SATB2 Recombinant Monoclonal Antibody
-
中文名稱:SATB2 Recombinant Monoclonal Antibody
-
貨號:CSB-RA995339A0HU
-
規格:¥1320
-
圖片:
-
Flow cytometric analysis of SATB2 expression in HeLa cells using SATB2 antibody. Green, isotype control; red, SATB2.
-
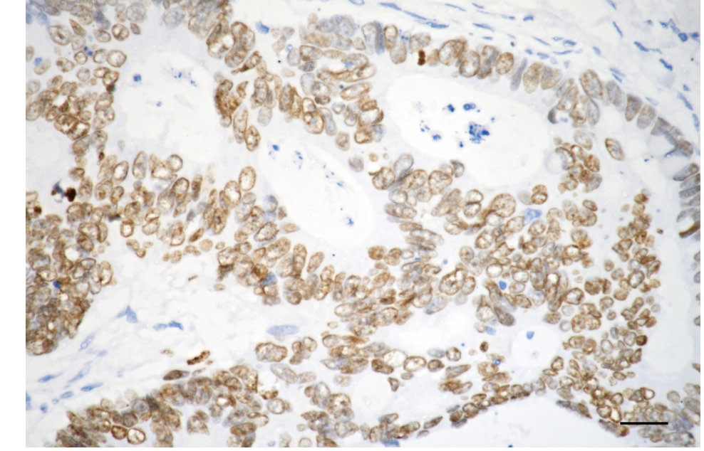
Immunohistochemistry was performed on paraffin-embedded human sigmoid colon carcinoma using SATB2 antibody. Antigen retrieval was done in sodium citrate buffer (pH 6.0). DAB was used for detection, with hematoxylin counterstaining. Images were acquired using a Nikon Ci-L Plus microscope (40× objective). Scale bar: 25 μm.
-
Western blotting analysis using SATB2 antibody. Total cell lysates (30 μg) from various cell lines were loaded and separated by SDS-PAGE. The blot was incubated with SATB2 antibody and HRP-conjugated goat anti-rabbit secondary antibody respectively.
-
-
其他:
產品詳情
-
Uniprot No.:
-
基因名:SATB2
-
別名:SATB2; SATB Homeobox 2; KIAA1034; Special AT-Rich Sequence-Binding Protein 2; DNA-Binding Protein SATB2; SATB Family Member 2; FLJ21474; SATB2 Fusion; C2DELq32q33; DEL2Q32Q33; GLSS
-
反應種屬:Human
-
免疫原:Recombinant Human SATB2 protein
-
免疫原種屬:Homo sapiens (Human)
-
標記方式:Non-conjugated
-
克隆類型:Monoclonal
-
抗體亞型:Rabbit IgG
-
純化方式:Affinity-chromatography
-
克隆號:25B2
-
濃度:It differs from different batches. Please contact us to confirm it.
-
保存緩沖液:Rabbit IgG in PBS (pH 7.4) containing 50% glycerol, and 0.02% sodium azide.
-
產品提供形式:Liquid
-
應用范圍:ELISA, WB, FC, IHC
-
推薦稀釋比:
Application Recommended Dilution WB 1:1000-1:5000 FC 1:200-1:2000 IHC 1:100-1:200 -
Protocols:
-
儲存條件:Upon receipt, store at -20°C or -80°C. Avoid repeated freeze.
-
貨期:Basically, we can dispatch the products out in 1-3 working days after receiving your orders. Delivery time maybe differs from different purchasing way or location, please kindly consult your local distributors for specific delivery time.
-
用途:For Research Use Only. Not for use in diagnostic or therapeutic procedures.
相關產品
靶點詳情
-
功能:Binds to DNA, at nuclear matrix- or scaffold-associated regions. Thought to recognize the sugar-phosphate structure of double-stranded DNA. Transcription factor controlling nuclear gene expression, by binding to matrix attachment regions (MARs) of DNA and inducing a local chromatin-loop remodeling. Acts as a docking site for several chromatin remodeling enzymes and also by recruiting corepressors (HDACs) or coactivators (HATs) directly to promoters and enhancers. Required for the initiation of the upper-layer neurons (UL1) specific genetic program and for the inactivation of deep-layer neurons (DL) and UL2 specific genes, probably by modulating BCL11B expression. Repressor of Ctip2 and regulatory determinant of corticocortical connections in the developing cerebral cortex. May play an important role in palate formation. Acts as a molecular node in a transcriptional network regulating skeletal development and osteoblast differentiation.
-
基因功能參考文獻:
- The Autism spectrum disorder candidate genes SATB2, CHD8 and EHMT1 show enriched expression in neurons, especially inhibitory neurons PMID: 29317598
- up-regulation of miR-31 may underlie endothelial dysfunction in diabetes by targeting Satb2 PMID: 29566115
- SATB2 as an additional diagnostic marker for the diagnosis of an ovarian manifestation of low-grade appendiceal mucinous neoplasm PMID: 29487003
- HNF4-alpha and particularly SATB2 may be helpful in the differential diagnosis of pulmonary adenocarcinoma and metastases of colorectal adenocarcinomas PMID: 29243296
- this study shows that SATB2 is a diagnostic marker of sinonasal intestinal-type adenocarcinoma PMID: 27258560
- SATB2 could serve as a promising diagnostic biomarker of colorectal cancer metastases. PMID: 29396302
- SATB2 can be used as a supplementary marker along with CDX2 to identify 'colon-rectum' as the primary site in material from patients presenting with metastasis. PMID: 29924451
- We describe the phenotype and genotype of 12 individuals with 10 unique (de novo in 11 of 11 tested) pathogenic variants (1 splice site, 5 frameshift, 3 nonsense, and 2 missense) in SATB2 and review all cases reported in the published literature caused by point alterations thus far PMID: 28139846
- features associated with de novo mutations affecting SATB2 function in individuals ascertained on the basis of intellectual disability PMID: 28151491
- The mRNA level of SATB2 was lower in tumor tissues than in samples of corresponding unchanged kidney. The results of the presented study suggest the tumor-suppressing function of SATB2. PMID: 29374710
- MiR-875-5pdirectly binds to the 3'untranslated region of SATB.2 PMID: 29196257
- These results strongly suggest that SATB2 prevents induction of EMT by suppressing expression of EMT-inducing transcription factors in NSCLC cells. PMID: 27393518
- We describe here the identification of a de novo SATB2 point mutation in twin boys with cleft soft palate, dental anomalies, and development delay and compare the clinical presentation of SATB2 point mutation patients reported to date. PMID: 28211976
- our data reveal that SATB2 in alveolar bone mesenchymal stem cells (AB-BMSCs) associates with their age-related properties, and prevents AB-BMSCs senescence via maintaining Nanog expression. PMID: 27632702
- SATB2 is frequently expressed in appendiceal mucinous neoplasms. In the context of a mucinous neoplasm involving the ovary, any SATB2 positivity should raise the possibility of appendiceal origin. PMID: 26542609
- our results strongly indicate that the crosstalk between p38 and Akt pathways can determine special AT-rich sequence-binding protein 2 expression and epithelial character of non-small-cell lung carcinoma cells PMID: 28937318
- SATB2 immunohistochemistry is not useful in supporting urothelial versus gastrointestinal or endocervical origin in the differential diagnosis of glandular lesions of the bladder/urinary tract. PMID: 28711650
- we report a exon frameshift mutation in SATB2 in a 15-year-old patient with cleft palate, apparent ID, mild facial dysmorphism, and low weight with additional features of osteoporosis, fractures, progressive tibial bowing, and scoliosis. it provides further evidence of a single-nucleotide, potentially dominant-negative SATB2 allele in association with phenotypes beyond those typically associated with deletion of the gene PMID: 27409069
- Indicate that beta-catenin and SATB2 are useful immunohistochemical markers for differentiating between pulmonary enteric adenocarcinoma and metastatic colorectal carcinoma. PMID: 28438615
- SATB2 can directly bind to the regulatory elements in the genetic loci of several stem cell markers and consequently inhibit the progression of CRC by negatively regulating stemness of CRC cells PMID: 27784965
- miR-599 directly binds to the 3'untranslated region of SATB2, and western blotting showed that miR-599 suppresses the expression of SATB2 at the protein level. This study indicates that miR-599 promotes proliferation and invasion of non-small cell lung cancer cell lines via SATB2. PMID: 28167280
- SATB2 is a highly sensitive marker for osteosarcomatous differentiation in gynecologic tract PMID: 27294605
- Although SATB2 immunoexpression helps to distinguish osteosarcoma from their mimickers, the identification of malignant osteoid matrix formation and the integration of clinical and radiological data remain the corner stone of osteosarcoma diagnosis and as yet no antibody has equalled the diagnostic value of this important morphologic hallmark. PMID: 27465835
- Overexpression of SATB2 repressed the expression of extracellular signal-regulated kinase 5 (ERK5), and activation of ERK5 restored the SATB2-induced inhibition of proliferation and migration in gastric cancer. PMID: 26508023
- this study shows that SATB2 can be used as an additional marker with similar sensitivity and specificity as CK20 for the diagnosis of Merkel cell carcinoma PMID: 27262585
- Case Reports: cutaneous osteoblastic osteosarcomas positive for SATB2. PMID: 27043339
- these results suggest miR-31 inhibited triple negative breast cancer cells migration and invasion through suppressing SATB2 expression. PMID: 27593563
- SATB2 regulates the mitosis of cell cycle and affects G1 cell cycle via interaction with CDK2. PMID: 26714749
- Low expression of SATB2 is associated with colorectal cancer. PMID: 26701851
- Ovarian tumors with mucinous or endometrioid features that express SATB2 are unlikely to be of primary ovarian origin and more likely to be of colorectal/appendiceal origin. PMID: 26551622
- SATB2 expression increased anchorage-independent growth and cell migration in human bronchial epithelial cells PMID: 26780400
- Data suggest that MIRN-33a-5p is highly induced by TNFa and BMP-2 in bone marrow stromal cells; anti-osteogenic TNFa down-regulates SATB2 expression indirectly; pro-osteogenic BMP-2 up-regulates SATB2 expression directly. PMID: 26785690
- SATB2 is a sensitive marker for hindgut well-differentiated neuroendocrine tumors though it is not entirely specific. PMID: 26261600
- We found that IGFBP6 and SATB2 were significantly down-regulated in HIV-infected CEM*174 cells and 3 different cohorts of HIV/AIDS patients while their promoters were predominantly hyper-methylated compared with normal controls. PMID: 26039376
- data suggest that SATB2 functions as a tumor suppressor in the development and progression of clear cell renal cell carcinoma PMID: 26097552
- Immunohistochemical expression of SATB1 and SATB2 was analysed in tissue microarrays with primary tumours and a subset of paired lymph node metastases from 175 patients operated with pancreaticoduodenectomy for periampullary adenocarcinoma. PMID: 25323550
- SATB2 is a direct target of miR-211. SATB2 expression was upregulated in hepatocellular cancer tissues and cell lines. SATB2 rescued the miR-211-mediated inhibition of cell invasion and proliferation. PMID: 25888635
- We provide supporting evidence that analysis for deletions or point mutations in SATB2 should be considered in children with intellectual disability and severely impaired speech, cleft or high palate, teeth abnormalities, and osteopenia. PMID: 25885067
- We here report on a girl with intellectual disability, nearly absent speech and suspected hypodontia who was shown to carry an intragenic SATB2 tandem duplication hypothesized to lead to haploinsufficiency of SATB2. PMID: 25118029
- Reduced SATB2 dosage leads to mRNA and microRNA expression patterns and DNA methylation patterns more characteristic of differentiating than proliferating neural stem cells. This balance change may underlie neurodevelopmental disorders. PMID: 25966365
- our data suggest that SATB2 plays an important role in esophageal squamous cell carcinoma progression, and that decreased expression of SATB2 in tumor tissues could be used as a prognostic marker for patients with esophageal squamous cell carcinoma. PMID: 25755730
- SATB2 as a novel regulator of Osteosarcoma invasion, in part via effects on EPLIN and the cytoskeleton. PMID: 25220418
- Intragenic duplication--a novel causative mechanism for SATB2-associated syndrome. PMID: 25251319
- Low SATB2 expression is associated with colorectal cancer. PMID: 25662172
- SATB2 action is mediated by palladin inhibition and the SATB2/palladin pathway is associated with invadopodia formation in colorectal cancer cells. PMID: 25523619
- This review will discuss the four major findings regarding SATB1/2 in colorectal cancer studies.[review] PMID: 25543122
- research showed that miR-182 could directly target the 3'untranslated region (3'UTR) of SATB2 mRNA and subsequently repress both the mRNA and protein expressions of SATB2, which we identified in previous studies as a CRC metastasis-associated protein PMID: 24884732
- Ectopic expression of SATB2 by transiently transfected with pCAG-SATB2 vector encoding the entire SATB2 coding sequence could reverse the effects of miR-31 on CRC tumorigenesis and progression. PMID: 24386467
- The application of SATB2 to manipulate stem cells for the reconstruction of bone defects might represent a new approach. PMID: 25200657
- SATB2 and SOX9 may be acting together via complex cis-regulation to coordinate the growth of the developing jaw. PMID: 24363063
顯示更多
收起更多
-
相關疾病:Cleft palate isolated (CPI)
-
亞細胞定位:Nucleus matrix.
-
蛋白家族:CUT homeobox family
-
組織特異性:High expression in adult brain, moderate expression in fetal brain, and weak expression in adult liver, kidney, and spinal cord and in select brain regions, including amygdala, corpus callosum, caudate nucleus, and hippocampus.
-
數據庫鏈接:
Most popular with customers
-
-
YWHAB Recombinant Monoclonal Antibody
Applications: ELISA, WB, IHC, IF, FC
Species Reactivity: Human, Mouse, Rat
-
Phospho-YAP1 (S127) Recombinant Monoclonal Antibody
Applications: ELISA, WB, IHC
Species Reactivity: Human
-
-
-
-
-















