RPS20 Recombinant Monoclonal Antibody
-
中文名稱:RPS20 Recombinant Monoclonal Antibody
-
貨號:CSB-RA215735A0HU
-
規格:¥1320
-
圖片:
-
Western Blot
, Positive WB detected in:Hela whole cell lysate(30μg), HepG2 whole cell lysate(30μg), COLO205 whole cell lysate(30μg), THP-1 whole cell lysate(30μg), K562 whole cell lysate(30μg), Jurkat whole cell lysate(30μg), MCF7 whole cell lysate(30μg), Mouse brainr tissue lysate(30μg), Rat brain lysate(30μg)
All lanes: RPS20 antibody at 1:1000
Secondary
Goat polyclonal to rabbit IgG at 1/40000 dilution
Predicted band size: 13 kDa
Observed band size: 13 kDa
Exposure time:60s -
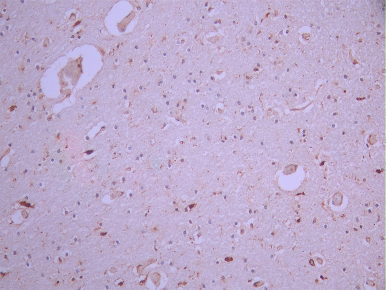
IHC image of CSB-RA215735A0HU diluted at 1:100 and staining in paraffin-embedded human brain tissue performed on a Leica BondTM system. After dewaxing and hydration, antigen retrieval was mediated by high pressure in a citrate buffer (pH 6.0). Section was blocked with 10% normal goat serum 30min at RT. Then primary antibody (1% BSA) was incubated at 4°C overnight. The primary is detected by a Goat anti-rabbit polymer IgG labeled by HRP and visualized using 0.05% DAB.
-
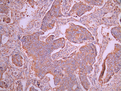
IHC image of CSB-RA215735A0HU diluted at 1:100 and staining in paraffin-embedded human colorectal cancer performed on a Leica BondTM system. After dewaxing and hydration, antigen retrieval was mediated by high pressure in a citrate buffer (pH 6.0). Section was blocked with 10% normal goat serum 30min at RT. Then primary antibody (1% BSA) was incubated at 4°C overnight. The primary is detected by a Goat anti-rabbit polymer IgG labeled by HRP and visualized using 0.05% DAB.
-
Overlay Peak curve showing jurkat cells stained with CSB-RA215735A0HU (red line) at 1:100. The cells were fixed in 4% formaldehyde and permeated by 0.2% TritonX-100 for 10min. Then 10% normal goat serum to block non-specific protein-protein interactions followed by the antibody (1ug/1*106cells) for 45min at 4℃. The secondary antibody used was FITC-conjugated goat anti-rabbit IgG (H+L) at 1/200 dilution for 35min at 4℃.Control antibody (green line) was Rabbit IgG (1ug/1*106cells) used under the same conditions. Acquisition of >10, 000 events was performed.
-
-
其他:
產品詳情
-
Uniprot No.:
-
基因名:RPS20
-
別名:40S ribosomal protein S20 antibody; Ribosomal protein S20 antibody; RPS 20 antibody; RpS20 antibody; RS20_HUMAN antibody; S20 antibody
-
反應種屬:Human, Mouse, Rat
-
免疫原:A synthesized peptide from human RPS20 protein
-
免疫原種屬:Homo sapiens (Human)
-
標記方式:Non-conjugated
-
克隆類型:Monoclonal
-
抗體亞型:Rabbit IgG
-
純化方式:Affinity-chromatography
-
克隆號:24B4
-
濃度:It differs from different batches. Please contact us to confirm it.
-
保存緩沖液:Rabbit IgG in 10mM phosphate buffered saline , pH 7.4, 150mM sodium chloride, 0.05% BSA, 0.02% sodium azide and 50% glycerol.
-
產品提供形式:Liquid
-
應用范圍:ELISA, WB, IHC, FC
-
推薦稀釋比:
Application Recommended Dilution WB 1:500-1:5000 IHC 1:50-1:200 FC 1:50-1:200 -
Protocols:
-
儲存條件:Upon receipt, store at -20°C or -80°C. Avoid repeated freeze.
-
貨期:Basically, we can dispatch the products out in 1-3 working days after receiving your orders. Delivery time maybe differs from different purchasing way or location, please kindly consult your local distributors for specific delivery time.
-
用途:For Research Use Only. Not for use in diagnostic or therapeutic procedures.
相關產品
靶點詳情
-
基因功能參考文獻:
- We therefore found published evidence to support the association between variants in NTHL1 and RPS20 with CRC. PMID: 27713038
- Mutations in RPS20 can predispose individuals to microsatellite-stable hereditary nonpolyposis colorectal carcinoma. PMID: 24941021
- Gain of 8q-mapped RPS20 is associated with adverse outcome in Medulloblastoma. PMID: 16968546
-
亞細胞定位:Cytoplasm.
-
蛋白家族:Universal ribosomal protein uS10 family
-
數據庫鏈接:
Most popular with customers
-
Phospho-YAP1 (S127) Recombinant Monoclonal Antibody
Applications: ELISA, WB, IHC
Species Reactivity: Human
-
-
-
-
-
-
-
VDAC1 Recombinant Monoclonal Antibody
Applications: ELISA, WB, IHC
Species Reactivity: Human, Mouse, Rat















