RBP4 Recombinant Monoclonal Antibody
-
中文名稱:RBP4 Recombinant Monoclonal Antibody
-
貨號:CSB-RA019483MA1HU
-
規格:¥1320
-
圖片:
-
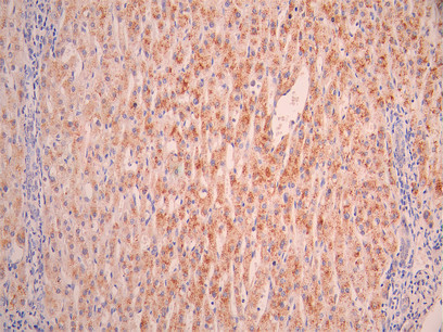
IHC image of CSB-RA019483MA1HU diluted at 1:50 and staining in paraffin-embedded human liver tissue performed on a Leica BondTM system. After dewaxing and hydration, antigen retrieval was mediated by high pressure in a citrate buffer (pH 6.0). Section was blocked with 10% normal goat serum 30min at RT. Then primary antibody (1% BSA) was incubated at 4°C overnight. The primary is detected by a Anti-Human lgG, Fcy Fragment Specific labeled by HRP and visualized using 0.05% DAB.
-
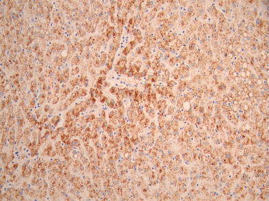
IHC image of CSB-RA019483MA1HU diluted at 1:50 and staining in paraffin-embedded human liver cancer performed on a Leica BondTM system. After dewaxing and hydration, antigen retrieval was mediated by high pressure in a citrate buffer (pH 6.0). Section was blocked with 10% normal goat serum 30min at RT. Then primary antibody (1% BSA) was incubated at 4°C overnight. The primary is detected by a Anti-Human lgG, Fcy Fragment Specific labeled by HRP and visualized using 0.05% DAB.
-
-
其他:
產品詳情
-
Uniprot No.:
-
基因名:
-
別名:OTTHUMP00000020114 antibody; OTTHUMP00000020115 antibody; OTTHUMP00000020116 antibody; Plasma retinol binding protein 4 antibody; Plasma retinol-binding protein antibody; Plasma retinol-binding protein(1-176) antibody; PRBP antibody; PRO2222 antibody; RBP antibody; RBP4 antibody; RDCCAS antibody; RET4_HUMAN antibody; Retinol binding protein 4 antibody; Retinol binding protein 4 interstitial antibody; Retinol binding protein 4 plasma antibody
-
反應種屬:Human
-
免疫原:Recombinant Human RBP4 protein
-
免疫原種屬:Homo sapiens (Human)
-
標記方式:Non-conjugated
-
克隆類型:Monoclonal
-
抗體亞型:hIgG1
-
純化方式:Affinity-chromatography
-
克隆號:12H11
-
濃度:It differs from different batches. Please contact us to confirm it.
-
保存緩沖液:Preservative: 0.03% Proclin 300
Constituents: 50% Glycerol, 0.01M PBS, PH 7.4 -
產品提供形式:Liquid
-
應用范圍:ELISA, IHC
-
推薦稀釋比:
Application Recommended Dilution IHC 1:50-1:200 -
Protocols:
-
儲存條件:Upon receipt, store at -20°C or -80°C. Avoid repeated freeze.
-
貨期:Basically, we can dispatch the products out in 1-3 working days after receiving your orders. Delivery time maybe differs from different purchasing way or location, please kindly consult your local distributors for specific delivery time.
-
用途:For Research Use Only. Not for use in diagnostic or therapeutic procedures.
相關產品
靶點詳情
-
功能:Retinol-binding protein that mediates retinol transport in blood plasma. Delivers retinol from the liver stores to the peripheral tissues. Transfers the bound all-trans retinol to STRA6, that then facilitates retinol transport across the cell membrane.
-
基因功能參考文獻:
- Baseline RBP4 levels and MELD scores predicted 21-day (=10 mg/L) and 1-year (>/=25) mortality, respectively. In critically ill patients with underlying liver disease, with a link to eGFRs, INRs and TC levels, the baseline RBP4 may serve as a marker for short-term mortality. PMID: 28588245
- our study provides clinical evidence revealing that the serum concentrations of RBP4 were elevated in NAFLD patients in a Chinese population. These findings indicated that RBP4 might be a noninvasive molecular biomarker that detects the presence of NAFLD in middle-aged and elderly population. PMID: 28332619
- Vitreous levels of APOA1 and RBP4 in human rhegmatogenous retinal detachment associated with choroidal detachment reflects the severity of disease. PMID: 29618920
- The overexpression of RBP4 increased cell proliferation, whereas siRNA-mediated RBP4 knockdown significantly decreased HTR8/SVneo cell proliferation via activation of PI3K/AKT signaling. PMID: 30015949
- High RBP4 expression is associated with hypertriglyceridemia. PMID: 29747616
- We observed that knockdown of RBP4 can greatly suppress ovarian cancer cell migration and proliferation. PMID: 29642915
- This study showed that the Levels of circulating RBP4 was significantly higher in Chronic Kidney Disease than in control. PMID: 29678848
- Our results demonstrate that IR is associated with high circulating RBP4 and that suppressed RBP4 adipose tissue expression is accompanied by reduced GLUT4 expression in HD. Renal transplantation or HDF are effective in lowering serum RBP4 levels. PMID: 29333450
- Data suggest that serum levels of RBP4 and LGAL3BP are up-regulated after menopause when complicated by NAFLD (non-alcoholic fatty liver disease); RBP4 and LGAL3BP may serve as biomarkers of NAFLD in postmenopausal women. (RBP4 = retinol binding protein 4; LGAL3BP = galectin-3 binding protein) PMID: 29679552
- Elevated levels of RBP4 were not associated with an increased risk of ischemic stroke among women. PMID: 28888344
- Study showed that dietary weight loss-induced changes in angiotensin-converting enzyme activity, free fatty acids and RBP4 independently contribute to weight regain prediction. PMID: 29122953
- RBP4 is involved in all-trans retinoic acid-induced cleft palate. PMID: 28849085
- the 1.5A resolution structures of human holo-RBP4 and of the protein saturated with palmitic and lauric acid and discuss the interaction of the fatty acids and retinol with the protein, are reported. PMID: 29414511
- Circulating RBP4 levels may not be associated with nonalcoholic fatty liver disease. PMID: 28931435
- Plasma PEDF and RBP4 identified insulin resistance in subjects with no prior diagnosis of diabetes. PMID: 28648555
- Serum RBP4 level was significantly higher and closely associated with blood pressure in prehypertensive Chinese. PMID: 28639612
- Conclusion RBP4 may be used as a predictive factor of diabetic nephropathy patients complicated with silent cerebral infarction (SCI) and is positively correlated with cognitive dysfunction. RBP4/Lp-PLA2/Netrin-1 pathway activation may be one of the occurrence mechanisms in diabetic nephropathy complicated with SCI. PMID: 28704853
- these data demonstrate a key role of STRA6 and RBP4 in the maintenance of colon cancer self-renewal and that this pathway is an important link through which consumption of HFD contributes to colon carcinogenesis. PMID: 28689994
- Data suggest that, in subjects with chronic kidney disease, renal function is inversely related to serum RBP4 levels; as GFR decreases, the relationship between RBP4 and insulin resistance is attenuated. (GFR = glomerular filtration rate, a measure of kidney function) PMID: 28473187
- Results identified RBP4 as a promising acute liver failure (ALF) biomarker among energy metabolism-related proteins. RBP4 values signaled liver injury at an early stage, as its decreasing level was observed before ALT elevation in the pig ALF model, and its significant decreasing level in ALF patients. PMID: 28336726
- Elevated RBP4 is detectable early in pregnancy and has strong correlation with preeclampsia and premature birth. PMID: 28338737
- RBP4-induced inflammation is largely mediated by TLR4. PMID: 28400700
- RBP4 may be associated with higher cardiovascular risk in overweight/obese adolescent girls, but this association is mediated by abdominal obesity. PMID: 29120147
- Bi-allelic mutations in RBP4 were identified (c.248+1G>A), consistent with a diagnosis of inherited vitamin A deficiency. PMID: 27892788
- Childhood obesity may be associated with variations in RBP4 gene. The presence of selective SNPs in the RBP4 gene may account for metabolic complications. PMID: 26611784
- Low levels of vitamin A, E and RBP4 at the time of renal cell carcinoma diagnosis are associated with a poorer prognosis after surgery. PMID: 28668878
- RBP4 is some 6-fold lower when active TB patients have chronic energy deficiency (CED) than when BMI is >25 kg/m sq; however, free fatty acids were not associated with CED in active TB patients, which may be a type 2 error or represent an energy impasse where infection and the host's metabolic needs are in competition. PMID: 28625041
- Data show that the tissue-specific expression pattern of human transgenic retinol binding protein 4 (hRBP4orf) was roughly the same as that of mouse Rbp4. PMID: 28134916
- Elevated levels of RBP4 are associated with higher cardiovascular mortality among men with type 2 diabetes. PMID: 27609367
- RBP4 and retinol levels were increased approximately twofold in patients with chronic kidney disease. PMID: 27277845
- RBP4 level was associated with increased arterial stiffness in young subjects with family history of type 2 diabetes. PMID: 26868132
- Retinol-binding protein 4 is able to function as biomarker to distinguish severe pre-eclampsia from normal pregnancy. More importantly, these results may shed light on the role of Retinol-binding protein 4 in the pathogenesis in pre-eclampsia. PMID: 27279411
- High level of RBP4 is associated with obesity. PMID: 26794633
- The positive association between circulating RBP4 and ApoB-containing lipoproteins in a steady metabolic state, as well as during a hypocaloric diet, appears to be attenuated in patients with very high serum triglycerides. PMID: 27086684
- Urinary KNG1 and RBP4 clearly respond to AKI. Additionally, RBP4 could predict recovery by monitoring this protein levels over time after AKI, as RBP4 reflects patient's normalization earlier than sCr values do. PMID: 26792617
- SNPsRBP4 was associated with age at onset in familial amyloid polyneuropathy. PMID: 26286643
- Serum RBP4 is negatively related to estrogen in Chinese women with obesity. PMID: 26960804
- Dietary vitamin A may reduce abdominal adiposity and promote visceral to subcutaneous body fat redistribution during adolescence in an RBP4-dependent manner. PMID: 26667887
- The results of this meta-analysis support the hypothesis that RBP4 is a modest independent risk factor for gestational diabetes mellitus (i.e., nonobese patients with gestational diabetes mellitus might express RBP4 at abnormal levels).The association between RBP4 rs3758539 polymorphism and gestational diabetes mellitus risk was not confirmed. PMID: 26975349
- RBP-4 levels are higher in patients with clinical hypothyroidism and exhibit a marked decrease after normalization of thyroid function in both hyper and hypothyroid patients. We suggest that RBP-4 may play a role in the metabolic disturbances which accompany thyroid dysfunction. PMID: 26575118
- Fasting concentrations of RBP-4 were negatively correlated with BMI and waist-hip ratio, whereas lipocalin-2 levels were positively associated with BMI and waist-hip ratio. PMID: 26069091
- male mice are susceptible to high fat diet-induced hyperglycaemia and display higher plasma RBP4 levels, possibly due to its over-expression in visceral adipose depots PMID: 26619134
- RBP4 concentrations were significantly lower in hepatitis C subjects compared to controls. PMID: 26927700
- Presence of gestational diabetes mellitus risk factors does not have an impact on early second trimester RBP-4 values in pregnant subjects. PMID: 25227411
- This study describe the discovery and subsequent replications of RBP4 and its combination with circulating GFAP as plasmatic biomarkers for hyperacute stroke subtype differentiation. PMID: 26526443
- Gc1s/Gc1s phenotype variant of DBP and the unbound fraction of plasma RBP4 may be considered as factors related with the incidence, and possibly the risk, of IR in CHC patients. PMID: 26962819
- RBP correlated with IgG4 and IgA. RBP also correlated positively with age and with influenza virus-specific antibody neutralization titres. PMID: 26425827
- Genetic variants of retinol-binding protein 4 in adolescents are associated with liver function and inflammatory markers but not with obesity and insulin resistance PMID: 26440092
- Baseline serum RBP4 levels were independently associated with incident diabetes in Asian Indian men with impaired glucose tolerance. PMID: 25810022
- Findings suggested that Asian women with gestational diabetes mellitus had increased circulating RBP4 levels in their second/third trimester. [Meta-Analysis] PMID: 25703255
顯示更多
收起更多
-
相關疾病:Retinal dystrophy, iris coloboma, and comedogenic acne syndrome (RDCCAS); Microphthalmia, isolated, with coloboma, 10 (MCOPCB10)
-
亞細胞定位:Secreted.
-
蛋白家族:Calycin superfamily, Lipocalin family
-
組織特異性:Detected in blood plasma and in urine (at protein level).
-
數據庫鏈接:
Most popular with customers
-
-
YWHAB Recombinant Monoclonal Antibody
Applications: ELISA, WB, IHC, IF, FC
Species Reactivity: Human, Mouse, Rat
-
Phospho-YAP1 (S127) Recombinant Monoclonal Antibody
Applications: ELISA, WB, IHC
Species Reactivity: Human
-
-
-
-
-















