SLC29A2 Recombinant Monoclonal Antibody
-
中文名稱:SLC29A2 Recombinant Monoclonal Antibody
-
貨號:CSB-RA262791A0HU
-
規格:¥1320
-
圖片:
-
IHC image of CSB-RA262791A0HU diluted at 1:100 and staining in paraffin-embedded human liver cancer performed on a Leica BondTM system. After dewaxing and hydration, antigen retrieval was mediated by high pressure in a citrate buffer (pH 6.0). Section was blocked with 10% normal goat serum 30min at RT. Then primary antibody (1% BSA) was incubated at 4°C overnight. The primary is detected by a Goat anti-rabbit polymer IgG labeled by HRP and visualized using 0.05% DAB.
-
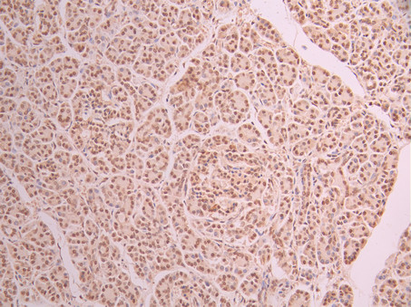
IHC image of CSB-RA262791A0HU diluted at 1:100 and staining in paraffin-embedded human pancreatic tissue performed on a Leica BondTM system. After dewaxing and hydration, antigen retrieval was mediated by high pressure in a citrate buffer (pH 6.0). Section was blocked with 10% normal goat serum 30min at RT. Then primary antibody (1% BSA) was incubated at 4°C overnight. The primary is detected by a Goat anti-rabbit polymer IgG labeled by HRP and visualized using 0.05% DAB.
-
Overlay Peak curve showing PC-3 cells stained with CSB-RA262791A0HU (red line) at 1:100. The cells were fixed in 4% formaldehyde and permeated by 0.2% TritonX-100 for 10min. Then 10% normal goat serum to block non-specific protein-protein interactions followed by the antibody (1ug/1*106cells) for 45min at 4℃. The secondary antibody used was FITC-conjugated goat anti-rabbit IgG (H+L) at 1/200 dilution for 35min at 4℃.Control antibody (green line) was Rabbit IgG (1ug/1*106cells) used under the same conditions. Acquisition of >10,000 events was performed.
-
-
其他:
產品詳情
-
Uniprot No.:
-
基因名:SLC29A2
-
別名:Equilibrative nucleoside transporter 2 (36 kDa nucleolar protein HNP36) (Delayed-early response protein 12) (Equilibrative nitrobenzylmercaptopurine riboside-insensitive nucleoside transporter) (Equilibrative NBMPR-insensitive nucleoside transporter) (Hydrophobic nucleolar protein, 36 kDa) (Nucleoside transporter, ei-type) (Solute carrier family 29 member 2), SLC29A2, DER12 ENT2 HNP36
-
反應種屬:Human
-
免疫原:A synthesized peptide from human SLC29A2 protein
-
免疫原種屬:Homo sapiens (Human)
-
標記方式:Non-conjugated
-
克隆類型:Monoclonal
-
抗體亞型:Rabbit IgG
-
純化方式:Affinity-chromatography
-
克隆號:6H4
-
濃度:It differs from different batches. Please contact us to confirm it.
-
保存緩沖液:Preservative: 0.03% Proclin 300
Constituents: 50% Glycerol, 0.01M PBS, PH 7.4 -
產品提供形式:Liquid
-
應用范圍:ELISA, IHC, FC
-
推薦稀釋比:
Application Recommended Dilution IHC 1:50-1:200 FC 1:50-1:200 -
Protocols:
-
儲存條件:Upon receipt, store at -20°C or -80°C. Avoid repeated freeze.
-
貨期:Basically, we can dispatch the products out in 1-3 working days after receiving your orders. Delivery time maybe differs from different purchasing way or location, please kindly consult your local distributors for specific delivery time.
-
用途:For Research Use Only. Not for use in diagnostic or therapeutic procedures.
相關產品
靶點詳情
-
功能:Mediates equilibrative transport of purine, pyrimidine nucleosides and the purine base hypoxanthine. Very less sensitive than SLC29A1 to inhibition by nitrobenzylthioinosine (NBMPR), dipyridamole, dilazep and draflazine.
-
基因功能參考文獻:
- two novel functional splice variants of equilibrative nucleoside transporter 2 (ENT2), which are present at the nuclear envelope, were identified. PMID: 27271752
- Results showed that both SLC29A1 and SLC29A2 were expressed at lower levels in colon cancer cell lines originating from metastatic sites than from primary sites. PMID: 28218790
- Direct evidence for apical localization of ENT1 and integral expression of ENT2 in intestinal epithelial cells. PMID: 27160886
- these findings reveal the transcriptional repression of ENT1,2 as an innate protective response during acute pulmonary inflammation. PMID: 23590299
- Data suggest that SLC29A2 is localized to apical membrane of adult Sertoli cells. In contrast, SLC29A1 is located on basolateral membrane of Sertoli cells; SLC29A1 is primarily responsible for basolateral nucleoside uptake into Sertoli cells. PMID: 23639800
- Data show that ENT1, ENT2, ENT4 and CNT3 protein was detected on ovarian carcinoma cells in all effusions, with expression observed in 1-95% of tumor cells. PMID: 21822668
- Studies show that ABCC4 and SLC29A2 expression were predictive of achieving CR, and the high expression of GSTP1 suggests that this may be a therapeutic target for relapsed AML. PMID: 21156465
- role in functional and molecular characterization of nucleobase transport PMID: 12006583
- hENT1 and hENT2 on the basolateral membrane function with concentrative nucleoside transporters on the apical membrane to mediate active reabsorption of nucleosides within the kidney. PMID: 12527552
- an analysis of function by site-directed glycosylation mutagenesis PMID: 12590919
- Equilibrative nucleoside transporters (hENT1, hENT2) together with adenosine kinase and 5'-nucleotidase play a crucial role in the regulation of CFTR through an adenosine-dependent pathway in human airway epithelia. PMID: 12820662
- Only a few endometrial carcinomas (15%) were found to be negative for hCNT1, but they all retained hENT1 and hENT2 expression. PMID: 15386342
- residue 33 resides in an extracellular domain as predicted by the current hENT2 topology model and suggested that it is a functionally important component of both the permeant and dipyridamole binding sites. PMID: 15644498
- the corresponding residues in TMs 1 and 11 of hENT1, hENT2, and CeENT1 are important for dipyridamole interactions and nucleoside transport. PMID: 15649894
- The low overall genetic diversity in SLC29A2 makes it unlikely that variation in the coding region contributes significantly to clinically observed differences in drug response. PMID: 16214850
- Data show that insulin restores glucose inhibition of adenosine transport by increasing the expression and activity of the equilibrative nucleoside transporter 2 in human umbilical vein endothelium. PMID: 16924660
- Human cardiac microvascular endothelial cells rely on ENT1 for nucleoside transport with little contribution from ENT2. PMID: 17921321
- These data suggest that selected genes of the SLC28 and SLC29 families are not only targets of HIV-1 infection, but might also contribute to the development of adipose tissue alterations leading to lipodystrophy. PMID: 17926640
- Report expression and hepatobiliary transport characteristics of ENT2 in sandwich-cultured human hepatocytes. PMID: 18635603
- hPMEC from pre-eclampsia exhibit increased total transport (hENT1+hENT2), and maximal velocity (Vmax) for hENT2- (2-fold), but reduced Vmax for hENT1-mediated adenosine transport PMID: 18703227
- correlation between the recently described p53-inducible apoptosis gene TIGAR and both sensitivity to fludarabine and hENT2 expression in chronic lymphocytic leukemia cells. PMID: 18945750
- This evidence suggested that apical CNT3 and basolateral ENT2 are involved in proximal tubular reabsorption of adenosine and some nucleoside drugs and that apical ENT1 is involved in proximal tubular secretion of 2'-deoxyadenosine. PMID: 19297449
- Functional nucleoside transporter in stable and transient transfection studies in mammalian cells. PMID: 9478986
顯示更多
收起更多
-
亞細胞定位:Basolateral cell membrane; Multi-pass membrane protein. Nucleus membrane; Multi-pass membrane protein. Note=Localized at the basolateral cell membrane in polarized MDCK cells.
-
蛋白家族:SLC29A/ENT transporter (TC 2.A.57) family
-
組織特異性:Expressed in skeletal muscle, liver, lung, placenta, brain, heart, kidney and ovarian tissues.
-
數據庫鏈接:
Most popular with customers
-
-
Phospho-YAP1 (S127) Recombinant Monoclonal Antibody
Applications: ELISA, WB, IHC
Species Reactivity: Human
-
-
-
-
-
-















