PXN Recombinant Monoclonal Antibody
-
中文名稱:PXN重組抗體
-
貨號:CSB-RA017450A0HU
-
規格:¥1320
-
圖片:
-
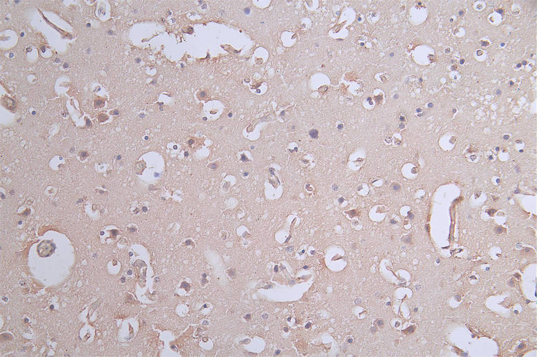
IHC image of CSB-RA017450A0HU diluted at 1:50 and staining in paraffin-embedded human brain tissue performed on a Leica BondTM system. After dewaxing and hydration, antigen retrieval was mediated by high pressure in a citrate buffer (pH 6.0). Section was blocked with 10% normal goat serum 30min at RT. Then primary antibody (1% BSA) was incubated at 4°C overnight. The primary is detected by a Goat anti-rabbit polymer IgG labeled by HRP and visualized using 0.62% DAB.
-
IHC image of CSB-RA017450A0HU diluted at 1:50 and staining in paraffin-embedded human breast cancer performed on a Leica BondTM system. After dewaxing and hydration, antigen retrieval was mediated by high pressure in a citrate buffer (pH 6.0). Section was blocked with 10% normal goat serum 30min at RT. Then primary antibody (1% BSA) was incubated at 4°C overnight. The primary is detected by a Goat anti-rabbit polymer IgG labeled by HRP and visualized using 0.62% DAB.
-
Overlay Peak curve showing HepG2 cells stained with CSB-RA017450A0HU (red line) at 1:50. The cells were fixed in 4% formaldehyde and permeated by 0.2% TritonX-100. Then 10% normal goat serum to block non-specific protein-protein interactions followed by the antibody (1μg/1*106cells) for 45min at 4℃. The secondary antibody used was FITC-conjugated Goat Anti-rabbit IgG(H+L) at 1:200 dilution for 35min at 4℃.Control antibody (green line) was rabbit IgG (1μg/1*106cells) used under the same conditions. Acquisition of >10,000 events was performed.
-
-
其他:
產品詳情
-
產品描述:CSB-RA017450A0HU PXN重組單克隆抗體是針對Paxillin(PXN)靶點開發的高特異性科研工具。PXN作為細胞骨架銜接蛋白,通過與整合素及信號分子相互作用,在細胞黏著斑形成、遷移調控及腫瘤轉移等過程中發揮重要作用。本抗體經ELISA、免疫組化(IHC)和流式細胞術(FC)嚴格驗證,在推薦濃度范圍內(IHC 1:50-1:200,FC 1:50-1:200)展現出優異的目標蛋白識別能力,其高親和力特性可清晰顯示不同樣本中PXN的表達定位與豐度差異。適用于研究細胞黏附機制、腫瘤微環境調控、上皮間質轉化等基礎生物學問題,特別適合用于組織切片中黏著斑結構的可視化分析、流式細胞術檢測細胞表面相關信號復合物分布,以及體外實驗中PXN功能調控機制的探索。該產品為研究細胞運動性相關疾病機制、藥物靶點篩選等基礎科研領域提供可靠檢測工具,所有應用嚴格限定于實驗室研究場景。
-
Uniprot No.:
-
基因名:
-
別名:Paxillin, PXN
-
反應種屬:Human
-
免疫原:A synthesized peptide derived from Human PXN
-
免疫原種屬:Homo sapiens (Human)
-
標記方式:Non-conjugated
-
克隆類型:Monoclonal
-
抗體亞型:Rabbit IgG
-
純化方式:Affinity-chromatography
-
克隆號:32E1
-
濃度:It differs from different batches. Please contact us to confirm it.
-
保存緩沖液:Rabbit IgG in 10mM phosphate buffered saline , pH 7.4, 150mM sodium chloride, 0.05% BSA, 0.02% sodium azide and 50% glycerol.
-
產品提供形式:Liquid
-
應用范圍:ELISA, IHC, FC
-
推薦稀釋比:
Application Recommended Dilution IHC 1:50-1:200 FC 1:50-1:200 -
Protocols:
-
儲存條件:Upon receipt, store at -20°C or -80°C. Avoid repeated freeze.
-
貨期:Basically, we can dispatch the products out in 1-3 working days after receiving your orders. Delivery time maybe differs from different purchasing way or location, please kindly consult your local distributors for specific delivery time.
-
用途:For Research Use Only. Not for use in diagnostic or therapeutic procedures.
相關產品
靶點詳情
-
功能:Cytoskeletal protein involved in actin-membrane attachment at sites of cell adhesion to the extracellular matrix (focal adhesion).
-
基因功能參考文獻:
- Data suggest that FGFR3 with mutation found in patients with SADDAN (but not FGFR3 with mutation found in patients with TDII) affects cytoskeleton organization in chondrocytes by inducing tyrosine hyperphosphorylation of paxillin. (FGFR3 = fibroblast growth factor receptor 3; SADDAN = Severe Achondroplasia with Developmental Delay and Acanthosis Nigricans; TDII = Thanatophoric Dysplasia type II) PMID: 29242050
- overexpression of Paxillin significantly decreased tumor volume of colorectal cancer; miR-24 was overexpressed in natural killer cells and inhibited paxillin expression. PMID: 29494963
- XIST positively regulated PXN levels by sponging miR-137 in vitro and in vivo. Collectively, our study provided the evidence for the cross-talk between XIST, miR-137, and PXN, shedding light on the therapy for non-small cell lung cancer . PMID: 29337100
- we herein demonstrated that frequent overexpression of PXN in cervical cancer was associated with advanced tumor stage, poor differentiation and metastasis, and poor predictive outcomes PMID: 29318915
- Kindlin supports platelet GPIIB IIIA activation by interacting with paxillin. PMID: 28954813
- we collected paraffin specimens from 85 GBM patients and evaluated the expression pattern of paxillin. Notably, we found that discernable paxillin signals were detected in 67 out of 85 samples. Given that leading edge is critical for cancer cell migration, we propose that NA treatment may be developed into a potential therapy for malignant glioma PMID: 28656206
- Pxn binding to the CD103 cytoplasmic tail triggers alphaEbeta7 integrin outside-in signaling that promotes CD8(+) T-cell migratory behavior and effector functions. PMID: 29021139
- REVIEW of the functions of paxillin in pathological conditions, particularly in cell migration PMID: 28214467
- This study showed that the PXN plays as an oncogene in glioma progression and suggests a new potential biotarget for therapy PMID: 27637748
- The MBNL3 splicing factor promotes hepatocellular carcinoma by increasing paxillin expression through the alternative splicing of lncRNA-PXN-AS1. PMID: 28553938
- These data suggest that paxillin appears to influence major cell functions in a diverse range of prostate and breast cancer models. The responsiveness of cells to environmental factors such as HGF or BME may be influenced by paxillin status, although this seems to be dependent on cell type PMID: 28739717
- The role of paxillin in the aging process of skin cells is reviewed. PMID: 27708212
- interactions between Cat-1 and its binding partner paxillin are necessary to ensure sufficient Akt activation so that cancer cells are able to grow under anchorage-independent conditions PMID: 28100775
- The present findings demonstrated that the anticancer effect of docetaxel induces the apoptosis of prostate cancer via the suppression of the cofilin1 and paxillin signaling pathways, which will assist in setting a stage for the clinical treatment of prostate cancer. PMID: 27035282
- Results showed that the positive rate of PXN was significantly higher in the colorectal adenocarcinoma samples and correlated with TNM stage, distant metastasis and recurrence additionally to cetuximab resistance. PMID: 26530439
- blockade of GD3-mediated growth signaling pathways by siRNAs might be a novel and promising therapeutic strategy against malignant melanomas, provided signaling molecules such as p130Cas and paxillin are significantly expressed in individual cases. PMID: 27068854
- These findings suggest that PXN expression has potential use as a novel biomarker of laryngeal squamous cell carcinoma patients and may serve as an independent predictive factor for prognosis. PMID: 26464671
- Mode of Action of Functionally Important Regions in the Intrinsically Disordered Paxillin PMID: 26928467
- Paxillin was expressed at significantly higher levels in colorectal cancer tissues and might serve as a potential prognostic indicator in patients with colorectal cancer PMID: 26159303
- these data suggested that miR-145 plays a pivotal role in colon cancer through inhibiting cell proliferation migration and invasion, and miR-145 may serve as a tumor suppressor by targeting paxillin gene. PMID: 25973017
- In colorectal cancers PXN was positively correlated with Bcl-2, pBcl-2-S87, and MMP2 expression. PXN promotes Bcl-2 phosphorylation at Serine 87 via ERK activation, increases xenograft tumor formation, and associates with poor patient outcome. PMID: 25826088
- Bcl-2 stabilization by paxillin confers 5-fluorouracil resistance in colorectal cancer. PMID: 25323586
- Fascin-1 and paxillin were expressed in 58% and 43% of infiltrating duct carcinoma cases. There was a significant correlation between fascin-1 and paxillin expression and tumor grade, clinical stage, lymph-node metastasis grade, and HER2 expression. PMID: 26349603
- Suggest paxillin up-regulation and phosphorylation as an important mechanism of vascular remodelling underlying pulmonary hypertension. PMID: 25231004
- During early cell spreading, DLC1 is preferentially localized at the inner/mature adhesions whereas phosphorylated paxillin occupies the outer/nascent focal adhesions. In addition, DLC1 downregulates paxillin turnover PMID: 25448629
- The expression levels of Wnt5a, p-JNK1 and p-paxillin in tumor tissues were correlated with each other. PMID: 24395444
- LPS-induced paxillin phosphorylation at Y31 and Y118 was mediated by c-Abl tyrosine kinase PMID: 25795725
- This chapter outlines recent advances in understanding how paxillin regulates both steroid and growth factor signaling, focusing on the conserved nature of its actions from a frog germ cell to a human cancer cell. PMID: 25182764
- Study provides evidence that phosphorylation of PXN is required for cisplatin resistance in lung cancer cells. PMID: 24096476
- High PXN expression is associated with oral cavity squamous cell carcinoma. PMID: 24894864
- paxillin may promote cell proliferation and inhibit apoptosis in SW480 cells. Paxillin may be a potential metastasis predictor, and an independent prognosis factor of recurrence. PMID: 24451945
- MEKK2 induces paxillin ubiquitylation in breast cancer cells and this function requires both paxillin LD1 motif and MEKK2 kinase activity. PMID: 25190348
- Paxillin knockdown increases capillary endothelial cell migration and invasiveness, and thereby enhances microvessel ingrowth, by suppressing NRP2 expression. PMID: 24522185
- Through HDAC6-dependent regulation of the microtubule cytoskeleton, paxillin regulates both Golgi organelle integrity and polarized cell invasion. PMID: 25070956
- PXN plays an important role in tumor progression and may be used as a potential prognostic indicator in gastric cancer PMID: 24180516
- Future studies investigating these hypotheses on TG-2-paxillin relationships are necessary in order to address this fundamental process in cell matrix adhesion signaling. PMID: 24193434
- The data suggests that mutant PXN variants play a prominent role in mitochondrial dynamics with direct implications on lung cancer progression. PMID: 23792636
- In aneuploid tumors, EZH2 expression and paxillin expression correlate with more aggressive phenotype of breast cancer. PMID: 24344012
- ezrin and paxillin may have roles in aggressive tumor features and invasiveness in urothelial bladder tumors PMID: 21868260
- The paxillin plays vital roles in cell motility through regulation of focal adhesion dynamics. PMID: 22481092
- Lysophosphatidic acid (LPA) induces both time and dose-dependent tyrosine phosphorylation of paxillin and focal adhesion kinase. PMID: 24061591
- Paxillin signaling contributed to tumor growth and vasculogenic mimicry of gallbladder carcinomas. PMID: 23588386
- Mutation of paxillin serine 250 prevents its phosphorylation by SLK in vitro and results in impaired migration in vivo as evidenced by an accumulation of phospho-FAK-Tyr397 and altered FA turnover rates. PMID: 23128389
- Data indicate that lasp-2 interacts with the focal adhesion proteins vinculin and paxillin. PMID: 23389630
- overexpression of PXN induced by suppression of miR-137 promotes tumor progression and metastasis and could serve as an independent prognostic indicator in colorectal cancer patients. PMID: 23275153
- Paxillin is critical for integrating physical cues from the ECM with chemical motility signals by spatially constraining where cells form motile processes, and thereby regulates directional migration. PMID: 23076140
- Fascin-1, ezrin and paxillin contribute to the malignant progression and are predictors of clinical prognosis in laryngeal squamous cell carcinoma. PMID: 23209815
- Paxillin is a new regulator protein of pulmonary arterial smooth muscle cell growth. PMID: 22959909
- phosphorylation of GIT1 on serine 46 by PKD3 represents a molecular switch by which GIT1 localization, paxillin trafficking, and cellular protrusive activity are regulated. PMID: 22893698
- Findings suggest that the MLK3-JNK-paxillin signaling axis may represent a potential prognostic marker in breast cancer metastasis. PMID: 22700880
顯示更多
收起更多
-
亞細胞定位:Cytoplasm, cytoskeleton. Cell junction, focal adhesion. Cytoplasm, cell cortex.
-
蛋白家族:Paxillin family
-
數據庫鏈接:
Most popular with customers
-
-
YWHAB Recombinant Monoclonal Antibody
Applications: ELISA, WB, IHC, IF, FC
Species Reactivity: Human, Mouse, Rat
-
Phospho-YAP1 (S127) Recombinant Monoclonal Antibody
Applications: ELISA, WB, IHC
Species Reactivity: Human
-
-
-
-
-















