RING1 Recombinant Monoclonal Antibody
-
中文名稱:RING1 Recombinant Monoclonal Antibody
-
貨號:CSB-RA679623A0HU
-
規格:¥1320
-
圖片:
-
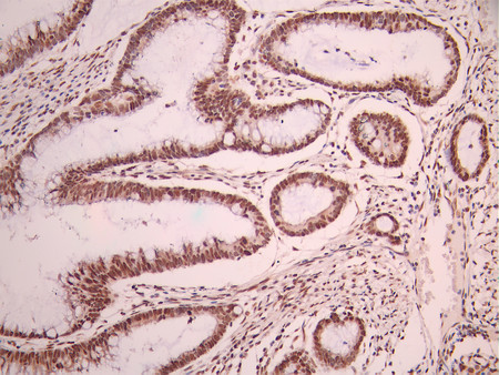
IHC image of CSB-RA679623A0HU diluted at 1:100 and staining in paraffin-embedded human gastric cancer performed on a Leica BondTM system. After dewaxing and hydration, antigen retrieval was mediated by high pressure in a citrate buffer (pH 6.0). Section was blocked with 10% normal goat serum 30min at RT. Then primary antibody (1% BSA) was incubated at 4°C overnight. The primary is detected by a Goat anti-rabbit polymer IgG labeled by HRP and visualized using 0.05% DAB.
-
-
其他:
產品詳情
-
Uniprot No.:
-
基因名:
-
別名:Ring1A antibody; E3 ubiquitin-protein ligase RING1 antibody; Polycomb complex protein RING1 antibody; Really interesting new gene 1 protein antibody; RING finger protein 1 antibody; Ring1 antibody; RING1_HUMAN antibody; RING1A antibody; Rnf1 antibody; Transcription repressor Ring1A antibody
-
反應種屬:Human
-
免疫原:A synthesized peptide from human RING1 protein
-
免疫原種屬:Homo sapiens (Human)
-
標記方式:Non-conjugated
-
克隆類型:Monoclonal
-
抗體亞型:Rabbit IgG
-
純化方式:Affinity-chromatography
-
克隆號:25C6
-
濃度:It differs from different batches. Please contact us to confirm it.
-
保存緩沖液:Rabbit IgG in 10mM phosphate buffered saline , pH 7.4, 150mM sodium chloride, 0.05% BSA, 0.02% sodium azide and 50% glycerol.
-
產品提供形式:Liquid
-
應用范圍:ELISA, IHC
-
推薦稀釋比:
Application Recommended Dilution IHC 1:50-1:200 -
Protocols:
-
儲存條件:Upon receipt, store at -20°C or -80°C. Avoid repeated freeze.
-
貨期:Basically, we can dispatch the products out in 1-3 working days after receiving your orders. Delivery time maybe differs from different purchasing way or location, please kindly consult your local distributors for specific delivery time.
-
用途:For Research Use Only. Not for use in diagnostic or therapeutic procedures.
相關產品
靶點詳情
-
功能:Constitutes one of the E3 ubiquitin-protein ligases that mediate monoubiquitination of 'Lys-119' of histone H2A, thereby playing a central role in histone code and gene regulation. H2A 'Lys-119' ubiquitination gives a specific tag for epigenetic transcriptional repression and participates in X chromosome inactivation of female mammals. Essential component of a Polycomb group (PcG) multiprotein PRC1-like complex, a complex class required to maintain the transcriptionally repressive state of many genes, including Hox genes, throughout development. PcG PRC1 complex acts via chromatin remodeling and modification of histones, rendering chromatin heritably changed in its expressibility. Compared to RNF2/RING2, it does not have the main E3 ubiquitin ligase activity on histone H2A, and it may rather act as a modulator of RNF2/RING2 activity.
-
基因功能參考文獻:
- High RING1 expression is associated with hepatocellular carcinoma. PMID: 29187402
- Mutation of RING1 is associated with neurodevelopmental abnormalities PMID: 29386386
- study identified novel interactions between CD147 and RING1, recovered CD147 nuclear envelope distribution in melanoma cells, and suggested a new mechanism underlying how cytoplasmic CD147 promotes melanoma development PMID: 28832687
- The release of epigenetic repression by nitrosylation of RING1A is critical for effective cell transdifferentiation. PMID: 27623813
- The polycomb complex proteins BMI1 and RING1A regulate the ubiquitination of chromatin associated proteins bound to promoters. PMID: 26578590
- On the basis of these results, we proposed that the expression of Ring1 protein may be a novel indicator of hepatocellular carcinoma prognosis. PMID: 26141041
- High RING1 expression is associated with non-small cell lung cancer. PMID: 24414991
- HSCARG interacts with RING1 and inhibits RING1 ubiquitination. PMID: 24711370
- Overexpression of the EZH2, RING1, and BMI1 genes is common in MDS and indicate poor prognosis. The products of these genes might participate in epigenetic regulation of Myelodysplastic syndromes. PMID: 21125401
- USP7 was identified as a deubiquitinating enzyme that regulates the ubiquitination state of RING1B. PMID: 20800574
- PcG protein RING1 is associated with adverse pathological features and clinical PSA recurrence in prostate cancer. PMID: 17134822
- Studies in mammalian cells have found a multiplicity of protein complexes containing Ring1A and Ring1B, suggesting an expanded regulatory role for Ring1A, Ring1B proteins in the epigenetic regulation of gene expression. PMID: 19412891
顯示更多
收起更多
-
亞細胞定位:Nucleus. Nucleus speckle.
-
數據庫鏈接:
Most popular with customers
-
-
YWHAB Recombinant Monoclonal Antibody
Applications: ELISA, WB, IHC, IF, FC
Species Reactivity: Human, Mouse, Rat
-
Phospho-YAP1 (S127) Recombinant Monoclonal Antibody
Applications: ELISA, WB, IHC
Species Reactivity: Human
-
-
-
-
-















