SNTA1 Recombinant Monoclonal Antibody
-
中文名稱:SNTA1 Recombinant Monoclonal Antibody
-
貨號:CSB-RA047353A0HU
-
規格:¥1320
-
圖片:
-
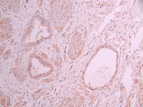
IHC image of CSB-RA047353A0HU diluted at 1:100 and staining in paraffin-embedded human cervical cancer performed on a Leica BondTM system. After dewaxing and hydration, antigen retrieval was mediated by high pressure in a citrate buffer (pH 6.0). Section was blocked with 10% normal goat serum 30min at RT. Then primary antibody (1% BSA) was incubated at 4°C overnight. The primary is detected by a Goat anti-rabbit polymer IgG labeled by HRP and visualized using 0.05% DAB.
-
Immunofluorescence staining of HepG2 cell with CSB-RA047353A0HU at 1:50, counter-stained with DAPI. The cells were fixed in 4% formaldehyde and blocked in 10% normal Goat Serum. The cells were then incubated with the antibody overnight at 4°C. The secondary antibody was Alexa Fluor 488-congugated AffiniPure Goat Anti-Rabbit IgG(H+L).
-
Overlay Peak curve showing PC-3 cells stained with CSB-RA047353A0HU (red line) at 1:100. The cells were fixed in 4% formaldehyde and permeated by 0.2% TritonX-100 for 10min. Then 10% normal goat serum to block non-specific protein-protein interactions followed by the antibody (1ug/1*106cells) for 45min at 4℃. The secondary antibody used was FITC-conjugated goat anti-rabbit IgG (H+L) at 1/200 dilution for 35min at 4℃.Control antibody (green line) was Rabbit IgG (1ug/1*106cells) used under the same conditions. Acquisition of >10,000 events was performed.
-
-
其他:
產品詳情
-
Uniprot No.:
-
基因名:SNTA1
-
別名:Alpha-1-syntrophin (59 kDa dystrophin-associated protein A1 acidic component 1) (Pro-TGF-alpha cytoplasmic domain-interacting protein 1) (TACIP1) (Syntrophin-1), SNTA1, SNT1
-
反應種屬:Human
-
免疫原:A synthesized peptide from human SNTA1 protein
-
免疫原種屬:Homo sapiens (Human)
-
標記方式:Non-conjugated
-
克隆類型:Monoclonal
-
抗體亞型:Rabbit IgG
-
純化方式:Affinity-chromatography
-
克隆號:1F3
-
濃度:It differs from different batches. Please contact us to confirm it.
-
保存緩沖液:Preservative: 0.03% Proclin 300
Constituents: 50% Glycerol, 0.01M PBS, PH 7.4 -
產品提供形式:Liquid
-
應用范圍:ELISA, IHC, IF, FC
-
推薦稀釋比:
Application Recommended Dilution IHC 1:50-1:200 IF 1:50-1:200 FC 1:50-1:200 -
Protocols:
-
儲存條件:Upon receipt, store at -20°C or -80°C. Avoid repeated freeze.
-
貨期:Basically, we can dispatch the products out in 1-3 working days after receiving your orders. Delivery time maybe differs from different purchasing way or location, please kindly consult your local distributors for specific delivery time.
-
用途:For Research Use Only. Not for use in diagnostic or therapeutic procedures.
相關產品
靶點詳情
-
功能:Adapter protein that binds to and probably organizes the subcellular localization of a variety of membrane proteins. May link various receptors to the actin cytoskeleton and the extracellular matrix via the dystrophin glycoprotein complex. Plays an important role in synapse formation and in the organization of UTRN and acetylcholine receptors at the neuromuscular synapse. Binds to phosphatidylinositol 4,5-bisphosphate.
-
基因功能參考文獻:
- not associated with sudden infant death syndrome PMID: 28520217
- Low SNTA expression is associated with non-alcoholic steatohepatitis but is unchanged in hepatocellular carcinoma. PMID: 28941732
- A novel SNTA1 variant is likely causative for drug induced long-QT syndrome by augmenting the late sodium current. PMID: 27028743
- In a nonreferred nationwide Danish cohort of SIDS cases, up to 5/66 (7.5%) of SIDS cases can be explained by genetic variants in the sodium channel complex genes. PMID: 25757662
- our results present a possible mechanism of Rac1 activation involving SNTA1 and emphasise its role in ROS generation, cell migration, and acquisition of malignancy. PMID: 24434436
- Ordered disorder of the astrocytic dystrophin-associated protein complex in the norm and pathology. PMID: 24014171
- alpha-Syntrophin, which resides in nuclei of myocytes, functions as the upstream mediator of nuclear nNOS translocation and nNOS-dependent mitochondrial biogenesis. PMID: 24235139
- Calcium homeostasis mishandling in Duchenne muscular dystrophy myotubes depends on store operated calcium entry under the influence alpha1-syntrophin regulation as well as TRPV2-dependant cation influx. PMID: 23426965
- The combined mutations of A261V-SNTA1 plus R800L-SCN5A increase the INa current late/peak ratio and time constants of current decay. PMID: 23376825
- In contrast to stomach, lung, colon and rectal cancers, SNTA1 protein was found to be downregulated in esophageal cancers and upregulated in breast cancer. PMID: 21091386
- alpha1D-adrenergic receptors are regulated by syntrophins through a PDZ domain-mediated interaction PMID: 16533813
- These results establish an SNTA1-based nNOS complex attached to SCN5A as a key regulator of sodium current and suggest that SNTA1 be considered a rare long QT syndrome-susceptibility gene. PMID: 18591664
- SNTA1 is a new susceptibility gene for LQTS. A257G-SNTA1 can cause gain-of-function of Na(v)1.5 similar to the LQT3. PMID: 19684871
- Alpha1-syntrophin mutations identified in sudden infant death syndrome cause an increase in late cardiac sodium current. PMID: 20009079
顯示更多
收起更多
-
相關疾?。?/div>Long QT syndrome 12 (LQT12)亞細胞定位:Cell membrane, sarcolemma; Peripheral membrane protein; Cytoplasmic side. Cell junction. Cytoplasm, cytoskeleton.蛋白家族:Syntrophin family組織特異性:High expression in skeletal muscle and heart. Low expression in brain, pancreas, liver, kidney and lung. Not detected in placenta.數據庫鏈接:
Most popular with customers
-
-
YWHAB Recombinant Monoclonal Antibody
Applications: ELISA, WB, IHC, IF, FC
Species Reactivity: Human, Mouse, Rat
-
Phospho-YAP1 (S127) Recombinant Monoclonal Antibody
Applications: ELISA, WB, IHC
Species Reactivity: Human
-
-
-
-
-















