
-
Phospho-YAP1 (S127) Recombinant Monoclonal Antibody
Applications: ELISA, WB, IHC
Species Reactivity: Human
-
-
-
-
-















