PSMC5 Recombinant Monoclonal Antibody
-
中文名稱:PSMC5 Recombinant Monoclonal Antibody
-
貨號:CSB-RA879024A0HU
-
規格:¥1320
-
圖片:
-
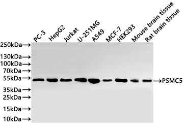
Western Blot
Positive WB detected in: PC-3 whole cell lysate(20μg),HepG2 whole cell lysate(20μg), Jurkat whole cell lysate(20μg), U-251MG whole cell lysate(20μg),A549 whole cell lysate(20μg),MCF-7 whole cell lysate(20μg),HEK293 whole cell lysate(20μg),Mouse brain tissue lysate(20μg),Rat brain tissue lysate(20μg)
All lanes: PSMC5 antibody at 1:1000
Secondary
Goat polyclonal to rabbit IgG at 1/40000 dilution
Predicted band size: 46 kDa
Observed band size: 50 kDa
Exposure time:1min -
Immunofluorescence staining of Hela cell with CSB-RA879024A0HU at 1:50, counter-stained with DAPI. The cells were fixed in 4% formaldehyde, permeabilized using 0.2% Triton X-100 and blocked in 10% normal Goat Serum. The cells were then incubated with the antibody overnight at 4°C. The secondary antibody was Alexa Fluor 488-congugated AffiniPure Goat Anti-Rabbit IgG(H+L).
-
Overlay Peak curve showing SH-SY5Y cells stained with CSB-RA879024A0HU (red line) at 1:100. The cells were fixed in 4% formaldehyde and permeated by 0.2% TritonX-100 for 10min. Then 10% normal goat serum to block non-specific protein-protein interactions followed by the antibody (1ug/1*106cells) for 45min at 4℃. The secondary antibody used was FITC-conjugated goat anti-rabbit IgG (H+L) at 1/200 dilution for 35min at 4℃.Control antibody (green line) was Rabbit IgG (1ug/1*106cells) used under the same conditions. Acquisition of >10,000 events was performed.
-
-
其他:
產品詳情
-
Uniprot No.:
-
基因名:PSMC5
-
別名:26S protease regulatory subunit 8 antibody; 26S proteasome AAA-ATPase subunit RPT6 antibody; Cim3 antibody; MSUG1 protein antibody; p45 antibody; p45/SUG antibody; Proteasome 26S ATPase subunit 5 antibody; Proteasome 26S subunit ATPase 5 antibody; Proteasome prosome macropain 26S subunit ATPase 5 antibody; Proteasome subunit p45 antibody; PRS8_HUMAN antibody; PSMC5 antibody; Rpt6 antibody; S8 antibody; SUG1 antibody; Tat binding protein homolog 10 antibody; TBP10 antibody; Thyroid hormone receptor interacting protein 1 antibody; Thyroid hormone receptor-interacting protein 1 antibody; Thyroid receptor interactor 1 antibody; TRIP1 antibody; TRIP1(SUG1) antibody
-
反應種屬:Human, Mouse, Rat
-
免疫原:A synthesized peptide derived from human PSMC5
-
免疫原種屬:Homo sapiens (Human)
-
標記方式:Non-conjugated
-
克隆類型:Monoclonal
-
抗體亞型:Rabbit IgG
-
純化方式:Affinity-chromatography
-
克隆號:4E5
-
濃度:It differs from different batches. Please contact us to confirm it.
-
保存緩沖液:Rabbit IgG in 10mM phosphate buffered saline , pH 7.4, 150mM sodium chloride, 0.05% BSA, 0.02% sodium azide and 50% glycerol.
-
產品提供形式:Liquid
-
應用范圍:ELISA, WB, IF, FC
-
推薦稀釋比:
Application Recommended Dilution WB 1:500-1:2000 IF 1:50-1:200 FC 1:50-1:200 -
Protocols:
-
儲存條件:Upon receipt, store at -20°C or -80°C. Avoid repeated freeze.
-
貨期:Basically, we can dispatch the products out in 1-3 working days after receiving your orders. Delivery time maybe differs from different purchasing way or location, please kindly consult your local distributors for specific delivery time.
-
用途:For Research Use Only. Not for use in diagnostic or therapeutic procedures.
相關產品
靶點詳情
-
功能:Component of the 26S proteasome, a multiprotein complex involved in the ATP-dependent degradation of ubiquitinated proteins. This complex plays a key role in the maintenance of protein homeostasis by removing misfolded or damaged proteins, which could impair cellular functions, and by removing proteins whose functions are no longer required. Therefore, the proteasome participates in numerous cellular processes, including cell cycle progression, apoptosis, or DNA damage repair. PSMC5 belongs to the heterohexameric ring of AAA (ATPases associated with diverse cellular activities) proteins that unfolds ubiquitinated target proteins that are concurrently translocated into a proteolytic chamber and degraded into peptides.
-
基因功能參考文獻:
- autoinflammation-associated H443P nlrc4 mutant is altered in interaction with SUG1 and ubiquitinated proteins, triggering constitutive caspase-8-mediated cell death dependent on FADD but independent of Ser(533) phosphorylation. PMID: 27974463
- Our data suggest that PSMC5 facilitates the damaging effects of radiation in radiation-responsive H460 cancer cells and therefore may serve as a prognostic indicator for radiotherapy and molecular targeted therapy in lung cancer patients. PMID: 26592665
- XopJ has protease activity to specifically degrade RPT6. PMID: 25739698
- TRIP-1 regulates fibroblast acquisition of phenotype and function associated with myofibroblasts. PMID: 24528651
- gamma-aminobutyric acidB receptor proteasomal degradation is mediated by the interaction of the GABAB2 C terminus with the proteasomal ATPase Rtp6 and regulated by neuronal activity PMID: 24482233
- Rpt6 interacts directly with CKIP-1 and promotes the turnover of Smurf1. PMID: 23032291
- Sug1 plays a critical role in transcription of MHC class I, and the MHC class II-like molecules, HLA-DM and HLA-DO. PMID: 22771340
- Findings show that Sug1 is crucial for regulating histone H3K4me3 and H3R17me2 at the cytokine inducible MHC-II and CIITA promoters. PMID: 19660582
- SUG1 has a role in ubiquitin/proteasome-mediated degradation of estrogen receptors PMID: 14702340
- Proteasome dysfunction by a proteasome inhibitor or siRNA-mediated knock-down of Sug1 caused the up-regulation of MYO18B protein and MYO18B was polyubiquitinated in vivo. PMID: 16499872
- p45 plays an important role in regulating ataxin-3 degradation by the proteasome. PMID: 17302910
- These data demonstrate that both 19S and 20S subunits of the 26S proteasome play specific and critical roles in regulating CIITA activity and MHC class II transcription. PMID: 18215421
- The current study strongly implicates the 19S ATPase Sug1 in modifying histones to initiate major histocompatibility complex class II transcription and provides novel insights into the role of the proteasome in the regulation of mammalian transcription. PMID: 18662994
- SUG-1 has a unique role in linking the transcription and degradation processes via its ability to interact with SRC-3. PMID: 19144644
顯示更多
收起更多
-
亞細胞定位:Cytoplasm. Nucleus.
-
蛋白家族:AAA ATPase family
-
數據庫鏈接:
Most popular with customers
-
-
Phospho-YAP1 (S127) Recombinant Monoclonal Antibody
Applications: ELISA, WB, IHC
Species Reactivity: Human
-
-
-
-
-
-















